
版权归中华医学会所有。
未经授权,不得转载、摘编本刊文章,不得使用本刊的版式设计。
除非特别声明,本刊刊出的所有文章不代表中华医学会和本刊编委会的观点。
脑组织铁沉积神经变性病(neurodegeneration with brain iron accumulation,NBIA)是一组由基因突变导致的以锥体外系症状为主,伴有其他复杂临床症状,在脑组织特定部位可见异常铁沉积的罕见的神经遗传变性疾病,发病率在(1~3)/1 000 000。尽管NBIA疾病谱系具有很高的临床和遗传异质性,但此类疾病在影像学尤其是磁共振(MRI)上因铁离子异常沉积而具有特征性的异常征象。分子遗传学检测致病基因可以确诊。为了帮助临床医生更准确地诊断和规范地治疗NBIA疾病谱系,特制定脑组织铁沉积神经变性病诊治专家共识。
NBIA疾病谱系中10个亚型已经明确了致病基因[1,2,3,4,5,6,7,8]。各亚型的命名推荐采用"突变蛋白相关性神经变性病"模式来统一命名,如苍白球黑质红核色素变性或Hallervorden-Spatz病是泛酸激酶2(PANK2)基因突变所导致,故命名为泛酸激酶相关性神经变性病(pantothenate kinase associated neurodegeneration,PKAN)。NBIA疾病谱系虽然亚型众多,但是最常见的为四种亚型[1,2,3,4,5,6,7,8]:PKAN(约占50%)、非钙依赖型磷脂酶A2相关性神经变性病(phospholipase A2 associated neurodegeneration,PLAN,约占20%)、线粒体膜蛋白相关性神经变性病(mitochondrial membrane protein associated neuro-degeneration,MPAN,约占10%)和β螺旋蛋白相关性神经变性病(beta-propeller protein associated neur-odegeneration,BPAN,约占7%),其余明确致病基因的亚型约占3%,约有10%的NBIA病例目前尚未发现致病基因,暂时仍称为特发性病例。
铁属于顺磁性物质,异常铁沉积在MRI上有特征性的表现。在常规序列T2加权像及磁敏感序列,如梯度回波序列(GRE)和磁敏感加权成像(SWI),铁沉积部位显示低信号,在T1像铁沉积显示等信号。常见铁沉积部位为苍白球、黑质、红核、丘脑等脑深部灰质核团。但不是所有的NBIA疾病都会在MRI上显示铁沉积,也不是任何显示铁沉积的病例都属于NBIA疾病谱系。我们将从基因、临床特征、影像三个方面分别进行介绍。
PKAN是PANK2基因突变导致,为常染色隐性遗传。PANK2定位于染色体20p13,有7个外显子,长1.85 kb。突变形式多为错义突变,也有碱基缺失、重复、插入、剪切位点突变等形式。最常见为点突变1231G>A和1253C>T。PANK2在辅酶A的生物合成中起关键作用。
根据发病年龄,PKAN可分为早发典型PKAN和晚发不典型PKAN。
10岁以前发病,90%病例在3~6岁发病。首发症状多为步态障碍及姿势异常,少数病例以精神行为异常或视力障碍为首发症状。锥体外系症状、认知发育迟滞或倒退、锥体系症状、视网膜色素变性等眼部症状是常见表现。锥体外系症状主要表现为各种形式肌张力障碍,以肢体和口面部肌张力障碍常见。其他锥体外系症状可有帕金森样表现、舞蹈症、手足徐动症、震颤等,有些患者会出现频繁扭转痉挛发作,危及生命,需要紧急处理(见治疗)。锥体系受累可表现为假性延髓麻痹、痉挛强直、反射亢进、病理征阳性等。眼部症状可表现为视神经乳头萎缩、视网膜色素变性(夜盲、视野范围缩小)。患者可有垂直或水平眼球追物或扫视障碍、前庭动眼反射消失,提示中脑受累。也可出现双侧艾迪瞳孔(强直性瞳孔)。约8%的患者外周血涂片可见棘红细胞增多。有人将低β脂蛋白血症-棘红细胞增多症-视网膜色素变性-苍白球变性综合征(HRAP)视为PKAN的一个临床变异型。典型PKAN患者病情进展快,一般发病10~15年后丧失行走能力,晚期患者可出现"角弓反张"的躯干强直姿势。
