
版权归中华医学会所有。
未经授权,不得转载、摘编本刊文章,不得使用本刊的版式设计。
除非特别声明,本刊刊出的所有文章不代表中华医学会和本刊编委会的观点。
随着神经超声工作的深入开展,越来越多的神经内、外科医生开始独立进行颈部血管超声、经颅脑实质超声以及周围神经超声的检查,本部分内容可用于各级医师相应的规范化培训。
颈动脉超声是一种无创性技术检测手段,它可以评价颈部血管狭窄或闭塞产生的血流动力学变化,为临床治疗研究提供客观依据。
1.缺血性脑血管病的病因学检查:判断卒中和短暂性脑缺血发作的患者是否有颈动脉、椎动脉及锁骨下动脉狭窄性病变,对斑块的性质进行初步判定。
2.实施颈动脉内膜剥脱术(carotid endarterectomy,CEA)、颈动脉支架植入术(carotid artery stenting,CAS)或颅内-外血管搭桥术(extracranial-intracranial bypass)患者围手术期血流动力学评价及随访。
由近心段至远心段的顺序依次扫查,右侧自无名动脉(innominate artery,INA)(也称头臂干)分叉部、左侧从主动脉弓起始部开始,连续观察颈总动脉(common carotid artery, CCA)(近段、中段、远段)、颈动脉球部(carotid bulb)、颈内动脉(internal carotid artery,ICA)颅外段、颈外动脉(external carotid artery,ECA)、椎动脉(vertebral artery,VA)(起始部及椎间段)及锁骨下动脉(subclavian artery,SA)血管壁的结构,要着重观察ICA分叉部及其上、下15~20 mm的区域(因此处受血流动力学影响,是粥样硬化斑块好发部位)。
利用线阵探头沿着颈动脉先横断面、再纵断面扫查(图1A,图1B,图1C),记录二维显像、彩色血流显像及频谱多普勒图像,实时调节仪器参数以使图像质量显示清晰;患者较胖、两侧VA开口及左侧SA显像不理想时,可选用低频线阵探头或凸阵探头。


二维显像上测量各血管内径及内膜厚度,观察管壁有无斑块、管腔狭窄与否。
进行血流频谱多普勒检查时,将取样框置于所要检测的血管中心,超声束与血流方向的夹角应<60°,血流速度标尺不宜设置过低、彩色增益不宜设置过高,以免出现彩色血流外溢伪像;取样容积一般不应超过管腔的1/3(2~4 mm),取样线实时与管腔平行,血流速度过低时,应调低血流速度标尺以完全显示血流频谱。

颈内动脉与颈外动脉鉴别
颈内动脉与颈外动脉鉴别
| 分类/血管 | 颈内动脉(ICA) | 颈外动脉(ECA) |
|---|---|---|
| 内径 | 较粗 | 较细 |
| 解剖特征 | 无分支 | 多个分支 |
| 检测位置 | 后外侧 | 前内侧 |
| 频谱形态 | 低阻型 | 高阻型 |
| 颞浅动脉敲击试验 | 无变化 | 传导震颤性血流频谱("锯齿样"血流频谱) |
显示最清晰血流频谱、冻结图像并记录相关血流参数,包括收缩期峰值血流速度(peak systolic velocity,PSV)、舒张末期血流速度(end diastolic velocity,EDV)及阻力指数(resistance index,RI)等,分析血流频谱形态及血流动力学参数。
即内膜下缘至外膜上缘之间的垂直距离。
斑块表面(斑块最高点)纤维帽至血管壁外膜前缘的垂直距离,即IMT≥1.5 mm或大于周围正常IMT值至少0.5 mm,或大于周围正常IMT值的50%以上,且凸向管腔的局部结构改变。应观察斑块纤维帽是否完整、斑块形态(规则、不规则)、大小(描述斑块长mm×厚mm)、回声强度(低回声、中等回声、强回声或混合回声),彩色血流是否进入斑块内(即溃疡型斑块)等。
