
探讨烧冲复合伤大鼠心肌损伤及钙蛋白酶的变化规律。
128只雄性SD大鼠按随机数字表法分为对照组、烧伤组、冲击伤组、复合伤组各32只。对照组:37 ℃温水中12 s,烧伤组:94 ℃的沸水中12 s,冲击伤组:5 g黑索今距离大鼠左胸壁75 cm爆炸,复合伤组:5 g黑索今距离大鼠左胸壁75 cm爆炸后94 ℃的沸水中12 s。伤后6、24、48、72 h 4个观察点,采集腹主动脉血和心肌标本;测定左心室射血分数(EF)、左心室短轴缩短指数(FS);心肌组织HE染色;血清肌钙蛋白I(CTnI)、肌酸激酶同工酶(CK-MB)检测;Tunel染色检测心肌组织细胞凋亡;实时荧光定量聚合酶链反应(RT-PCR)及Western印迹法分析心肌中钙蛋白酶mRNA及蛋白表达变化;荧光光度法检测钙蛋白酶活性。
复合伤组伤情变化明显,心肌间质水肿明显,可见大面积心肌细胞变性及崩解,中性粒细胞浸润数量增多。伤后24 h烧伤组、冲击伤组、复合伤组心功能下降,EF和FS均显著低于对照组(均P<0.05)。复合伤组伤后72 h时FS和EF,48 h时FS均显著低于烧伤组、冲击伤组(均P<0.05);复合伤组cTnI上升,各个时间点均显著高于对照组,48 h时均显著高于烧伤组与冲击伤组(均P<0.05);复合伤组CK-MB伤后逐渐升高,24 h时降低,48 h时再升高且均显著高于对照组与烧伤组(均P<0.05)。伤后烧伤组、冲击伤组、复合伤组心肌凋亡指数均显著高于对照组(均P<0.05),烧伤组24、48 h时分别为(25.3±4.0)、(28.8±5.3),均显著低于同时间点复合伤组的(43.3±9.4)、(53.3±10.4),烧伤组72 h时为(31.9±6.7),显著高于冲击伤组的(17.3±6.3)(均P<0.05)。各时间点复合伤组心肌组织中钙蛋白酶mRNA和蛋白相对表达量均显著高于对照组(均P<0.05)。复合伤组心肌钙蛋白酶活性伤后24 h达到高峰,后逐渐下降,各时间点均显著高于对照组(均P<0.05)。
烧冲复合伤后大鼠出现心肌损伤,钙蛋白酶蛋白表达升高、活性增强。
版权归中华医学会所有。
未经授权,不得转载、摘编本刊文章,不得使用本刊的版式设计。
除非特别声明,本刊刊出的所有文章不代表中华医学会和本刊编委会的观点。
烧冲复合伤是指热力因素(火焰、热液、蒸汽烧伤、光辐射)和冲击波先后依次或同时作用于机体引起多个脏器、多个部位的损伤[1],对机体造成的损害比单一的烧伤或冲击伤严重,并发症多,病死率高[2]。心功能不全不能及时纠正,会加重或导致全身组织脏器缺血,缺氧,对机体整体代谢影响深远。因此,明确心肌损伤情况、机制和原因对提高烧冲复合伤的治疗水平具有重大意义。
128只对照组D雄性大鼠购自中国医学科学院实验动物研究所,体质量180~200 g。
DSR-PDX10P摄像机(日本SONY公司);DP71显微镜(日本Olympus公司);电雷管8号(北京中国兵器装备研究院);黑索今混合压缩炸药(北京中国兵器装备研究院);M102A07型ICP压力传感器(美国PCB公司);长时/瞬态记录仪(美国Nicolet公司);7500-PCR荧光定量仪(美国ABI公司); Mini PROTEIN 3蛋白电泳槽(美国Bio-Rad公司);Sonos7500超声诊断仪(美国飞利浦公司);DU-800分光光度计(美国Beckman公司); AMVA反转录试剂盒(美国Promega公司)钙蛋白酶活性荧光定量检测试剂盒、细胞凋亡Annexin V/PI试剂盒(美国Sigma公司);Calpain多克隆抗体(美国Vectorlabs公司)。
