
研究DNA结合抑制因子2(Id2)和核转录因子κB(NF-κB)/P65在胃癌中的表达并探讨其与临床病理因素及患者术后生存时间的关系。
采用PV6000二步法检测有完整随访资料的336例胃癌及60例癌旁组织中Id2和NF-κB/P65的表达情况。
胃癌中Id2在胃癌组织中的阳性率为71.4%(240/336),癌旁组织中的阳性率为26.7%(16/60);NF-κB/P65在胃癌组织中的阳性率为56.3%(189/336),癌旁组织中的阳性率为15.0%( 9/60);Id2和NF-κB/P65在胃癌组织中的表达均显著高于在癌旁组织中的表达(χ2=44.631,P<0.001;χ2=34.650,P<0.001)。Id2与NF-κB/P65的表达均与肿瘤大小、分化程度、浸润深度、淋巴结转移、TNM分期和出现腹腔及远处转移相关(P<0.05); Id2和NF-κB/P65阳性表达组患者的5年生存率均低于阴性表达组(χ2=52.329,P<0.001;χ2=20.525,P<0.001)。Id2和NF-κB/P65在胃癌中的表达呈正相关(r=0.292,P<0.001);NF-κB/P65在Id2阳性组中的表达显著高于在Id2阴性组中的表达(χ2=28.681,P<0.001)。Cox风险比例模型显示,Id2是患者术后总体生存时间的独立预后因子(HR=2.327,95%CI 1.622~3.337,P<0.001)。
Id2和NF-κB/P65在胃癌的发生发展、转移中存在协同促进作用,可考虑作为胃癌临床评价肿瘤生物学行为及评估预后的有用指标。
版权归中华医学会所有。
未经授权,不得转载、摘编本刊文章,不得使用本刊的版式设计。
除非特别声明,本刊刊出的所有文章不代表中华医学会和本刊编委会的观点。
胃癌是严重危害人类健康的常见的恶性肿瘤之一,在所有恶性肿瘤中发生率位居第2位,死亡率位居第3位。胃癌具有明显的地域性差异,在亚洲高发,尤其在中国[1,2]。目前手术是胃癌患者最主要的治疗方式,但治愈率仍<40%,为提高胃癌患者的生存率及早期诊断率,寻找胃癌发生发展过程中重要的生物学标志物,并探讨其可能的作用机制具有重要的意义。
DNA结合抑制因子2(Id2)是一种广泛表达的转录调控因子,属于碱性螺旋-环-螺旋蛋白(HLH)家族成员,Id分子因本身缺乏DNA结合必需的氨基酸序列,与bHLH蛋白结合成二聚体后,可抑制bHLH与DNA及其组织特异性bHLH转录因子结合,从而抑制细胞分化[3,4]。核转录因子κB(NF-κB)是一种多向性核转录调节因子,最常见的是P50/P65二聚体。在大多数细胞中,这些二聚体与抑制蛋白IκB结合形成无活性的三聚体存留于细胞质中,当细胞受到内毒素、活性氧、细胞因子等作用后,NF-κB激活并入核与相应靶基因结合,从而调控多种基因的表达。因其调节细胞因子、黏附因子、炎症介质等表达,在炎症、免疫紊乱等疾病发病机制中已有很多研究,但在肿瘤中的研究相对较少。近年来发现NF-κB还可调节某些抗凋亡基因及细胞增殖基因的表达,因此NF-κB在肿瘤发病机制中的作用日益重要[5]。研究表明,Id2可作用于NF-κB信号通路,二者在免疫反应和肿瘤微环境调控方面起协同效应[6,7]。本研究应用免疫组织化学技术检测胃癌中Id2和NF-κB/P65的表达情况,分析它们与胃癌临床病理因素之间的关系,并探讨其与患者预后的相关性。
回顾性研究解放军总医院1998—2001年间实施手术切除并有完整随访资料的胃癌病例336例,本研究资料及内容经解放军总医院医学伦理委员会审核通过。336例胃癌患者中男274例,女62例,平均年龄58.1岁。按照2010年国家抗癌联盟/美国癌症联合委员会(UICC/AJCC)TNM分期标准,Ⅰ期50例,Ⅱ期111例,Ⅲ期129例,Ⅳ期46例;组织分化程度,高分化17例,中分化65例,低分化254例;组织学类型,管状腺癌(中高分化腺癌)75例,黏液腺癌32例,低分化腺癌183例,印戒细胞癌35例,其他类型11例;肿瘤发生部位,贲门及胃底151例,胃体48例,胃窦及幽门116例,大于2个区域21例。病例排除标准:术前接受过新辅助放化疗或生物治疗者;合并其他系统恶性肿瘤者;临床病理及随访资料不全者。