根据血流动力学参数(参照2003年美国放射学会超声分会标准[2])(表2)、"面积狭窄率"及"直径狭窄率"综合评估血管狭窄程度(仪器上有测量并自动计算操作),以便采取相应的治疗措施。当ICA重度狭窄或闭塞,其远段ICA及大脑中动脉(MCA)血流速度减低或相对减低,频谱搏动性减弱或相对减弱,此取决于颅内侧支循环存在与否。

颈内动脉狭窄超声诊断标准
颈内动脉狭窄超声诊断标准
| 狭窄程度/血流速度 | PSVICA(cm/s) | 斑块大小 | EDVICA(cm/s) | PSVICA/PSVCCA | PSVICA/PSVDis |
|---|---|---|---|---|---|
| 正常或轻度(0%~49%) | <125 | <50% | <40 | <2.0 | <2.0 |
| 中度(50%~69%) | 125~230 | ≥50% | 40~100 | 2.0~4.0 | 2.0~4.0 |
| 重度(70%~99%) | >230 | ≥50% | >100 | >4.0 | >4.0 |
| 闭塞 | 无血流信号 | 斑块充填未见管腔 | 无血流信号 | 无血流信号 | 无血流信号 |
注:PSVICA:颈内动脉收缩期峰值血流速度;EDVICA:颈内动脉舒张末期血流速度;PSVCCA:颈总动脉收缩期峰值血流速度;PSVDis:狭窄远段颈内动脉收缩期血流速度正常情况下,IMT≤1.0 mm,若1.0 mm<IMT<1.5 mm为内膜增厚。
1.患者基本信息(姓名、性别、年龄、住院号、床号)、检查日期、时间及仪器编号等。
2.检查一般先右后左,描述则双侧同名动脉对比,即颈总动脉、颈动脉球部、颈内动脉、颈外动脉、椎动脉及锁骨下动脉。
3.管径对称与否、动脉内膜增厚与否、斑块(位置、大小、数量、形态、回声特点),是否易损斑块(纤维帽不完整、斑块缺损、斑块内出血及溃疡型斑块等)。
4.血管狭窄,则描述原始管径、残余管径、直径狭窄率;原始面积、残余面积、面积狭窄率;狭窄近段、狭窄处及狭窄远段的血流动力学参数。
5.血管狭窄的直接征象和间接征象加以描述,侧支循环建立与否。
超声所见:
两侧颈总动脉管径对称,内膜正常,血流速正常。
两侧颈动脉球部管径对称,内膜正常,血流速正常。
两侧颈内动脉管径对称,内膜正常,血流速正常。
两侧颈外动脉管径对称,内膜正常,血流速正常。
两侧椎动脉管径对称,内膜正常,血流速正常。
两侧锁骨下动脉管径对称,内膜正常,血流速正常。
超声提示:
颈部动脉未见明显异常。
说明:颈总动脉和分叉处的内中膜厚度;颈内动脉血流速度;椎动脉内径、血流速度、RI以及血流方向等具体数据可以在超声所见中给出。
超声所见:
两侧颈总动脉管径对称,内膜正常,血流速正常。
两侧颈动脉球部管径对称,右后内侧壁探及混合回声不规则斑块,长20.5 mm,厚3.2 mm,其纤维帽不完整,斑块内可见血流信号(溃疡型斑块),左侧内膜正常,血流速正常。
两侧颈内动脉管径对称,内膜正常,血流速正常。
两侧颈外动脉管径对称,内膜正常,血流速正常。
两侧椎动脉管径对称,内膜正常,血流速正常。
两侧锁骨下动脉管径对称,内膜正常,血流速正常。
超声提示:
右侧颈动脉球部混合回声粥样斑块形成。
超声所见:
两侧颈总动脉管径对称,右侧血流速106/18 cm/s,RI:0.830,左侧血流速101/32 cm/s,RI:0.680。