大鼠按随机单位组设计分为对照组、烧伤组、冲击伤组、复合伤组各32只,设伤后6、24、48、72 h四个观察点,每组每个观察点8只大鼠。称量大鼠体质量,腹腔注射速眠新和盐酸氯胺酮混和液(0.8 ml/kg)麻醉,Meeh-Rubner公式(A=9.1×W2/3×10-4,A:体表面积,以m2计算;W:体质量,以g计算),量纸法测量大鼠背部20%体表面积,去除毛发,置于94 ℃的沸水中12 s,形成烧伤模型。大鼠固定在大鼠架上,置于爆炸实验现场。爆炸源为5 g黑索今炸药,大鼠距离爆炸源75 cm,压力峰值结果为64.05 Pa,建立中度冲击伤模型;合并烧伤和冲击伤模型步骤制备烧冲复合伤模型。因河南省无相关实验条件,实验场地设在中国兵器工业第二〇八研究所。
观察呼吸频率、心率等局部与全身伤情变化。检测三维超声心动图左心室射血分数(EF)、左心室短轴缩短指数(FS)。酒精消毒腹部皮肤,切开暴露腹主动脉,促凝采血管收集血样,4 ℃静置30 min,3 000 r/min(离心半径10.5 cm)离心15 min,分离的血清于-80 ℃分装保存。检测致伤后不同观察点血清肌钙蛋白I(CTnI)和肌酸激酶同工酶(CK-MB)变化。
将伤后不同时间大鼠腹腔放血处死,大体解剖取出左心室心肌组织,制成1.0 cm×1.0 cm×1.0 cm大小组织块,4%甲醛固定,石蜡包埋,制成5 μm切片,脱蜡,梯度脱水,透明,中性树胶封片。
将大鼠左心室心肌组织石蜡切片二甲苯浸洗,乙醇梯度,PBS漂洗,37 ℃蛋白酶K工作液处理,玻片风干。Tunel反应混合液加于标本上,加封口膜。加入50 μl二氨基联苯胺底物,甲基绿复染,自来水冲洗,梯度乙醇脱水、二甲苯透明、中性树胶封片。光学显微镜对凋亡细胞进行观察,拍照,每张切片随机选取10个高倍镜视野,凋亡细胞的阳性率=视野内凋亡细胞个数/视野内所有心肌细胞个数×100%。
(1)根据Trizol操作说明书进行,均为RNase-free无RNA酶操作。设置对照组mRNA表达量为1,以倍比关系分析其他各组伤后不同时间点mRNA的相对表达量。钙蛋白酶目的基因引物序列:正向5′GGCTACCGTTTGTCTAGCGT 3′,反向5′CCCAGGTACTTGATGGCGTT 3′,基因PCR定量。(2)对变性聚丙烯酰胺不连续(SDS-PAGE)凝胶电泳结果曝光条带用图像分析软件Image J 1.4.7进行灰度分析,蛋白表达量化,蛋白条带灰度值比GAPDH灰度值计算各蛋白相对表达量。(3)荧光光度法测定吸光度,测定7-氨基-4-甲基香豆素含量,计算钙蛋白酶活性。
所有数据采用SPSS 21.0统计软件进行统计学分析,正态分布的计量资料用
±s表示;组间比较采用方差分析及LSD-t检验;Pearson分析双变量相关,P<0.05为差异有统计学意义。
冲击伤组、烧伤组呼吸和心率稍微加快,活动量少,食欲不佳;复合伤组呈惊恐状,无进食,精神极度萎靡,无活动度,呼吸急促、呼吸困难,心率显著加快后又明显减慢。各组大鼠处死前均无死亡退出。
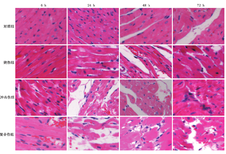
光镜下可见烧伤组心肌间质充血,中性粒细胞浸润,肌浆变性;冲击伤组心肌细胞断裂,少量中性粒细胞聚集,肌浆变性及崩解;复合伤组心肌间质水肿明显,可见大面积心肌细胞变性及崩解,中性粒细胞浸润数量增多。对照组心肌细胞结构完整,组织清晰,未见上述改变(图1)。


注:对照组:心肌细胞各时间点结构完整,未见充血和炎症细胞浸润;烧伤组:伤后24、48和72 h心肌间质轻度充血,少量中性粒细胞聚集,可见肌浆变性;冲击伤组:伤后6、24、48和72 h大鼠心肌细胞断裂,中性粒细胞浸润,肌浆变性及崩解;复合伤组:伤后6、24、48和72 h心肌间质水肿明显,随伤后时间增加可见大面积心肌细胞变性及崩解,中性粒细胞浸润数量增多(HE ×400)
