
版权归中华医学会所有。
未经授权,不得转载、摘编本刊文章,不得使用本刊的版式设计。
除非特别声明,本刊刊出的所有文章不代表中华医学会和本刊编委会的观点。
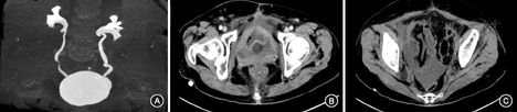
患者女,45岁,因"反复下腹痛2个月"入院。2012年5月22日晨起尝试排尿时突发剧烈下腹部胀痛,伴恶心、呕吐胃内容物、大汗和排尿困难,持续不缓解,有排气排便。外院查体提示下腹部肌紧张、压痛、反跳痛。查血白细胞10.92×109/L,血红蛋白、血小板正常,白蛋白36.5 g/L,血肌酐、淀粉酶正常。腹部超声示腹腔游离液体,最深约8 cm,可见絮状回声。腹盆腔CT示腹盆腔内高密度液体影积聚,CT值在60~63 HU,考虑出血可能,双侧输尿管节段性扩张积水。5月24日腹腔穿刺抽出淡黄色腹腔积液100 ml,腹腔积液比重1.019,细胞总数3 600/μl,白细胞1 060/μl,多核80%,总蛋白8.5 g/L,葡萄糖10.2 mmol/L,氯化物110 mmol/L,病原学检查阴性。5月25日进展至全腹痛,伴嗜睡、血压下降、少尿,予胃肠减压、导尿、补液扩容及哌拉西林/三唑巴坦治疗后好转。6月5日腹部超声未见腹盆腔积液。6月25日再次出现下腹痛、恶心、呕吐,腹部超声示腹腔积液,最深4.3 cm。3 d后复查腹部超声示腹腔内可见大量液性暗区,最大液平10.8 cm。腹部CT:腹腔积液,膀胱充盈饱满及膀胱壁厚薄不均,最厚约0.5 cm,其内密度不均,其后方亦见弧形低密度影,双侧输尿管略宽。予导尿,首次引流出900 ml清亮尿液后下腹胀减轻,同时予补液及抗生素治疗,并放置腹腔引流管后引流清亮腹腔积液,每日引流500~2 000 ml,腹腔积液蛋白8.5 g/L,腹腔积液涂片可见大量增生间皮细胞及少量中性粒细胞。患者症状逐渐好转。既往史:2004年行宫颈癌根治术及术后放化疗,2011年5月复查腹盆超声未见腹腔积液。2005年曾诊为"放射性直肠炎"。2010年因"双下肢麻木、无力"、肌电图提示周围神经病变,诊为"放射性周围神经病",服神经营养药物后好转。2012年7月22日收入我院后:查血常规和粪常规+潜血正常,血白蛋白35 g/L,血清肌酐30 μmol/L,糖类抗原(CA)125 77 800 U/L,CA199、血清癌胚抗原正常。淋巴细胞培养+干扰素测定阴性。心脏超声未见明显异常。PET/CT:宫颈癌术后,放化疗后,未见肿瘤转移、复发证据。CT尿路成像示膀胱壁不均匀增厚,形态欠规整;排泄期膀胱体积明显增大;盆腔内可见多发液性低密度影(图1)。入院后予导尿并持续开放引流,定期更换输尿管;1周后因行妇科超声夹闭导尿管2 h后再发下腹胀痛、恶心、出汗,伴发热,体温最高38 ℃。查体示全腹压痛,右中下腹肌紧张、反跳痛。尿管开放引流出淡黄清亮尿液约220 ml后出现肉眼血尿。急查腹部超声示腹腔可见游离积液,最深8.2 cm。腹腔穿刺引流术引流约50 ml淡黄色浑浊腹腔积液,查腹腔积液比重1.028,细胞总数3 000×106/L,白细胞总数1 850×106/L,多核90%,白蛋白26 g/L,腺苷脱氨酶11.4 U/L,三酰甘油0.33 mmol/L,肌酐37 μmol/L,细菌培养、结核培养均阴性。