
了解肾癌并发尿路上皮癌的临床表现,诊治和预后特点。
回顾性分析2005年5月至2015年12月北京大学第一医院诊治的肾癌并发尿路上皮癌患者,收集临床及预后资料,应用Kaplan-Meier生存曲线来评估总生存率。
共有24例患者纳入本研究,中位年龄69.5岁(48~79岁),14例出现血尿。影像学检查发现4例为肾癌并发同侧上尿路尿路上皮癌(UTUC),16例为肾癌并发膀胱癌,1例为肾癌并发同侧UTUC和膀胱癌,2例术前诊断为肾癌,1例术前诊断为输尿管癌。这些患者接受了不同的治疗方式,术后病理均证实肾癌并发尿路上皮癌。中位随访时间是22.5个月。3年总生存率是82.7%。对于肾癌并发膀胱癌,接受肾部分切除者相比根治性肾切除者的生存率无显著性差异(P=0.874)。
肾癌并发尿路上皮癌比较少见,治疗应该个体化。患者的预后主要受恶性程度更高的那种肿瘤影响。
版权归中华医学会所有。
未经授权,不得转载、摘编本刊文章,不得使用本刊的版式设计。
除非特别声明,本刊刊出的所有文章不代表中华医学会和本刊编委会的观点。
肾癌和尿路上皮癌都是常见的泌尿系肿瘤,但它们的同时出现比较少见。Graves等[1]在1921年报道了第一例肾癌并发尿路上皮癌的病例。目前,大多数肾癌并发尿路上皮癌的研究都是个案报道和小样本研究,缺乏对疾病的系统研究。因此,肾癌并发尿路上皮癌的治疗方法和预后仍不明确,尤其是对于肾癌并发膀胱癌的患者。本研究回顾性分析了在北京大学泌尿外科、国家泌尿、男性生殖系肿瘤中心诊治的24例患者,观察肾癌并发尿路上皮癌的临床表现,诊治和预后特点。为临床提高对肾癌并发尿路上皮癌的诊治水平提供借鉴。
从2005年5月至2015年12月,共有24例肾癌并发尿路上皮癌患者在北京大学第一医院就诊。我们收集了这些患者的年龄、性别、吸烟史、症状、肿瘤类型、治疗、预后等方面的资料。应用Kaplan-Meier生存曲线来计算总生存率,并进一步评估不同术式对肾癌并发膀胱癌患者总生存率的影响,采用log-rank检验进行生存比较;对于肾癌并发膀胱癌患者,由于仅有2例接受了肾输尿管全长切除术来治疗肾癌,这两例与通过根治性肾切除来治疗肾癌的患者纳入一组来分析。使用SPSS 19.0进行数据统计分析,以P<0.05认为差异有统计学意义。
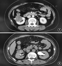
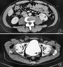
共有24例患者纳入本研究,患者中位年龄是69.5岁(48~79岁)。19例男(79.2%),5例为女(20.8%)。10例(41.7%)有吸烟史。主要症状是肉眼血尿14例(58.3%);10例患者是无症状的,通过体检发现肿瘤。经过B超,CT和膀胱镜等检查,21例患者术前诊断为肾癌并发尿路上皮癌,2例术前仅诊断为肾癌,1例术前仅诊断为输尿管癌。肾癌+上尿路尿路上皮癌7例(29.2%),肾癌+膀胱癌15例(62.5%),肾癌+上尿路尿路上皮癌+膀胱癌2例(8.3%),肿瘤平均直径3.3(0.6~8)cm,有2例远处转移。1例典型的肾癌并发同侧肾盂癌患者的CT见图1;图2显示了1例肾癌并发膀胱癌患者的CT表现。