将336例胃癌及60例癌旁正常组织(距肿瘤边缘>5 cm)的石蜡标本制作成11块组织芯片,应用免疫组化PV6000二步法进行检测,所采用试剂兔抗人Id2多克隆抗体(Santa Cruz)、兔抗人NF-κB/P65多克隆抗体(Santa Cruz)、枸橼酸抗原修复液(pH6.0)、DAB显色液及PBS等均购自北京中杉金桥生物技术有限公司。每个组织芯片蜡块取4 μm厚连续切片,经脱蜡、高压锅热修复、过氧化氢封闭后滴加一抗,Id2(1∶200),NF-κB/P65(1∶100)。4 ℃过夜,滴加二抗试剂IgG,37 ℃孵育30 min,最后DAB显色、苏木精复染、封片。Id2、NF-κB/P65为细胞质或细胞核表达,阳性细胞≥10%定为阳性。
应用SPSS 16.0统计软件,对本组资料进行Spearman等级资料相关分析、χ2检验、Log rank检验、Cox比例风险模型分析。P<0.05为差异有统计学意义。
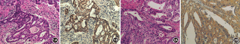
336例胃癌中Id2阳性240例(图1),阳性率为71.4%;在癌旁组织中的阳性率为26.7%(16/60),二者表达的差异具有统计学意义(χ2=44.631, P<0.001)。NF-κB/P65在胃癌组织中阳性189例(图2),阳性率为56.3%;在癌旁组织中的阳性率为15.0%(16/60),二者表达差异有统计学意义(χ2=34.650, P<0.001)。


Id2与NF-κB/P65的表达均随肿瘤增大、分化程度降低、浸润程度增深、淋巴结转移数目增多和TNM分期递增而增高,且有腹腔及远处转移组Id2与NF-κB/P65的表达较无转移组高表达(P<0.05)(表1)。

胃癌中Id2和NF-κB/P65的表达与临床病理特征的关系
胃癌中Id2和NF-κB/P65的表达与临床病理特征的关系
| 临床病理因素 | Id2 | 统计值 | NF-κB/P65 | 统计值 | |||
|---|---|---|---|---|---|---|---|
| 阳性(例) | 阴性(例) | 阳性(例) | 阴性(例) | ||||
| 年龄情况(岁) | |||||||
| ≤40 | 22 | 12 | χ2=4.286 | 23 | 11 | χ2=8.992 | |
| >40~≤65 | 136 | 62 | P=0.117 | 98 | 100 | P=0.01 | |
| >65 | 82 | 22 | 68 | 36 | |||
| 肿瘤直径(cm) | |||||||
| <4 | 40 | 37 | χ2=19.698 | 30 | 47 | χ2=13.173 | |
| ≥4~<8 | 152 | 49 | P<0.001 | 120 | 81 | P=0.001 | |
| ≥8 | 48 | 10 | 39 | 19 | |||
| 分化程度 | |||||||
| 高 | 9 | 8 | χ2=7.730 | 3 | 14 | χ2=11.126 | |
| 中 | 40 | 25 | P=0.021 | 36 | 29 | P=0.004 | |
| 低 | 191 | 63 | 150 | 104 | |||
| 胃壁浸润 | |||||||
| 达黏膜下层 | 3 | 21 | χ2=64.026 | 4 | 20 | χ2=32.540 | |
| 达固有肌层 | 21 | 23 | P<0.001 | 15 | 29 | P<0.001 | |
| 达浆膜层 | 180 | 44 | 137 | 87 | |||
| 邻近组织 | 36 | 8 | 33 | 11 | |||
| 淋巴结受累 | |||||||
| 0 | 55 | 60 | χ2=55.683 | 36 | 79 | χ2=45.265 | |
| 1~2 | 42 | 17 | P<0.001 | 38 | 21 | P<0.001 | |
