
探究摩罗丹对胃分泌功能的影响以及其治疗萎缩性胃炎的机制。
120只SPF级SD雄性大鼠采用随机数字表法随机分为正常对照组、萎缩性胃炎模型组、摩罗丹低剂量治疗组及摩罗丹高剂量治疗组,30只/组。正常对照组每天2 ml生理盐水灌胃;其余3组每天20 mol/L脱氧胆酸钠1 ml、2%水杨酸钠1 ml灌胃,每10天给予N-甲基-N′-硝基-N-亚硝基胍(MNNG)200 mg/kg灌胃1次,持续造模16周。模型成功后,正常对照组及模型组每天2 ml生理盐水灌胃;摩罗丹低剂量治疗组给予摩罗丹0.9 g·kg-1·d-1灌胃;摩罗丹高剂量治疗组给予摩罗丹1.8 g·kg-1·d-1灌胃,持续治疗12周,分别于治疗第4、8、12周末取材。观察摩罗丹治疗萎缩性胃炎的效果,同时检测胃黏膜的分泌功能,免疫组化方法测定大鼠胃黏膜胃泌素(GAS)分泌细胞(G细胞)及生长抑素(SS)分泌细胞(D细胞)的变化情况,酶联免疫吸附测定法(ELISA)测定大鼠血清中GAS及SS水平。
与模型组相比,摩罗丹高剂量治疗组大鼠胃窦黏膜G、D细胞数在治疗8周后升高[(0.617±0.114)比(0.476±0.116)个/mm2,(0.504±0.084)比(0.369±0.148)个/mm2,均P<0.05],摩罗丹低剂量治疗组大鼠胃窦黏膜G、D细胞数在治疗12周后升高[(0.674±0.129)比(0.528±0.103)个/mm2,(0.526±0.087)比(0.371±0.058)个/mm2,均P<0.05];摩罗丹高剂量治疗组治疗8周、低剂量治疗组治疗12周后血清GAS高于模型组[(1.313±0.080)比(0.964±0.080)ng/ml,(1.202±0.124)比(0.909±0.054)ng/ml,均P<0.01];摩罗丹高、低剂量治疗组血清SS水平均在治疗8周后低于模型组[(2.376±0.199)、(2.238±0.155)比(2.605±0.183)ng/ml;均P<0.05]。
摩罗丹可通过修复萎缩性胃炎大鼠胃黏膜G、D细胞,升高血清GAS水平治疗萎缩性胃炎。
版权归中华医学会所有。
未经授权,不得转载、摘编本刊文章,不得使用本刊的版式设计。
除非特别声明,本刊刊出的所有文章不代表中华医学会和本刊编委会的观点。
慢性萎缩性胃炎( chronic atrophic gastritis,CAG)[1]是一种以胃黏膜固有腺体数量减少或消失(伴或不伴有肠化生)为病理特点的消化系统常见疾病。2011年一项针对8 892例有消化道症状的慢性胃炎患者的横断面研究表明我国CAG的患病率较高[2]。同时,研究表明在慢性胃炎的人群中CAG与胃癌的发病率呈正相关[3]。因此,如果能在CAG早期进行积极的治疗,通过逆转胃黏膜腺体的萎缩、肠化生等延缓其病变进程,不仅对于疾病本身,同时对于胃癌的早期预防也具有重要的意义。本研究拟通过摩罗丹治疗CAG大鼠,观察大鼠胃黏膜胃泌素(gastrin,GAS)分泌细胞(G细胞)、生长抑素(somatostatin,SS)分泌细胞(D细胞)及血清中GAS、SS水平的变化,探索摩罗丹治疗CAG的可能机制,为摩罗丹临床治疗CAG提供实验依据。
成熟SPF级SD雄性大鼠,120只,体质量(200±20)g,由北京维通利华实验动物技术有限公司提供。饲养条件:照明控制设定为12 h明暗交替,恒温(20~26 ℃)、恒湿(50%~65%)的空气洁净层流架内,笼具、垫料、饲料和饮水均经高压蒸汽灭菌,并在无菌条件下适时更换。摩罗丹浓缩丸粉末(国药准字号Z200900132)购自邯郸制药股份有限公司;水杨酸钠(批号S3007-500G)、脱氧胆酸钠(批号30970-100G)购自美国Sigma公司;N-甲基-N′-硝基-N-亚硝基胍(MNNG,批号M0527)购自梯希爱(上海)化成工业发展有限公司;兔抗大鼠GAS抗体(批号bs-1189R)购自北京博奥森公司;兔抗大鼠SS抗体(批号BAO124)购自武汉博士德公司;二抗:超敏两步法免疫组化检测试剂(编号PV-9001)购自北京中杉金桥生物技术有限公司;大鼠酶联免疫吸附测定试剂盒(GAS、SS)购自上海蓝基生物科技有限公司。