患者的手术资料、病理信息和随访结果见表1。23例接受了一期手术治疗。由于对侧肾功能差,1例患者先接受了肾部分切除术,1个月后又进行了膀胱全切术。不同的肿瘤采用了不同的治疗方法。4例肾癌并发同侧上尿路尿路上皮癌患者接受了肾输尿管全长切除术;1例肾癌并发同侧上尿路尿路上皮癌及膀胱癌患者接受了肾输尿管全长切除+经尿道膀胱肿瘤电切术;2例转移性肾癌患者接受了减瘤性肾切除术,术后病理发现同时合并了肾盂癌,2种肿瘤相对独立。这2例患者均未接受进一步的输尿管切除术;1例输尿管癌患者接受了肾输尿管全长切除术,术后病理发现同时合并了肾癌。肾癌并发膀胱癌患者也接受了不同的手术。2例接受了肾输尿管全长切除术+经尿道膀胱肿瘤电切术;10例接受了肾部分切除术+经尿道膀胱肿瘤电切术或膀胱全切术;4例接受了根治性肾切除+经尿道膀胱肿瘤电切术或膀胱全切术。大部分肾癌的病理类型是透明细胞型。

手术及随访资料统计[例数(%)]
手术及随访资料统计[例数(%)]
| 临床资料 | n=24 | |
|---|---|---|
| 手术类型 | ||
| 肾输尿管全长切除术 | 5 | |
| 根治性肾切除术 | 2 | |
| 肾输尿管全长切除术+经尿道膀胱肿瘤电切术 | 3 | |
| 肾部分切除术+经尿道膀胱肿瘤电切术 | 9 | |
| 根治性肾切除术+经尿道膀胱肿瘤电切术 | 3 | |
| 肾部分切除术+膀胱全切术 | 1 | |
| 根治性肾切除术+膀胱全切术 | 1 | |
| 肾癌病理亚型 | ||
| 透明细胞癌 | 21 (87.5) | |
| 乳头状腺癌 | 1 (4.2) | |
| 嫌色细胞癌 | 1 (4.2) | |
| 未分类癌 | 1 (4.2) | |
| 术后辅助治疗 | ||
| 膀胱灌注 | 7 | |
| 放疗 | 1 | |
| 中位随访时间(月) | 22.5 (0.5~70) | |
| 复发 | ||
| 肾癌 | 4 | |
| 尿路上皮癌 | 6 | |
| 生存情况 | ||
| 存活 | 17 (70.8) | |
| 死亡 | 7 (29.2) | |
患者术后均定期随访,中位随访时间是22.5个月。在随访期间,1例患者在接受肾部分切除22个月后出现肾癌复发;在接受了肾切除术后,他再未复发。1例患者在接受肾部分切除32个月后出现肾癌转移到股骨和肺。5例患者出现膀胱癌复发,其中3例复发后接受了膀胱全切术。15例(62.5%)患者无瘤生存;2例(8.3%)患者带瘤生存;7例(29%)患者死亡:3例死于肾癌进展,1例死于输尿管癌进展,3例死于非肿瘤因素。3年总生存率为82.7%。对于肾癌并发膀胱癌的患者,接受肾部分切除术者相比肾根治性切除术(包含肾输尿管全长切除术)的生存率差异无统计学意义(P=0.874)。
肾癌发病率占成人肿瘤的3%,上尿路尿路上皮癌占所有泌尿系肿瘤的5%~7%,膀胱癌在全世界肿瘤发病率上排名第11位[2]。但不同泌尿系肿瘤的同时发生比较少见。文献中报道了大约50例肾癌并发肾盂癌的病例[3,4,5,6,7]。
肾癌并发尿路上皮癌患者的症状与两种肿瘤单独出现时的症状相似。值得注意的是,接近一半的患者是无症状的。40%的患者有吸烟史,高于文献中报道的比例[7]。曾有文献报道1例慢性透析的患者出现肾癌并发输尿管癌,提示透析患者可能更易患泌尿系肿瘤[8]。但这些因素都没能证实是肾癌并发尿路上皮癌的危险因素。