| 3~6 | 58 | 12 | 48 | 22 | |||
| ≥7 | 85 | 7 | 67 | 25 | |||
| 远处转移 | |||||||
| 无转移 | 198 | 92 | χ2=14.914 | 149 | 141 | χ2=21.863 | |
| 有转移 | 42 | 4 | P<0.001 | 40 | 6 | P<0.001 | |
| TNM分期 | |||||||
| Ⅰ期 | 12 | 38 | χ2=90.997 | 8 | 42 | χ2=61.208 | |
| Ⅱ期 | 75 | 36 | P<0.001 | 54 | 57 | P<0.001 | |
| Ⅲ期 | 111 | 18 | 87 | 42 | |||
| Ⅳ期 | 42 | 4 | 40 | 6 | |||
| 5年生存情况 | |||||||
| 生存 | 65 | 67 | χ2=52.483 | 53 | 79 | χ2=22.896 | |
| 死亡 | 175 | 29 | P<0.001 | 136 | 68 | P<0.001 | |
Id2和NF-κB/P65阳性表达组患者的术后总体生存时间短于阴性表达组(HR=3.082, 95%CI 2.235~4.250,P<0.001;HR=1.894, 95%CI 1.457~2.461,P<0.001)(图3)。


Id2和NF-κB/P65在胃癌中的表达呈正相关(r=0.292,P<0.001);NF-κB/P65在Id2阳性组中的表达率为65.4%(157/240),在Id2阴性组中的表达率为33.3%(32/96),二者差异有统计学意义(χ2=28.681, P<0.001)。
Cox生存分析显示,Id2表达、患者年龄、肿瘤大小、组织学类型及术后放化疗是胃癌术后总体生存时间的独立预后因子。Id2的偏回归系数为正,表明它与患者的术后生存时间呈负相关,其表达为阳性者,术后生存时间短,且危险度为阴性表达者的3.082倍(P<0.001);而NF-κB/P65不是患者术后总体生存时间的独立预后因子(P>0.05)(表2)。

胃癌患者术后总体生存时间的Cox风险比例模型
胃癌患者术后总体生存时间的Cox风险比例模型
| 临床病理因素 | 单因素分析 | 多因素分析 | ||||
|---|---|---|---|---|---|---|
| HR | 95%CI | P值 | HR | 95%CI | P值 | |
| 性别 | 1.153 | 0.841~1.581 | 0.377 | - | - | - |
| 年龄 | 1.438 | 1.165~1.775 | 0.001 | 1.412 | 1.135~1.757 | 0.002 |
| 分化程度 | 1.601 | 1.234~2.077 | <0.001 | 1.072 | 0.789~1.459 | 0.656 |
| 组织学类型 | 1.268 | 1.123~1.431 | <0.001 | 1.196 | 1.030~1.389 | 0.019 |
| 肿瘤大小 | 2.058 | 1.665~2.544 | <0.001 | 1.937 | 1.520~2.467 | <0.001 |
| 发生部位 | 0.965 | 0.849~1.096 | 0.581 | - | - | - |
| 术后化疗 | 0.721 | 0.558~0.930 | 0.012 | 0.679 | 0.516~0.894 | 0.006 |
| 浸润深度 | 1.523 | 1.227~1.815 | <0.001 | 1.027 | 0.779~1.353 | 0.851 |
| 淋巴结转移 | 1.373 | 1.236~1.525 | <0.001 | 1.115 | 0.914~1.361 | 0.282 |
| 远处转移 | 2.364 | 1.695~3.295 | <0.001 | 1.653 | 0.934~2.928 | 0.085 |