120只SPF级SD雄性大鼠按随机数字表法分为正常对照组、模型组、摩罗丹低剂量治疗组及摩罗丹高剂量治疗组4个组,30只/组。正常对照组每天2 ml生理盐水灌胃;其余3组每天20 mol/L脱氧胆酸钠1 ml,2%水杨酸钠1 ml灌胃,MNNG 200 mg/kg每10天1次灌胃,持续造模16周[4,5]。
模型成功后,正常对照组及模型组每天2 ml生理盐水灌胃;摩罗丹低剂量治疗组给予摩罗丹0.9 g·kg-1·d-1灌胃;摩罗丹高剂量治疗组给予摩罗丹1.8 g·kg-1·d-1灌胃,持续治疗12周,期间大鼠正常进食饮水。分别于治疗第4、8、12周末次给药后禁食不禁水12 h后进行标本取材(实验动物伦理批号:1115032300283)。10%水合氯醛大鼠腹腔注射麻醉,腹主动脉取血,注入EDTA抗凝管中混匀,4 ℃ 3 000 r/min,离心半径135 mm,离心10 min取血清;剖腹取出全胃,沿大弯侧切开,生理盐水冲洗,分别于胃底、体、窦及小弯处取材,4%甲醛固定,常规石蜡包埋。
采用Polink-2 plus®超敏二步法,石蜡切片脱蜡至水,在Tris/EDTA修复液(pH 9.0)高温高压修复20 min,自然冷却,磷酸盐缓冲液(PBS)冲洗,2 min×3次;3% H2O2避光封闭20 min,PBS冲洗,2 min×3次;滴加一抗,GAS一抗(1∶500)和SS一抗(1∶200),4 ℃过夜;次日PBS冲洗,2 min×3次,滴加Polink-2 plus试剂1,室温30 min,PBS冲洗,2 min×3次,滴加试剂2,室温60 min,PBS冲洗,2 min×3次;DAB显色;蒸馏水漂洗,苏木精复染2 min,乙醇分化5 s,返蓝30 s;脱水、透明、封片。在400倍光学显微镜下每张切片按等距抽样原则随机摄取3个视野,应用Image-Pro Plus 6.0软件计算阳性细胞数与面积比(个/mm2)。
按照标准品的次序分别加入100 μl的标准品溶液于空白微孔中,空白微孔中加入100 μl待测血清,空白对照加入100 μl的蒸馏水,在各孔中加入50 μl的酶标记溶液(不含空白对照孔),将酶标板用封口胶密封后,37 ℃孵育1 h,充分清洗酶标板5次,吸水纸拍干,各孔分别加入显色剂A、B各50 μl;20~25 ℃下避光10 min;加入50 μl终止液,终止反应。在酶标仪450 nm波长下测量,计算血清中GAS及SS含量。
采用SPSS 22.0统计软件对数据进行处理分析。正态分布的计量资料采用
±s表示,多组数据比较采用单因素方差分析,再两两比较采用LSD检验。P<0.05为差异有统计学意义。
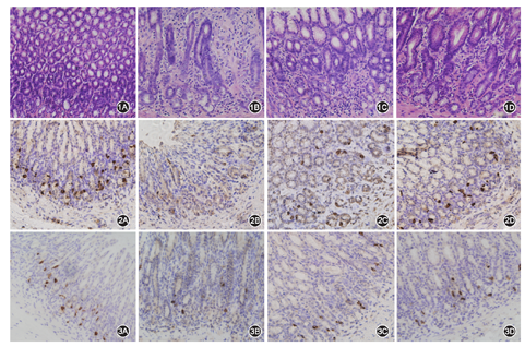
正常对照组:为正常胃窦黏膜结构,主要由黏液细胞、G细胞及D细胞组成;模型组:造模16周时,萎缩主要发生在大鼠胃窦部,胃窦黏膜层变薄,固有腺体数目明显较少,结构紊乱,黏膜肌层增厚,插入固有腺体层,可见大量炎症细胞浸润;摩罗丹低剂量治疗组:治疗12周,固有层腺体萎缩改善,黏膜基层增厚病变减轻,黏膜基层仍明显可见炎症细胞浸润;摩罗丹高剂量治疗组:治疗12周,固有层腺体萎缩明显改善,黏膜基层散在炎症细胞浸润(图1)。