右侧颈动脉球部延伸至颈内动脉起始部前壁可探及长23.9 mm、厚2.77 mm的混合回声不规则斑块,其上部可见较大缺损,并延伸至颈内动脉起始部后壁可探及长21.1 mm、厚2.67 mm的混合回声不规则斑块,致颈内动脉管腔狭窄,原始管腔直径5.60 mm,残余管腔直径1.01 mm,直径狭窄率81.9%;原始面积96.3 mm2,残余面积23.1 mm2,面积狭窄率76.0%;狭窄处血流速303/113 cm/s,RI:0.625,狭窄远段血流速81/46 cm/s,RI:0.432;左侧内膜正常,血流速正常。
两侧颈外动脉管径对称,内膜正常,血流速正常。
两侧椎动脉管径对称,内膜正常,血流速正常。
两侧锁骨下动脉管径对称,右侧内膜增厚,血流速正常。
超声提示:
右侧颈内动脉重度狭窄(70%~99%)。
经颅脑实质超声(transcranial brain parenchyma sonography,TCS)是利用二维超声对颅内脑实质进行检测,了解脑实质内有无异常回声信号的一种无创性检查方法。
1.临床表现为震颤或强直或运动迟缓者。
2.有帕金森病(Parkinson′s disease,PD)风险的人群。
3.临床考虑为运动障碍性疾病的患者。
4.临床诊断为快速眼动睡眠期行为障碍(rapid eye movement behavioral disorder,RBD)的患者。
5.深部脑电刺激(deep brain stimulation,DBS)术中或术后需要确认电极位置。
6.需要观察脑室宽度或变化的患者。
1.PD的早期诊断。
2.有PD风险人群的早期检测。
3.PD和非典型帕金森综合征的鉴别诊断;例如:(1)多系统萎缩;(2)进行性核上性麻痹;(3)皮质纹状体变性;(4)Lewy体痴呆。
4.RBD患者评价突触共核蛋白病的风险。
5.DBS术中或术后检测以确认电极位置。
6.第三脑室宽度测量。
1.产品必须获得国家食品药品管理监督总局(CFDA)许可,或获得欧洲食品药品管理监督总局CE和美国食品药品监督局(FDA)许可。
2.主机需正版操作系统。
3.探头需要专业厂商提供的低频相控阵探头。
4.使用低频1.6~2.5 MHz相控阵探头。不同的超声系统需要不同的参数设定,通常穿透深度为14~16 cm,动态范围45~55 db,周线增幅中或高。图像亮度及时间增益补偿视需要而设定。后处理参数设为对低回声信号中度抑制。
患者取仰卧位,室内避光。检查者位于患者头顶上方或位于患者侧方。在检查部位或探头上涂以适量超声耦合剂。将探头置于颞部声窗,保持探头检查面与皮肤紧密接触,通过脑的轴位进行检查(图2)。检查时在颞窗附近移动探头寻找最佳的声窗位置,通过声窗看到脑内结构和对侧颅骨的回声信号时,用小指及手的尺侧控制好探头的稳定性并调整探头使目标图像尽量清晰。冻结图像,用光标手工描绘需要测量的异常高回声信号,仪器自动计算出面积。也可以保存图像脱机后测量。如果检查中发现清晰的图像,可以使用回放模式逐渐移动到最佳图像位置并保存。


保持探头所在声窗位置并稍微倾斜探头方向到脑内其他层面继续逐层检查。
(1)声窗条件评估:TCS检查是经过颞骨的声窗完成,声窗条件好坏对检查能否成功至关重要,因此,首先评价声窗情况。声窗条件分为声窗良好、声窗欠佳和透声不良3种情况(图3)。


(2)TCS检查包括脑的四个平面:中脑平面、第三脑室丘脑平面、侧脑室平面和后颅凹小脑平面(图4)。检测内容包括中脑黑质、基底节区及小脑有无异常回声信号、中缝核是否连续完整、测量第三脑室宽度、侧脑室宽度。如果发现中脑黑质有异常高回声信号,评估回声强度并测量高回声的面积。


