
分析在全膝关节置换术(TKA)中使用计算机导航(CAS)系统、3D打印个性化截骨导板(PSI)与传统器械手术在手术时间和术后下肢冠状面机械轴力线恢复上的差异。
回顾性收集2013年1月至2014年12月在北京大学第三医院诊断为重度骨性关节炎,经同一手术医师完成的单侧、初次TKA患者共96例。按照手术方式分为3组:CAS-TKA组于术中使用CAS进行TKA手术,PSI-TKA组术中使用PSI进行TKA手术,对照组使用传统器械进行TKA手术。比较3组患者的手术时间和术后下肢冠状面机械轴力线的差异。3组间比较采用单因素方差分析,组间两两比较采用LSD法检验。
所有患者TKA手术时间为(79±16) min。其中,CAS-TKA组时间最长,明显长于其他2组[CAS-TKA比PSI-TKA:(90±10) min比(80±14) min,LSD-t=3.458,P<0.05;CAS-TKA比对照组:(90±10) min比(66±11) min,LSD-t=8.350,P<0.05;PSI-TKA组比对照组(80±14) min比(66±11) min,LSD-t=4.582,P<0.05]。所有患者术后下肢冠状面机械轴力线平均内外翻角度分别为2.4°和2.0°。总体力线偏移(内翻/外翻>3°)率是22.9%,其中CAS-TKA组为11.8%,PSI-TKA组为27.6%,对照组为30.3%,3组力线偏移率差异无统计学意义(χ2=3.771,P=0.151)。
CAS和PSI的使用均会显著增加TKA手术时间,和传统器械手术一样,这两种技术均可良好地恢复TKA术后下肢冠状位力线,也展现出了减少力线偏移的趋势。
版权归中华医学会所有。
未经授权,不得转载、摘编本刊文章,不得使用本刊的版式设计。
除非特别声明,本刊刊出的所有文章不代表中华医学会和本刊编委会的观点。
人工全膝关节置换术(total knee arthroplasty,TKA)是治疗终末期膝关节疾病的金标准[1],术中假体安放的准确性是决定手术成功与否的重要因素[2]。如果假体位置不佳,会导致早期磨损和松动,影响关节的功能和假体的使用寿命[3,4]。传统的标准器械在操作时更多依赖于手术经验,有研究显示,即使是有经验的医师,也会在TKA截骨的过程中出现失误[5]。近年来,数字医学在关节置换领域迅速推广。计算机导航手术(computer-assisted navigation surgery,CAS)可以在术中实时回馈假体安放的位置,被认为能有效地提高假体安放的准确性[6]。3D打印技术可为患者制作个性化的截骨导板(patient-specific instrumentation,PSI),在术中指导截骨,被认为可以缩短手术时间,减少力线偏移的发生[7]。但这些技术的优势也存在争议,有些学者认为这些技术革新较传统术式而言,术后的结果并没有明显的区别[8,9,10]。本研究通过回顾性收集由我院骨科进行的传统器械TKA、CAS-TKA以及PSI-TKA三组手术的数据,以手术时间和术后下肢力线作为评价指标,比较和分析这两种技术对TKA的影响。
回顾性收集2013年1月至2014年12月于北京大学第三医院诊断为原发性重度骨性关节炎,保守治疗无效,X线检查Kellgren-Lawrance(K-L)分级4级,并在骨科由同一术者所领导的同一工作组完成的单侧、初次TKA手术的患者,纳入其中所有在术中使用CAS和PSI进行TKA的病例,并连续性纳入等量的在同一时间段使用与CAS治疗者同样假体,但在术中使用传统器械进行TKA的病例。排除标准为:膝关节严重畸形,屈曲畸形>20°,内翻畸形>20°或外翻畸形>15°;有既往膝关节手术史;患肢有外伤或骨折史,存在膝关节外畸形者。将使用传统器械进行TKA的患者定义为对照组,使用CAS进行TKA的患者定义为CAS-TKA组,使用PSI进行TKA者定义为PSI-TKA组。
3组患者均接受了椎管内或全身麻醉,对照组和CAS-TKA组使用德国贝朗公司的Columbus假体,PSI-TKA组使用北京爱康宜诚医疗器材有限公司的A3假体。3组患者均不进行髌骨置换。
对照组术者在传统器械定位的辅助下,凭经验进行力线的调整与判断。首先在股骨髓内定位下,选择5°外翻角进行股骨远端截骨,胫骨近端的截骨则通过胫骨的髓外定位方式(胫骨髁间嵴中点、胫骨结节中内1/3和踝穴中点的连线)来确定,然后通过测量截骨法进行股骨四合一截骨,最后安放试体后根据内外侧屈伸间隙情况进行相应的软组织松解。
CAS-TKA组使用德国Aesculap公司的OrthoPilot Navigation系统,首先对各解剖标志和下肢各关节旋转中心进行定位与注册,然后进行胫骨近端截骨,平衡伸直间隙,利用间隙平衡法确定股骨远端截骨量和股骨假体旋转,最后进行股骨远端和四合一截骨,上述操作全程在导航的显示下进行,术者根据导航显示的数据,对截骨的方向和角度以及下肢力线进行判断和调整。