伤后24、48和72 h烧伤组、冲击伤组、复合伤组的心功能下降,EF和FS均显著低于对照组(均P<0.05)。复合伤组48 h FS、伤后72 h FS和EF均显著低于同观察点烧伤组、冲击伤组(均P<0.05)。烧伤组心功能逐渐降低,伤后6、24和48 h EF和FS均显著低于72 h观察点(均P<0.05)(表1)。

各组大鼠伤后不同时间点心脏功能指标变化(%,
±s,n=8)
各组大鼠伤后不同时间点心脏功能指标变化(%,
±s,n=8)
| 组别 | 6 h | 24 h | 48 h | 72 h | |
|---|---|---|---|---|---|
| 对照组 | |||||
| EF | 94.0±1.2 | 93.0±2.7 | 92.2±1.6 | 93.3±2.2 | |
| FS | 63.4±6.7 | 62.9±4.3 | 62.7±5.4 | 57.3±7.5 | |
| 烧伤组 | |||||
| EF | 92.7±4.3a | 88.9±3.0ab | 82.0±4.8ab | 76.3±7.3bc | |
| FS | 59.4±3.9a | 58.3±2.3ab | 51.8±4.6abc | 41.3±5.1bc | |
| 冲击伤组 | |||||
| EF | 88.1±4.5 | 86.1±3.2b | 86.2±3.0b | 85.1±3.6bc | |
| FS | 58.0±6.0 | 54.0±5.1b | 53.8±5.5bc | 52.0±4.2bc | |
| 复合伤组 | |||||
| EF | 92.6±2.8 | 86.3±3.8b | 71.7±6.6b | 60.2±13.2b | |
| FS | 59.7±3.5 | 53.8±6.5b | 39.8±9.5b | 37.2±7.7b | |
注:EF:左心室射血分数;FS:左心室短轴缩短指数;与烧伤组72 h比较,aP<0.05;与对照组比较,bP<0.05;与复合伤组比较,cP<0.05
伤后复合伤组cTnI上升,各个时间点均显著高于对照组,48 h均显著高于烧伤组与冲击伤组(均P<0.05)。冲击伤组在各个时间点也均显著高于对照组(均P<0.05),48 h显著高于烧伤组、低于复合伤组(均P<0.05)。烧伤组CTnI升高,24 h后回落,48 h再上升,6 h后各个时间点均显著高于对照组,48 h显著低于冲击伤组与复合伤组(均P<0.05)。伤后复合伤组CK-MB 6 h升高,24 h降低后48 h再升高,6 h后各个时间点均显著高于对照组与烧伤组(均P<0.05)。冲击伤组在伤后24 h显著高于对照组及烧伤组(均P<0.05)。烧伤组CK-MB快速升高,6 h后降低,72 h降低至正常水平(表2)。

各组大鼠伤后不同时间点CTnI和CK-MB均值的变化(
±s,n=8)
各组大鼠伤后不同时间点CTnI和CK-MB均值的变化(
±s,n=8)
| 组别 | 6 h | 24 h | 48 h | 72 h | |
|---|---|---|---|---|---|
| 对照组 | |||||
| CTnI(U/L) | 3.6±0.2 | 3.8±0.4 | 3.4±0.4 | 4.0±0.6 | |
| CK-MB(μg/L) | 823±46 | 800±80 | 760±30 | 760±40 | |
| 烧伤组 | |||||
| CTnI(U/L) | 4.8±1.2 | 7.8±0.4a | 6.1±0.8ab | 8.3±1.1a | |
| CK-MB(μg/L) | 1 507±200 | 629±60 | 589±50 | 650±30 | |
| 冲击伤组 | |||||
| CTnI(U/L) | 6.4±1.0a | 6.9±1.1a | 8.1±0.5abc | 7.5±0.2a | |
