
研究IRX1(易洛魁家族同源盒基因,Iroquois homeobox gene)在宫颈癌中的表达及其与症癌分期的相关性。
选取2015年1月至2017年1月期间来湖北省肿瘤医院就诊的61例宫颈癌患者作为研究对象,其中国际妇、产科联合会Ⅰ期15例,Ⅱ期22例,Ⅲ期19例,Ⅳ期5例。以正常的人子宫颈上皮细胞HCerEpiC为对照,采用免疫印迹检测IRX1在宫颈癌细胞株Hela,C4-1,Siha中IRX1的蛋白表达,收集宫颈癌癌变组织为实验样本,qPCR检测不同分期宫颈癌癌变组织中IRX1mRNA表达水平,免疫组化检测IRX1在宫颈癌组织中的表达以及其与临床分期的相关性。
免疫印迹检测结果表明,IRX1在各宫颈癌细胞株中的表达高于正常的宫颈上皮细胞,且qPCR检测结果也表明在基因水平上IRX1的表达随癌症分期增加而增加,免疫组化结果显示,IRX1在胞核及胞质中都有表达,癌症分期越高其阳性表达量也相应增高,Ⅰ期阳性着色率为0,Ⅱ期为64%,Ⅲ期为84%,Ⅳ期为100%。
IRX1的表达与宫颈癌的临床分期相关,这表明IRX1可能参与了宫颈癌的发生与发展,IRX1有望成为临床上宫颈癌诊断与治疗的新的分子靶点,为宫颈癌的治疗提供新的理论依据。
版权归中华医学会所有。
未经授权,不得转载、摘编本刊文章,不得使用本刊的版式设计。
除非特别声明,本刊刊出的所有文章不代表中华医学会和本刊编委会的观点。
宫颈癌是常见的妇科肿瘤之一,早婚早育、炎症、宫颈糜烂、内分泌紊乱以及人乳头状瘤病毒HPV感染等因素都可能导致宫颈癌的发生[1]。在所有女性恶性肿瘤中,其发病率和死亡率仅次于乳腺癌,居第2位[2],发病年龄多集中在30~40岁左右,且发展中国家要高于发达国家[3]。目前,临床上针对宫颈癌的治疗手段是外科手术联合放疗与化疗[4,5],尽管早期宫颈癌的治愈率高达80%以上,但是对于晚期及转移的患者治疗结果往往不尽如人意[6]。因此急需寻找新的有效的治疗方式来改善晚期及转移性的宫颈癌患者生存状况,分子靶向治疗有望为其提供新的思路。IRX1基因参与编码多种具有转录活性的蛋白,能够调节神经系统发育,与动物的胚胎发育息息相关[7]。有文献报道,IRX1参与多种肿瘤的发生与发展,关于其抑癌或促癌作用的定义尚不明确,例如,IRX1在胃癌[8,9,10],头颈部的鳞状细胞癌[11]以及肺癌[12]的发生过程中发挥着抑癌基因的作用,在骨肉瘤[13]以及原发性肝癌[14]中,IRX1却具有促癌的作用。但是,关于IRX1在宫颈癌中的表达以及其与宫颈癌分期的相关性未有报道,本研究旨在探明其在宫颈癌中的表达情况以及此基因的表达是否与宫颈癌的临床分期相关。
宫颈癌细胞株Hela,C4-1,Siha以及正常的人源宫颈上皮细胞HCerEpiC购自中国科学院细胞库,所有细胞培养于高糖DMEM中,加10%的胎牛血清FBS,并在含有5%CO2的37 ℃恒温培养箱中培养,当细胞长至融合,通过胰蛋白酶消化提取分散的细胞用于实验或继续接种培养。
本研究选取2015年1月至2017年1月期间来湖北省肿瘤医院就诊的61例宫颈癌患者作为研究对象,其中国际妇、产科联合会(FIGO) Ⅰ期15例,Ⅱ期22例,Ⅲ期19例,Ⅳ期5例。对于Ⅱb期以前的宫颈癌患者,收集术后切除的宫颈癌癌变组织为实验样本,而Ⅱb期及以后的患者则收集其活检标本为实验样本。本研究经由湖北省肿瘤医院研究伦理协会批准,所有纳入研究的患者均知情同意。具体宫颈癌分期由临床医师参照FIGO临床分期标准并结合临床检测而定[15]。
本研究纳入的61例宫颈癌患者作为研究对象,其中腺癌10例,鳞癌51例。Ⅰ期15例,年龄22~76岁,平均43.5岁,Ⅱ期22例,年龄25~74岁,平均45.1岁,Ⅲ期19例,年龄35~78岁,平均48.7岁,Ⅳ期5例,年龄55~77岁,平均57.4岁。淋巴转移者38例,无淋巴转移者23例。
