
版权归中华医学会所有。
未经授权,不得转载、摘编本刊文章,不得使用本刊的版式设计。
除非特别声明,本刊刊出的所有文章不代表中华医学会和本刊编委会的观点。
脑淀粉样血管病相关炎症(CAA-I)是散发性脑淀粉样血管病(CAA)的罕见临床表现,主要表现为认知功能减退、头痛、行为改变、癫痫发作和局限性神经功能障碍等。颅脑MRI表现为T2WI或Flair单发或多发片状或融合的白质高信号。本病确诊需要依靠有创的活组织病理检查,国内报道甚少。但随着对该病的认识深入,许多学者提出可根据典型的临床及神经影像特点作出诊断而避免脑活检[1,2,3]。因CAA-I对免疫抑制治疗反应好,提高临床医师对该病的认识对改善预后意义重大。本研究回顾分析了6例基于临床和影像诊断的CAA-I患者的临床资料,分析其临床及神经影像特点,以增加临床医师对本病的认识,减少漏诊和误诊。
收集2011至2015年山东大学齐鲁医院神经内科收治的临床及影像符合CAA-I的患者6例(表1)。

6例患者临床及影像资料
6例患者临床及影像资料
| 例序 | 性别 | 年龄 | 临床表现 | 颅脑MRI | 脑脊液 | 治疗 | 转归 | ||||
|---|---|---|---|---|---|---|---|---|---|---|---|
| 白质病变分布 | 占位效应 | 急性缺血 | 强化 | 细胞数(/ml) | 蛋白(g/L) | ||||||
| 1 | 女 | 68 | 认知减退、偏瘫1个月 | 右顶 | 有 | 有 | 软脑膜 | 2 | 6.11 | 甲泼尼龙冲击后口服泼尼松静脉环磷酰胺 | 偏瘫恢复,遗留认知障碍,1个月复查腰穿正常,随访1年无复发 |
| 2 | 男 | 59 | 癫痫发作2个月,精神异常1周 | 双额、顶、颞 | 有 | 有 | 无 | 8 | 0.59 | 甲泼尼龙冲击后口服泼尼松 | 精神症状减轻,未再抽搐,复查影像好转,短期复发,4个月死亡 |
| 3 | 男 | 62 | 性格改变1年,认知减退1个月,复发后出现癫痫发作 | 双额、顶、颞 | 有 | 无 | 结节样强化灶 | - | - | 甲泼尼龙冲击后口服泼尼松 | 认知改善,复查影像好转,短期复发伴抽搐,3个月死亡 |
| 4 | 女 | 57 | 认知减退5年,癫痫发作1年,失语、偏瘫5个月 | 双额、顶、枕 | 无 | 无 | 无 | - | - | 对症 | 遗留偏瘫及失语,认知功能恶化伴反复癫痫发作 |
| 5 | 男 | 68 | 认知减退6年,精神异常伴癫痫发作1周 | 双额、顶、颞、枕 | 有 | 无 | 无 | 2 | 2.16 | 地塞米松10 mg1周 | 精神症状减轻,未再抽搐,仍认知障碍,出院后失访 |
| 6 | 女 | 43 | 头痛 | 双额、顶、枕 | 有 | 无 | 无 | - | - | 对症 | 头痛缓解,4年无进展复发 |
6例患者均行颅脑MRI检查(Siemens 3.0T,德国),包括T1加权成像(T1WI)平扫及增强、T2加权成像(T2WI),液体衰减反转恢复(FLAIR)序列、弥散加权成像(DWI)、磁敏感加权成像(SWI)及磁共振血管成像(MRA),2例患者同时行梯度回波(GRE T2*)序列检查。条件允许患者行脑脊液检查,包括细胞学、生化、蛋白定量及病毒(包括HSV-I、CMV、JC、EB病毒)、结核等病原学检测。
6例患者平均年龄59.5(43~68)岁,男女比例3∶3。1例单纯表现为头痛,其余5例均出现不同程度认知功能减退,其中4例伴有癫痫发作,2例出现偏瘫、失语等局灶性神经功能缺损,2例合并精神症状。
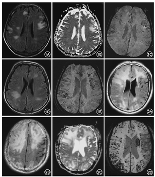
所有患者颅脑MRI均显示T2WI和Flair序列不对称的皮质下白质高信号,ADC值增高,符合血管源性水肿(图1,图2)。各脑叶均受累及,以额顶叶受累最重,枕叶最轻。5例患者伴有明显占位效应。增强扫描1例患者病灶呈轻度结节样强化,1例伴软脑膜强化。2例发现多发皮质或皮质下急性微小梗死灶。SWI均显示皮质及皮质下多发微出血灶(图1,图2)。2例患者同时行GRE T2*序列,显示微出血病灶数目明显少于SWI。6例患者MRA均未见明显血管狭窄。


3例患者行脑脊液检查,均有异常。1例颅内压明显升高,>330 mmH2O(1 mmH2O=0.009 8 kPa)。1例白细胞计数轻度升高。3例蛋白浓度均升高(0.59~6.11 g/L,正常参考值0~0.41 g/L)。血清及脑脊液寡克隆带阴性。脑脊液生化未见异常。病原学检测均阴性。1例患者送检血和脑脊液自身免疫性脑炎相关抗体、副肿瘤相关抗体阴性。