发病年龄跨度大,平均13~14岁,但也可成年发病,临床症状不典型。常见表现为语言障碍、神经精神症状及运动障碍。语言障碍可表现为口吃、语音低、口咽部肌张力障碍导致的构音障碍、痉挛样发声困难、不自主发声等。神经精神症状可表现为情绪不稳、冲动、强迫症、抑郁症、精神分裂样精神病等。运动障碍主要为肌张力障碍、帕金森样症状伴或不伴锥体束征。上述临床症状都可能成为首发的临床表现。总体来说,不典型PKAN的运动功能与典型PKAN相比受累程度较轻。
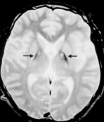
PKAN病例T2相上可见苍白球部位铁沉积显示低信号,而在苍白球的前内侧由于神经元死亡、胶质增生而显示高信号,这一影像学表现被称为"虎眼征"(图1)。"虎眼征"高度提示PKAN,但是极少数PANK2突变类型没有典型的"虎眼征",也有晚期患者随着铁沉积加重T2像上中间高信号消失而变成较均一的低信号。影像学上视神经、脑干和小脑一般不受累。


PLAN由PLA2G6基因突变导致,为常染色体隐性遗传。PLA2G6位于染色体22q13,有17个外显子,编码非钙依赖型磷脂酶A2-β蛋白,参与细胞膜磷脂的转换。
PLAN有3个临床亚型:婴儿神经轴索营养不良(infantile neuroaxonal dystrophy,INAD)、不典型INAD、PLA2G6相关性肌张力障碍-帕金森综合征(PLA2G6-associated dystonia-parkinsonism,PLAN-DP)。
发生于婴儿和儿童早期,通常在6月龄至3岁发病。首发症状多为精神运动发育迟滞或倒退,继而出现肌无力、严重的躯干张力低下、小脑性共济失调、腱反射减弱或消失、视神经萎缩致视力障碍、斜视、眼球震颤。随着疾病的进展,以肌无力、肌张力低下、腱反射消失为主要表现的外周失神经支配症状被痉挛性四肢瘫、病理征阳性的锥体束症状所取代,但仍可有腱反射消失。部分患者可有癫痫发作。所有患者肌电图上可表现为失神经支配,大多数患者神经传导速度减慢。几乎所有患者脑电图异常,常表现为慢波背景上以额叶部位为主的快节律波(14~22 Hz),部分患者可显示癫痫波。大多数患者有视觉诱发电位异常。广泛的肌无力导致进食和呼吸困难,患者往往在10岁前死于营养不良和继发性肺部感染等并发症。
也在儿童期发病,通常在1.5~6.5岁之间。临床表现多样化、进展相对缓慢。首发和主要表现往往是因小脑性共济失调引起的步态障碍,可伴有视神经萎缩、眼球震颤、斜视、癫痫、构音障碍、神经精神症状(情绪不稳、多动、注意力下降、冲动等)、痉挛性瘫痪,有些患者则以肌张力障碍为主要表现。
也被称为PARK14相关的帕金森综合征,多于青少年或成年早期起病,主要表现为帕金森样症状、肌张力障碍、认知减退和精神行为异常,部分患者还可伴有锥体束征、眼球活动障碍、自主神经功能障碍、肌阵挛、癫痫等临床症状。帕金森样症状主要表现为肌强直和明显的运动迟缓,可有静止性震颤,左旋多巴治疗有一定的短期疗效,早期易出现异动并发症。在PLAN-DP中也有不同的表型,有些患者以帕金森样症状和肌张力障碍为主,有些患者以帕金森样症状和认知障碍为主,有些患者可能仅仅为早发的帕金森样表现。
