
探讨沉默信息调节因子2相关酶1(SIRT1)基因缺陷对高脂饮食诱导的肥胖小鼠棕色脂肪功能的影响。
雄性12周龄SIRT1基因敲除杂合子小鼠和同窝的野生型对照小鼠(每组6只),分别给予高脂饮食饲养16周以构建肥胖模型。能量代谢笼测定氧耗量和产热量,冷刺激试验评估适应性产热功能。干预结束后留取棕色脂肪组织,HE染色观察形态学改变,免疫组化染色和Western印迹法检测解偶联蛋白1(UCP1)的表达水平,实时定量PCR检测线粒体DNA相对含量。
与对照组相比,SIRT1基因敲除杂合子小鼠的氧耗量和产热量均明显降低[(2 681±297)比(3 017±313) ml·kg-1·h-1、(19.05±2.40)比(21.15±2.49) kcal·kg-1·h-1,均P<0.05],冷刺激时维持体温的能力受损。HE染色显示SIRT1杂合子小鼠棕色脂肪组织内的脂滴空泡较对照组更大,免疫组化染色及Western印迹检测结果表明其UCP1的表达水平显著降低(P<0.05)。实时定量PCR结果显示,SIRT1杂合子小鼠棕色脂肪组织的线粒体DNA相对含量明显减少(0.38±0.10比1.00±0.40,P<0.05)。
SIRT1基因缺陷加剧高脂饮食诱导的肥胖小鼠的棕色脂肪功能障碍,即加重棕色脂肪白色化。
版权归中华医学会所有。
未经授权,不得转载、摘编本刊文章,不得使用本刊的版式设计。
除非特别声明,本刊刊出的所有文章不代表中华医学会和本刊编委会的观点。
沉默信息调节因子2相关酶1(SIRT1)是一种广泛存在于各物种且保守的烟酰胺腺嘌呤二核苷酸(NAD)依赖的组蛋白/非组蛋白去乙酰化酶,在调节能量代谢、线粒体功能保护、减轻炎症反应和抵抗氧化应激等方面有着重要作用[1]。研究表明,SIRT1基因过表达可增强低脂饮食饲养小鼠的棕色脂肪功能,进而增加机体产热和提高胰岛素敏感性[2]。此外,研究发现肥胖的小鼠模型中存在棕色脂肪功能障碍,亦称为棕色脂肪白色化,主要表现为脂质过度沉积,线粒体功能障碍与缺失[3]。然而,目前SIRT1基因对肥胖小鼠棕色脂肪功能的作用尚不清楚。本研究通过建立高脂肥胖小鼠模型,分析SIRT1基因敲除杂合子小鼠和野生型小鼠棕色脂肪功能的差异,探讨SIRT1基因缺陷对高脂饮食诱导的肥胖小鼠棕色脂肪功能的影响。
以C57BL/6J为基因背景的SIRT1基因敲除杂合子(SIRT1杂合子,SIRT1+/-)小鼠由美国路易斯安那州立大学彭宁顿生物医学研究中心叶建平实验室馈赠并引进[4]。将SIRT1杂合子小鼠和C57BL/6J小鼠(南京动物模式研究所)进行杂交产生后代,小鼠出生满3周龄后断奶、分笼、剪尾并提取DNA,用PCR法扩增目的条带及琼脂糖凝胶电泳进行基因型鉴定。
以雄性12周龄SIRT1杂合子小鼠及同窝的野生型对照小鼠作为研究对象,每组6只,给予高脂饮食(碳水化合物占25.5%,脂肪占58%,蛋白质占16.4%)饲养16周以构建肥胖模型。28周龄时处死小鼠,留取棕色脂肪组织,-80 ℃冰箱保存。本实验通过中山大学实验动物伦理委员会审批。
将每只小鼠单独置于综合实验动物监测系统(美国Columbus公司),通过连续24 h监测,获得小鼠每小时耗氧量(VO2)及二氧化碳生成量(VCO2)。每小时产热量(kcal/h)=(3.82+1.23×VCO2/VO2)×VO2 (1 kcal=4.184 kJ)[5]。
将小鼠置于4 ℃环境并自由取水和进食,每隔1 h用肛温电子温度计(北京东西仪科技有限公司)测定小鼠的肛温,总共测定6 h。
将棕色脂肪组织用4%多聚甲醛固定、石蜡包埋等处理后行组织切片,分别行常规的HE染色和免疫组化检测。组织切片经脱蜡水化、抗原修复后滴加1∶500兔抗解偶联蛋白1(UCP1)多克隆抗体(英国Abcam公司)后4 ℃孵育过夜。次日复温后滴加生物素标记羊抗兔IgG,室温孵育30 min后磷酸盐缓冲液(PBS)冲洗,用二氨基联苯胺(DBA)显色,复染后封片,光学显微镜(日本Olympus公司)下成像。
取出保存的棕色脂肪组织,各取约30 mg加入约200 μl预冷的含蛋白酶抑制剂的裂解液提取总蛋白。BCA蛋白检测试剂盒(美国Thermo Fisher Scientific公司)测定蛋白浓度。取40 μg蛋白上样,经电泳、转膜、封闭后加入1∶1 000兔抗UCP1多克隆抗体,4 ℃冰箱孵育过夜。次日TBST洗膜,加入1∶10 000红外荧光染料标记的二抗(美国LI-COR公司),室温孵育1 h。TBST洗膜后用Odyssey双色红外激光成像系统(美国LI-COR公司)显像。采用Image-Pro Plus软件进行灰度分析,以β-肌动蛋白作为内参,结果用目的蛋白与内参蛋白的灰度比值表示。
按照DNeasy Blood & Tissue Kit试剂盒(德国Qiagen公司)说明书提取小鼠棕色脂肪组织总DNA。以总DNA为模板,采用线粒体特异的引物序列Cox2和18S rRNA,按照Roche LightCycler® 480 SYBR Green I Master说明书进行实时定量PCR反应。以Cox2/18S rRNA比值代表线粒体DNA相对含量,用2 -ΔΔCT法进行数据分析。引物序列见表1。