所有患者均行血常规、红细胞沉降率、风湿系列、抗中性粒细胞胞质抗体、抗心磷脂抗体、肿瘤系列、血生化、甲状腺功能、维生素系列、梅毒抗体、肝肾功、凝血等血液学化验。仅1例糖尿病患者空腹血糖和低密度脂蛋白胆固醇升高。2例患者血浆D-二聚体轻度升高。余结果均无明显异常。1例患者行APOE基因型检测为ε2/ε4基因型。
经患者及家属知情同意后4例患者接受了免疫抑制治疗。1例患者甲泼尼龙500 mg冲击治疗5 d后症状改善,出院口服泼尼松1 mg/kg缓慢减量并每周静脉应用环磷酰胺800 mg至总量15 g,1个月后复查腰穿脑脊液压力及蛋白定量降至正常,随访1年症状无复发。2例患者单用甲泼尼龙冲击治疗后症状改善,复查MRI病灶明显减少,改泼尼松口服减量过程中复发,复发后颅脑MRI见新发病灶(图1),SWI示微出血增多(图1),病情逐渐加重死亡。1例患者静脉应用地塞米松10 mg后症状略改善,出院后失访。所有应用激素患者治疗期间监测血压血糖,同时应用胃黏膜保护剂、钙剂等预防相关不良反应;应用环磷酰胺患者定期监测血常规、尿常规、肝肾功等,治疗期间未出现明显药物相关不良反应。
CAA-I的具体发病机制尚不明确,可能为Aβ沉积诱发的自身免疫反应。常见于严重CAA患者或针对阿尔茨海默病的抗Aβ免疫治疗患者,目前临床上认识极为不足。本研究共纳入6例患者,皆是自发性CAA-I患者。
2011年Chung等[4]首次提出了CAA-I诊断标准,其确诊依赖于脑活检。鉴于CAA-I对免疫抑制治疗的良好反应,如何在疾病早期通过无创手段更早的诊断和治疗是临床医生面临的挑战。2016年Auriel等[2]在以往标准的基础上提出了修订的、基于临床和影像的"很可能的CAA-I"诊断标准:(1)年龄≥40岁。(2)存在≥1项以下临床表现:头痛、意识水平下降、行为改变、局灶性神经体征、癫痫(可慢性、急性或亚急性起病);这些临床表现并非直接由急性颅内出血引起。(3)MRI提示单发或多发白质高信号病灶,非对称性并延伸至皮质下白质;非对称病灶并非既往颅内出血所致。(4)存在≥1处皮质或皮质下出血性病灶,包括:脑出血、脑微出血、皮质表面铁沉积。(5)排除肿瘤、感染及其他病因。并验证了其在临床实践中的敏感性与特异性分别为82%和100%,提出对于符合"很可能的CAA-I"诊断标准的患者可经验性应用免疫抑制治疗而避免脑活检。本组6例患者均符合该诊断标准。
CAA-I脑白质病变的分布各文献报道不一,有报道各脑叶间无明显差别[2],也有报道以额顶叶受累多见,枕叶受累最少[3]。本研究结果与后者相似。而CAA患者Aβ沉积以枕叶受累最重[5],脑微出血及脑白质疏松亦最常发生于枕叶[6],如何解释脑白质病变与Aβ沉积的不匹配,还有哪些潜在因素参与了CAA-I的发病,需要未来更深入的研究证实。
GRE或SWI序列发现皮质或皮质下多发微出血或脑表面铁沉积等出血征象是鉴别CAA-I与其他脑白质病的重要线索。本研究显示SWI对微出血灶的敏感性明显高于GRE序列,故在有条件的医院建议首选SWI寻找微出血证据。静息性急性缺血灶也是CAA患者的特征性影像表现之一,主要发生于皮质或皮质下白质,与Aβ沉积引起的微血管闭塞或灌注减低有关。
免疫抑制治疗是目前公认的CAA-I的有效治疗手段,多数患者对免疫抑制治疗反应良好,但部分病例反应不佳或存在缓解后复发[2,7,8]。本组患者中接受免疫抑制治疗的患者症状皆有一定程度改善,但单用激素的2例患者短期内复发死亡,而激素联合环磷酰胺者预后较好。提示早期联合激素及免疫抑制剂治疗对改善预后减少复发可能有益,有待于更大样本的临床研究证实。同时,2例患者复发后复查SWI均显示微出血增加。目前国内外尚未见追踪CAA-I患者免疫抑制治疗前后SWI动态演变的报道,仅个案报道显示免疫抑制治疗后微出血减少[9]或炎症复发部位微出血增加[8]。我们分析微出血增加的机制一方面为疾病自然进展引起血管壁破坏加重;另一方面有学者提出CAA-I是血管针对Aβ沉积的保护反应,免疫抑制治疗抑制了这种保护反应,可能阻碍Aβ清除从而导致其沉积增加,血管壁破坏加重。故不排除免疫抑制治疗有潜在加重CAA本身病变进展的可能[10]。
APOE基因多态性与散发CAA的关系已经得到广泛认识。已知ε4/ε4及ε2/ε4基因型与CAA-I的发生密切相关,其中ε4/ε4基因型最常见[4],可能与ε4增加血管的Aβ沉积有关。故在可疑CAA-I患者中开展APOE基因型测定对支持CAA-I诊断有重要意义。本研究例2患者ε2/ε4基因型为确立诊断提供了支持依据。
综上所述,CAA-I应纳入中老年患者脑白质病变的鉴别诊断并对可疑患者行GRE T2*或SWI筛查(首选SWI)。对临床及影像符合"很可能的CAA-I"诊断标准的患者可尝试经验性应用激素联合免疫抑制剂治疗而避免脑活检,降低复发率。





