| CK-MB(μg/L) | 1 261±264 | 2 192±300ad | 671±30 | 648±30 | |
| 复合伤组 | |||||
| CTnI(U/L) | 6.8±1.0a | 8.5±0.6a | 9.3±0.4a | 8.0±0.8a | |
| CK-MB(μg/L) | 1 003±108 | 2 590±160ae | 1 106±200ae | 2 663±108ae | |
注:CTnI:肌钙蛋白I;CK-MB:肌酸激酶同工酶;与对照组比较,aP<0.05;与复合伤组48 h比较,bP<0.05;与烧伤组48 h比较,cP<0.05;与烧伤组24 h比较,dP<0.05;与烧伤组比较,eP<0.05
烧伤组、冲击伤组、复合伤组心肌凋亡指数24 h后均显著高于对照组(均P<0.05)。烧伤组24 h后显著低于复合伤组、72 h显著高于冲击伤组(均P<0.05)。冲击伤组24 h后均显著低于复合伤组(均P<0.05)(表3,图2)。


注:箭头所示为阳性凋亡细胞,核呈深染的棕色或棕黄色,染色质凝集,核固缩,对照组心肌组织中凋亡细胞偶尔可见,随伤后时间延长复合伤组可见大量凋亡的心肌细胞,烧伤组和冲击伤组细胞凋亡分布稀疏(×200)

各组大鼠伤后不同时间点心肌凋亡指数(%,
±s,n=8)
各组大鼠伤后不同时间点心肌凋亡指数(%,
±s,n=8)
| 组别 | 6 h | 24 h | 48 h | 72 h |
|---|---|---|---|---|
| 对照组 | 8.5±3.1 | 7.8±2.7 | 8.4±3.6 | 8.6±3.2 |
| 烧伤组 | 14.1±4.1 | 25.3±4.0a | 28.8±5.3a | 31.9±6.7ab |
| 冲击伤组 | 15.3±4.5 | 16.3±5.0a | 14.3±4.6a | 17.3±6.3a |
| 复合伤组 | 18.7±4.9 | 43.3±9.4acd | 53.3±10.4acd | 59.3±14.1acd |
注:与对照组比较,aP<0.05;与冲击伤组72 h比较,bP<0.05;与烧伤组比较,cP<0.05;与冲击伤组比较,dP<0.05
伤后各个时间点复合伤组钙蛋白酶mRNA表达水平均显著高于对照组(均P<0.05)。冲击伤组伤后逐渐上升,在6 h后各个时间点均显著高于对照组,伤后24 h显著低于复合伤组(均P<0.05)。烧伤组伤后上升,24 h后回落,6 h后各个时间点均显著高于对照组,伤后48 h显著低于冲击伤组及复合伤组(均P<0.05)。复合伤组伤后6 h钙蛋白酶蛋白表达水平开始升高,各个时间点均显著高于对照组(均P<0.05)。冲击伤组钙蛋白酶表达水平升高,24 h后各时间点变化不大,24、48 h均显著低于复合伤组(均P<0.05)。烧伤组趋势与冲击伤组基本一致。复合伤组心肌钙蛋白酶活性伤后开始升高,24 h达到高峰,然后逐渐下降,伤后各个时间点均显著高于对照组(P<0.05)。冲击伤组、烧伤组伤后钙蛋白酶活性升高,各时间点变化与复合伤组趋势一致,显著高于对照组(均P<0.05)。冲击伤组、烧伤组伤后24 h钙蛋白酶活性均显著低于复合伤组(均P<0.05)(表4)。

各组大鼠伤后不同时间点心肌钙蛋白酶mRNA相对表达量、蛋白相对表达量和活性表达变化(
±s,n=8)
各组大鼠伤后不同时间点心肌钙蛋白酶mRNA相对表达量、蛋白相对表达量和活性表达变化(
±s,n=8)
| 组别 | 6 h | 24 h | 48 h | 72 h | |
|---|---|---|---|---|---|
| 对照组 | |||||
| 钙蛋白酶mRNA | 0.95±0.14 | 1.06±0.12 | 1.03±0.16 | 0.99±0.14 | |
