
通过病例回顾,提高对肝胆胰系统炎性肌纤维母细胞瘤的认识、诊断和治疗。
总结3例经病理证实的肝胆胰系统炎性肌纤维母细胞瘤患者的临床资料,并复习相关文献资料。
讨论的3例炎性肌纤维母细胞瘤患者,其中肝脏1例、胆囊1例、胰腺1例,临床表现无特异性,术前诊断难度大,均疑诊为恶性肿瘤,均行手术治疗,术后预后良好,无一复发。
炎性肌纤维母细胞瘤属良性肿瘤,在肝胆胰系统中罕见,临床表现不典型,影像学检查无特异性,确诊仍依赖于病理。手术为其有效的治疗手段。有复发倾向,术后随访有重要意义。
版权归中华医学会所有。
未经授权,不得转载、摘编本刊文章,不得使用本刊的版式设计。
除非特别声明,本刊刊出的所有文章不代表中华医学会和本刊编委会的观点。
炎性肌纤维母细胞瘤(IMT)是由2002年世界卫生组织(WHO)软组织肿瘤国际组织学分类专家正式命名,指"由分化的肌纤维母细胞性梭形细胞组成的,常伴大量浆细胞和(或)淋巴细胞的一种肿瘤"[1,2]。属良性肿瘤,其临床表现不典型,影像学检查无特异性,易误诊为恶性肿瘤。IMT多见于肺、眼眶,在肝胆胰系统中十分罕见,为加深对该病的认识,提高对该病的诊断,本研究对我科从2013年1月至2015年8月收治的3例肝胆胰系统炎性肌纤维母细胞瘤报道如下。
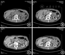
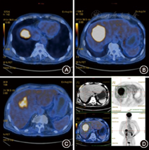
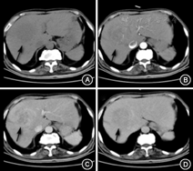
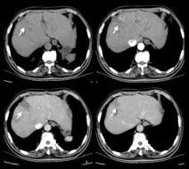
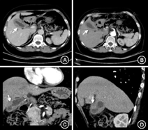
(1)病例特点:患者男性,69岁,因"胸闷不适5 d"于2015年8月6日就诊我院胸外科,正电子发射计算机断层显像(PETCT)提示:"肝右叶稍低密度肿块,考虑恶性可能大"(图1),以"肝占位"转入我科。既往史:否认肝炎病史。查体:无明显阳性体征。实验室检查:肿瘤标志物甲胎蛋白(AFP)、癌胚抗原(CEA)、CA19-9及其他生化检查未见明显异常。Child-Pugh分级为A级。B超及腹部增强CT均考虑恶性(图2,图3)。(2)治疗:手术行肝部分切除术,术中冰冻回报:考虑肝炎性肌纤维母细胞瘤。术后大体标本:呈黄白色、鱼肉状、质地较硬,似有包膜。(3)术后病理诊断为肝炎性肌纤维母细胞瘤。(4)预后:术后7个月门诊复查未见明显复发(图4),术后电话随访18个月未见明显复发表现,恢复良好。








(1)病例特点:患者女性,60岁,以"上腹部疼痛20 d"于2015年8月11日收入我科,伴发热寒战,最高达39.7 ℃,查体:右上腹压痛阳性,无反跳痛及肌紧张。既往史:右乳腺癌改良根治术术后1年。实验室检查:肿瘤标志物CA19-9稍高,其余化验结果未见明显异常。完善增强CT见胆囊壁明显增厚,周围多发渗出影;增强扫描囊壁强化不均;局部见结节样突入胆囊腔(图5)。PETCT考虑恶性(图6)。(2)治疗:腹腔镜胆囊切除术,术中冰冻回报:考虑炎症,待石蜡。(3)术后病理诊断为慢性胆囊炎伴炎性肌纤维母细胞瘤样病变。(4)术后电话随访18个月未见明显复发表现,恢复良好。