综合考虑"尿源性腹腔积液、急性腹膜炎"。予保持尿管持续开放、抗生素治疗,患者症状逐渐缓解。经泌尿外科、神经内科和妇科会诊后考虑"神经源性膀胱、膀胱破裂可能性大",建议病情稳定后行膀胱造影、尿动力学检查。出院后患者未规律随诊,每次拔除尿管一段时间后会再次出现上述症状,导尿、抗感染治疗后好转。2014年患者宫颈癌复发,接受规律化疗。2014年5月行膀胱造影可见造影剂经膀胱外溢进入腹腔;术后出现下腹痛、恶心、呕吐及低热,保守治疗后好转。患者拒绝手术治疗,要求长期带尿管,定期更换。最后诊断"自发性膀胱破裂,膀胱腹膜瘘,尿源性急性腹膜炎"。


自发性膀胱破裂、尿源性急性腹膜炎和尿源性腹腔积液属少见疾病,症状不特异,疾病的诊断较困难。
尿源性腹水尚缺乏实验室检查的金标准。
当临床上出现急性下腹痛、恶心、呕吐、少尿、肉眼血尿及不明原因肾功能衰竭时,需将自发性膀胱破裂纳入鉴别诊断的范畴。
对于无菌性腹膜炎患者,需除外尿源性急性腹膜炎。
重视腹腔积液的非常规检查如肌酐,并联合血清相关检测,有助于尿源性腹腔积液的诊断。
患者中年女性,既往宫颈癌根治术后、放射性直肠炎、放射性周围神经病史,急骤起病,病情反复。临床表现为波动性腹腔积液、反复发作的急性腹膜炎,保守治疗后缓解。结合排尿、夹闭尿管时诱发,病初腹腔积液CT值偏高,持续尿液引流有效,以及随访期间膀胱造影所见,综合考虑患者以自发性膀胱破裂起病,后期出现膀胱腹腔瘘,尿液漏入腹腔导致反复急性腹膜炎发作、并发尿源性腹腔积液。结合患者特点,进一步分析如下。
患者腹腔积液有两个特点,其一是与反复腹痛发作相伴的量的波动,急性腹痛发作时腹腔积液量明显增多,经保守治疗后腹腔积液量减少,甚至消失;其二是腹腔积液性质的变化,患者发病时腹腔积液超声下显示可见絮状物,另CT值高达63 HU,结合文献考虑腹腔内出血不除外[1];随后腹腔穿刺腹腔积液初为淡黄清亮,入院后为淡黄浑浊,多次查腹腔积液白细胞远远< 250×106/L,多核细胞达90%,提示渗出液;入院后血清、腹腔积液白蛋白水平差值为9 g/L,< 11 g/L,符合为非门脉高压性腹腔积液。结合患者腹腔积液与排尿、憋尿以及尿液引流密切相关,需警惕尿源性腹水;腹腔积液肌酐与血清肌酐比值(37∶30)>1提示存在尿源性腹水可能[2]。
患者反复出现下腹痛乃至全腹痛,伴恶心、呕吐、低热,查体提示腹肌紧张、压痛、反跳痛,结合腹腔积液提示为非门脉高压性腹腔积液,考虑急性腹膜炎反复发作明确。急性腹膜炎的病因方面,多次腹腔积液病原学检查阴性,提示为无菌性腹膜炎可能性大,其病因可能为腹膜腔内异常存在的生理性液体(例如胃液、胆汁、胰酶、血液或尿液)或无菌性异物(例如外科海绵或仪器、手术手套上的滑石粉)刺激腹膜导致,或者是罕见的系统性疾病的腹膜并发症,如系统性红斑狼疮、卟啉病、家族性地中海热等[3]。患者无多系统受累证据、无周期性发热等系统性疾病表现,无医源性异物证据,结合患者腹水肌酐水平情况,考虑腹腔内生理性液体尿液刺激腹膜导致,另外病初不除外有膀胱破裂出血漏入腹腔刺激腹膜。