PSI-TKA组在术前1~2周行患膝CT以及下肢负重全长X线的检查,将影像学数据经计算机软件Mimics Software(比利时Materialise公司)建模,解剖重建股骨和胫骨全长并重建下肢力线。其中,股骨力线确定原则:选取股骨头中心作为股骨力线一端,股骨髁间窝边缘中心点作为另一端,两点连线为股骨力线;胫骨力线确定原则:近端选取胫骨结节中内1/3,远端选取距骨关节面中心点,两点连线为胫骨力线。截骨导板设计的截骨面与上述力线垂直,由EOS P110大型3D打印机进行截骨导板的制作,然后在TKA术中,将截骨导板紧贴于股骨和胫骨特定位置的软骨下骨,进行经导板确定的股骨远端、股骨四合一和胫骨近端截骨,截骨完成后,再根据内外侧屈伸间隙的平衡情况进行软组织松解,并最终安放假体。
所有患者在围手术期均使用相同的抗凝、止血、镇痛、抗炎等治疗措施,于术后12~24 h后,在医护人员的指导下,开始进行主动和被动的功能康复训练。
收集所有患者的一般资料,包括性别、年龄、体质指数(BMI)。记录3组患者的手术时间。患者在术前和出院前(术后恢复下地行走后的第3~4天),分别进行下肢负重全长正位X线检查,测量并记录患者术前和术后下肢冠状面机械轴力线的情况。
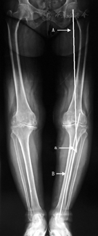
其中,手术时间定义为从切开皮肤至皮肤缝合完毕的时间,由巡回护士记录,精确至分钟。冠状面机械轴力线的测量方式是冠状面髋-膝-踝(HKA)角(图1),即下肢全长正位X线片上髋关节中心至膝关节中心的连线,和膝关节中心至踝关节中心连线的夹角,由非术者团队的一位骨科医师进行测量。HKA角的目标角度定义为0°,膝关节内翻时角度为正,膝关节外翻时角度为负,±3°为可接受区间,超出此区间定义为力线偏移。


使用Microsoft Excel 2010对采集的3组研究对象数据进行整理,建立原始数据库,并使用SPSS 23.0软件建立数据库进行统计分析。正态分布的连续性变量以
±s表示,3组间比较采用单因素方差分析,组间两两比较采用LSD法检验。分类变量组间比较采用χ2检验/Fisher确切概率法进行,3组间两两比较时采用Bonferroni法校正检验水准为0.05/3=0.016。其他检验以双侧P<0.05为差异有统计学意义。
本研究纳入3个手术组共96例,其中CAS-TKA组34例,PSI-TKA组29例,对照组患者33例。女83例(86.5%),男13例(13.5%),年龄54~82岁,平均(68±7)岁,BMI 20.4~39.5 kg/m2,平均(28±4) kg/m2。术前测量下肢冠状面机械轴力线,膝关节外翻2例,分别外翻1.1°和7.6°,膝关节内翻94例,HKA角3.3°~19.8°,平均11.5°±4.0°。3组患者在年龄、BMI、性别分布及术前HKA角的绝对值方面具备可比性(表1)。

不同手术组患者术前一般情况比较
不同手术组患者术前一般情况比较
| 组别 | 男/女(例) | 年龄(岁, ±s) | BMI(kg/m2, ±s) | HKA角绝对值(°, ±s) |
|---|---|---|---|---|
| 对照组 | 5/28 | 69±7 | 28±4 | 11.1±3.7 |
| CAS-TKA组 | 4/30 | 68±7 | 28±4 | 10.8±4.2 |
| PSI-TKA组 | 4/25 | 68±7 | 27±4 | 12.7±4.0 |
| F值 | 0.166a | 0.587 | 0.656 | 1.963 |
| P值 | 0.933 | 0.558 | 0.522 | 0.146 |
注:对照组:使用传统器械行全膝关节置换术(TKA);CAS-TKA组:使用计算机导航手术行TKA;PSI-TKA组:使用个性化的截骨导板行TKA;BMI:体质指数;HKA角:髋-膝-踝角;aχ2值
3组的手术时间41~115 min,平均(79±16) min。其中,对照组时间最短,为(66±11) min,CAS-TKA组手术时间最长,为(90±10) min,PSI-TKA组为(80±14) min。3组手术时间两两比较差异均有统计学意义(CAS-TKA比PSI-TKA:LSD-t=3.458,CAS-TKA比对照组:LSD-t=8.350,PSI-TKA组比对照组:LSD-t=4.582,均P<0.05)。
