
版权归中华医学会所有。
未经授权,不得转载、摘编本刊文章,不得使用本刊的版式设计。
除非特别声明,本刊刊出的所有文章不代表中华医学会和本刊编委会的观点。
患者女,25岁,主因"镜下血尿2个月,水肿2周"于2017年4月17日收入北京大学第一医院肾内科。患者2个月前(孕16+1周)于当地医院产检示尿红细胞+,尿蛋白阴性;1个月前复查尿红细胞+++,尿白细胞++,尿蛋白阴性。2周前(孕22周)开始出现双踝水肿,并逐渐蔓延至腰骶部,伴胸闷、气喘,腹胀,纳差,尿量减少。1周前复查尿常规示尿蛋白+++、红细胞+++;血清白蛋白(Alb)21 g/L,血肌酐(Scr)80 μmol/L,血钾5.7 mmol/L,泌尿系超声:双肾略增大,肾盂及输尿管无扩张。5 d前复查血生化:Alb 20.2 g/L,Scr 113.5 μmol/L(44~106 μmol/L),血钾5.4 mmol/L,当地医院建议终止妊娠,患者及家属拒绝。3 d前就诊于我院门诊,以"肾病综合征,急性肾损伤(AKI)"收入院。患者2周来体重增长约15 kg。否认发热、皮疹、口腔溃疡、肉眼血尿、血压升高。既往史:1年前于天气变化时出现双膝、双肘、指间关节疼痛。半年前受凉后出现指端发凉、变白,遇热后缓解。否认肾脏病史。已婚,末次月经2016年10月31日,规律产检,孕12+1周查尿常规未见异常,现孕24周;截至1周前胎儿发育良好。否认家族遗传病史及类似疾病史。
入院查体:血压128/79 mmHg(1 mmHg=0.133 kPa),心率84次/min,双下肺呼吸音减低,未闻及干、湿啰音。心律齐。腹部膨隆,无压痛。腰骶部、双下肢对称性可凹性水肿。宫底位于脐上2指,子宫弛缓好,未及宫缩,胎心160次/min。化验检查:血常规:白细胞6.0×109/L,血红蛋白98 g/L,血小板158×109/L,淋巴细胞0.9×109/L,网织红细胞0.88%。红细胞沉降率105 mm/1 h。血生化:丙氨酸转氨酶63 U/L,天冬氨酸转氨酶50 U/L,Alb 16.8 g/L,Scr 188.3 μmol/L,估算肾小球滤过率(eGFR)31.46 ml·min-1·(1.73 m2)-1,血钾6.28 mmol/L,碳酸氢根20.67 mmol/L,血钙1.7 mmol/L,B型利钠肽(BNP)378.0 ng/L。尿常规:尿蛋白+++,红细胞+++;尿红细胞相位:红细胞满视野,30%~50%正常,可见面包圈、棘红、碗状样红细胞;白细胞50~60个/HP。24 h尿蛋白定量(UTP)9.57 g/d。尿N-乙酰-β-D-葡萄糖苷酶(NAG酶)437 U/L。尿培养:未见细菌生长。抗核抗体(ANA)、抗双链DNA抗体(抗dsDNA抗体)、抗核糖核蛋白(nRNP)抗体、抗Sm抗体、抗干燥综合征抗原A(SSA)抗体均阳性;补体C3 0.546 g/L(正常参考值:0.6~1.5 g/L),C1q、C4、IgG、IgA、IgM及类风湿因子(RF)未见异常。Coombs试验:抗IgG阳性,抗C3d阴性。冷球蛋白定性试验:阳性(冷沉淀免疫固定电泳:IgG,IgA,IgM,κ,λ均为多克隆)。抗β2-糖蛋白1抗体IgM 53.98 RU/ml,抗β2-糖蛋白1抗体IgG、抗心磷脂抗体IgM及IgG、狼疮抗凝物、抗中性粒细胞胞质抗体(ANCA)、抗肾小球基底膜(GBM)抗体均阴性。初步诊断:系统性红斑狼疮(SLE),狼疮性肾炎(LN),AKI,狼疮血液系统损伤;妊娠24周。