①中脑层面:此层面的标志是相对均匀的蝴蝶形的中脑低回声区被周围高回声的基底池所环绕(图5)。在低回声的中脑内可看到红核的回声,中线部位的高回声信号为脑干中缝和导水管。观察中脑黑质区有无异常高回声,如发现与正常相比扩大的黑质区高回声信号,冻结图像,回放找到最清楚的部位。半定量评估回声强度并将图像放大2~3倍后测量高回声信号的面积。


中脑黑质回声强度的半定量评估标准[17,18,19]:Ⅰ 级:黑质的回声强度与脑干相同;Ⅱ 级:黑质区有清晰可见的回声但强度仅稍高于脑干;Ⅲ级:中等回声强度,但低于周围脑池(图6);Ⅳ级:和周围脑池有相同的回声强度;Ⅴ 级:回声强度高于周围脑池。


中脑黑质的回声>Ⅱ级并且≥0.20 cm2视为异常。
在中脑平面还可以观察到脑干中缝核回声信号是否连续,正常时中缝核高回声信号为一条连续的线,中断或无回声提示异常,异常者需要从双侧颞窗扫描确认。
中缝核分级:1级:中缝核回声中断或无回声;2级:中缝核为高回声连续线。
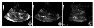
②第三脑室、丘脑平面:将探头从中脑平面向上倾斜大约10°为第三脑室平面,此层面可以看到两条平行的第三脑室回声信号、基底节区和丘脑(图7A)。测量第三脑室宽度,观察双侧基底节区豆状核、尾状核、丘脑有无异常高回声信号(图7B,图7C)。第三脑室最大横径:20~60岁<7 mm,≥60岁<10 mm。


③侧脑室平面:将探头从中脑平面向上倾斜大约25°是侧脑室平面(图8)。此平面可观察侧脑室宽度,测量侧脑室额角距离:20~60岁<17 mm,≥60岁<20 mm。


④后颅凹小脑平面:探头从中脑平面向背侧旋转45°并向小脑方向倾斜10~15°为后颅凹小脑层面(图9)。此平面观察小脑齿状核有无异常回声信号,第四脑室有无异常扩大。
1.图像记录需要标明左侧或是右侧声窗检查的结果。
2.黑质异常回声以同侧声窗检测到的图像测量为准,双侧要分别测量和记录。如果同侧声窗透声不良,只能从对侧声窗检查和测量,报告中要提示。
3.为测量尽可能准确,冻结图像后对局部需要放大2~3倍后测量。
4.注意鉴别中脑黑质异常回声与脑池伪影的区别。
5.发现中缝核不连续或消失,需要从双侧颞窗确认。
6.正常值可以根据各自实验室的人群研究结果确认。
TCS检查报告的内容,包括以下信息:
1.检查日期和时间。
2.患者姓名、性别、年龄及病案号。
3.临床诊断。
4.患者声窗情况。
5.中脑平面所见。
6.第三脑室丘脑平面所见。
7.侧脑室平面所见。
8.后颅凹小脑平面所见。
9.以往在本实验室做过同样检查者,比较检查结果。
10.总结检查所见的正常或异常情况,给予文字提示。
描述:
患者声窗良好,双侧中脑黑质区未见异常高回声信号、中缝核连续。
第三脑室宽度:(具体数值),基底节区未见异常回声信号。(附检查结果图)
印象:
TCS检查未见异常
描述:
患者声窗良好。
双侧中脑可见异常高回声信号,左侧Ⅲ级、测量面积(具体数值),右侧Ⅲ级、面积(具体数值)。双侧豆状核区可见片状高回声信号。(附检查结果图)
印象:
双侧中脑黑质区及双侧豆状核区可见异常高回声信号,请结合临床。
周围神经超声(peripheral nerve ultrasound)是利用高频超声对周围神经进行检测,从而了解周围神经的形态学特点以及邻近结构对其影响的一种无创性检查方法。在周围神经病的诊断过程中,肌电图可以反映周围神经病变的生理功能,神经超声可以反映周围神经病变的形态学特点,将二者结合,对于提高周围神经疾病的诊断水平,具有重要的作用[20,21]。