| TNM分期 | 1.661 | 1.439~1.981 | <0.001 | 0.983 | 0.647~1.493 | 0.937 |
| Id2表达 | 3.082 | 2.235~4.250 | <0.001 | 2.327 | 1.622~3.337 | <0.001 |
| NF-κB表达 | 1.894 | 1.457~2.461 | <0.001 | 1.179 | 0.867~1.603 | 0.293 |
注:-:未分析
Id又称分化抑制因子,是一类广泛表达的转录调控因子,在调控细胞分化、凋亡、肿瘤形成、浸润和转移等细胞生物学过程中Id家族各自发挥不同的生物学功能。其中Id2可以促进细胞增殖,其机制可能与Id2拮抗Rb家族蛋白(RB、P107和P130)的功能有关。Id2是HLH家族中唯一能与Rb相互作用并抑制其抗增殖活性的蛋白,同时Id2可控制细胞的分化及细胞周期[3,8]。研究表明,Id2参与了神经系统、乳腺癌及结直肠癌等多种人类肿瘤的发生与发展[9,10,11,12]。近年来研究显示Id2在结肠癌、胰腺癌等多种肿瘤中呈现高表达并与患者的预后不良相关[13,14,15]。目前,国内外对Id2的表达与胃癌的发生、发展以及预后的关系罕见报道。本实验研究结果显示,Id2在胃癌的阳性表达率为71.4%,大于在癌旁正常组织中26.7%的阳性率;Id2的表达随肿瘤增大、分化变差、浸润加深、淋巴结转移数目增多、出现远处转移及TNM分期递增而增高;单因素及多因素分析均显示Id2阴性组的预后好于阳性组。由此提示,Id2与胃癌的发生发展以及患者的预后有关。
NF是具有与某些基因上启动子区的固定核苷酸序列结合而启动基因转录功能的一类蛋白质,NF-κB/P65是核转录因子中重要的成员。NF-κB/P65广泛存在于真核生物中,参与细胞生长、分化、炎症及免疫反应、病毒基因组的转录等多种基因表达调控。近年来,NF-κB/P65在由炎症诱发的肿瘤中所起的作用受到关注,它可作用于微环境,促进炎症反应,从而激活癌干细胞,抑制细胞凋亡,促进细胞增殖[16,17,18],抑制NF-κB/P65的活性可以有效的预防由炎症诱发的肿瘤形成,目前NF-κB抑制剂正在引起学者的广泛关注。近期研究证实NF-κB在胃癌形成过程中起着重要的作用[19],Sasaki等[20]的研究表明NF-κB/P65在胃癌组织中的表达高于癌旁正常组织;NF-κB的激活与肿瘤的临床病理因素淋巴结转移、浸润深度、腹膜转移和肿瘤大小相关。本研究显示,肿瘤直径大、分化低、浸润深、有淋巴结转移及远处转移、TNM分期晚的病例,NF-κB/P65表达高;NF-κB/P65在胃癌中的阳性率显著高于在癌旁正常组织中的阳性率,此结果与上述研究相符。
此外,Id2和NF-κB/P65在胃癌的表达呈正相关,且NF-κB/P65在Id2阳性组中的表达率高于其在Id2阴性组中的表达率,提示二者可能共同参与细胞的生长与分化过程,并具有协同、促进的作用。已有研究表明,Id2可作用于NF-κB信号通路,在免疫应答中Id2靶向调控NF-κB活性,协同影响微环境[6,7]。最近研究表明,CA9-22细胞转染Id2后,NF-κB在胞质及胞核中的表达均提高,推测Id2通过NF-κB/cyclin D1途径促进鳞状癌细胞的增生和繁殖[21]。目前肿瘤的免疫治疗成为研究的热点,最新研究表明[6]Id2通过作用于TLR4/NF-κB信号通路参与免疫应答,Id2-GM-DCs联合PD-1抗体抑制剂治疗黑色素瘤的效果好于单独应用Id2-GM-DCs疫苗或单独应用PD-1抗体,但二者在胃癌中的应用目前未见报道。NF-κB/P65和Id2在胃癌发生中的具体相互作用机制有待于基础研究及大样本临床试验近一步证实。
综上结果表明,Id2及NF-κB/P65在胃癌的发生、发展及转移中发挥着重要作用,两者联合检测可作为胃癌临床评价肿瘤生物学行为及判断预后的有用指标,但二者在胃癌中相互影响的分子机制及其对免疫应答及微环境的调控作用还有待于进一步深入研究。探讨Id2与NF-κB/P65的分子调控机制将为胃癌的预后评估开辟新的途径,为胃癌的个体化治疗提供新的靶点。





