引物序列
引物序列
| 基因 | 引物序列(5'→3') | 产物长度(bp) |
|---|---|---|
| Cox2 | F:TCTCCCCTCTACGCATTCTA | 223 |
| R:ACGGATTGGAAGTTCTATTGGC | ||
| 18S rRNA | F:CATTCGAACGTCTGCCCTATC | 137 |
| R:CCTGCTGCCTTCCTTGGA |
注:F:上游引物;R:下游引物
采用SPSS 19.0软件进行统计学分析,Graphpad Prism 6.0软件进行作图,计量资料符合正态分布采用
±s表示,两组间均数比较采用t检验。P<0.05为差异有统计学意义。
高脂饮食饲养16周后,SIRT1杂合子小鼠的体重与对照组相比明显增加[(48.62±4.13)比(43.48±1.84) g,P<0.05],而进食量与对照组比较差异无统计学意义[(2.24±0.14)比(2.30±0.14) g/d,P>0.05]。
野生型对照组与SIRT1杂合子小鼠氧耗量分别为(3 017±313)和(2 681±297) ml·kg-1·h-1,产热量分别为(21.15±2.49)和(19.05±2.40) kcal·kg-1·h-1,SIRT1杂合子小鼠基础状态下的氧耗量和产热量较对照组均明显下降(均P<0.05,图1)。将小鼠置于4 ℃环境中进行冷刺激试验。置于4 ℃环境后两组小鼠的体温均明显下降,SIRT1杂合子小鼠在4、5、6 h的体温明显低于对照组(均P<0.05,表2)。

两组小鼠冷刺激试验结果(
±s)
两组小鼠冷刺激试验结果(
±s)
| 组别 | 只数 | 体温(℃) | ||||||
|---|---|---|---|---|---|---|---|---|
| 0 h | 1 h | 2 h | 3 h | 4 h | 5 h | 6 h | ||
| 对照组 | 6 | 37.55±0.17 | 37.05±0.29 | 36.69±0.68 | 36.32±0.18 | 35.62±0.44 | 35.00±0.36 | 34.37±0.66 |
| SIRT1+/-组 | 6 | 37.37±0.31 | 36.96±0.34 | 36.06±0.38 | 35.52±0.79 | 34.43±0.46b | 33.83±0.21b | 33.44±0.20a |
注:与对照组比较,aP<0.05,bP<0.01