1.周围神经单神经病变,包括腕管综合征、肘管综合征、桡神经麻痹、跖管综合征、腓总神经损伤等。
2.多发性周围神经病或多发单神经病:各种原因导致周围神经髓鞘或轴索病变。
3.臂丛神经病变,如局部炎性病变或肿瘤。
4.辅助肌电图检测或神经活检时周围神经的定位。
受到超声探头分辨率和深度的限制,目前临床上周围神经超声主要对浅表的神经干进行检测,临床经常检测的神经包括正中神经、尺神经、桡神经、胫后神经、腓总神经、坐骨神经、腓肠神经和臂丛。另外可以根据病情需要检测膈神经、副神经、股外侧皮神经、股神经等。由于腰骶丛位置较深,高频超声难以清晰显示。
目前临床上能够进行小器官检测的超声仪器,即可满足周围神经检测的要求。在周围神经超声检测时,复合成像、谐波成像等技术有助于提高图像质量。
12 MHz左右的探头可以用于大多数神经干的测定,如坐骨神经远端、四肢神经和臂丛神经等,17 MHz的探头可以对部分神经的分支进行测定,如桡神经浅支、后骨间神经、指神经等。对于位置较深的神经或体型肥胖的受试者,采用9 MHz以下的探头更合适。
高频神经超声测定时患者可以取坐位或卧位,肢体放松,不同神经测定时放置姿势有所不同,以患者舒适、且操作者易于操作为原则。检测过程主要从两个角度对周围神经进行评估,包括垂直于神经走行的横截面和平行于神经走行的纵切面。在正常周围神经,横截面表现为蜂窝样结构,包括低信号的神经纤维束和高信号的神经束膜,以及高信号的神经外膜(图10A);纵切面则表现为轨道样或线样的平行神经束,以及高信号的神经外膜(图10B)。在周围神经近端以及臂丛,神经超声的信号可以呈现为较均一的低信号结构,而缺乏蜂巢样特点,与近端神经的神经束密集而结缔组织减少有关[20]。


在周围神经超声的检测过程中,通过对周围神经的某一局部或神经全长多个部位的测定或连续扫描,可以获得神经病变沿神经走行的形态学改变及其分布特点。在单个检测部位进行测定时,通过横切面和纵切面的测定,主要对下述内容进行观察:
1.神经横截面积(cross sectional area,CSA)、周围神经横截面的周长、长径和短径。CSA是目前临床使用最主要的参数,不同操作者检测的变异度最小[20]。
2.神经束的形态以及回声的变化,神经外膜是否增厚。
3.神经内部或神经外周血流信号的变化。
4.神经自身或邻近有无占位病变。
5.神经组织连续性,如有无神经中断,断端是否有神经瘤形成等。
6.动态观察局部结构的变化,如在嵌压部位,观察静止状态和活动状态临近结构对神经的影响等。
在上述诸多检测参数中,神经束的变化特点以及血流信号的变化等主要为经验性判断,目前尚缺乏定量测定的方法。今后随着电脑技术和软件的提高,对其进行定量分析,可以提供更多、更准确的诊断信息。
高频神经超声最早的开展和应用主要是针对单神经病的研究,这也是目前临床应用最多、最为成熟的领域。在腕管综合征等嵌压性周围神经疾病、神经外伤、周围神经肿瘤或临近神经囊肿的压迫性疾病的诊断中,高频神经超声已经成为一项主要的检查方法。
单神经病检测时,首先应结合临床,判断受累神经及其走行过程中可能的受累部位;之后对受累神经沿神经走行从远端至近端对神经全长进行扫描,获得综合的形态学信息;对于嵌压性疾病,重点对嵌压部位进行检测,以腕管综合征为例,建议测定部位包括:病变部位近端正常处(腕横纹近端4 cm处)、嵌压点临近近端部位(如腕管入口)、嵌压点(如腕横韧带下方)、嵌压点临近远端部位(腕管出口);测定各个部位横截面积,进行定量;建议在病变局部在彩色多普勒模式下进行观察血流信号的变化。必要时沿神经长轴进行全景成像,可以显示出病变部位的变化,测定过程中可以结合Tinnel征,动态观察嵌压或其他病变局部的形态学变化。扫描过程中应注意神经周围或内部有无异常占位病变或解剖结构异常[21,22]。建议在对有症状的单根神经测定后,同时测定同侧临近神经和(或)对侧相应神经,以协助进行鉴别诊断。
