
版权归中华医学会所有。
未经授权,不得转载、摘编本刊文章,不得使用本刊的版式设计。
除非特别声明,本刊刊出的所有文章不代表中华医学会和本刊编委会的观点。
患者女,50岁,因"肌无力4年余,发现血钙、血肌酐升高1个月余"于2017年6月2日入北京协和医院。患者于2013年一次弯腰搬重物后开始间断出现双下肢无力,一般于行走十几分钟后出现,休息后可恢复正常。外院查肌酸激酶(CK)270 U/L,肌电图示肌源性改变,考虑多发性肌炎不除外,未治疗。2016年10月出现双上肢无力,近端为著,表现为不能端起一个水壶,但可以拎起,下肢无力较前加重,上下楼梯需扶栏杆。否认吞咽困难、饮水呛咳、呼吸困难,否认发热、皮疹、关节肌肉疼痛。就诊外院查CK 133 U/L,血肌酐150 μmol/L,血钙3.25 mmol/L;肌电图示肌源性病变,双下肢神经传导速度(NCV)减慢,重复神经电刺激(RNS)正常;超声:胸骨上窝低回声结节,不除外变形肿大淋巴结,双颈部淋巴结显示,考虑副肿瘤综合征可能。为进一步诊治就诊我院。患者有光过敏、龋齿,否认皮下结节、口干、眼干、黏膜溃疡。患病以来食欲无明显改变,二便如常,体重下降约5 kg。既往史:20余年前痰涂片结核分支杆菌阳性,诊断为"结核性胸膜炎、支气管扩张",不规范抗结核治疗;10余年前诊断为"白癜风"。否认吸烟、饮酒史,婚育月经史、家族史无特殊。
入院查体:身高163 cm,体重39.5 kg,血压113/68 mmHg(1 mmHg=0.133 kPa),营养差,全身毛发及皮肤色素大面积脱失。双肺呼吸运动对称,左侧语颤增强、呼吸音减弱,右上肺少量细湿啰音,未及胸膜摩擦音。心、腹查体(-)。双上肢近端肌力4级,远端肌力5级。双下肢近端肌力5级,双足背屈4级,跖屈5级,余神经系统查体未见明显异常。入院后完善相关检查:血常规未见明显异常;尿常规:微量尿蛋白;血生化:肝功能正常,血肌酐205 μmol/L,血钙3.47 mmol/L(正常参考值:2.13~2.70 mmol/L);红细胞沉降率49 mm/h,超敏C反应蛋白24.55 mg/L;结核菌素(PPD)试验(-),血结核感染特异性T细胞检测(T-spot.TB)(-);免疫指标:抗核抗体:抗Ro 52抗体(+++),抗可提取性核抗原抗体、抗中性粒细胞胞质抗体阴性,补体正常。患者血钙升高,行钙磷代谢检验:游离钙1.64 mmol/L,24 h尿钙9.07 mmol,血磷1.06 mmol/L,1,25二羟维生素D3 278.4 pmol/L,25羟维生素D 88.8 nmol/L,甲状旁腺素4.9 ng/L。肾脏病变评估:血尿素氮14.0 mmol/L,血尿酸571 μmol/L,24 h尿总蛋白定量0.66 g,尿蛋白电泳示肾小管性蛋白86%,尿免疫固定电泳(-);肾脏超声示双肾集合系统内多发结石,左肾囊肿伴壁钙化。肌肉病变评估:肌酶谱:天冬氨酸转氨酶38 U/L,乳酸脱氢酶252 U/L,CK 133 U/L;肌电图示肌源性损害,RNS未见异常;肌肉活检病理示多发灶性肌纤维坏死,肌内膜及束膜散在CD4+和CD68+细胞,炎性病灶内以CD4+细胞为主,夹杂CD8+和CD68+细胞及个别CD20+细胞。肿瘤标志物:血清蛋白电泳未见M蛋白,鳞状细胞癌抗原、神经元特异性烯醇化酶、细胞角蛋白19、胃泌素释放肽前体、癌抗原199、癌抗原125均轻度升高;胸部增强CT(图1):左肺体积减小,上叶毁损肺,纵隔左移;双肺散在结节影,两肺门及纵隔多发肿大淋巴结;双侧胸膜增厚。全身骨显像:全身骨骼摄取增高,颅骨为著,不除外代谢性骨病所致。骨密度:未见明显异常。