
调查腹泻型肠易激综合征(IBS-D)患者肠道症状、精神心理状态,探讨乙状结肠黏膜肥大细胞及其活化与症状和心理状态的关系。
连续纳入2009年7月至2012年6月在北京协和医院消化内科门诊就诊的符合罗马Ⅲ诊断和分型标准的IBS-D患者,面对面问卷调查IBS症状,以汉密尔顿焦虑量表(HAMA)、汉密尔顿抑郁量表(HAMD)评定心理状态;用类胰蛋白酶单克隆抗体免疫组织化学染色法检测乙状结肠黏膜肥大细胞,盲法计数肥大细胞和活化肥大细胞,以每高倍视野(HPF)细胞数表示,计算肥大细胞活化百分比。相关性分析采用Spearman秩相关分析。
共纳入97例IBS-D患者,平均年龄(44±11)岁。其中70.10%(68例)患者合并焦虑和(或)抑郁。所有患者乙状结肠黏膜肥大细胞总数的中位数为11.60(7.09)个/HPF,活化的肥大细胞数中位数为2.00(1.40)个/HPF,肥大细胞活化百分比中位数为17.50%(10.90%)。排便前腹痛/腹部不适的"频度为每日都有、程度为中~重度"的患者乙状结肠黏膜肥大细胞的总数明显高于"<每日都有、轻度"患者[13.80(4.85)比7.60(5.90)个/HPF,P=0.019];"经常"出现排便急迫感和排黏液便的患者结肠黏膜活化肥大细胞百分比明显高于"偶尔-有时"患者[18.75%(9.12%)比14.50%(13.14%),P=0.031;21.33%(7.43%)比11.51%(10.65%)比18.42%(8.61%),P=0.030];IBS-D症状发作时患者排便次数和乙状结肠黏膜肥大细胞活化百分比呈正相关(r=0.221,P=0.030)。合并与不合并焦虑抑郁的患者比较,二者肥大细胞总数、活化肥大细胞百分比差异均无统计学意义(P=0.255、0.315)。HAMA、HAMD评分与乙状结肠黏膜肥大细胞总数、活化肥大细胞百分比间无显著相关性(均P>0.05)。
多数IBS-D患者合并焦虑抑郁状态,乙状结肠黏膜肥大细胞数量及其活化状态与IBS-D患者的肠道症状相关,精神心理异常可能是通过肥大细胞以外的脑-肠轴机制影响IBS的发生、发展。
版权归中华医学会所有。
未经授权,不得转载、摘编本刊文章,不得使用本刊的版式设计。
除非特别声明,本刊刊出的所有文章不代表中华医学会和本刊编委会的观点。
肥大细胞(mast cell)是一种具有强嗜碱性颗粒的组织细胞,广泛分布于皮肤和内脏黏膜下的微血管周围。在肠道中作为一种抗原感受器,当肠道受到各种理化因素或内源性物质的刺激时,肠黏膜肥大细胞对刺激产生应答,脱颗粒释放大量生物活性介质和因子,引起内脏高敏感、胃肠道分泌-运动功能异常。肥大细胞作为一种免疫细胞参与炎症介导的病理生理反应,导致肠易激综合征(irritable bowel syndrome,IBS)[1]。精神心理因素通过脑-肠互动作用于肠神经系统(enteric nervous system,ENS),参与调节肠道炎症和免疫反应,诱发和加重IBS患者的肠道症状。精神心理能否通过脑-肠轴影响肠道肥大细胞的数量和活化,目前还存在争议,尚缺乏针对腹泻型IBS(IBS with diarrhea,IBS-D)的相关研究资料。本研究通过比较合并和不合并精神心理异常的IBS-D患者乙状结肠黏膜肥大细胞数量及其活化状态,分析肥大细胞数量及其活化状态与肠道症状的关系,探讨精神心理因素通过脑-肠互动影响IBS-D症状可能的病理生理机制。