几乎所有的典型INAD病例中,小脑蚓部和小脑半球的萎缩是最主要和特征性的影像学表现。约有50%INAD病例可出现异常铁沉积,通常在苍白球部位,表现为磁敏感序列上低信号,不同于PKAN的"虎眼征"。此外,视神经萎缩、视交叉容量减少,胼胝体尤其是胼胝体压部萎缩变细,也是常见的影像学表现。也有报道小脑半球因萎缩而在T2像上表现为高信号。晚发的不典型INAD病例影像学表现多样化,可以表现为小脑萎缩,也可以存在铁沉积、视交叉、胼胝体等相应的改变。约有1/3 PLAN-DP患者异常铁沉积主要累及苍白球。也可出现大脑或小脑的萎缩,以及胼胝体萎缩变细的影像表现。
MPAN由c19orf12基因突变导致,为常染色体隐性遗传。其编码蛋白可能与线粒体功能相关。通常在儿童期发病,但也可成年早期发病。儿童期发病的患者,首发症状往往为锥体束受累导致的痉挛步态。认知障碍、构音障碍、视神经萎缩、锥体外系症状、精神行为异常是常见临床表现。如果出现肌张力障碍,往往局限于手、脚四肢远端。随着疾病的进展,会出现下运动神经元受损体征,表现为腱反射减弱或消失、肌无力、肌萎缩,电生理检查显示运动神经元病或运动轴索病样改变。上下运动神经元同时受累,容易误诊为运动神经元病。成年早期发病通常表现为帕金森样症状、混合步态障碍、认知障碍、行为异常。在MPAN患者,认知障碍是一常见表现,通常在疾病中期,患者已经有明显的痴呆。
影像学特点:MRI磁敏感序列显示苍白球、黑质部位铁沉积。部分患者T2像苍白球部位低信号,纹状体内侧髓板伴有条状高信号,类似于"虎眼征",是MPAN特征性的影像学表现。多数患者无此典型影像表现。中晚期病例可见大脑皮质及小脑萎缩。
BPAN由WDR45基因突变导致,为X连锁显性遗传,患者多数为女性。WDR45位于染色体Xp11.23,编码一种与自噬有关的β螺旋蛋白,具体发病机制不明。也被称为儿童期静态性脑病成年期神经变性病(static encephalopathy of childhood with neurodegeneration in adulthood,SENDA),如它命名所体现的,疾病分为两个时期。儿童期,全面性的发育延迟,包括运动、语言、认知,患者可有走路不稳、语言表达障碍、学习障碍,可伴有癫痫发作、睡眠障碍,这些表现在患者的发育结束后处于稳定状态。直到20~30岁时,出现以帕金森样、肌张力障碍为主的锥体外系症状,锥体系也可受累。帕金森样症状对左旋多巴敏感。BPAN这种双相临床进程在整个NBIA疾病谱系中是非常有特征的一个表现。
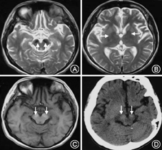
影像学特点:BPAN有两个特征性的影像学表现:(1)不同于以苍白球为铁沉积最明显部位的其他NBIA亚型,黑质部位是BPAN患者铁沉积最早和受累程度最严重的部位,苍白球也可累及(图2A,图2B);(2)其他NBIA亚型中铁沉积在T1像上往往表现为中等信号,但是在BPAN患者,T1像上为双侧黑质高信号伴或不伴有中央T1低信号带(图2C),T1像高信号有可能是由于铁与黑质部位多巴胺能神经元死亡释放出的神经黑色素结合导致。此外,CT上双侧黑质可显示高密度影(图2D),提示可能存在继发性的钙沉积。


是由FA2H基因突变导致。FA2H基因编码的蛋白质能催化2-羟基化脂肪酸,其功能障碍可以导致髓鞘生成障碍。FA2H基因突变可以导致脑白质营养不良、遗传性痉挛性截瘫(HSP35)。但是近年来发现FA2H基因突变患者脑内有异常铁沉积,故将此部分患者归为NBIA的一个亚型,称为FAHN。通常在儿童期起病,首发症状为步态障碍、容易跌倒,逐渐进展为痉挛性步态、肌张力障碍、小脑性共济失调、构音障碍、吞咽障碍、视神经萎缩致视力障碍。大多数患者有不同程度的认知障碍,也可伴有癫痫。由于FA2H突变可以引起不同的疾病,因而在影像学上,除了苍白球部位的铁沉积外,可以有脑白质营养不良的表现,在T2像上表现白质高信号。胼胝体萎缩变细,小脑、脑桥、延髓等部位的萎缩也是FAHN影像上特征性的表现。FA2H虽然与髓鞘生成有关,但是一般不影响周围神经。