(1)嵌压性周围神经病[22,23]:神经超声表现:在嵌压部位近端或远端神经肿胀增粗,横截面积增大,嵌压部位神经受压变扁平;神经的蜂巢样结构显示不清或消失;局部血流信号增加。神经的增粗和血流信号的增加可能与局部受压,神经外膜或神经内静脉充血水肿有关。另外,在2%~25%的患者腕管内可以见到囊肿、肿瘤、永存正中动脉等病变。
周围神经嵌压性疾病的神经超声和电生理表现的相关性:超声的改变与临床严重程度和电生理结果并不平行。以腕管综合征为例,在有明确临床症状的轻微或早期腕管综合征患者,16%~34%的患者电生理正常,而神经超声可见异常,提示在某些临床情况下,神经超声较肌电图更为敏感。但是,在临床严重受累的患者,神经超声的横截面积也可能会仍处于正常范围。神经超声对腕管综合征有诊断价值,其诊断腕管综合征的敏感性为65%~97%,特异性50%~98%,准确性可达71.5%~97.2%。不同研究中,神经超声诊断CTS敏感性的差异,可能与所选择患者疾病严重程度不同、使用的检测方法和诊断标准以及对照组的设置不同有关。在实际临床工作中,将二者结合使用,是更为合理的方法。至于如何结合临床,如何更为合理的选择神经超声或电生理之一进行测定或二者同时使用,以提高工作效率,仍有待进一步明确。
(2)神经外伤的判断,有利于早期决策保守治疗还是尽快行急诊手术。在外伤早期,肌电图难以判断神经断伤、轴索断伤、神经失用,只能通过随诊观察近端和远端复合肌肉动作电位波幅的变化来分析,这需要至少1~2周的时间。而神经超声能够早期发现神经断伤,协助外科医生尽快选择手术治疗。另外,对于慢性神经损伤的患者,神经超声可协助检测外伤或手术后神经修复状态,残端是否存在神经瘤。当检查过程中发现肿瘤、结节或囊肿等占位性病变时,可协助明确病因,指导治疗方案的选择。
多发性周围神经病和多发单神经病的种类繁多。不同病因、不同严重程度以及病程不同阶段的周围神经病变的神经超声特点有所不同。目前已经有越来越多针对不同周围神经病的临床研究出现,为今后的周围神经超声的临床应用提供了依据。
在多发性周围神经病和多发单神经病的周围神经超声检测过程中,建议首先应至少对三根以上的神经进行检测,对于多发性周围神经病,可以检测一侧上下肢各两根神经,对于多发单神经病,建议根据临床选择更多神经进行检测;检测某一神经时首先对神经全长横断面进行连续扫描,获取综合信息,包括是否有神经增粗,增粗节段的分布特点:是均匀增粗,还是节段性或局限性增粗,增粗部位是否在易受嵌压的部位;之后对神经走行的关键部位进行横截面积测定,获取定量数值;在神经增粗的部位,建议在多普勒模式下观察血流信号有无增加。测定过程应结合临床,测定结果应与电生理联合进行分析[23]。