高效提取蛋白裂解液RIPA,BCA蛋白定量试剂盒以及ECL化学发光试剂盒购自碧云天生物科技有限公司,total RNA提取试剂盒,逆转录试剂盒与SYBR Green PCR试剂盒由TaKaRa公司提供,IRX1兔抗人的单克隆抗体(货号:D152343)购自生工生物科技有限公司,内参β-actin的鼠抗人单克隆抗体(货号:ab8226)购自Abcam公司。
将Hela,C4-1,Siha,HCerEpiC细胞接种于60 mm直径的细胞培养皿中,待长至融合后用胰酶消化分散,离心后用PBS缓冲液洗3次去除上清液,加RIPA冰上裂解15 min,所得的裂解液用BCA试剂盒定量(按说明书操作),加上样缓冲液混匀后置于沸水中5 min,冰上骤冷以防蛋白复性。IRX1相对分子质量约50 000,用10%的分离胶电泳分离,湿法转膜1 h,脱脂牛奶室温封闭2 h,入一抗(IRX1,1∶1 000;β-肌动蛋白,1∶2 000)4 ℃慢摇(40 r/min)过夜,TBST缓冲液洗3次入二抗(1∶3 000),室温慢摇(40 r/min)2 h,最后用ECL化学发光试剂盒于暗室发光显影。
取各分期的宫颈癌癌变组织标本8例,手动冰上匀浆后按照相应的说明书操作提取total RNA并逆转录,模板合成好以后开始实时荧光定量PCR检测目标基因的表达,IRX1的引物序列如下,正向引物:5′CTCAGCCTCTTCTCGCAGAT3′反向引物:5′TCTTCCTGGTCCTTGCTGC3′;内参GAPDH引物序列如下,正向引物:5′GCACCGTCAAGGCTGAGAAC3′,反向引物:5′TGGTGAAGACGCCAGTGGA3′。
运用免疫组化检测61例宫颈癌患者癌变组织中IRX1的表达,IRX1一抗的稀释比例为1∶100,免疫组化的结果由2位病理专家鉴定:无着色或极浅着色判定为阴性(-),着浅棕色判定为弱阳性(+)、着棕色判定为中等阳性(++)、着棕褐色判定为强阳性(+++)。
所有数据采用SPSS 19.0软件进行分析,组间差异统计学意义检验采用t检验,以P<0.05为差异有统计学意义。
免疫印迹结果显示,IRX1在正常人源的HCerEpiC基本不表达,在宫颈癌细胞系Hela,C4-1,Siha中高表达,差异有统计学意义(P<0.05,图1)。


与HCerEpiC比较,aP<0.05
IRX1在各分期宫颈癌组织中的mRNA表达水平随着分期级别升高而增加,且差异有统计学意义(P<0.05,图2)。


n=8,与Phase Ⅰ比较,aP<0.05;与Phase Ⅱ比较,bP<0.05;与Phase Ⅲ比较,cP<0.05
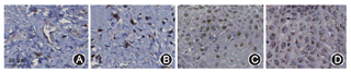
IRX1在Ⅰ期宫颈癌患者癌变组织中着色很浅,主要为弱阳性(80%),伴随分期级别升高着色程度加深,Ⅱ期宫颈癌患者癌变组织中着色加深,主要为阳性(59%),Ⅲ期患者主要着色也为阳性(79%),Ⅳ期患者80%都为强阳性着色。并且IRX1在胞核与胞质中都有表达(图3)。为了便于比较,将阴性着色(-)与弱阳性着色(+)统一判定为阴性着色,将阳性着色(++)与强阳性着色(+++)判定为阳性着色,则Ⅰ期的阳性着色率为0,Ⅱ期为64%,Ⅲ期为84%,Ⅳ期为100%。所有纳入患者病变组织免疫组化染色结果统计显示,肿瘤分期越高,IRX1阳性率也随之升高,表1。

61例宫颈癌患者宫颈癌组织免疫组化染色结果
61例宫颈癌患者宫颈癌组织免疫组化染色结果
| 临床分期 | 例数 | IRX1表达强弱[n(%)] | 阳性率(%) | |||
|---|---|---|---|---|---|---|