NFT是NBIA疾病谱系中唯一呈常染色体显性遗传,由编码铁蛋白轻链的铁蛋白轻链多肽基因(FTL)突变导致,该蛋白异常会影响铁的贮存和代谢。通常在40~55岁起病,主要临床表现为舞蹈症、手足徐动症、肌张力障碍、帕金森样症状、认知障碍等,可有共济失调、锥体束征等。实验室检查显示血清铁蛋白水平降低。MRI显示在尾状核、壳核、丘脑、苍白球、黑质、红核、小脑齿状核等部位异常铁沉积,偶见额叶部位铁沉积。在疾病晚期铁沉积部位会出现继发性囊性变,在T2相上相应表现为高信号,周围为低信号的铁沉积。
ACP是由编码铜蓝蛋白的CP基因突变所致,为常染色体隐性遗传。铜蓝蛋白缺陷造成铁离子的贮存和运输障碍,导致体内铁离子沉积,可累及肝脏、胰腺和中枢神经系统。患者中年起病,表现为神经系统症状、糖尿病、视网膜色素变性三联征。神经系统常见症状包括认知障碍、小脑性共济失调、舞蹈症、肌张力障碍、帕金森样症状等。实验室检查主要为小细胞性贫血,血清中检测不到铜蓝蛋白,而铁蛋白水平明显升高,血清铜、血清铁水平降低。影像学显示广泛的脑内铁沉积,ACP是NBIA所有亚型中中枢神经系统铁沉积累及范围最广,可累及苍白球、壳核、尾状核、丘脑、小脑齿状核、红核。脑白质病变、大脑皮质及小脑萎缩也是常见影像表现。
也称为PARK9相关性帕金森综合征,由ATP13A2突变所致,为常染色体隐性遗传。多为青少年期起病,临床表现主要为多巴反应性帕金森综合征,锥体束病变,可伴有眼球运动障碍(核上性凝视麻痹、动眼危象)、认知障碍、神经精神症状,部分患者还有面部-咽喉-手指轻微肌阵挛和幻视。颅脑CT或MRI可见弥漫性大脑、小脑萎缩,部分患者影像学可见壳核和尾状核铁离子沉积。
由DCAF17(C2orf37)突变所致的常染色体隐性遗传性疾病,多见于中东地区。儿童期可出现智能发育迟滞,进而出现少毛征(秃头、眼睫毛稀少等)、性腺机能减退致第二性征发育不全、感音性耳聋、糖尿病,可在成年期出现进行性加重的肌张力障碍,伴或不伴有手足徐动症,锥体束征常不明显。实验室检查可发现胰岛素样生长因子1(IGF-1)水平低下。心电图改变(T波低平或倒置),影像学可见苍白球、黑质铁离子沉积。侧脑室周围、深部脑白质融合性病变也是常见影像表现,在T2相显示高信号。
由编码辅酶A合成酶的COASY基因突变导致,为常染色体隐性遗传,是继PKAN后第二个影响辅酶A的NBIA亚型,临床表现与典型PKAN也有类似。儿童早期起病,通常存在运动、智能、语言发育缺陷,首发表现为步态障碍、认知障碍、语言障碍,逐渐发展出现痉挛性肌无力、口下颌肌张力障碍、帕金森样肌强直、精神症状以及轴索性外周神经病。影像学可出现类似"虎眼征"的表现,苍白球T2低信号伴有中间高信号。尾状核、壳核、丘脑肿胀,T2像高信号。
在详细询问病史、家族史,全面体检基础上,头颅MRI检查是目前诊断或排除NBIA最有力的手段。
1.步态异常、进行性加重的锥体外系症状,伴有认知障碍、精神行为异常、视神经萎缩或视网膜色素变性等对NBIA有提示意义。
2.发病年龄对诊断有重要意义。各亚型中除NFT和ACP中年起病,其余各型多为儿童、青少年起病,成年起病少见。
3.特征性的临床表现有助于诊断:如儿童期全面发育迟滞、成年期出现锥体外系症状的双相临床进程是BPAN的特点;少毛征、性腺机能减退、糖尿病、感音性耳聋、进行性加重的锥体外系症状应该考虑WSS的可能。