2009年7月至2012年6月在北京协和医院消化内科门诊连续入组确诊的IBS-D患者,纳入标准如下:年龄18~65岁,符合罗马Ⅲ IBS诊断标准;且在未用止泻剂或轻泻剂的情况下,至少25%的排便为松散(糊状)粪或水样粪(指Bristol粪便性状量表6~7型),硬粪或干球粪(1~2型)<25%,即符合IBS-D诊断。近1年内经血常规、尿常规、粪便常规和隐血试验、肝肾功能、甲状腺功能、癌胚抗原、红细胞沉降率和C反应蛋白、结肠镜或钡灌肠、腹部超声等检查明确排除胃肠道器质性疾病、结缔组织病、代谢性疾病。患者签署知情同意书。本研究经北京协和医院科研伦理委员会审核批准(S-234)。
IBS症状发作规律调查表内容有:IBS-D主要症状包括平素腹痛/腹部不适、排便前出现或加重的腹痛/腹部不适、排便后腹痛/腹部不适的改善情况;通常情况下和IBS-D发作时的排便次数、粪便性状;与排便相关症状包括排便急迫感、排黏液便、排便不尽感等。记录上述症状的频度、程度和病程,其中频度的分级参照罗马Ⅲ诊断性问卷[2]。由经过培训的调查员与患者面对面、逐项进行调查,研究负责人审核。
由经过正规培训的2名研究者完成汉密尔顿焦虑量表(HAMA)和汉密尔顿抑郁量表(HAMD)评定。按照量表的标准判断焦虑、抑郁及其严重程度,将HAMA≥14分判定为焦虑,HAMD≥17分判定为抑郁。
IBS-D患者接受常规结肠镜检查,退镜时于乙状结肠处(距肛缘20 cm)用定向活检钳取活检标本2块,立即放入10%中性甲醛固定液中固定,常规石蜡包埋,连续切片,厚度为4 μm。标本经HE染色后常规显微镜下观察,均无活动性炎症。
采用类胰蛋白酶单克隆抗体免疫组织化学染色法:将切片依次进行烤片、脱蜡、水化、抗原热修复、去除内源性过氧化物酶、血清封闭、一抗[类胰蛋白酶(1∶3 000,EMD Biosciences公司)]特异性结合组织内的抗原、免疫结合一抗类胰蛋白酶单克隆抗体形成酶标免疫复合物、与含有过氧化物酶的免疫复合物呈色反应、苏木精复染、脱水、透明、封片等。
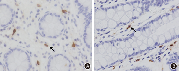
光镜下观察免疫组织化学染色切片,见肥大细胞散布于黏膜固有层和黏膜下层,胞质内含有大量阳性着色颗粒,呈点、片状分布。未脱颗粒者胞膜界限光滑、整齐,脱颗粒者则胞膜连续性不完整,着色颗粒涌出细胞外,细胞周边呈点、片状阳性着色,肥大细胞形态变异、不规整;活化的肥大细胞具有明显的脱颗粒现象(图1)。盲法计数:显微镜低倍视野(×100)观察整张切片组织,选择染色阳性细胞分布最为密集区域作为计数目标区域,转换成高倍视野(×400),在上述选择区域从左上角起始,按自左向右、自上而下的方向,连续摄取5个不重复视野的数码图像。每张图片代表一个高倍视野,分别计数肥大细胞总数、脱颗粒肥大细胞数或活化肥大细胞数。染色切片上标注患者编号,由一名病理科医生进行独立阅片,她不知晓患者的临床症状和分期。肥大细胞计数以平均每高倍视野(HPF,×400)肥大细胞数表示。根据脱颗粒的肥大细胞数计算肥大细胞活化百分比。肥大细胞活化百分比=脱颗粒肥大细胞数/肥大细胞总数×100%。


计量数据呈偏态分布,以M(QR)表示。使用SPSS 18.0统计分析软件包进行数据分析。根据数据分布特征,组间比较采用Mann-Whitney检验或Kruskal-Wallis H检验;相关性分析采用Spearman秩相关分析,P<0.05为差异有统计学意义。结果
1.一般资料及肠道症状:共纳入IBS-D患者97例,男54例,女43例,男女比1.26∶1;年龄(44±11)岁。中位病程为4.5(8.5)年。97例IBS-D患者中,42.27%(41例)平素(指非排便时间)存在腹痛/腹部不适;所有患者均在排便前出现腹痛/腹部不适或平素的腹痛/腹部不适在排便前有加重,其中19.59%(19例)患者腹痛/腹部不适为中~重度且每日都有,仅有5.15%(5例)患者腹痛/腹部不适为轻度且非每日都有。84.54%(82例)患者IBS症状发作时排糊状粪,15.46%(15例)排水样粪;52.58%(51例)患者腹痛/腹部不适在排便后完全缓解。74.23%(72例)患者存在排便不尽感;83.51%(81例)有排便急迫感,其中44.33%(43例)为"经常"出现排便急迫感;71.13%(69例)患者有排黏液便,其中16.49%(16例)为"经常"排黏液便。
