
版权归中华医学会所有。
未经授权,不得转载、摘编本刊文章,不得使用本刊的版式设计。
除非特别声明,本刊刊出的所有文章不代表中华医学会和本刊编委会的观点。
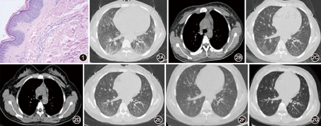
患者女,19岁,因"反复躯干、四肢皮疹伴发热1年余,加重5 d"于2017年2月18日入住广西医科大一附院呼吸内科。患者于2015年3月染发后出现头皮红斑,伴脱屑,皮疹逐渐向背部、四肢蔓延,瘙痒明显,自行涂药后皮疹无好转。同年6月出现发热,体温最高达39 ℃,无咳嗽、咳痰、气促,于7月就诊于皮肤科,查血常规:白细胞计数12.30×109个/L,中性粒细胞0.679,血红蛋白90.4 g/L,嗜酸粒细胞0.138(绝对值1.69×109个/L),血小板364×109个/L。红细胞沉降率(ESR)34 mm/1 h。血生化:丙氨酸氨基转移酶55 U/L,乳酸脱氢酶847 U/L。血红蛋白电泳检测为β-地中海贫血。肾功能、自身抗体谱、血气分析、胸部X线片结果正常。皮肤刮片真菌镜检及培养均未见异常。腹部B超示脾大。骨髓细胞形态学检查示骨髓增生近极度活跃,粒、红、巨三系增生明显活跃,嗜酸细胞增多(占8.5%)。腰部皮肤皮损病理活检示网篮状角化,表皮无萎缩变薄,基底细胞无液化变性,真皮乳头层胶原纤维蛋白增多,真皮浅层血管周围轻度淋巴细胞、少量嗜酸粒细胞浸润,累及血管壁,免疫组化IgG、IgA、IgM、C3、C1q均阴性,考虑非特异性皮炎改变(图1)。予甲泼尼龙40 mg/d静滴4 d后体温降至正常,后改为地塞米松10 mg/d静滴3 d,余予抗组胺、调节免疫治疗14 d后好转出院。出院诊断"嗜酸粒细胞增多性皮病、β型地中海贫血"。出院后予激素口服、曲安奈德益康唑乳膏外用。出院后患者反复发热伴皮疹,并逐渐出现干咳、活动后气促。同年8月31日因"皮疹、发热伴咳嗽"再次住院,查血常规:白细胞计数13.39×109个/L,中性粒细胞0.573,嗜酸粒细胞绝对值2.43×109个/L,血红蛋白108.3 g/L,血小板413.7×109个/L。FIP1L1/PDGFRα、FIP1L1/PDGFRβ融合基因均阴性。胸部CT(图2A,图2B)示:(1)两肺弥漫性渗出性病变;(2)纵隔及双侧腋窝淋巴结肿大。9月15日肺功能提示中度限制性通气功能障碍[(肺活量占预计值百分比(VC%pre)为44.5%,第1秒用力呼气量占预计值百分比(FEV1%pre)为47.6%)]、中-重度弥散功能障碍[一氧化碳弥散量(DLCO)为16.3%]。予头孢地嗪+克林霉素、泰能抗感染、甲泼尼龙抗炎,激素减量后患者发热再发,甲泼尼龙加量至80 mg/d静滴10 d后患者症状好转于9月18日出院。出院后间断发热咳嗽,同年10月返院复查,血嗜酸粒细胞结果恢复正常。10月26日查肺功能较前改善(VC%pre为65.5%、DLCO为56.4%);10月26日胸部CT(图2C)示两肺病变吸收好转。随后门诊定期复诊规则调整醋酸泼尼松用量逐渐减量至20 mg/d并维持,无新发皮疹和气促。2016年3月因服用"百令胶囊"后再次出现四肢及躯干红色皮疹、伴发热气促,自行将醋酸泼尼松加量至40 mg/d,仍有发热。查胸部CT(2016年3月15日,图2D,图2E)提示两肺间质性改变,磨玻璃影,以胸膜下为主,纵隔淋巴结增大。患者因路途遥远不规则门诊就诊,自行根据当地医院血嗜酸粒细胞结果调整醋酸泼尼松用量为20~50 mg/d,自觉皮疹、气促症状无明显改善。2016年4月第2次入住呼吸内科。血常规:白细胞计数20.73×109个/L,中性粒细胞0.808,血红蛋白103 g/L,嗜酸粒细胞0.036(绝对值0.75×109个/L)。予甲泼尼龙80 mg/d治疗2 d后体温正常,无新发皮疹,气促好转后出院,出院后醋酸泼尼松片50 mg/d治疗。