4.临床提示NBIA可能的病例,应该进行MRI检查。选择GRE、SWI等磁敏感序列或者高磁场MRI检查,有助于发现铁沉积。但随着年龄增长,正常老年脑或其他神经变性病,如多系统萎缩、阿尔茨海默病、帕金森病、进行性核上性麻痹等脑内也可以有铁沉积,需注意鉴别。各亚型铁沉积部位和程度见表1。特征性的影像学表现有助于诊断,如"虎眼征"高度提示PKAN;双侧黑质对称性T1高信号伴或不伴中间低信号提示BPAN;铁沉积部位继发囊性变提示NFT。各亚型特征性的影像特点见图3。

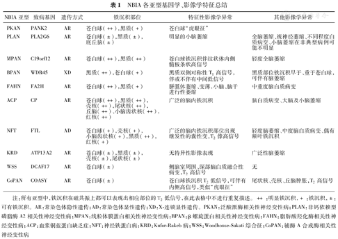
NBIA各亚型基因学、影像学特征总结
NBIA各亚型基因学、影像学特征总结
| NBIA亚型 | 致病基因 | 遗传方式 | 铁沉积部位 | 特征性影像学异常 | 其他影像学异常 |
|---|---|---|---|---|---|
| PKAN | PANK2 | AR | 苍白球(++),黑质(+) | 苍白球"虎眼征" | |
| PLAN | PLA2G6 | AR | 苍白球(±),黑质(±),底丘脑(±) | 明显的小脑萎缩 | 全脑萎缩、视神经萎缩、不同程度白质病变、小脑萎缩在非典型病例可能不明显 |
| MPAN | C19orf12 | AR | 苍白球(++),黑质(++) | 苍白球铁沉积伴纹状体内侧髓板条状高信号 | 轻度全脑萎缩 |
| BPAN | WDR45 | XD | 黑质(++),苍白球(+) | 黑质双侧对称性T1高信号,伴或不伴有中间低信号 | 黑质部位铁沉积早于、重于苍白球,可伴有脑萎缩 |
| FAHN | FA2H | AR | 苍白球(++),黑质(+) | 胼胝体萎缩、变薄,小脑、脑干进行性萎缩 | 中重度脑白质病变 |
| ACP | CP | AR | 苍白球(++),黑质(++),壳核(++),尾状核(++),丘脑(++)、小脑齿状核(++),红核(++) | 广泛的脑内铁沉积 | 脑白质病变、大脑及小脑萎缩 |
| NFT | FTL | AD | 苍白球(+),壳核(+),小脑齿状核(+),黑质(++),红核(+) | 广泛的脑内铁沉积部位出现继发性的囊性变,T2像高信号 | 轻度脑萎缩、中度脑白质病变、偶有额叶铁沉积 |
| KRD | ATP13A2 | AR | 苍白球(±),黑质(±),壳核(±),尾状核(±) | 无特异性影像表现 | 广泛性脑萎缩 |
| WSS | DCAF17 | AR | 苍白球(±) | 侧脑室周围、深部脑白质融合性病变,T2高信号 | 无 |
| CoPAN | COASY | AR | 苍白球(±) | 苍白球铁沉积T2低信号,可伴有内侧高信号,类似"虎眼征" | 尾状核、壳核、丘脑肿胀,T2高信号 |
注:所有亚型中,铁沉积在磁共振上都可以表现出相应部位的T2低信号,在此表格中不进行重复描述。++:明显铁沉积,+:铁沉积,±:可有铁沉积。AR:常染色体隐性遗传;AD:常染色体显性遗传;XD:X-连锁显性遗传。PKAN:泛酸激酶相关性神经变性病;PLAN:非钙依赖型磷脂酶A2相关性神经变性病;MPAN:线粒体膜蛋白相关性神经变性病;BPAN:β螺旋蛋白相关性神经变性病;FAHN:脂肪酸羟化酶相关性神经变性病;ACP:血浆铜蓝蛋白缺乏症;NFT:神经铁蛋白病;KRD:Kufor-Rakeb病;WSS:Woodhouse-Sakati综合征;CoPAN:辅酶A合成酶相关性神经变性病


