
加深对乳房外Paget病(EMPD)临床和病理特点的认识,探讨棘层松解现象在EMPD中的临床和病理意义。
对北京协和医院皮肤科2010年6月至2016年10月间诊治的56例EMPD患者的临床和病理资料进行回顾性分析。根据是否伴发棘层松解现象,将患者分为棘层松解性乳房外Paget病(AEMPD)组和不伴棘层松解的乳房外Paget病(N-AEMPD)组。
AEMPD组患者22例,占39.3%。男女比例10∶1,平均发病年龄为(64±8)岁,中位病程42个月(4~240个月)。N-AEMPD组患者34例,占60.7%。男女比例10.3∶1,平均发病年龄为(64±10)岁,中位病程48个月(3~120个月)。两组患者在男女比例、发病年龄和病程上的差异无统计学意义(均P>0.05)。AEMPD组和N-AEMPD组患者中真皮内重度炎症、肿瘤细胞间变和肿瘤细胞累及附属器上皮或真皮浸润的发生率分别为27.3%和17.6%(P=0.600);13.6%和17.6%(P=0.979);72.7%和23.5%(P<0.001)。Hailey-Hailey病型AEMPD 17例,占77.3%。接受手术且有明确随访资料者29例,其中AEMPD组12例,1例复发;N-AEMPD组17例,4例复发;两组患者复发率的差异无统计学意义(P=0.370)。
EMPD中棘层松解现象常见,棘层松解与患者的性别、发病年龄和病程无关。EMPD中出现棘层松解可提示肿瘤细胞的侵袭性生长,但与真皮重度炎症和Paget细胞间变无关。Hailey-Hailey病型AEMPD最常见,应提高警惕,避免误诊。棘层松解与EMPD的术后复发无相关性。
版权归中华医学会所有。
未经授权,不得转载、摘编本刊文章,不得使用本刊的版式设计。
除非特别声明,本刊刊出的所有文章不代表中华医学会和本刊编委会的观点。
乳房外Paget病(extramammary Paget's disease,EMPD)是一种少见的表皮内腺癌,好发于中老年男性,常见于顶泌汗腺分布区域如外生殖器、会阴和肛周[1]。棘层松解性乳房外Paget病(acantholytic extramammary Paget's disease,AEMPD)是EMPD一种特殊的病理类型,最早由Kohler和Smoller报道[2]。此后本病在国内外以个案报道为主[3,4,5,6,7,8],在国外仅有2项回顾性病例系列研究[9,10]。有学者认为表皮棘层松解是EMPD术后复发的危险因素[9],但棘层松解现象在EMPD中的意义尚不完全清楚。本研究拟对北京协和医院皮肤科于2010年6月至2016年10月间诊治的22例AEMPD患者的临床和病理资料进行回顾性分析,并与同时段内34例不伴棘层松解的乳房外Paget病(Non-acantholytic extramammary Paget's disease,N-AEMPD)患者的相关资料进行比较分析,以增加对EMPD临床和病理特点的认识,同时探讨棘层松解现象在EMPD中的临床和病理意义。
回顾性分析2010年6月至2016年10月在北京协和医院皮肤科就诊并经组织病理确诊为EMPD的病例56例。所有病例均为到我院初次就诊并诊断的病例。从北京协和医院病案科和皮肤科调取患者原始门诊病历、临床照片和组织病理切片(包括免疫组化切片)。收集并记录患者的性别、发病年龄、病程、发病部位、组织病理学特征、治疗方法和随访资料(随访通过查阅病历和电话完成)。
采用SPSS 24.0统计软件完成分析,设定P<0.05为差异有统计学意义。计量资料服从正态分布的采用
±s进行统计描述并采用独立样本t检验完成组间比较;不服从正态分布的采用中位数(范围)进行统计描述并采用Mann-Whitney秩和检验完成分析。计数资料采用例数(百分数)进行统计描述,采用χ2检验完成比较;如果理论次数<5的格子超过20%,没有理论次数<1,且n≥40,则采用连续性修正的χ2检验;如果有理论次数<1的情况或n<40,采用Fisher精确概率检验。
2010年6月至2016年10月间确诊EMPD 56例,其中AEMPD 22例,占39.3%;N-AEMPD 34例,占60.7%。56例EMPD中男51例,女5例,男女比例为10.2∶1,发病年龄44~86岁,平均发病年龄(64±10)岁,病程3个月至20年,中位病程为48个月。AEMPD组和N-AEMPD组的男女比例、发病年龄、病程差异均无统计学意义(表1)。