本组患者HAMA评分为(16.59±6.72)分,HAMD评分为(14.05±5.80)分。共计70.10%(68例)患者合并精神心理异常[包括焦虑和(或)抑郁],37.11%(36例)仅伴有焦虑,2.06%(2例)仅伴有抑郁,30.93%(30例)同时伴有焦虑和抑郁;28.87%(28例)为中~重度精神心理异常[指中~重度焦虑和(或)中~重度抑郁]。
97例IBS-D患者乙状结肠黏膜肥大细胞总数的中位数为11.60(7.09)个/HPF,活化的肥大细胞中位数为2.00(1.40)个/HPF,肥大细胞活化百分比中位数为17.50%(10.90%)。
排便前腹痛/腹部不适的"频度为每日都有、程度为中~重度"的患者乙状结肠黏膜肥大细胞的总数明显高于"<每日都有、轻度"患者(P=0.019)(表1)。IBS症状发作时排便次数与结肠黏膜肥大细胞活化百分比呈正相关(r=0.221,P=0.030)(图2)。IBS发作时的粪便性状与肥大细胞总数及其活化百分比无关(P=0.405,P=0.326)。"经常"出现排便急迫感的患者结肠黏膜肥大细胞活化百分比显著高于"偶尔-有时"有排便急迫感的患者(P=0.031);"经常"排黏液便的患者结肠黏膜肥大细胞数及其活化百分比均显著高于"偶尔"、"有时"排黏液便的患者(P=0.030)(表1)。

腹泻型肠易激综合征患者肠道症状和乙状结肠黏膜肥大细胞总数及其活化程度的关系[M(QR)]
腹泻型肠易激综合征患者肠道症状和乙状结肠黏膜肥大细胞总数及其活化程度的关系[M(QR)]
| 症状 | 例数 | 肥大细胞总数(个/HPF) | P值 | 肥大细胞活化百分比(%) | P值 | ||
|---|---|---|---|---|---|---|---|
| 平素腹痛/腹部不适 | |||||||
| 无 | 56 | 10.60(6.80) | 0.126 | 16.20(12.13) | 0.656 | ||
| 有 | 41 | 13.40(7.20) | 18.60(9.17) | ||||
| 排便前腹痛/腹部不适 | |||||||
| 程度 | |||||||
| 轻度 | 7 | 9.00(6.40) | 0.224 | 19.12(11.69) | 0.449 | ||
| 中度 | 69 | 11.20(7.70) | 18.20(10.67) | ||||
| 重度 | 21 | 13.60(4.69) | 18.20(11.26) | ||||
| 频度 | |||||||
| <每日都有 | 76 | 11.30(7.55) | 0.173 | 18.00(11.81) | 0.590 | ||
| 每日都有 | 21 | 13.80(5.43) | 16.39(8.77) | ||||
| 轻度、<每日都有 | 5 | 7.60(5.90) | 0.019a | 19.12(15.82) | 0.696 | ||
| 中~重度、每日都有 | 19 | 13.80(4.85) | 16.39(10.35) | ||||
| 发作时粪便性状 | |||||||
| 糊状粪 | 82 | 11.40(6.86) | 0.405 | 17.96(10.68) | 0.326 | ||