5.其他辅助检查:视力障碍是NBIA疾病谱系中常见症状。如视网膜色素变性是PKAN及ACP患者常见表现,视神经萎缩见于PLAN、MPAN、FAHN等亚型,因而眼底检查、视觉电生理检查对诊断有帮助;铁蛋白水平对NFT的诊断、铜蓝蛋白水平对于ACP的诊断有重要意义;脑电图检查,尤其发现额叶部位慢波背景上快节律波对于INAD诊断有帮助;神经电生理检查,包括肌电图及神经传导速度,可以找到INAD患者周围神经病变的证据。少数PKAN患者外周血涂片可发现棘红细胞。
6.对于临床症状不典型的患者,如仅表现为步态障碍、锥体外系症状,影像上也未见明显铁沉积征象,在排除其他考虑的疾病后,仍应该进行PANK2、PLA2G6基因检测,以确诊或排除这两种最常见的NBIA亚型。
以锥体外系症状为主要临床表现者,需要与原发性肌张力障碍或帕金森病、遗传变性病或其他继发性因素导致锥体外系症状的疾病鉴别。以痉挛性步态为主要表现的亚型,如MPAN、FAHN,应与遗传性痉挛性截瘫鉴别。以小脑性共济失调为主要表现的INAD,尤其是不典型INAD,需要与脊髓小脑性共济失调中某些发病年龄早的亚型进行鉴别。
NBIA重要的影像学特征为双侧对称性基底节区病变,T2像低信号显示铁沉积。对称性累及基底节的疾病种类很多,中毒性(如甲醇、一氧化碳等)、代谢性(如肝硬化、高氨血症、低血糖、脑桥外髓鞘溶解、Wernicke脑病、Fahr病及Fahr综合征等)、遗传代谢性(如戊二酸血症1型、Leigh病等)、遗传变性病(肝豆状核变性、亨廷顿病等)。NBIA与这些疾病在影像学上的重要鉴别点是T2像低信号,而其他疾病在T2像上由于水肿、胶质增生等原因显示高信号。但是需要注意肝豆状核变性,在铜离子沉积严重或者采用高磁场MRI检查可以表现出均一的低信号或高低混杂信号,应注意鉴别。Fahr病及Fahr综合征双侧基底节对称性钙化病变也可在MRI显示低信号,CT扫描可显示高密度钙化病灶,予以排除。
是以ATP7B为致病基因的常染色体隐性遗传性铜代谢障碍性疾病,好发于青少年。铜离子蓄积在脑、肝、肾、角膜等处,引起进行性加重的锥体外系症状(帕金森综合征、舞蹈症、手足徐动、步态异常、肌张力障碍等)、肝硬化、精神症状、肾损害及角膜色素环。实验室检查铜蓝蛋白水平降低。MRI在T2像显示高信号,在高磁场或铜离子沉积严重的病例,T2像可显示低信号或混杂信号。
舞蹈样不自主运动、精神症状和进行性痴呆。青少年发病者舞蹈样症状可不占主导,而多表现为肌张力障碍、肌强直、肌阵挛,常伴癫痫、共济失调及认知障碍。典型的影像学特点为双侧尾状核萎缩,导致侧脑室前角扩大。在NBIA亚型中,主要与NFT鉴别,两者发病年龄及临床表现均相似。NFT可出现运动诱发的口面部肌张力障碍、认知障碍出现相对晚以及MRI上异常铁沉积伴囊性变可有助于两者区别。
由遗传因素导致的肌张力障碍,多为儿童或青少年期起病,也可成年起病,伴或不伴有其他症状叠加。例如,多巴反应性肌张力障碍(dopa-responsive dystonia,DRD),多见于儿童或青少年,常以肢体为首发部位,表现为肢体姿势异常、步态障碍,极少数伴有帕金森样表现,症状有晨轻暮重之特点,对左旋多巴效果显著,三磷酸鸟苷环化水解酶1(GCH-1)、酪氨酸羟化酶(TH)是常见致病基因。原发性扭转痉挛(idiopathic torsion spasm, ITS)是由DYT1基因突变所致,临床以肌张力障碍,四肢、躯干以至全身剧烈不随意扭转为特征。这一组疾病,临床上主要表现为肌张力障碍,也可叠加其他运动障碍,但是没有明显认知障碍及精神行为异常,影像学检查没有神经变性病的证据,可以与NBIA鉴别。
