
探讨线粒体脑肌病伴高乳酸血症和卒中样发作(MELAS)的临床和磁共振灌注加权成像(PWI)特点,提高早期诊断率。
收集2012年1月至2016年6月在河南省人民医院住院治疗的46例最终确诊为MELAS的临床及影像学资料。
首发症状为癫痫、偏瘫、语言障碍、视力下降等。病灶区弥散加权成像(DWI)呈高信号,表现扩散系数(ADC)图随病程发展可呈高信号、低信号及高低信号并存。磁共振血管造影(MRA)均无明显血管狭窄。PWI急性期灌注增高,慢性期灌注正常或减低。
MELAS临床表现复杂多样,缺乏特异性,常规磁共振成像(MRI)检查对于病变的筛选有很大的意义,PWI具有特征性表现,有助于提高该病早期诊断率。
版权归中华医学会所有。
未经授权,不得转载、摘编本刊文章,不得使用本刊的版式设计。
除非特别声明,本刊刊出的所有文章不代表中华医学会和本刊编委会的观点。
线粒体脑肌病伴高乳酸血症和卒中样发作(mitochondrial encephalomyopathy with lactic acidosis and stroke-like episodes,MELAS)由Pavlakis等[1]于1984年首先报道,是一种以脑卒中样发作为主要特征的线粒体脑肌病,多为母系遗传,也有散发病例[2]。MELAS病情复杂多变,由于其临床表现的非特异性,误诊率较高,已受到多学科临床医生的广泛关注。本研究对46例经肌肉活检或基因检测证实的MELAS综合征患者的临床和PWI特点进行总结分析。
收集2012年1月至2016年6月在河南省人民医院住院治疗的MELAS 46例,均符合由Yatsuga等[3]提出的诊断标准:(1)卒中样发作临床表现:头痛、呕吐、癫痫、偏瘫、皮质盲或偏盲;头颅CT或MRI显示相关急性病灶。(2)线粒体功能障碍:血清乳酸升高或脑脊液乳酸升高;肌肉活检改良Gomori三色法染色可见破碎红纤维(RRF)和(或)琥珀酸脱氢酶染色(SDH)可见强血管反应,电镜检查示肌纤维细胞色素C氧化酶障碍或异常线粒体;肌肉病理检查出现破碎红纤维是线粒体病的典型表现;MELAS相关基因突变。符合(1)项2条及(2)项2条者可确诊。
回顾性分析46例MELAS的临床表现,同时总结分析本组的各项辅助检查结果,主要包括血乳酸、血糖、肌酶、头颅MRI平扫、头颅MRI增强、MRA、功能MRI[包括弥散加权成像(DWI)、表现扩散系数(ADC)图、磁共振灌注加权成像(PWI)]、肌肉活检及基因检测。
采用SPSS 17.0统计软件。符合正态分布的计量资料以
±s表示;不符合正态分布则用中位数表示;计数资料用百分数表示。
纳入本研究的病例共46例,男26例(56.5%),女20例(43.5%)。发病年龄为2~47岁,平均(21±13)岁。MELAS发病主要集中在10~40岁,占64.1%。至就诊时病程12 h至10年,中位数30 d,四分位数间距358 d。9例有阳性家族史,其余均为散发病例。
MELAS首发症状为癫痫26例(56.5%)、偏瘫21例(45.7%)、语言障碍20例(43.5%)、视力下降18例(39.1%)、头痛16例(28.6%)、发热14例(30.4%)、反应迟钝12例(26.1%)、意识障碍11例(23.9%)、神经性耳聋2例(4.3%)。
46例均行静息态血乳酸测定,1例正常(1.4 mmol/L),其余均不同程度增高。血糖增高27例,血清肌酸激酶增高29例。
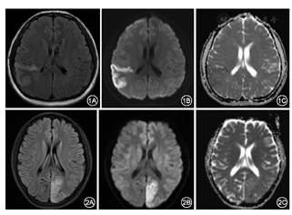
46例行常规MRI检查显示病灶呈长T1、长T2信号影,FLAIR呈高信号,其中42例仅累及皮质及皮质下白质,4例同时累及基底节区。46例中累及顶叶26例(56.5%)、枕叶25例(54.3%)、颞叶23例(50%)、额叶13例(28.3%)、岛叶8例(17.4%)、基底节区4例(8.7%)。复发病例14例,脑内病灶与以往相似,但部位有变化,呈现新旧交替状态。21例新旧病灶并存时期,DWI呈高信号,ADC图高和低信号并存(表1、图1,图2);12例新病灶DWI呈高信号,ADC图呈高信号(图2);13例陈旧性病灶DWI呈高信号,ADC图呈低信号,局部脑组织萎缩,皮质变薄,脑沟增宽。20例行MRI增强扫描,18例不强化,2例可见轻度沿病变脑回分布的线样强化。46例行MRA检查,均无明显血管狭窄。46例患者行PWI检查,其中33例呈灌注增高,11例呈灌注减低,2例灌注正常(表1、图3)。