患者存在明确的膀胱结构改变、功能异常,多次CT提示膀胱壁厚薄不均、形态欠规整,排泄后膀胱体积仍明显增大,且有明确的尿潴留史(自主排尿后单次导尿量竟达900 ml)。患者反复发作的腹膜炎与排尿密切相关:首先,几次明确的腹膜炎发作诱因分别是排尿时、夹闭尿管2 h后及膀胱造影。其次,持续的尿液引流有利于腹膜炎的缓解。再次,最直接的证据是在随访中行膀胱造影可见造影剂漏入腹腔,并诱发急性腹膜炎。另结合前述腹水肌酐>血肌酐,综合考虑膀胱腹膜瘘、尿源性急性腹膜炎、尿源性腹水诊断明确,病初为自发性膀胱破裂基本可诊断。
膀胱破裂常与外伤或医源性损伤相关。特发的自发性膀胱破裂十分罕见,可见于慢性持续性的膀胱疾病或迁延的尿潴留[4]。膀胱疾病包括膀胱憩室、结核感染、真菌感染、放疗或肿瘤侵袭[5,6]。膀胱出口梗阻可由阻塞性或神经源性因素所致,病情迁延,可导致膀胱结构异常,进而导致膀胱破裂[7]。患者曾行宫颈癌根治术及放疗,存在放射性直肠炎、放射性周围神经病等放疗后并发症,考虑该患者为神经源性膀胱、放射性膀胱炎复合因素所致;另在疾病随访中宫颈癌复发,也有可能侵及膀胱。放射性膀胱炎可发生于放疗后15~20年,可表现为血尿、膀胱瘘管形成,易出现膀胱穿孔破裂。
膀胱破裂的诊断往往比较困难,主要是因为症状不典型、疾病发病率低、医师对该病认识不足,特别是缺乏明确外伤或已知膀胱疾病时。起病可仅表现为腹胀、腹腔积液,也可以剧烈下腹痛、全腹痛为表现,亦可以表现为尿量减少、排尿困难、肉眼血尿和肾功能衰竭。腹腔积液肌酐∶血清肌酐>1有助于尿源性腹水的诊断[2]。膀胱影像学检查特别是增强CT检查有助于疾病的诊断,可出现增强造影剂进入腹腔,游离腹腔气体,膀胱结构异常。膀胱造影检查有助于明确有无膀胱破损[7]。排尿动力学检查及肛周肌电图检查有助于神经源性膀胱的诊断。对于高度怀疑膀胱破裂的患者进行手术探查也有助于该病的确诊。
一旦诊断膀胱破裂或膀胱腹膜瘘,手术治疗是首选,修补破损膀胱、切除病变膀胱和切除内瘘。也有报道内科保守治疗如持续地导尿引流尿液、抗感染可帮助部分患者避免手术[8]。有研究者提出部分患者适合仅行尿管引流,如无其他并发损伤需外科探查者,无与膀胱破裂相关的严重感染、休克,<1 cm的线性裂口,能严密观察尿管引流情况,充分控制尿液外渗和出血者[9]。另一治疗原则是个体化治疗,要考虑患者基础疾病、全身状况及患者意愿。该患者宫颈癌术后,随诊期间出现复发,确诊膀胱腹膜瘘,但患者一般情况差,局部解剖结构紊乱,手术创伤大,患者无手术意愿,且保守治疗有效,因此该患者选择持续尿液引流以治疗和预防尿源性急性腹膜炎。
本例患者的诊治经过提示我们,对于既往盆腔恶性肿瘤术后患者出现腹腔积液,一方面要首先除外肿瘤复发所致腹腔积液,另一方面应重视病史采集,如疾病的诱发、缓解因素,总结疾病规律,借助对诊断特异性高的辅助检查,争取做到疾病的早诊早治。另外在疾病的诊断与鉴别诊断时,应广开思路,对诊断疑难的病例应将少见病、罕见病纳入疾病的鉴别诊断范畴。理清患者的既往病史、临床特点及治疗经历,有助于疾病的早期诊断。





