术后有11例患者下肢冠状面机械轴力线呈膝外翻,平均外翻2.0°(0.3°~2.9°),其余85例患者呈膝内翻,平均内翻2.4°(0.1°~8.1°)。以术后HKA角±3°作为可接受区间,力线良好患者74例(77.1%),力线偏移患者22例(22.9%),其中CAS-TKA组患者术后力线偏移比例最低(11.8%),对照组最高(30.3%),PSI-TKA组居中(27.6%),3组差异无统计学意义(χ2=3.771,P=0.151)。
TKA术中下肢力线的恢复和术后关节功能与假体寿命密切相关[11],当冠状面力线偏移超过3°时,将引起TKA失败率升高[12]。有研究发现,传统器械TKA术后力线超过3°的偏移率可高达32%[13]。因此如何良好地恢复力线,一直是关节外科医师关注的焦点。
近年来,智能辅助系统陆续进入TKA领域。CAS可实时显示截骨导板和假体安放的位置,从理论上讲可以提高术中机械对线的准确度,减少力线偏移的发生[14]。Rebal等[15]发现,CAS-TKA相较于传统器械更易获得3°以内的下肢冠状位力线。然而也有学者提出了质疑。Thiengwittayaporn等[8]发现,CAS-TKA较传统TKA在力线恢复上并无明显差异,手术时间反而延长了40 min。另一方面,3D打印技术所制作的PSI具有术前精确测量、术中精准定位和个性化假体安放的优点[16],理论上也能提高假体安放的准确度,同时因其简化了手术步骤和器械,被认为可缩短手术时间[17]。Daniilidis等[18]发现,PSI-TKA术后下肢力线的偏移率要明显低于传统TKA。但也有学者指出,两组在改善力线方面无明显差异[19,20]。
可见CAS和PSI两种技术在TKA中的使用尚存争议,本研究通过回顾性分析我院数据,研究CAS和PSI及传统器械3种方法在TKA手术时间及术后力线恢复上的差异。在手术时间上,3个工作组之间均有显著性差异。CAS-TKA手术时间最长,分别比传统器械TKA和PSI-TKA平均延长了25 min和11 min。这一结果和既往的研究相符[15]。CAS手术时间延长的主要原因考虑是因为导航系统在使用时需要额外的解剖学定位,同时在导航信号的捕捉及力线和截骨量的调整时也会额外消耗时间。PSI-TKA的手术时间也明显长于传统器械手术,出现这一结果的原因可能是多方面的。我们使用的PSI工具基于患者的CT影像设计,故在导板安放时,要暴露出安放位置的软骨下骨;另外,术中术者也常需要消耗时间结合自己的经验来验证导板截骨的准确性。有学者发现PSI工具在TKA术中会因可能存在的截骨异常而出现较高的"弃用率"(16.0%~17.5%)[21,22]。由此可见,PSI虽然有缩短手术时间的理论可能,但在实际手术中,术者因要反复检验其准确性,故手术时间可能反而会长于传统器械手术。
在术后下肢冠状面力线恢复方面,3组患者无显著差异,这一结果和既往的研究结论相似。田书畅等[16]曾比较了导航(iASSIST系统)TKA和PSI-TKA,发现其术后HKA角偏移率无显著差异。Rahm等[23]也同样发现,传统器械、CAS和PSI三种手术方式对TKA术后力线的恢复无显著性影响。但本研究也显现出一些倾向。CAS-TKA组力线偏移率只有11.8%,低于对照组(30.3%)和PSI-TKA组(27.6%),这体现出CAS相较其他两种技术的优势,PSI-TKA组的力线偏移率也略低于对照组,说明其在恢复下肢力线时和传统器械手术相当,甚至可能也有微弱优势。上述差异不具备统计学意义,考虑和样本量较小有关。这为我们下一步的研究指明了方向,即在扩大样本的基础上进行前瞻性的随机对照试验,再次检验CAS和PSI在TKA力线恢复中的作用。
本研究尚存在一些局限性。首先,本试验为回顾性研究,病例的分组非随机,某些未检测到的变量可能会使结果存在偏倚,不过3组患者术前的一般资料具有可比性,所以均质性较高;其次,本研究所纳入的病例数偏少,考虑样本量的缺乏和两种术式未得到广泛使用有关,通过本次研究发现,CAS-TKA和PSI-TKA在术后力线恢复上呈现出具备优势的倾向,故未来会以此为基础,进行更大样本量的研究;最后,本研究并未涉及失血和术后并发症的统计,也未对患者进行长期随访,而CAS和PSI因为都避免了股骨开髓和髓腔杆插入,所以二者都在理论上具备减少出血及预防脂肪栓塞的潜在优势,也有研究发现CAS-TKA在短期随访时的评分更高[15]。由此可见,CAS和PSI两种技术对TKA产生的影响是多方面的,今后我们将会对其进行更深入地探讨。
综上,CAS和PSI辅助下的TKA手术均可良好地恢复下肢冠状面机械轴力线,术后力线偏移率均小于传统器械TKA,导航手术要更优于导板手术,3种技术的差异无统计学意义。然而,两种技术均会明显增加手术时间,导航手术消耗时间更长。对于两种技术之间更详细的差异,以及它们对于TKA手术的整体影响,还需要大样本的随机对照试验以进一步验证。

±s)
±s)
±s)



