| (-) | (+) | (++) | (+++) | |||
| Ⅰ | 15 | 3(20) | 12(80) | 0 | 0 | 0 |
| Ⅱ | 22 | 2(9) | 6(27) | 13(59) | 1(5) | 64 |
| Ⅲ | 19 | 1(5) | 2(11) | 15(79) | 1(5) | 84 |
| Ⅳ | 5 | 0 | 0 | 1(20) | 4(80) | 100 |


本研究探讨了IRXI在宫颈癌细胞与组织中的表达与定位,以及研究了IRX1在不同分期的宫颈癌中的表达规律,免疫印迹结果表明,株宫颈癌细胞系中IRX1的表达显著高于正常的人源宫颈上皮细胞HCerEpiC,且qPCR检测结果显示在不同分期级别的宫颈癌癌变组织中IRX1的表达随着癌症分期增加而增加,结果具有显著性差异。同时,免疫组化结果也证明了高分期的宫颈癌癌变组织中IRX1的着色阳性率高于低分期癌变组织,这可能与IRX1调控多种转录因子的翻译有关,这些结果都表明了IRX1可能参与了宫颈癌的发生与发展,IRX1在宫颈癌细胞以及癌变组织中高表达暗示了IRX1具有作为判断宫颈癌预后以及恶性程度的潜能,且其有可能成为治疗宫颈癌的新的分子靶标。
作为促癌基因,在原发性的肝癌中,IRX1在癌组织中的表达量显著高于非癌组,随着肿瘤分期增加,IRX1的阳性表达率逐渐升高[16,17]。这与我们在宫颈癌中的发现一致。而且,IRX1去甲基化能够激活CXCL14/NF-κB途径,从而促进骨肉瘤向肺转移[18],研究表明,CXCL14属于CXC趋化因子家族的一员,它能够影响免疫细胞的趋化性与肿瘤的迁移,并且,CXCL14还能够参与调控癌症相关的血管生成,肿瘤细胞的自分泌,肿瘤相关免疫的激活以及验证反应等生物学过程,癌变组织中CXCL14的表达与癌症的发生与发展密切相关[19]。NF-κB作为核转录因子能够调控多种病理过程,如细胞增殖,凋亡,炎症,病毒感染等[20]。作为抑癌基因,IRX1能够下调BDKRB2依赖的下游信号分子PAK1的表达,从而抑制胃癌血管形成与癌细胞的转移[9]。PAK1作为Ser/Thr蛋白激酶家族的一员,参与细胞迁移与增殖,影响细胞骨架重排和凋亡等多个信号途径的调控[18,21],且PAK1过表达以后促进癌症的发生与发展[22,23]。另外,IRX1还可以靶向HOXB4及EGR,激活两者转录,从而抑制急性淋巴细胞白血病的病程,其中HOXB4作为WNT、TPO与c-KIT的下游靶基因,对造血干细胞干性的维持是必需的,而EGR可以抑制p21依赖的沉默途径来激活造血干细胞[24]。
大量研究证明,PAK1可以激活MAPK途径[25],而MAPK途径参与宫颈癌相关的血管生成,调控癌细胞的生长与增殖等生理过程[26]。据报道,NF-κB信号途径同样能够通过介导多种相关基因的表达来调控宫颈癌细胞的凋亡,增殖,迁移以及侵袭等,直接影响宫颈癌的发生与发展进程[27]。除此之外,WNT信号通路在宫颈癌放化疗的敏感性,细胞生长周期以及宫颈癌上皮间质转化等诸多方面都发挥着重要的作用[28]。所以,我们推测IRX1可能是通过调控MAPK信号途径,NF-κB信号途径或WNT信号途径中的某个途径或是相关的分子网络来参与宫颈癌的发生发展进程。
宫颈癌的发生是受多种因素共同影响的结果,通过对宫颈癌相关基因表达谱的认识加深,找到新的重要的影响宫颈癌发生与发展的关键分子,这对于临床上宫颈癌的精准诊断与治疗,以及预后都具有十分重要的意义。IRX1在宫颈癌组织中高表达,这证明了其可能参与宫颈癌的发生与发展过程。关于IRX1是否是通过调控MAPK信号途径,NF-κB信号途径或WNT信号途径来影响宫颈癌的进程尚不明确,具体相关的分子机制还需要进一步的实验研究。





