发病年龄<40岁,部分患者在儿童期发病。主要表现为肌强直、运动迟缓、动作笨拙及局灶性肌张力障碍,震颤少见,一般不累及认知和自主神经,对左旋多巴效果良好,早期出现运动并发症。在NBIA亚型中,PLAN-DP的致病基因PLA2G6、KRD的致病基因ATP13A2也被归为青少年型帕金森病的致病基因。青少年型帕金森病也可由其他基因突变,如Parkin、PINK1、DJ-1等导致,这些患者往往无明显认知障碍及精神症状,病情进展缓慢,病程长,影像学检查无神经变性病依据。确诊依靠基因检测。
这是一组临床、遗传高度异质的遗传变性病。多于儿童、青少年期起病,也见于其他年龄段。临床表现为缓慢进展的双下肢痉挛性肌无力,肌张力增高,腱反射亢进,病理征阳性,呈剪刀样步态等。可伴有锥体外系症状、视网膜色素变性、视神经萎缩、小脑性共济失调、感觉障碍、精神发育迟滞、痴呆、耳聋、肌萎缩、自主神经功能障碍、弓形足畸形等。MRI可显示脊髓萎缩,尤其是胸段脊髓萎缩。头颅MRI一般无异常,某些病例可表现胼胝体发育不良及大脑、小脑萎缩。HSP在临床表现、致病基因上与NBIA有重叠交叉,如FA2H基因既是遗传性痉挛性截瘫HSP35的致病基因,也是FAHN的致病基因。在诊断NBIA时,应与HSP进行鉴别。
多中年起病,主要表现为小脑性共济失调,也可伴有锥体外系症状、认知障碍、锥体束表现等。有些亚型可在儿童期起病,如SCA1、SCA2、SCA3、SCA7、SCA8、SCA12、SCA13、SCA25等。在NBIA谱系中,INAD主要表现为小脑性共济失调,尤其是不典型INAD病例在发病年龄、临床表现上与儿童期起病的某些SCA亚型相似,需要鉴别。
多于50~60岁起病,为散发性神经系统变性病,根据临床表现分为以帕金森综合征为突出表现的MSA-P型和以小脑性共济失调为突出表现的MSA-C型。前者主要表现为进行性肌强直、运动迟缓和步态障碍的帕金森样症状,对左旋多巴治疗效果不佳。可伴有锥体束征、自主神经功能障碍及小脑征。后者主要变现为共济失调步态,伴小脑性构音障碍、眼球震颤,可有锥体束征、自主神经功能障碍。MRI显示壳核、桥脑、小脑等有明显萎缩,脑桥基底部"十字征",第四脑室、脑桥小脑脚池扩大。在NBIA疾病谱中,只有NFT、ACP可在这个年龄段发病,通过临床表现、影像学检查、实验室检查,比较容易进行鉴别。
对于NBIA疾病谱系的治疗还缺乏有效的手段。目前仍然是对症治疗、营养支持、预防并发症。
左旋多巴治疗可能有效,对于PLAN-DP、BPAN、MPAN、KRD疗效相对确切,但是早期容易出现异动症、加重精神症状等并发症。不推荐使用多巴胺受体激动剂,尤其是伴有明显精神症状的患者。
对于局灶性或节段性肌张力障碍,注射A型肉毒毒素有效。对于偏侧性或全身性肌张力障碍,可口服苯海索、巴氯芬、复方左旋多巴、苯二氮
类药物,不推荐使用锥体外系副作用大的多巴胺受体拮抗类药物。深部脑刺激术(deep brain stimulation, DBS)和经颅磁刺激术(transcranial magnetic electric stimulation,TMES)对部分患者有效,但是有明显认知障碍或痴呆的患者不建议应用。部分典型PKAN患者,会在毫无征兆的情况下出现频繁的扭转痉挛、肌强直等肌张力障碍明显恶化的表现,也称作肌张力障碍危象(dystonic crisis)或肌张力障碍风暴(dystonic storm),在睡眠时消失是区别于其他神经病变导致强直状态的重要鉴别点。此类患者应进入重症监护中心(ICU)紧急处理。水合氯醛对呼吸、心跳抑制作用小,可以经肠道或口服水合氯醛镇静。如果不能有效控制,可以考虑静脉微泵苯二氮
类药物,咪达唑仑起效快、半衰期短,是首选,但需注意对呼吸、心跳的抑制作用。