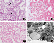
诊疗经过:患者育龄女性,孕期起病,除肾脏受累外有血液系统受累,提示继发性肾损伤可能性大,结合免疫学指标,SLE诊断明确。评估系统性红斑狼疮疾病活动度评分(SLEDAI)积分为16分(血尿4分,蛋白尿4分,白细胞尿4分,低补体血症2分,高滴度抗dsDNA抗体2分),提示SLE重度活动。患者入院后5 d内由少尿发展至无尿,Scr进行性升高伴BNP升高(表1)。于入院第4天行肾活检,第5天开始血液透析治疗。产科初次会诊考虑患者活动性狼疮伴重度脏器损害(AKI、心功能不全),不宜继续妊娠,但当时病情难以耐受引产,建议透析改善毒素水平及心功能后择期终止。肾脏病理(图1)示:免疫荧光2个肾小球,IgG++,IgA±,IgM+,C3+++,C1q++,FRA-,IgG1+,IgG2+~++,IgG3+,IgG4-,在系膜区、节段毛细血管壁颗粒样沉积;光镜示肾小球系膜细胞和基质弥漫节段增生伴内皮细胞增生,系膜区嗜复红蛋白沉积。肾小管弥漫刷状缘脱落,管腔扩张。肾间质弥漫水肿,小灶状淋巴和单核细胞浸润。小动脉无明显病变。符合弥漫节段性增生性狼疮性肾炎[Ⅳ-S(A)型]伴急性肾小管损伤,活动性指数(AI)=6,慢性指数(CI)=0。电镜示肾小球系膜细胞和基质轻度增生,节段内皮细胞增生伴少量中性粒细胞浸润,系膜区、节段内皮下、上皮下及基底膜电子致密物沉积,上皮足突大部分融合;肾小管溶酶体增多,部分微绒毛脱落;肾间质水肿伴淋巴单核细胞浸润,与光镜结果相符。根据病理结果,考虑患者AKI更多来自于急性肾小管损伤,无糖皮质激素冲击治疗的指征,遂给予甲泼尼龙40 mg/次,1次/d静脉滴注及羟氯喹200 mg/次,2次/d口服治疗,静脉滴注丙种球蛋白20 g/d×5 d,同时给予积极血液透析支持(6次/周,4 h/次)。透析2周+后患者尿量增多及心功能改善,透前Scr明显下降(表1)。期间每周行胎儿检查,未发现明显胎儿发育畸形及心律失常。患者及家属强烈要求继续妊娠。与产科、新生儿科联合讨论,考虑患者目前心、肾功能较前均改善,可于密切监测下继续妊娠,择期肌内注射地塞米松5 mg/12 h×4次促胎肺成熟后分娩。遂在密切监测下继续上述治疗。患者尿量恢复后蛋白尿无改善,于孕27周加用环孢素50 mg/次,2次/d口服治疗,根据血药浓度(维持谷浓度80~100 μg/L左右)调整剂量为75 mg/晨+50 mg/晚。患者孕29周Scr恢复正常,脱离透析后心功能亦稳定(表1),共透析23次,历时30 d。孕31周(应用环孢素4周)复查UTP降至3.98 g/d,血Alb 25 g/L左右,血补体水平正常,抗dsDNA抗体转阴,SLE明显缓解。患者孕30周时发现胎儿卵圆孔偏小,予以严密监测,期间给予肌内注射地塞米松5 mg/12 h×4次促胎肺成熟,孕33+3周复查时卵圆孔进一步缩小伴可疑胎儿体循环缺血,产科商讨后决定终止妊娠。患者于孕33+3周行剖宫产,分娩1男婴。男婴ANA、抗nRNP抗体、抗SSA抗体阳性,但无皮疹、房室传导阻滞等新生儿狼疮(NL)表现。患者产后Scr稳定,UTP进一步下降至0.5 g/d(应用环孢素6周余),血红蛋白升至100~110 g/L,出院门诊随访半年余,SLE、LN处于持续缓解状态,逐渐将糖皮质激素减至5 mg/次,1次/d口服,环孢素减量至50 mg/晨+25 mg/晚(出院后未监测药物浓度);男婴一般情况好,尚未复查自身抗体。