(1)病例特点:患者男性,69岁,以"消瘦厌食伴上腹胀3个月"于2013年1月9日收入我科,查体:未见明显阳性体征。既往史:无相关病史。实验室检查:肿瘤标志物AFP、CEA、CA19-9及其他生化检查未见明显异常。胃镜:十二指肠球部降交界移行处见隆起性病变,呈菜花样,表面充血、糜烂。超声胃镜提示:十二指肠隆起性病变(图7),活检病理回报:十二指肠黏膜慢性炎症。增强CT考虑恶性(图8)。(2)治疗:手术行胰十二指肠切除术。大体标本呈黄白色、鱼肉状、质硬肿物,边界模糊。(3)术后病理诊断为胰头炎症性肌纤维母细胞性肿瘤。(4)预后:术后电话随访4年余未见明显复发,恢复良好。




炎性肌纤维母细胞瘤曾以炎性假瘤、浆细胞瘤等多种命名。1990年Pettinato等[3]提出了炎性肌纤维母细胞瘤的概念。2002年WHO国际软组织肿瘤组织学分类专家正式将其命名为IMT。本文结合上述3例病例从以下几方面对IMT进行进一步的探讨与认识。
IMT是一种少见的间叶性肿瘤,最常发生于肺及眼眶。通过文献回顾国内肝胆胰系统的IMT报道极为少见,国内第一例肝IMT由贺富林等[4]在1985年报道,之后肝IMT的报道逐年增加,但胆囊与胰腺IMT罕有报道,且多是青少年或成年人。本文报道的3例肝胆胰系统的IMT均为老年人,男性患者2例,女性患者1例。
IMT病因仍不清楚,现在主要认为与以下几种因素有关。(1)感染:感染微生物在靶器官内引起炎性介质的释放,形成急性渗出性炎性病变,病变逐步纤维化形成炎性假瘤[5]。本病例中胆囊IMT术前有感染表现,但是否导致其发病,尚不清楚。(2)自身免疫异常:有研究已经证实肝IMT患者血清免疫球蛋白IgG4显著升高,并可在病灶内发现IgG4阳性的浆细胞,其主要包含细胞角质素[6]。由于对该病的认识不足,术前患者未能完善IgG4的检测。(3)基因异常;近年来发现部分IMT与异常基因ALK(又称中间变性淋巴瘤激酶[7])表达有关。
肝胆胰系统的IMT一般无明显特异性临床症状,主要与肿物发生的部位有关。本文中肝IMT患者由于肿物刺激膈肌,表现为胸闷;胆囊IMT有胆囊炎表现;胰头部IMT由于压迫十二指肠表现为上腹饱胀、厌食、消瘦等。
常见的影像学检查如超声、CT、MR、PETCT等对本病无明显特异性。本文3例中,虽未能明确肿瘤性质,但对于明确肿瘤的大小、部位、有无远处转移及其与周围脏器的关系提供了临床依据。
IMT的术前诊断仍较困难,在影像学及实验室检查上,无特异性。研究表明ALK可作为诊断IMT的一项指标,部分患者血清IgG、IgG4水平均显著升高,对IMT的诊断有一定帮助[6],但确诊仍需病理。
IMT的鉴别诊断:(1)对应器官来源的恶性肿瘤。对于肝胆胰系统应分别于肝细胞癌、胆囊癌及胰头癌相鉴别。本文报道的3例病例中,术前检查较充分,但无1例确诊。(2)对应器官来源的良性肿瘤。如肝脏局灶性结节增生、胰头实性假乳头状瘤等。(3)其他间质来源的良性肿瘤,如胃肠道间质瘤(GIST),GIST是消化系统最常见的间质肿瘤,通常见于肠壁内,可以有多种表现形式,与IMT鉴别困难[8]。
目前主要依靠手术治疗,本文3例患者均行手术根治性切除,随访均未明显复发,恢复良好。其他治疗方式如激素、抗生素、ALK小分子ATP竞争性抑制剂[9]等也有一定报道,但对于未能明确诊断并不能排除恶性肿瘤的患者应积极行手术治疗。
IMT是一种少见的间叶源性肿瘤,常表现为良性或交界性肿瘤特性,其预后良好,但也有报道术后复发的病例[10],应长期随访,定期复查。
综上,肝胆胰系统的IMT在临床上十分罕见,尤其是老年人,临床症状不典型,影像学表现无特异性,与恶性肿瘤的鉴别难度较大,误诊率高,手术切除是有效的治疗方法,预后良好。





