| 钙蛋白酶蛋白 | 1.02±0.31 | 0.94±0.22 | 0.98±0.37 | 1.01±0.29 | |
| 钙蛋白酶活性 | 12±4 | 12±3 | 11±3 | 13±4 | |
| 烧伤组 | |||||
| 钙蛋白酶mRNA | 2.17±0.45 | 5.96±1.27a | 2.94±0.38a | 2.81±0.36a | |
| 钙蛋白酶蛋白 | 1.85±0.37 | 3.35±0.29a | 3.18±0.46a | 3.91±0.58a | |
| 钙蛋白酶活性 | 29±7a | 60±10a | 49±8a | 37±7a | |
| 冲击伤组 | |||||
| 钙蛋白酶mRNA | 2.31±0.55 | 6.39±0.85a | 4.92±0.94ab | 2.81±0.88a | |
| 钙蛋白酶蛋白 | 2.24±0.36a | 2.95±0.47a | 3.46±0.46a | 3.47±0.51a | |
| 钙蛋白酶活性 | 28±7a | 62±13a | 48±9a | 33±7a | |
| 复合伤组 | |||||
| 钙蛋白酶mRNA | 3.33±1.01a | 9.42±1.07ac | 4.49±0.88a | 4.01±0.56a | |
| 钙蛋白酶蛋白 | 3.63±0.45a | 4.78±0.31ac | 4.61±0.36ac | 4.04±0.47a | |
| 钙蛋白酶活性 | 38±8a | 88±18ac | 60±12a | 45±10a | |
注:与对照组比较,aP<0.05;与48 h烧伤组比较,bP<0.05;与烧伤组和冲击伤组比较,cP<0.05
烧冲复合伤是由于爆炸产生的热力和冲击波导致多脏器、多部位损伤的一种内外伤共存的创伤类型[3]。多种因素致伤表现为"相互加重"效应,导致伤情变得更加复杂,更难救治。
研究发现心脏腔隙和肺脏压力急剧改变是血流动力学急剧变化的动力[4]。冲击波在机体表面压迫胸壁,导致回心血量突然增加,因负压作用胸腔压力又迅速降低,这种瞬间快速的血流动力学变化是冲击伤导致心肺损伤的重要原因。关于烧冲复合伤对心脏的影响少有文献报道。目前认为,烧冲复合伤后机体损伤直接造成低排高阻型全身血流动力学疾病的心功能不全以及肺血管损伤[5]。基于以上背景本研究采用烧冲复合伤大鼠模型,对心脏功能和心肌细胞超微结构变化进行了观察和分析。本实验结果显示烧冲复合伤在伤后24 h心功能出现下降,72 h达到最低值,与对照组相比,无论EF还是心肌酶谱,肌钙蛋白都存在明显差异。烧冲复合伤心脏主要病理表现为[6]:光镜见心肌细胞形态消失,水肿明显,纹理不清而均质化,心肌纤维呈现断裂的形态特点,胞核常崩解或溶解消失,胞质成均质。本实验观察结果符合上述改变。
研究发现,心血管疾病中钙蛋白酶过度活化后能部分降解心肌收缩蛋白,促进心肌细胞凋亡,引起心肌收缩力下降,参与心血管结构重塑和血栓的形成[7]。在心肌缺血、房颤和缺血再灌注中心肌细胞中钙蛋白酶活化和部分收缩蛋白降解,影响心肌收缩功能[8]。钙蛋白酶在烧冲复合伤中的作用还未见报道。本研究结果显示:复合伤组心肌凋亡指数均显著增高,24、48、72 h与对照组、冲击伤组、烧伤组差异有统计学意义,表明了烧冲复合伤心肌细胞凋亡增加;复合伤组伤后不同时间点心肌钙蛋白酶mRNA相对表达量、蛋白相对表达量和活性均显著高于对照组,重度烧冲复合伤心肌损伤变化时相和钙蛋白酶蛋白相对表达量及活性表达水平基本一致,提示烧冲复合伤后钙蛋白酶可能参与了重度烧冲复合伤后心肌超微结构变化、心肌细胞损伤及凋亡。
综上所述,烧冲复合伤导致大鼠心肌损伤,心肌组织钙蛋白酶蛋白表达升高、活性增强,钙蛋白酶在心肌损伤中起着重要的作用,但钙蛋白酶的关联作用和具体机制还需进一步研究。





