注:A. 肾小球系膜细胞和基质弥漫节段增生伴内皮细胞增生(箭头示增生的内皮细胞)(高倍放大);B. 系膜区嗜复红蛋白沉积(高倍放大);C. 肾小管上皮刷毛缘脱落,管腔扩张,肾间质水肿,可见少量淋巴和单核细胞浸润(中倍放大);D. 电镜下显示系膜细胞和基质增生,伴节段性内皮细胞增生,系膜区和上皮下可见电子致密物沉积,上皮足突广泛融合(高倍放大)

患者肾功能变化
患者肾功能变化
| 孕周/时间 | 尿量(ml/d) | 血肌酐(μmol/L) | BNP(ng/L) | Alb(g/L) | UTP(g/d) |
|---|---|---|---|---|---|
| 17+5周 | 正常 | 69 | - | 40.0 | - |
| 23周 | 减少 | 80 | - | 21.0 | - |
| 24周 | <800 | 188.3 | 378 | 16.8 | 9.57 |
| 25周 | 0 | 505 | 468 | 17.3 | - |
| 26周 | 80~400 | 404.4 | 2 441 | 21.3 | - |
| 27周 | >500 | 256.9 | 1 707 | 21.0 | 27.25a |
| 28周 | >1 000 | 188.3 | 871 | 25.2 | 20.82a |
| 29周 | 正常 | 119.6 | - | 25.2 | 8.10 |
| 30周 | 正常 | 76.0 | 991 | 22.4 | 8.66 |
| 31周 | 正常 | 77.0 | 717 | 26.8 | 3.98 |
| 32周 | 正常 | 63.9 | 452 | 24.1 | - |
| 33周 | 正常 | 60.7 | 303 | 24.4 | - |
| 产后3 d | 正常 | 68.0 | - | 26.5 | 0.51 |
注:BNP:B型利钠肽;Alb:白蛋白;UTP:24 h尿蛋白定量;a 蛋白尿显著增多考虑为狼疮性肾炎及输注蛋白共同造成的结果;-:未测
本例患者临床表现为急进性肾炎综合征,结合其为育龄期女性,妊娠期起病,合并贫血、淋巴细胞减低,高度怀疑自身免疫病。完善相关检查示ANA、抗dsDNA抗体、抗Sm抗体阳性,伴低补体血症,SLE诊断成立。SLEDAI评分为16分,提示患者SLE高度活动。SLE易累及育龄期女性,来自国内的一组SLE合并妊娠的报道显示,约30%的患者在妊娠期起病。而这组妊娠期起病的患者临床SLE活动度高,LN发生率显著高于非妊娠初发者[1]。因此,育龄妇女妊娠期新发肾脏病,应高度警惕LN的可能。
LN合并AKI,少数情况下可见于增生性病变相对较轻的病理类型,AKI主要由合并的肾小管间质病变或微血管病变继发。
妊娠期活动性LN,患者能否继续妊娠及治疗方案选择,需要临床医师谨慎决策。
妊娠期新发肾脏病,应警惕LN的可能。