(1)神经横截面积明显增粗的疾病:在多种周围神经病,如遗传性和获得性脱髓鞘性周围神经病以及部分轴索性周围神经病,都可以出现神经增粗的现象[20,21,23]。在遗传性脱髓鞘性周围神经病,如CMT1,周围神经的增粗是普遍均匀的(图11),神经的增粗与髓鞘增生有关;在遗传压迫易感性周围神经病,也可以看到神经增粗的现象,但程度并不一致,在易嵌压部位增粗更为明显。在获得性脱髓鞘性周围神经病,神经增粗通常为局灶性增粗(图12),在慢性吉兰-巴雷综合征和多灶性运动神经病,电生理检测时在神经增粗的部位可见传导阻滞或传导速度减慢,神经束也可出现局限性增粗的现象。在慢性吉兰-巴雷综合征神经增粗的发生率高于急性吉兰-巴雷综合征。M蛋白血症相关的周围神经病如POEMS综合征,也可见神经明显增粗的现象。在血管炎相关周围神经病,也可以出现增粗较为明显的表现,可能与病理上的炎症水肿相关[20,23]。




(2)神经横截面积增粗不明显或轻微增粗的疾病:在轴索性周围神经病变、神经增粗通常不明显。在糖尿病周围神经病的患者,神经超声测定时,其横截面积也较正常对照人群增粗,但明显低于脱髓鞘病变以及血管炎的患者,且多于正常范围,但在容易嵌压的部位也可以出现神经的明显增粗。而在运动神经元病的患者,前角细胞丢失肌肉明显萎缩的情况下,神经横截面积和正常比较并无神经增粗,在部分神经可以见到神经横截面积下降[23]。
由于目前有关神经超声在多发性周围神经病或多发单神经病的研究较少,现有的研究中大部分样本数较小或仅为个案报道,所报道的研究参数也有所不同,而周围神经病种类众多,因此目前尚难以获得不同疾病、不同时期、不同严重程度下的改变特点和规律,要得到神经超声在这组疾病检测价值的明确的结论,还需要进行大量的系统地研究[23]。随着超声技术硬件和软件的进步,如能进一步对病变神经束信号改变或血流信号的改变进行精确的定量分析,可能会进一步提高神经超声在周围神经病诊断中的临床价值。
周围神经超声可以清晰地显示臂丛在锁骨上区域的部分,包括上、中、下三个干以及近端的从椎间孔发出在颈部走行的神经根。臂丛测定时建议从锁骨上区开始,从三个神经干混合处,以横断面模式向头端进行连续扫描;记录上中下三个干的横截面积,增粗的特点,以及血流信号的变化。
高频神经超声能够清晰地显示周围神经、肌肉及其邻近的血管等结构,在肥胖的患者、神经变异等情况下,可以辅助神经传导测定,如膈神经、股外侧皮神经等,必要时并可以指导选择性进行某一肌肉的针电极肌电图测定,如对危重病患者进行膈肌的肌电图测定,以减少气胸的风险。在腓肠神经活检时,可以先通过神经超声进行测定协助定位,如神经活检前超声发现神经增粗等表现,提示神经活检的价值更大。
完整的周围神经超声检查报告的内容,应该包括下面这些信息:(1)检查日期和时间;(2)患者姓名、性别、年龄及病案号(或就诊卡ID);(3)检查结果:是否有神经增粗,增粗节段的分布特点:是均匀增粗,还是节段性或局限性增粗,增粗部位是否在易受嵌压的部位,是否有局部受压变形;如有增粗则定量描述横截面积;神经增粗部位有无神经束信号变化、血流信号增加。(4)检查结论。
(1)正常报告:
检查结果:
双侧正中神经、尺神经、桡神经、臂丛上/中/下干及C5-8神经根、胫后神经、腓总神经所检CSA正常范围内(不同情况下可根据所测定的具体神经数量进行描述)。
印象:
神经超声所检测神经未见异常。
(2)腕管综合征(以右侧病变为例):
检查结果:
右侧正中神经腕部CSA增粗,腕管入口CSA XXmm2,腕横韧带处CSA XXmm2,腕管出口处CSA XXmm2。右正中神经近端、左侧正中神经、双侧尺神经CSA正常范围内。
印象:
神经超声提示右侧腕管综合征。
(3)肘管综合征(以右侧病变为例):
检查结果:
右侧尺神经肘管处CSA增粗,肘管入口CSA XXmm2,肘管内CSA XXmm2,肘管出口处CSA XXmm2。余左侧尺神经、双侧正中神经CSA正常范围内。
印象:
神经超声提示右侧肘管综合征。
(4)多发性周围神经病(例:CIDP):