因为治疗上尿路尿路上皮癌的金标准是肾输尿管全长切除术,上尿路尿路上皮癌并发同侧肾癌患者的最佳治疗方案看起来也是肾输尿管全长切除术。但毫无疑问,肾部分切除术已经成为治疗T1期肾癌的首选术式[9]。而对于低危的上尿路尿路上皮癌患者,保留肾单位的手术也可以考虑,这样在不影响肿瘤控制、最大程度保护肾功能的同时也可以避免根治性手术的风险[10]。2015年欧洲泌尿外科学会指南建议对于单发,直径<1 cm,泌尿系统增强CT尿路造影检查(CTU)上没有浸润性表现的低级别上尿路尿路上皮癌可以考虑保留肾单位的手术[11]。有文献[12]报道了1例采用保留肾单位的手术来治疗肾双原发恶性肿瘤:采用开放肾部分切除术治疗肾癌(T1a),采用内镜下激光消融治疗同侧低级别肾盂癌(Ta)。患者术后肌酐正常,随访4年未发现复发。因此,如果患者满足肾癌分期为T1,上尿路尿路上皮癌为单发,直径<1 cm,CTU上没有浸润性表现的低级别肿瘤的条件,可以考虑联合采用肾部分切除治疗肾癌+保留肾单位的手术治疗上尿路尿路上皮癌。
对于肾癌并发膀胱癌的患者,大部分人接受了肾部分切除术;相比肾部分切除术,肾根治术(包含肾输尿管全长切除术)没有改善总生存率。尽管接受肾部分切除和根治性肾切除的患者术后均未出现输尿管癌复发,1例接受肾输尿管全长切除术的患者术后病理发现远端输尿管癌。尿路上皮癌具有多中心性。一方面,原发非肌层浸润性膀胱癌患者同时出现上尿路尿路上皮癌的发生率为1.8%,但对于膀胱三角区的肿瘤,发生率提高到7.5%。而且35.7%的这种上尿路尿路上皮癌出现于肾盂肾盏,46.4%出现于输尿管[13]。术前的影像学检查可能会忽略小的上尿路尿路上皮癌。另一方面,膀胱癌患者术后出现上尿路复发的比例约为1.8%~6%[14]。上尿路复发的危险因素有4个:原位癌;复发的膀胱癌;对非肌层浸润性膀胱癌行根治性膀胱全切术;膀胱全切标本中发现肿瘤累积末端输尿管。没有上述危险因素的膀胱癌患者15年上尿路复发率仅为0.8%,有1~2个危险因素的患者上尿路复发率为8.4%,有3~4个危险因素的患者上尿路复发率为13.5%[15]。因此,对于上尿路复发风险较高的膀胱癌患者,并发肾癌时接受肾输尿管全长切除术治疗肾癌似乎是个较好的选择。而如果膀胱癌的上尿路复发风险较低,同时肾癌满足肾部分切除术的指征,可以考虑采用肾部分切除术来治疗肾癌。
有文献报道与单一发生肿瘤相比,双侧肾原发恶性肿瘤的同时出现不会造成预后变差[7],Dutta等[5]认为多原发恶性肿瘤患者的预后主要受恶性程度更高的肿瘤影响。在我们的研究中,3例死于肾癌,其中1例术前有肾癌多发骨转移。1例术后病理为高级别尿路上皮癌伴有肉瘤样分化的输尿管癌患者死于输尿管癌。由于样本量较小,没有进行统计学分析比较,但观察发现这类患者的预后主要受恶性程度更高的那种肿瘤影响。
肾癌并发尿路上皮癌临床上比较少见。对于伴有血尿的肾癌患者,应该考虑到同时合并尿路上皮癌的可能。肾癌并发尿路上皮癌的治疗应该个体化,应综合考虑每种肿瘤的分期,患者的双肾功能及生活质量等因素。这类患者的预后主要受恶性程度更高的肿瘤影响。





