单光子发射计算机断层成像(SPECT)/CT融合显像:前上纵隔、隆突下多发放射性摄取增高团块及结节,恶性肿瘤可能。行支气管镜检查,双侧支气管肺泡灌洗液(BALF)抗酸染色、结核/非结核分枝杆菌核酸测定等病原学检查均阴性,未见瘤细胞。行CT引导下前上纵隔占位穿刺活检术,病理检查结果示:纤维脂肪组织显慢性炎,可见上皮样肉芽肿及多核巨细胞反应,符合肉芽肿性疾病,未见干酪样坏死(图2);特染结果:六胺银(-),抗酸-TB(-),弱抗酸染色(-),考虑结节病。血管紧张素转化酶(ACE)137 U/L(正常参考值:12~68 U/L)。最终诊断:结节病、陈旧性肺结核。


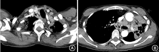
注:A.纵隔肿物(↑),可见纵隔多发小淋巴结,纵隔及气管左移;B.左肺纵隔左移,双侧肺门、气管隆突下可见多发肿大淋巴结(↑)


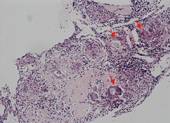
注:可见上皮样肉芽肿及多核巨噬细胞反应(↑),未见干酪样坏死
我国非结节病高流行区,以肌无力起病的结节病则更为罕见,易出现漏诊和误诊。
慢性肌病型结节病临床表现与多发性肌炎、重症肌无力类似,肌电图同样示肌源性损害,肌活检病理如未能发现非干酪样肉芽肿病变,则常对结节病的诊断无特异性提示意义。
钙代谢异常虽然是结节病患者中最常见的电解质异常表现,但纵隔内占位、高钙血症及肌肉受累等症状的组合却最易被怀疑恶性肿瘤可能。
肌无力起病的患者若影像学发现双侧肺门/纵隔淋巴结肿大,需考虑鉴别慢性肌病型结节病。
结节病患者中最常见的肾脏和电解质异常是钙代谢相关疾病,如高尿钙、高钙血症、肾结石等;间质性肾炎也常为结节病的首发表现;早期激素治疗可能对病情改善效果理想。
病理对结节病诊断极为重要,需积极创造条件获取病理以明确诊断。
因患者肺部暂无活动性感染证据,遂加用泼尼松30 mg/次,1次/d口服,并予异烟肼300 mg/次,1次/d,利福平300 mg/次,1次/d口服预防结核活动,1周后复查血肌酐121 μmol/L,血钙2.41 mmol/L,无发热、咳嗽、咳痰等不适,病情平稳出院,门诊随诊调整治疗方案。
患者中年女性,慢性隐匿性病程。临床表现为多系统受累,以近端肌肉无力起病,化验检查提示高钙、肾功能不全,ACE升高,影像学示双肺门及纵隔多发肿大淋巴结,纵隔肿物活检病理示肉芽肿性结节并未见干酪样坏死,诊断为结节病。我国的结节病诊断标准[1]包括:(1)胸片示双肺门及纵隔淋巴结肿大(偶见单侧肺门淋巴结肿大),伴或不伴肺内网状、结节状、片状阴影;(2)组织活检证实或符合结节病;(3)血清ACE活性升高;(4)5TU结核菌素试验阴性或弱阳性反应;(5)高血钙、高尿钙、碱性磷酸酶升高、血浆免疫球蛋白升高、支气管肺泡灌洗液中T淋巴细胞及其亚群等可作为诊断结节病活动性的参考。具有第1~2项可诊断为结节病,第3~5项为重要的参考指标。该患者临床、影像及病理符合结节病诊断,但其确诊需排除其他相似表现的疾病,在我国尤其需注意除外或合并结核病。此患者虽有结核病史,但目前无结核活动的症状,痰及BALF病原学无结核证据,病理组织抗酸染色阴性,因此诊断为结节病、陈旧性肺结核。约30%的结节病患者有肺外表现,主要包括皮肤、眼、肌肉骨骼、肾脏等[2]。其中50%~80%的患者可有骨骼肌受累,仅1.4%~2.3%的患者有临床肌肉症状[3]。症状型肌肉结节病可分为结节型、急性肌炎型和慢性肌病型三类[4]。结节型多有可触、疼痛结节,较易获取有典型改变(非干酪性肉芽肿)的肌肉活检病理,进而明确诊断[5]。