舞蹈样症状患者伴有明显的精神症状,可考虑给予抗精神病药物。但是抗精神病药物可诱发或加重锥体外系症状。可考虑选用对锥体外系不良反应相对小的二代抗精神病药物,如喹硫平、奥氮平,小剂量逐渐滴定,并关注锥体外系症状。如果患者舞蹈样症状不伴有精神症状,可选用丁苯那嗪(目前国内无此药),但该药也有加重锥体外系、抑郁等不良反应,若效果不佳,可考虑替换为二代抗精神病药物。
巴氯芬可能有效。应用苯二氮
类药物或者注射A型肉毒毒素也有部分缓解痉挛症状的作用。
应请精神科医师一起参与治疗。抑郁症状,可选用苯二氮
类或者5-羟色胺再摄取抑制剂(SSRI)。SSRI类药物对情感淡漠、强迫、易激惹等症状也有一定疗效。对于幻觉、妄想等精神症状尽量选用不加重锥体外系症状的药物,如氯氮平、喹硫平,并应注意相应的药物不良反应,尤其是氯氮平可导致粒细胞减少,应定期复查粒细胞绝对值。对于躁狂,常用心境稳定剂或抗惊厥药物,如丙戊酸钠、卡马西平,应从小剂量起用,并注意监测肝功能和白细胞。对于谵妄,应首先排除药物不良反应,如抗胆碱能药物、苯二氮
类药物,消除致病因素,小剂量抗精神病药物可缓解症状。
认知行为疗法、语言功能训练及运动康复锻炼对于认知、语言及运动障碍具有一定的改善作用。
执笔人:肖勤(上海交通大学医学院附属瑞金医院神经科)、谭玉燕(上海交通大学医学院附属瑞金医院神经科)
参与讨论的委员(按姓氏笔画排序):万新华(中国医学科学院附属协和医院神经科);王丽娟(广东省人民医院神经科);王坚(复旦大学附属华山医院神经科);王青(中山大学第三附属医院神经科);王振福(解放军总医院神经科);王晓平(上海交通大学附属第一人民医院神经科);王涛(华中科技大学同济医学院协和医院神经科);王铭维(河北医科大学第一医院神经科);卢晓东(杭州师范大学附属医院神经科);叶民(南京医科大学附属明基医院神经科);叶钦勇(福建医科大学附属协和医院神经科);乐卫东(大连医科大学附属第一医院神经科);冯涛(首都医科大学附属北京天坛医院神经科);刘卫国(南京脑科医院神经科);刘艺鸣(山东大学齐鲁医院神经科);刘春风(苏州大学附属第二医院神经科);刘军(上海交通大学医学院附属瑞金医院神经科);刘振国(上海交通大学医学院附属新华医院神经科);刘焯霖(中山大学附属第一医院神经科);孙圣刚(华中科技大学同济医学院协和医院神经科);孙相如(北京大学附属第一医院神经科);杨新玲(新疆医科大学附属肿瘤医院神经科);邹海强(广州军区广州总医院神经科);张宝荣(浙江大学医学院附属第二医院神经科);张振馨(中国医学科学院附属协和医院神经科);陈生弟(上海交通大学医学院附属瑞金医院神经科);陈彪(首都医科大学宣武医院神经内科);陈先文(安徽医科大学附属第一医院神经科);陈海波(北京医院神经科);肖勤(上海交通大学医学院附属瑞金医院神经科);邵明(四川省康复医院神经科);罗晓光(中国医科大学附属第一医院神经科);罗蔚锋(苏州大学附属第二医院神经科);承欧梅(重庆医科大学附属第一医院神经科);胡兴越(浙江大学医学院附属邵逸夫医院神经科);徐评议(广州医科大学附属第一医院神经科);唐北沙(中南大学附属湘雅医院神经科);陶恩祥(中山大学孙逸仙纪念医院神经科);黄卫(南昌大学第二附属医院神经科);商慧芳(四川大学附属华西医院神经科);梁秀龄(中山大学附属第一医院神经科);彭国光(重庆医科大学附属第一医院神经科);蒋雨平(复旦大学附属华山医院神经科);程焱(天津医科大学总医院神经科);谢安木(青岛大学附属医院神经科);靳令经(同济大学附属同济医院神经科);谭玉燕(上海交通大学医学院附属瑞金医院神经科);薛峥(华中科技大学同济医学院附属同济医院神经科)




