MELAS不同时期DWI、ADC、MRA、PWI表现
MELAS不同时期DWI、ADC、MRA、PWI表现
| 发病时期 | DWI | ADC | MRA | PWI |
|---|---|---|---|---|
| 急性期(<3 d) | 高信号 | 高信号 | 正常 | 增高 |
| 亚急性期(3~21 d) | 高信号 | 高、低信号并存 | 正常 | 增高 |
| 慢性期(>21 d) | 高信号 | 低信号 | 正常 | 减低、正常 |




46例患者均行肌肉活检,改良Gomori(MGT)染色显示均出现少量典型的RRF,SDH强染均阳性。16例行基因检测,11例(68.8%)发现A3243G突变,2例(12.5%)发现A3136G突变,3例(22.2%)未发现常见位点突变。
MELAS是最常见的线粒体脑肌病,多系统受累,主要累及中枢神经系统、肌肉、听神经、胰腺、心脏以及肾脏等[4]。家族发病和散发病例均可见到,急性或亚急性起病,发病年龄一般在10~40岁,偶见婴儿和老年发病,该组起病年龄与文献报道相符。国外文献报道最主要的临床症状为头痛伴呕吐(90%),其次为意识丧失或癫痫(85%),而认知功能障碍或痴呆占50%~60%[5]。随疾病进展可出现以上多种症状的叠加。该组患者临床症状出现频率与上述报道并不一致,此组癫痫出现频率最高(56.5%),其次为偏瘫(45.7%)、语言障碍(43.5%)、视力下降18例(39.1%),考虑为种族差异或本组病例例数较少所致。
MELAS好发于脑的后部(枕叶、顶叶或颞叶),少数累及基底节区、丘脑、小脑、脑干及额叶,一般局限在皮质及皮质下白质区,深部白质较少受累,呈脑回样异常信号影[6]。病变分布区与正常脑动脉血管供血区并不一致。病灶可单发或散在多发,多为不对称分布,随病情进展,病灶区有进行性加重和对称性趋势,动态MRI检查可成游走性、多变性的特点,此特点可与脑梗死鉴别。对于反复发作、病程较长的,可出现局部脑皮质萎缩,皮质出现层状坏死[6]。该组病例中复发病例复查MRI,病灶特点与上述文献报道相符。病灶区T1低信号,T2高信号,FLAIR呈高信号影。DWI呈高信号影,ADC值可升高、正常、或者减低[7]。该组病例急性期DWI呈高信号,ADC图呈高信号;慢性期DWI呈高信号,ADC图呈低信号,急慢性病灶并存时期,DWI呈高信号,ADC图高和低信号并存。该特点与上述文献一致。MELAS增强扫描多不强化或仅见轻度沿病变脑回分布的线样强化。急性期病变部分可见轻度线状脑回样强化,Yonemura等[8]认为可能是血-脑屏障破坏和高灌注引起的局部渗出或循环障碍所致。慢性期病变呈软化灶样改变,病变区及病变边缘无强化。该组20例患者行MRI增强扫描,18例不强化,2例可见轻度沿病变脑回分布的线样强化。MRA检查无明显血管狭窄等相关征象。文献中也有MELAS慢性期出现大血管狭窄、分支减少改变的报道[9,10],该组病例中MRA均无异常。
磁共振PWI特点:脑卒中样发作初期,病变区脑血流的储量下降,而自卒中发作后3 h开始到发病后的8个月左右病灶区域的脑血流增加。其原因可能由于病变急性期发作后乳酸堆积,而高乳酸血症导致血管舒张,病变区呈高灌注。灌注成像可见脑血流量明显增高。慢性期主要是能量供应不足导致细胞毒性水肿,出现皮质萎缩和多发性软化灶,病变周围出现胶质细胞增生和小血管增多[11],所以通常表现为脑血流量正常或减低。本组复发病例14例,脑内病灶新旧并存,急性病变区PWI呈高灌注,慢性病变区PWI呈低灌注。与文献报道一致。灌注成像对于MELAS诊断意义较大,尤其是急性期病变,由于乳酸造成病变区微小血管扩张,是病变区血容量及血流量明显增高,呈高灌注状态,而梗死及炎性病变因血流动力学改变病变区多呈低灌注状态。
总之,MELAS临床表现复杂多样,缺乏特异性,早期易误诊,常规MRI可用于筛选,而PWI的应用对于疾病的鉴别诊断有重大意义,有助于提高该病早期诊断率。





