检查结果:
双侧正中神经、左侧尺神经可见节段性CSA增粗,臂丛和下肢部分神经测定点可见CSA增粗,不伴血流信号增加,具体数据见表3。

神经超声测定结果
神经超声测定结果
| 侧别 | 正中前臂段 | 正中上臂段 | 尺前臂段 | 尺肘及上臂段 | 臂丛上/中/下干 | 胫后踝 | 腓小头上 | 胫后腘窝 | 腓总腘窝 |
|---|---|---|---|---|---|---|---|---|---|
| 右 | 5~12 | 6~27 | 3~8 | 4~6 | 12/17/11 | 29 | 21 | 42 | 24 |
| 左 | 4~21 | 11~19 | 3~7 | 4~14 | 16/20/5 | 32 | 26 | 36 | 27 |
印象:
神经超声提示所检神经节段性增粗,提示获得性脱髓鞘性周围神经病。
高频神经超声有利于快速筛查寻找病变部位,识别多灶损害。可以检测几乎所有电生理能够测定的神经(被骨组织遮挡的除外),设备相对便携、廉价,无放射,可以随时动态观察,临床无绝对禁忌证,在植入起搏器或刺激器、幽闭恐怖症者仍可使用,另外多普勒成像可以观察血管结构以及炎症反应的证据。神经超声也有其不足之处,如不能穿透骨组织;深部神经的探测也较为困难;当周围组织声学阻抗与神经相似时(如脂肪),识别困难;另外神经超声测定的准确性受个人技术因素影响较大。
尽管神经超声在嵌压、肿瘤和外伤等相关单神经病的应用已经多年,但其在多发性周围神经病以及多发单神经病的应用上需要更多的研究,本共识旨在为今后的临床应用和研究起到抛砖引玉的作用,希望更多的相关研究能为周围神经超声的临床应用提供更充分的证据。
执笔人:徐蔚海(中国医学科学院北京协和医院神经科);邢英琦(吉林大学第一医院神经科);孙葳(北京大学第一医院神经科);惠品晶(苏州大学附属第一医院脑颈超声科);薛爽(卫生部中日友好医院神经科);刘明生(中国医学科学院北京协和医院神经科)
特邀顾问专家:黄一宁(北京大学第一医院神经科)
撰稿专家组成员(按汉语拼音排序)
陈勇(江苏省苏北人民医院神经科);代成波(广东省人民医院神经科);方朴(南昌大学第一附属医院神经科);房亚兰(山西医科大学第一医院神经科);付建辉(复旦大学附属华山医院神经科);龚浠平(首都医科大学附属北京天坛医院神经科);关景霞 (武汉大学人民医院神经科);郭蓉(辽宁省人民医院神经功能科);黄一宁(北京大学第一医院神经科);胡英环(中国医学科学院北京协和医院神经科);惠品晶(苏州大学附属第一医院脑颈超声科);蒋冬梅(青海省人民医院神经科);李国霖(哈尔滨医科大学附属第一医院神经科);李华(吉林省德惠市人民医院神经科);李雅杰(吉林市中心医院超声科);刘文宏(首都医科大学附属北京世纪坛医院神经科);刘新红(泰安市中心医院神经科);刘子凡(广州医科大学附属第三医院神经科);卢宝全(唐山市工人医院神经科);彭清(北京大学第一医院神经科);宋学萍(南方医科大学南方医院神经科);孙葳(北京大学第一医院神经科);王汉旻(温州医科大学附属第一医院神经科);邢英琦(吉林大学第一医院神经科);徐蔚海(中国医学科学院北京协和医院神经科);游咏(南华大学附属第一医院神经科);于德林(天津市环湖医院超声科);袁端华(桂林医学院附院神经内科);张京芬(包头市中心医院神经科);张霞(苏州大学附属第二医院神经科);赵伟丽(赤峰学院附属医院神经科);赵玉英(山东大学齐鲁医院神经科);周沐科(四川大学华西医院神经科);周振华(第三军医大学西南医院神经科)




