G、D细胞阳性反应均为胞质内棕黄色,胃窦部G细胞较多,主要分布在胃窦黏膜腺体的下2/3,偶见于黏膜上部;D细胞数量较G细胞少,主要分布在胃窦黏膜的下1/3,偶见于黏膜中上部。D细胞形态与G细胞相似,可呈圆形、三角形或不规则。与模型组相比,摩罗丹高剂量治疗组治疗8周可明显提高CAG大鼠胃黏膜G、D细胞数(均P<0.05),低剂量治疗组治疗12周亦可明显提高CAG大鼠胃黏膜G、D细胞数(均P<0.05)(图2,图3、表1)。

各组大鼠胃窦黏膜G、D细胞密度(n=10,
±s,个/mm2)
各组大鼠胃窦黏膜G、D细胞密度(n=10,
±s,个/mm2)
| 组别 | G细胞 | D细胞 | ||||
|---|---|---|---|---|---|---|
| 4周 | 8周 | 12周 | 4周 | 8周 | 12周 | |
| 正常对照组 | 0.755±0.105 | 0.717±0.113 | 0.641±0.075 | 0.526±0.087 | 0.515±0.053 | 0.516±0.087 |
| 模型组 | 0.518±0.052 | 0.476±0.116 | 0.528±0.103 | 0.392±0.115 | 0.369±0.148 | 0.371±0.058 |
| 摩罗丹低剂量治疗组 | 0.539±0.061 | 0.522±0.085 | 0.674±0.129a | 0.430±0.061 | 0.400±0.138 | 0.526±0.087a |
| 摩罗丹高剂量治疗组 | 0.593±0.147 | 0.617±0.114a | 0.677±0.125a | 0.429±0.142 | 0.504±0.084a | 0.501±0.084a |
注:同时间内,与模型组比较,aP<0.05
与模型组相比,摩罗丹高剂量治疗组治疗8周可明显提高CAG大鼠血清GAS水平(P<0.01),低剂量治疗组治疗12周亦可提高CAG大鼠血清GAS水平(P<0.01);与模型组相比,摩罗丹高、低剂量治疗组治疗8周均能明显降低CAG大鼠血清SS水平(均P<0.05)(表2)。

各组大鼠血清GAS、SS含量(n=10,
±s,ng/ml)
各组大鼠血清GAS、SS含量(n=10,
±s,ng/ml)
| 组别 | GAS含量 | SS含量 | ||||
|---|---|---|---|---|---|---|
| 4周 | 8周 | 12周 | 4周 | 8周 | 12周 | |
| 正常对照组 | 1.420±0.110 | 1.408±0.073 | 1.344±0.185 | 2.275±0.152 | 2.242±0.084 | 2.128±0.084 |
| 模型组 | 0.917±0.054 | 0.964±0.080 | 0.909±0.054 | 2.643±0.131 | 2.605±0.183 | 2.457±0.276 |
| 摩罗丹低剂量治疗组 | 1.082±0.069 | 1.178±0.139 | 1.202±0.124a | 2.428±0.168 | 2.238±0.155b | 2.278±0.115 |
| 摩罗丹高剂量治疗组 | 1.166±0.063 | 1.313±0.080a | 1.302±0.031a | 2.258±0.173 | 2.376±0.199b | 2.162±0.101b |
注:GAS:胃泌素;SS:生长抑素;同时间内,与模型组比较,aP<0.01,bP<0.05