| 水样粪 | 15 | 13.60(8.53) | 13.79(10.39) | ||||
| 排便后腹痛/腹部不适改善程度 | |||||||
| 完全改善 | 51 | 11.20(6.80) | 0.662 | 16.39(11.19) | 0.897 | ||
| 未完全改善 | 46 | 12.40(7.30) | 17.61(10.01) | ||||
| 排便不尽感 | |||||||
| 无 | 25 | 12.20(8.20) | 0.859 | 16.00(11.36) | 0.714 | ||
| 有 | 72 | 11.30(6.60) | 17.61(11.03) | ||||
| 排便急迫感 | |||||||
| 偶尔-有时 | 38 | 11.04(8.70) | 0.449 | 14.50(13.14) | 0.031a | ||
| 经常 | 43 | 12.60(5.07) | 18.75(9.12) | ||||
| 排黏液便 | |||||||
| 偶尔 | 16 | 9.60(7.47) | 0.454 | 11.51(10.65) | 0.030a | ||
| 有时 | 37 | 13.80(7.50) | 18.42(8.61) | ||||
| 经常 | 16 | 11.40(8.19) | 21.33(7.43) | ||||
注:两组间比较采用Mann-Whitney检验,三组间比较采用Kruskal-Wallis H检验;aP<0.05


在功能性胃肠病-罗马Ⅲ诊断标准中,没有提及IBS患者在非症状发作期的腹部症状,本研究中特别关注了患者在平素是否存在腹痛和腹部不适。分析发现:平素存在腹痛/腹部不适的患者其乙状结肠黏膜肥大细胞总数及其活化百分比与非发作期无腹部疼痛/不适的患者比较,差异无统计学意义(P=0.126,P=0.656)(表1)。
合并精神心理异常以及不同状态、不同程度心理异常患者乙状结肠黏膜肥大细胞总数及其活化百分比与无精神心理异常患者比,差异均无统计学意义(表2)。进一步将HAMA、HAMD评分分别与肥大细胞总数、活化百分比进行Spearman秩相关分析,发现:精神心理状态评分和乙状结肠黏膜肥大细胞总数、活化百分比间均无显著相关性(图3)。

腹泻型肠易激综合征患者精神心理异常和乙状结肠黏膜肥大细胞总数及其活化百分比的关系[M(QR)]
腹泻型肠易激综合征患者精神心理异常和乙状结肠黏膜肥大细胞总数及其活化百分比的关系[M(QR)]
| 精神心理状态 | 例数 | 肥大细胞总数(个/HPF) | P值 | 肥大细胞活化百分比(%) | P值 | |
|---|---|---|---|---|---|---|
| 精神心理异常 | ||||||
| 无 | 29 | 9.60(8.20) | 0.255 | 20.00(11.80) | 0.315 | |
| 有 | 68 | 12.20(6.81) | 16.67(10.67) | |||
| 按精神心理异常状态分 | ||||||
| 仅伴有焦虑 | 36 | 12.80(6.55) | 0.873 | 16.86(11.03) | 0.708 | |
| 伴抑郁或(和)焦虑 | 32 | 11.50(8.06) | 16.67(10.36) | |||
| 按精神心理异常程度分 | ||||||
| 轻度 | 40 | 12.30(5.45) | 0.160 | 15.67(10.84) | 0.244 | |
| 中~重度 | 28 | 12.20(7.80) | 18.24(13.00) | |||
注:两组间比较采用Mann-Whitney检验