AEMPD组和N-AEMPD组的男女比例、发病年龄和病程数据表
AEMPD组和N-AEMPD组的男女比例、发病年龄和病程数据表
| 临床资料 | AEMPD组(n=22) | N-AEMPD组(n=34) | P值 |
|---|---|---|---|
| 男女比例 | 10∶1 | 10.3∶1 | 0.973 |
发病年龄[岁, ±s(范围)] | 64±8(49~79) | 64±10(44~86) | 0.973 |
| 病程[月,中位数(范围)] | 42(4~240) | 48(3~120) | 0.544 |
注:AEMPD:棘层松解性乳房外Paget病;N-AEMPD:不伴棘层松解的乳房外Paget病
56例EMPD患者中皮损单发者55例(AEMPD 22例;N-AEMPD 33例),占98.2%。皮损单发者分布特点:阴茎和(或)阴囊46例(AEMPD 17例;N-AEMPD 29例),女阴4例(AEMPD 1例;N-AEMPD 3例),阴囊、会阴、腹股沟2例(AEMPD),阴囊和腹股沟1例(N-AEMPD),腋下1例(AEMPD,该例为女性),阴阜部1例(AEMPD,该例为男性)。1例多发者皮损分别累及阴囊和耻骨联合处(N-AEMPD)。
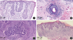
56例EMPD患者中出现肿瘤细胞间变(图1A)共9例,占16.1%;肿瘤细胞累及附属器上皮(图1B)或真皮内浸润(图1C)共24例,占42.9%;真皮内重度炎症(图1D)共12例,占21.4%。AEMPD组和N-AEMPD组的上述病理学特征相关数据见表2,AEMPD组肿瘤细胞累及附属器上皮或真皮内浸润比例高于N-AEMPD组(P<0.001)。

AEMPD组和N-AEMPD组的组织病理学特征[例(%)]
AEMPD组和N-AEMPD组的组织病理学特征[例(%)]
| 病理学特征 | AEMPD组(n=22) | N-AEMPD组(n=34) | P值 |
|---|---|---|---|
| 肿瘤细胞间变 | 3(13.6) | 6(17.6) | 0.979a |
| 肿瘤细胞累及附属器上皮或真皮内浸润 | 16(72.7) | 8(23.5) | <0.001b |
| 真皮内重度炎症 | 6(27.3) | 6(17.6) | 0.600a |
注:AEMPD:棘层松解性乳房外Paget病;N-AEMPD:不伴棘层松解的乳房外Paget病;a:连续性校正的χ2检验;b:χ2检验


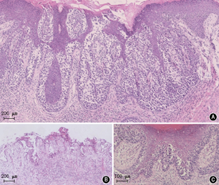
根据本研究中AEMPD不同的棘层松解模式,结合相关文献[11,12],进一步将22例AEMPD分为3个亚型,即Hailey-Hailey病型AEMPD(n=17,占77.3%)(图2A),寻常型天疱疮型AEMPD(n=3,占13.6%)(图2B),Darier病型AEMPD(n=1,占4.5%)(图2C),另有1例(4.5%)同时出现Darier病型和寻常型天疱疮型棘层松解。