肾脏病理可为妊娠LN患者,尤其是合并AKI者判断病情、指导治疗方案提供很大帮助,条件许可应考虑进行。
妊娠过程中需考虑疾病状态及用药对母体/胎儿双方的影响,多学科协作,严密监测,适时终止。
妊娠期出现活动性LN经过激素及免疫抑制剂治疗,仍有可能继续妊娠并成功分娩。
本例患者为孕期起病的活动SLE,SLEDAI评分的主要得分来自于肾脏,因此肾脏的病理情况对帮助推测治疗反应、评估患者继续妊娠的可能性及风险至关重要。患者临床表现为少尿型AKI。来自本课题组的研究显示,最常导致AKI的LN病理类型为弥漫性球性增生性狼疮性肾炎(Ⅳ-G型),其中40%以上表现为新月体肾炎[2]。少数情况下,AKI也可见于增生性病变相对较轻的病理类型(如Ⅱ型狼疮性肾炎),由合并的肾小管间质病变(TIN)或微血管病变导致[2]。本例患者血尿突出,伴有无菌性白细胞尿,并迅速发展为少尿及无尿,提示存在增生性病变,新月体肾炎可能性大。肾活检病理结果证实患者确有明显增生性病变:Ⅳ-S(A)型,但为节段性,且不伴新月体形成,亦未合并微血管病变,与我们最初的推断不全相符。同时,病理上有明显的急性肾小管损伤,提示患者的AKI可能更多来源于此,肾功能预期可恢复。在经过约两周肾脏替代治疗后,患者尿量逐渐恢复,血肌酐下降,支持了我们的判断,也为患者继续妊娠带来了机会。因此,对SLE孕妇合并AKI者及时肾活检对明确病因及指导治疗方案、评估预后有很大意义。
患者活动性SLE、LN诊断明确,通常建议SLE患者应在病情缓解半年以上再考虑妊娠[3]。文献报道,妊娠可导致SLE患者病情活动及出现新发脏器功能受损或原有功能损伤恶化;同时,SLE孕妇发生先兆子痫/子痫、血栓、感染等孕期并发症概率增高,流产、早产、宫内发育迟缓等胎儿不良事件发生率亦明显增加[3]。高滴度抗ds-DNA抗体,低补体血症,狼疮抗凝物和(或)抗心磷脂抗体阳性等提示SLE活动的指标均与发生上述不良事件的风险相关。其中,合并LN是出现上述不良事件的重要独立危险因素[3]。因此,原则上建议妊娠期活动性LN的患者终止妊娠。但是对于病情相对稳定或好转的患者,在患方同意继续妊娠的情况下,仍有可能继续妊娠至成功分娩。此时,医师可以谨慎地使用激素及免疫抑制剂促使病情缓解,为继续妊娠创造条件。孕期用药应注意药物是否有致畸等不良反应。常用的糖皮质激素如泼尼松、甲泼尼龙等,在通过胎盘屏障时绝大部分被灭活,对胎儿影响小,可在孕期应用[3]。本例患者无激素冲击治疗的指征,接受了常规剂量的甲泼尼龙40 mg/d治疗。同时,SLE的治疗除激素外尚需联合免疫抑制剂治疗。本例患者肾功能恢复后,临床肾病综合征表现突出,大量蛋白尿伴低蛋白血症,如果不能很好地纠正,对胎儿的发育亦会造成影响。患者的病理检查未见到膜性狼疮性肾炎(Ⅴ型)表现,不是由于肾小球基底膜病变导致大量蛋白尿。而电镜提示合并足细胞病。狼疮足细胞病是指狼疮肾脏受累所致肾小球出现弥漫性上皮细胞足突融合,类似微小病变肾病的典型组织学表现。钙调磷酸酶抑制剂(包括环孢素和他克莫司)有修复足细胞作用,且未有胎儿不良影响的报道[3]。因此,我们挑选了环孢素配合激素对患者进行治疗。患者大量蛋白尿逐步得到控制,同时通过间断补充白蛋白,使患者的血白蛋白水平维持在相对稳定的水平,为保证胎儿正常生长发育、延长孕周创造了条件。





