1978年世界卫生组织(WHO)将CAG列为胃癌的癌前状态,在此基础上伴发的不完全型肠化生和(或)中、重度异型增生则被视为癌前病变。目前普遍接受的慢性胃炎演变为肠型胃癌的一般过程由Correa在1992年提出,即:浅表性胃炎→CAG→胃黏膜肠上皮化生→胃黏膜不典型增生→胃癌[7]。幽门螺杆菌感染、高盐饮食、免疫、十二指肠液反流及遗传等[8,9]都是CAG的危险发病因素。临床对于CAG的治疗主要为针对其病因所采取的措施,如幽门螺杆菌的根除、保护胃黏膜、增强胃动力及抗氧化剂的应用等[10],西医对于CAG的治疗缺乏理想的治疗方法,中医药治疗CAG具有其独特的优势。
摩罗丹由百合、茯苓、玄参、乌药、泽泻、麦冬、当归、茵陈、延胡索、白芍、石斛、九节菖蒲、川芎、鸡内金、三七、白术、地榆、蒲黄等18味中药组成。多项临床随机对照研究表明,摩罗丹可以通过减轻黏膜炎症,调节胃动力,促进胃肠蠕动及胆汁排空等达到治疗CAG的作用,且在改善CAG患者上腹不适、嗳气等临床症状方面效果优于叶酸[11,12]。
胃黏膜分泌细胞主要由分布于胃体的壁细胞、主细胞,胃窦的G、D细胞组成。壁细胞又称泌酸细胞,主要分泌盐酸,主细胞主要分泌胃蛋白酶原,盐酸可使胃蛋白酶原变为具有活性的胃蛋白酶,同时胃蛋白酶对胃蛋白酶原也有激活作用。萎缩性胃体炎主要以胃体黏膜炎症及萎缩为病理特征,由于胃体部腺体的萎缩,壁细胞及主细胞数量减少,胃酸及胃蛋白酶原的分泌也随之下降,目前血清胃蛋白酶原Ⅰ及胃蛋白酶原Ⅰ/胃蛋白酶原Ⅱ的检测是临床诊断萎缩性胃体炎的非侵入性检查之一[13]。萎缩性胃窦炎病变主要发生在胃窦部,对壁细胞及主细胞影响较小,胃酸分泌正常或稍低。大鼠CAG模型主要为萎缩性胃窦炎,各组大鼠胃酸及胃蛋白酶原Ⅰ、胃蛋白酶原Ⅰ/胃蛋白酶原Ⅱ的分泌并无明显变化(P>0.05)。
GAS是第一个被发现由胃黏膜上皮细胞分泌的多肽类激素,主要由分布于胃窦及十二指肠近端黏膜的G细胞分泌,具有广泛的生理学作用,可以通过刺激胃酸分泌、引起胃窦平滑肌收缩等参与消化系统内分泌及运动功能的调节[14,15];SS最早被发现是在羊下丘脑产生的一种抑制生长激素分泌的因子,进一步研究证实SS对多种激素的分泌都具有抑制作用[16]。SS在胃内的分泌主要来源于分布于胃体和胃窦黏膜的D细胞,是抑制胃酸分泌的主要调节激素,同时还可抑制胃肠运动;GAS与SS之间存在着独特的相互调节作用,GAS可直接作用于D细胞刺激SS分泌,反之SS又可通过直接抑制GAS的分泌,抑制GAS基因的翻译、降低其mRNA的稳定性而减少GAS的生物合成,以及释放神经性一氧化氮合酶调节G细胞的凋亡,而达到对GAS分泌的抑制作用[17,18]。
CAG大鼠胃窦黏膜萎缩,黏膜内分泌功能随之下降,本研究结果显示CAG大鼠胃窦黏膜G、D细胞较正常对照组明显减少,而摩罗丹治疗改善胃窦黏膜萎缩后,G、D细胞数水平均有所上升,与黏膜修复情况相关;血清GAS水平变化与胃窦黏膜G细胞数变化平行,胃窦黏膜发生萎缩时G细胞数量减少,继而导致GAS分泌下降,血清含量减少,摩罗丹治疗后胃窦黏膜G细胞数有所恢复,血清GAS水平也随之上升。
有关血清SS水平的研究显示,CAG外周血中SS水平明显降低,分析其原因是由于胃黏膜萎缩导致D细胞数减少,继而引起外周血中SS的下降。然而ELISA结果显示CAG大鼠血清SS水平明显上升,与报道[19,20]相同。目前对于CAG胃窦黏膜D细胞减少而血清SS水平上升的机制并不是十分清楚。分析认为可能是由于CAG大鼠胃窦黏膜G细胞数和GAS分泌的减少,胃内酸性环境减弱,负反馈作用于G细胞,G细胞的代偿状态又进一步促使D细胞大量产生SS增加对胃泌素的抑制作用,继而加重血清GAS的下降。经摩罗丹治疗后,血清SS逐渐下降,继而减轻了其对GAS的抑制作用,此亦可提高血清GAS水平。
综上所述,摩罗丹可以通过减轻胃黏膜炎症,修复胃窦黏膜G、D细胞,控制和调节胃肠激素分泌,达到治疗CAG的效果。





