2017年1月患者无明显诱因再次出现躯干、四肢红斑,脱屑伴痒觉,口服地氯雷他定干混悬剂、咪唑斯叮缓释片后皮疹好转,但症状反复并逐渐加重,自行将醋酸泼尼松片由20 mg/d调整至50 mg/d,皮疹未见明显好转,无发热,第3次住院。入院查体躯干、四肢伸侧可见散在陈旧色素沉着及多量大片红斑。双肺呼吸音粗,未闻及干湿性啰音。入院查白细胞计数16.50×109个/L,嗜酸粒细胞绝对值和百分比均正常,中性粒细胞0.883,C-反应蛋白21.12 mg/L。ESR为28 mm/1 h。血气分析、肝肾功能、超敏肌钙蛋白、血清真菌β-葡聚糖测定、自身抗体谱、降钙素原均未见异常。腹部超声未见异常。2月20日胸部CT平扫大致正常(图2F),肺功能检查提示通气功能正常、重度弥散功能障碍(VC%pre为83.9%、DLCO为28.31%)。予甲泼尼龙80 mg/d静滴治疗7 d,后减量至醋酸泼尼松片60 mg/d并加强抗组胺、护胃、补钙及对症治疗,患者全身风团消退后好转出院。出院后醋酸泼尼松片60 mg/d,激素逐渐减量至20 mg/d维持。9月6日复查胸部CT(图2G)未见异常。肺功能逐渐好转(2017年4月27日DLCO为32.10%, 9月7日DLCO为37.31%)。最终诊断为伴嗜酸粒细胞增多和系统症状的药物反应(DRESS)(累及皮肤、骨髓、肝、淋巴结、脾、肺、肌肉关节等),目前仍在随访中。


注:图1为患者腰部皮损病理学检查结果(HE ×400),具体表现为:网篮状角化,表皮无萎缩变薄,基底细胞无液化变性,真皮乳头层胶原纤维蛋白增多,真皮浅层血管周围轻度淋巴细胞、少量嗜酸粒细胞浸润,累及血管壁,个别红细胞外溢,考虑为非特异性皮炎改变。图2为患者胸部CT检查结果,具体为:2015年8月24日,两肺弥漫性渗出性病变、纵隔及双侧腋窝淋巴结肿大、心包少量积液(图2A,B);同年10月26日,两肺病变吸收好转(图2C);2016年3月15日,两肺间质性改变,磨玻璃影,以胸膜下为主,纵隔淋巴结增大(图2D,E);2017年2月20日,大致正常表现(图2F);同年9月6日,大致同前(图2G)
DRESS又称药物超敏反应综合征,临床主要表现为皮疹、发热、淋巴结肿大、嗜酸粒细胞增多和异常淋巴细胞等血液学异常,同时伴有多系统多器官不同受累为特征的严重药物不良反应。其发病率在1/1 000~1/10 000,成人多见,病死率10%~20%[1]。该病最常累及皮肤,其次是血液系统、淋巴结、肝、肾,其他还可见甲状腺、脑、心脏、脾、肺等[2]。大多数情况下,这些受累的发展是隐匿的,可在病程中相继出现,且严重程度不一。肺受累少见,临床可表现为进行性呼吸困难伴干咳、发热。本例患者累及皮肤、骨髓、肝、淋巴结、脾、肺、肌肉关节等,肺部主要表现为间质性肺炎,但在脱离致敏原5个月后仍出现了呼吸衰竭。患者治疗后胸部影像学未见其他明显异常,但有肺间质受累。
DRESS的发病机制尚无定论,其中以特异性药物引起的T细胞活化所致免疫失衡及病毒的活化学说较为认可。有研究表明急性期血清胸腺活化调节趋化因子水平和外周血嗜酸粒细胞数量相关[3],但没有显示外周血及组织嗜酸粒细胞数量和组织损伤程度的相关性。本例当外周血嗜酸粒细胞降至正常时,将激素减量出现了疾病复发和进展,因此用外周血嗜酸粒细胞数量作为激素减量或加量的指标依据不足。
如可尽早确诊,系统性应用糖皮质激素后预后往往良好,并发症发生相对罕见[4]。激素使用剂量要足够,疗程要够长,但目前对于激素具体疗程及用法尚无统一意见。激素治疗不理想者可加用静脉注射免疫球蛋白是选择之一,其他还有血浆置换及双重血浆过滤分离疗法、环孢素及环磷酰胺的使用,但疗效均不确定。需注意避免在急性期应用可能引起过敏反应的药物以免引起交叉过敏反应的发生。





