认知情感中枢、神经-免疫-内分泌、ENS及其组成的双向交通通路共同构成了复杂的神经-内分泌网络,称为脑-肠轴[3]。精神心理因素可通过脑-肠互动影响外周肠道神经-免疫-内分泌网络,诱发和加重临床症状,并降低患者的生活质量[4]。肥大细胞作为神经-免疫-内分泌网络中的重要环节,与ENS、胃肠感觉和运动功能、黏膜炎症和免疫反应均有不同程度的联系[1,5]。IBS患者症状发作期结肠黏膜肥大细胞总数和活化百分比显著增加[1]。然而,IBS患者肠道黏膜肥大细胞数量和活化程度发生变化的确切部位尚未明确,有研究表明这种改变仅发生于十二指肠和空肠[6,7],有研究发现仅在患者的结直肠黏膜肥大细胞数量和活化程度有增加[8,9]。肥大细胞在肠道的浸润、释放介质与IBS患者腹痛、腹泻相关[10,11]。本研究纳入的研究对象均为IBS-D患者,发现排便前的腹痛/腹部不适症状严重者乙状结肠黏膜肥大细胞总数增多;肥大细胞活化的比例越高,患者症状发作时排便次数增多越明显;乙状结肠黏膜活化的肥大细胞数和百分比与患者明显的排便急迫感和经常的排黏液便相关。提示:乙状结肠黏膜肥大细胞数量及其活化程度与IBS-D患者部分肠道症状相关。
在IBS患者,焦虑抑郁评分和回盲部肠黏膜肥大细胞数目和脱颗粒比率呈正相关性[12];伴心境障碍的IBS患者回肠末端肥大细胞数和活化显著高于不伴精神障碍者;在新发病的感染后IBS患者,直肠黏膜肥大细胞和抑郁均是发生感染后IBS的独立预测因子[13,14]。这些资料提示,肥大细胞数量及其活化的增加可能参与了精神心理障碍对肠道的影响。应激状态可以导致肥大细胞的增多、脱颗粒(即活化),并释放多种生物活性介质和因子[15]。人体研究表明,三环类抗抑郁药物阿米替林等也具有拮抗肥大细胞释放多种炎症介质的作用[16]。提示:精神心理因素有可能是通过影响肥大细胞的数量和活化状态进而影响脑-肠轴功能。然而,也有研究并没有发现精神心理异常和肠黏膜肥大细胞数量、活化状态的相关性[8,9,10]。
本研究分别分析乙状结肠黏膜肥大细胞的数量及其活化程度与IBS-D患者肠道症状、精神心理异常(主要是焦虑、抑郁状态)的相关性,发现乙状结肠黏膜肥大细胞的数量及其活化程度与部分肠道症状有关,而与HAMA、HAMD评分无相关性。可能的解释是:(1)精神心理因素主要通过其他机制影响肠道感觉和分泌运动功能,如下丘脑-垂体-肾上腺轴;(2)肥大细胞主要在与炎症相关的应激状态时发挥重要作用,因为本研究纳入的受试者乙状结肠活检标本在常规病理检查时均无活动性炎症;(3)抗抑郁药除中枢作用外,还有直接的外周作用,因此对那些不伴精神心理异常的患者也有效,其对肥大细胞的稳定作用可能更多地与抗抑郁药物的直接外周机制相关[17]。
本研究纳入的患者均为IBS-D患者所取黏膜部位为距离肛缘20 cm的乙状结肠,对患者心理状态的评估沿用的是症状评估量表,这种设计旨在限定影响研究结果的复杂因素,而设计本身也可能对研究结果带来影响,如IBS患者肠黏膜肥大细胞的改变可能存在亚型、肠段分布的差异。因此,明确肠道黏膜肥大细胞是否介导精神心理因素对IBS患者肠道症状的影响,还需要纳入无症状人群以及其他类型的IBS患者、扩大样本量、尽可能多部位钳取肠道黏膜标本,并同时关注精神心理对外周的其他可能作用机制的影响。需要指出的是,IBS患者存在明显的异质性,症状波动性大,不同症状发作、不同的应激状态和饮食均可能对肠道黏膜肥大细胞及其活化状态带来影响。
综上所述,乙状结肠黏膜肥大细胞数量及其活化状态与IBS-D患者的肠道症状相关,精神心理异常可能是通过肥大细胞以外的脑-肠轴机制影响IBS-D的发生、发展。探讨肥大细胞和精神心理异常与IBS肠道症状之间的关系可为探索新治疗靶点提供线索。





