而慢性肌病型主要表现为肌肉无力、萎缩,临床症状可与多发性肌炎、重症肌无力等类似,无典型的影像学特征,活检也因疾病不同阶段/取材部位不佳而难以获取典型的肉芽肿改变病理,进而常被临床医师误诊为多发性肌炎、皮肌炎、包涵体肌炎等。Maeshima等[3]回顾性分析了11例慢性肌病型的结节病临床特征,其中10例为绝经后女性,从肌病发生到诊断结节病平均3.67年;6例以下肢肌无力起病,且近端为著;9例有肌萎缩,下肢为著;其中2例出现肌肉疼痛;5例患者CK正常;8例合并有纵隔/肺门淋巴结肿大。本例患者以双下肢肌无力为首发表现,4年中缓慢进展至双上肢无力,近端为著,肌酶谱无明显升高,肌电图示肌源性损害,肌肉活检示多发灶性肌纤维坏死和炎性细胞浸润。结合患者有多发淋巴结肿大、纵隔占位,临床易误诊为副肿瘤综合征,结节病不易列在鉴别诊断范围之内。本例患者肌活检病理提示:病灶内浸润CD4+细胞为主的炎性细胞,夹杂CD8+和CD68+细胞。根据文献报道,肌病型结节病典型的肌活检病理应为CD68+细胞浸润的非干酪样肉芽肿病变,周围环绕CD3+的T细胞(CD4+T细胞为主)。此患者肌肉活检病理中虽未看到非干酪样肉芽肿病变,难以依据病理直接诊断为结节病肌病,但与结节病肌病病理有相似之处,故对结节病的诊断有一定的提示作用。
结节病肾脏受累表现多样,最典型的肾脏病变为非干酪样间质性肾炎,约发生于20%结节病患者,但很少引起肾功能异常,肾小球疾病、肾血管疾病及尿路梗阻则相对罕见。结节肉芽肿中活化的巨噬细胞可促进骨化三醇生成,促进肠钙吸收、尿钙排泄,使10%~20%的患者出现高钙血症,40%~50%的患者出现高尿钙,并发急性肾功能不全或导致肾钙沉着症(5%)或肾结石(1%~14%),继发慢性肾功能不全[6]。钙代谢异常是导致肾功能不全最常见的原因。本例患者血钙、尿钙明显升高,估算肾小球滤过率(eGFR) 24 ml·min-1·(1.73 m2)-1,肾功能不全诊断明确。原因首先考虑与钙代谢紊乱导致的肾钙沉着、肾结石相关(B超可见),同时患者24 h尿蛋白以小管来源为主、提示肾间质损伤,因此不除外合并间质性肾炎,具体肾脏损害确诊需依靠肾脏活检病理。但此患者因双肾皮质过薄、多发囊肿而未能行肾活检。回顾来看,高钙、肾功能不全对于结节病诊断具有一定的提示意义,这一病理生理特点认识的加深将有助于临床医师早期发现诊断线索。
治疗上,美国胸科协会(ATS)/欧洲呼吸病学协会(ERS)/世界结节病和其他肉芽肿疾病协会(WASOG)联合发表的关于结节病的指南建议有症状的肺结节病可给予初始20~40 mg/d的泼尼松,并规律观察随诊,若1~3个月后评价治疗有效,可缓慢减量激素,至5~10 mg/d后维持治疗>1年。20%~70%的患者在激素减量中或停用后可复发,伴有肺外表现结节病患者治疗后复发率更高,可加用免疫抑制剂或给予小剂量激素长期维持[7]。对于难治性结节病,二线药物主要包括甲氨蝶呤、硫唑嘌呤、来氟米特、环孢素等。此外,肿瘤坏死因子α拮抗剂可阻断肉芽肿形成中的炎症过程,也可用于难治复发结节病的治疗[8]。肌病型结节病的治疗与肺结节病类似,剂量方面暂无随机对照研究。相比而言,隐匿起病的慢性肌病型结节病对糖皮质激素的反应要比结节型和急性肌炎型差,病程较长的患者肌肉功能恢复效果不佳,早期诊断可改善此类患者预后[4]。此外,糖皮质激素也是钙代谢异常及肾脏结节病的一线治疗方案(一般不超过1 mg·kg-1·d-1),激素无反应或不耐受的病例采用免疫抑制剂及肿瘤坏死因子α拮抗剂[9]。从本例患者治疗反应看,接受0.5 mg·kg-1·d-1泼尼松治疗1周左右,血肌酐水平已有明显降低,血钙恢复至正常范围,而肺部及肌肉改善情况则需更长期的随访来评估。





