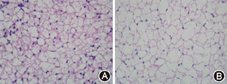
HE染色结果表明,棕色脂肪组织主要由多泡脂肪细胞构成,脂肪细胞内散在大小不均的脂滴空泡。野生型对照组小鼠棕色脂肪细胞内多为小空泡,大空泡相对较少,而SIRT1杂合子小鼠的大空泡明显增多(图2)。


免疫组化结果显示,UCP1在两组小鼠棕色脂肪组织中均有阳性表达,但在SIRT1杂合子小鼠中表达明显减少(图3)。Western印迹结果显示,SIRT1杂合子小鼠棕色脂肪UCP1的表达较对照组显著减少,差异有统计学意义(P<0.05,图4)。




实时定量PCR结果显示,SIRT1杂合子小鼠棕色脂肪线粒体DNA相对含量与对照组相比明显减少(0.38±0.10比1.00±0.40,P<0.05)。
棕色脂肪是哺乳动物机体抵御寒冷的重要器官,它通过线粒体的脂肪酸氧化和UCP1将机体的能量以热量的形式消耗[6]。棕色脂肪在小型啮齿类动物和婴儿中表达丰富,并曾被认为在成人期消失。然而,近年文献报道成人亦存在活化的棕色脂肪[7,8]。研究表明在超重和肥胖人群中存在棕色脂肪数量或活性的降低[8]。此外,研究亦发现在肥胖小鼠中存在棕色脂肪功能障碍,即棕色脂肪白色化,主要表现为脂质过度沉积,线粒体功能障碍与缺失[3]。目前认为,肥胖是由于机体能量摄入超过能量消耗所致。因此,增强棕色脂肪功能,可增加机体的产热和能量消耗,成为治疗肥胖症的新策略[9]。
文献报道SIRT1基因过表达可增强低脂饮食饲养小鼠的棕色脂肪功能[2],然而SIRT1基因对高脂饮食诱导的肥胖小鼠棕色脂肪功能的作用尚不清楚。本研究通过能量代谢测定和冷刺激试验发现SIRT1基因敲除杂合子小鼠在高脂饮食诱导的肥胖状态下的产热能力较野生型对照组明显降低,推测其可能存在加剧的棕色脂肪功能障碍。进一步研究发现,SIRT1基因缺陷可加剧肥胖小鼠的棕色脂肪白色化,主要有以下证据支持:(1)SIRT1杂合子小鼠棕色脂肪的脂质沉积相比对照组更严重,表现为大空泡脂肪细胞明显增多;(2)免疫组化和Western印迹结果表明SIRT1杂合子小鼠棕色脂肪的产热标志物UCP1的表达明显减少;(3)SIRT1杂合子小鼠棕色脂肪的线粒体DNA含量较对照组明显减少。
如前所述,SIRT1基因过表达可增强低脂饮食饲养小鼠的棕色脂肪功能[2],而研究亦发现SIRT1激动剂白藜芦醇可上调普通饮食饲养小鼠的棕色脂肪产热标志物[10]。本研究则证实SIRT1基因缺陷可加剧高脂饮食诱导的肥胖小鼠棕色脂肪白色化。尽管饮食干预不同,本研究的结论从本质上讲与上述两项研究是相符合的,即分别从基因功能获得以及基因功能缺陷正反两层面揭示SIRT1在棕色脂肪功能调控方面的重要作用。然而,既往有研究采用与本研究相同的动物模型,发现SIRT1杂合子小鼠棕色脂肪功能较对照组增强,表现为UCP1基因水平的上调[11]。这与本研究的结果相矛盾,可能是由于其饲养环境以及使用的高脂饲料成分不同所致。
关于SIRT1调控棕色脂肪功能的具体机制方面,目前尚未完全研究清楚。有研究报道SIRT1基因过表达增强棕色脂肪功能的作用是通过增强棕色脂肪细胞对β3肾上腺素的反应所致,主要表现为UCP1表达水平的上调,而并非通过影响棕色脂肪细胞的分化过程[2]。此外,研究亦发现SIRT1通过对过氧化物酶体增殖物激活受体γ(PPARγ)的去乙酰化修饰,招募棕色化调控辅激活因子,从而参与白色脂肪棕色化的调控过程[12]。本研究则初步发现SIRT1基因缺陷可通过减少UCP1表达水平及线粒体DNA含量来加剧棕色脂肪功能障碍,更深入的机制有待进一步研究证实。





