56例EMPD患者中,有41例行手术治疗,有明确随访资料者29例,其中AEMPD组12例,随访发现1例复发;N-AEMPD组17例,随访后发现4例复发;两组患者的复发率经Fisher精确概率检验发现差异无统计学意义(P=0.370)。56例患者中5例未行手术,其中2例行放疗(具体放疗方案不详)(1例好转;1例随访时已去世,死因不详);1例行化疗(具体化疗方案不详)后诉皮损有好转;2例随访时患者去世(治疗方法及死因均不详)。其余10例患者失访,具体治疗方案无法获知。
EMPD在中国人群中好发于中老年男性,呈慢性病程[8,13],本研究中EMPD患者也以中老年男性为主,中位病程长达4年。经统计学分析发现,AEMPD组与EMPD组在性别分布、发病年龄与病程上差异无统计学意义,提示EMPD中棘层松解现象的发生与上述因素无关。
EMPD在西方白种人中好发于绝经后女性,在白种人中最常见于女阴,其次为肛周、阴囊、阴茎和腋窝[14]。本研究中患者的皮损好发于阴囊和阴茎,女阴和腋窝少见,其好发部位与国内研究类似[8,13],进一步提示不同人种EMPD的好发部位存在差异。
EMPD中出现棘层松解现象最早由Kohler和Smoller[2]于1997年报道。作者报道了1例77岁女性EMPD患者,诊断经免疫组化证实,其皮损病理表现为基底层上棘层松解,类似寻常型天疱疮表现[2]。随后,Du等[3]于2010年报道了1例80岁男性EMPD患者,组织病理类似棘层松解性原位鳞癌。2011年Oh等[4]报道了韩国首例伴棘层松解的EMPD患者,因该例同时伴肿瘤细胞间变,故作者首次命名棘层松解性间变性乳房外Paget病(acantholytic anaplastic extramammary Paget's disease)。2010年Shaco-Levy等[9]对56例女阴Paget病患者进行临床病理分析,发现有27例(48.2%)伴表皮棘层松解现象。2011年Shiomi等[10]对38例原发性EMPD进行病理分型,将棘层松解型归为EMPD的7种病理类型之一。该研究发现棘层松解型是EMPD最为常见的病理类型,占73.7%[10]。郭春芳等[5]于2012年报道1例AEMPD,随后李琨等[6]于2014年和毛换伟等[7]于2015年分别报道1例。2015年袁艳霞等[8]对37例EMPD临床及病理分析后发现,仅3例(8.1%)伴棘层松解现象。本研究发现棘层松解在EMPD中的发生率为39.3%,该数值与美国学者Shaco-Levy等[9]研究所得数值(48.2%)接近,但比日本学者Shiomi等[10]研究所得数值(73.7%)低。根据本研究以及国外上述两项研究所得数据,我们推测棘层松解在EMPD中并不少见,报道较少的原因可能在于对该现象缺乏足够的关注。但是,棘层松解在EMPD中更准确的发生率还需要更大样本量和更高等级的临床研究进一步验证。
棘层松解是指由于细胞间桥破坏导致表皮细胞间黏附缺失而产生的一种病理现象[15]。原发性棘层松解特征性见于天疱疮、Darier病、Hailey-Hailey病等疾病[15],继发性棘层松解可见于基底细胞癌、黑素细胞痣、黑色素瘤和鳞状细胞癌等疾病[15]。AEMPD中发生棘层松解提示Paget细胞间或Paget细胞与表皮角质形成细胞间连接相对较弱,容易分离[10],但AEMPD中发生棘层松解的原因尚不清楚。早期的个案报道应用电镜观察,发现角质形成细胞与邻近的Paget细胞间以及Paget细胞之间无桥粒结构,研究者以此来解释EMPD中基底层上方的棘层松解现象[2]。Liu等[16]研究发现EMPD中细胞间黏附分子钙黏附蛋白E(E-cadherin)表达下调,可能增加EMPD的侵袭和转移能力。据此,我们推测Paget细胞间的黏附分子下调也可能是AEMPD出现棘层松解的原因之一。此外,诱发棘层松解的原因众多,包括自身免疫、药物、感染、遗传、紫外线、摩擦刺激和创伤等[15]。有报道认为真皮内的重度炎症可能引发棘层松解[17]。本研究也发现重度炎症在AEMPD中的发生率较N-AEMPD中的发生率高,但统计学发现重度炎症的发生率在两组间无差异无统计学意义,因此炎症是否与AEMPD棘层松解的发生存在相关性还需进一步研究证实。
国内外的个案报道均表明AEMPD中可出现Paget细胞间变现象[3,4,7],甚至认为棘层松解是间变型EMPD关键的病理学特征[4],本研究中两组Paget细胞间变的发生率差异无统计学意义,提示棘层松解的发生与间变可能无关。
本研究还发现,AEMPD组中发生肿瘤细胞累及附属器上皮或真皮侵犯的发生率高达72.7%,明显较N-AEMPD组的23.5%高,经统计学分析发现该现象在两组中发生率的差异存在统计学意义,表明棘层松解可能提示EMPD更易出现侵袭性生长。
由于EMPD好发部位为顶泌汗腺分布区域如外生殖器、会阴和肛周[1],而这些区域也是Hailey-Hailey病、天疱疮和Darier病等临床上常见的棘层松解性疾病的好发部位[18,19,20]。因此,在低倍镜扫视下,由于棘层松解现象的存在,同时皮损又发生在棘层松解性疾病的好发部位,因此AEMPD容易被误诊为Hailey-Hailey病、天疱疮和Darier病。我们对AEMPD棘层松解的模式进行分析后发现,Hailey-Hailey病型AEMPD最为常见,其次为寻常型天疱疮型AEMPD。这一点需要引起病理科医生和皮肤病理医生在临床工作中高度重视,在外生殖器、会阴和肛周的皮肤标本出现棘层松解时提高警惕,注意考虑到AEMPD的可能。
关于棘层松解在EMPD中预后价值的文献很少[9],Shaco-Levy等[9]认为棘层松解是EMPD唯一具有统计学意义的术后复发危险因素。在前面的讨论中我们发现AEMPD更易出现侵袭性生长,但统计学分析发现两组复发率的差异无统计学意义。这种情况可能是由于可获得随访资料的病例数量较少所致,因此棘层松解对于EMPD预后判断的意义还需要进一步研究。
综上所述,本研究发现棘层松解在EMPD中并不少见,与患者的性别、发病年龄和病程无关。组织病理上,EMPD中出现棘层松解可提示肿瘤细胞的侵袭性生长,但与Paget细胞间变和真皮重度炎症无相关性。AEMPD中以Hailey-Hailey病型棘层松解最为常见,临床工作中应提高警惕性,避免误诊。棘层松解与EMPD的术后复发率无相关性。以上结论还需要更大样本及更高质量的临床研究进一步证实。

±s(范围)]



















