
探讨双源CT低剂量间接法下肢深静脉造影(CTV)诊断下肢深静脉血栓形成的价值。
2017年1至12月南京医科大学附属南京医院共60例疑诊下肢深静脉血栓的患者进行了间接法低剂量CT静脉造影检查及下肢静脉DSA诊治,记录CTV辐射剂量并由两名高年资医师对CTV及DSA的原始图像进行分析得出诊断结果,以DSA为金标准,计算CTV的灵敏度、特异度;使用kappa一致性检验分析CTV与DSA两种检查方法对DVT诊断结果的一致性。用配对χ2检验两种检查方法差异是否有统计学意义。
60例患者共780支血管接受CTV检查,其中326支血管有阳性发现,60例患者共420支血管均行单侧下肢静脉DSA诊疗,其中332支血管有阳性发现。以DSA检查结果为金标准,CTV的灵敏度为96.2%,特异度为92.6%。kappa=0.860,P<0.05;配对χ2检验,P=0.263。
双源CT低剂量间接法下肢深静脉造影不仅能大幅度降低患者的辐射剂量,并且对诊断下肢深静脉血栓有较高的临床应用价值。
版权归中华医学会所有。
未经授权,不得转载、摘编本刊文章,不得使用本刊的版式设计。
除非特别声明,本刊刊出的所有文章不代表中华医学会和本刊编委会的观点。
下肢深静脉血栓(deep venous thrombosis,DVT)是血液在下肢深静脉内发生异常凝结,大多起源于小腿的肌间静脉[1],临床上常见。超过90%的肺动脉栓塞(pulmonary embolism,PE)由急性期脱落的血栓顺静脉血流方向上行引起[2]。随着CT技术的高速发展,下肢静脉CT造影由于其准确、简便、无创等特点[3],已经成为下肢深静脉血栓等血管疾病最常用的检查手段之一[4]。但由于下肢深静脉血栓形成的患者需要接受介入术前、术后及随访多次、长范围的扫描,并且需要接受肺动脉CT动脉造影(CT pulmonary angiography,CTPA)检查是否合并肺栓塞,导致患者接受较大剂量的累积辐射[5]。近年来,降低患者辐射剂量的研究得到越来越多国内外专家的重视[6],下肢深静脉CT造影(computed tomography venography,CTV)低剂量扫描方法也得到应用。本研究旨在探讨双源模式低剂量CTV的扫描方法对DVT的诊断价值。
收集南京医科大学附属南京医院2017年1至12月行下肢深静脉CTV检查患者,男33例、女27例,年龄35~65(49±4)岁。患者临床表现主要有下肢疼痛、肿胀、乏力、跛行、溃疡、皮肤增厚、色素沉着、皮温增高、浅静脉曲张等,病程2 d至数日不等。纳入标准:怀疑或确诊有下肢深静脉血栓的患者。排除标准:对比剂过敏,对比剂肾病患者。本研究经南京医科大学附属南京医院伦理委员会同意,所有患者检查前均签署知情同意书。
采用德国西门子公司第2代双源128层螺旋CT机,扫描范围从胸10椎体水平至脚踝,扫描方向为足部至头部。数据采集方案均采用双源模式,管电压80 kV,螺距2,自动管电流调节,视野(FOV)300 mm×300 mm。对比剂为碘普罗胺注射液(370 mgI/ml),经肘静脉注射对比剂后120 s后启动扫描。使用SAFIRE重建技术,该方法优势在于自动计算多余的颗粒并自动去除,用于低剂量扫描增加图像对比度,图像更清晰。60例患者均在CTV检查后3 d内接受下肢单侧下肢DSA检查及溶栓治疗,DSA检查设备为飞利浦Philips AlluraXper FD。所有患者均行足背静脉顺行性造影或经保留导管造影,对比剂使用碘克沙醇(320 mgI/ml)。辐射剂量由CT机自动计算生成。CTV及DSA的原始图像及后处理图像传送至PACS系统,由两名高年资医师,采用双盲法得出诊断结果,意见不统一时,经商讨达成一致。低剂量CTV检查主要显示的静脉为:下腔静脉、双侧髂总、髂外静脉、双侧股静脉、双侧腘静脉、双侧胫前、胫后静脉。
采用SPSS 21.0软件,计量资料数据以
±s来表示。以DSA为金标准,计算CTV的灵敏度、特异度;使用kappa一致性检验分析CTV与DSA对DVT诊断结果的一致性,kappa≥0.75,一致性很好;0.4≤kappa <0.75,一致性一般; kappa <0.4,一致性较差。用配对χ 2检验两种检查方法差异是否有统计学意义。
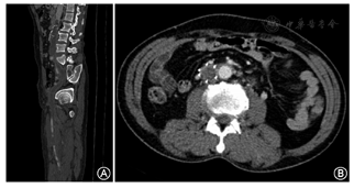
本研究中60例患者共780支血管接受CTV检查,326支血管有阳性发现(41.8%,326/780)。患者CTV征象主要为扩大的静脉管腔内局灶或多发中心性、偏心性或不规则充盈缺损,或呈条带状累及一支或多支血管,周围侧支循环形成。由于静脉回流受阻,患肢肌肉及皮下脂肪组织明显肿胀,故可见水肿增厚筋膜影(图1,图2)。


60例患者共420支血管行单侧下肢静脉DSA诊疗,332支血管有阳性发现(79.0%,332/420)。患者DSA征象主要为单发或多发充盈缺损,部分血管管腔不显影,周围侧支循环形成。下肢静脉形成血栓的患者通过抬高患肢,增加对比剂总量增加下腔静脉显影度,小腿部还可加袖带,注射对比剂时触发测压,增加小腿压迫从而增加下腔静脉血流回流量。血栓分布情况及诊断结果对比分析分别见表1,表2。以DSA检查结果为金标准,低剂量CTV的灵敏度、特异度分别为96.2%、92.6%。低剂量CTV和DSA两种方法检查结果在kappa一致性检验中kappa值为0.860,P<0.05,说明两种方法对DVT诊断具有很好的一致性;在配对χ2检验,P=0.263,两种检查方法差异无统计学意义。患者辐射剂量均值(225±44) mGy·cm。均显示低剂量CT下肢静脉造影对DVT的诊断有很高的准确性(图3)。

60例患者DSA及下肢深静脉CT造影检出深静脉血栓部位[支(%)]
60例患者DSA及下肢深静脉CT造影检出深静脉血栓部位[支(%)]
| 累及部位 | DSA | 深静脉CT造影 |
|---|---|---|
| 下腔静脉 | 42(12.6) | 44(13.5) |
| 髂总静脉 | 47(14.1) | 46(14.1) |
| 髂外静脉 | 53(16.0) | 50(15.4) |
| 股静脉 | 49(14.8) | 48(14.7) |
| 腘静脉 | 47(14.1) | 48(14.7) |
| 胫前静脉 | 45(13.6) | 42(12.9) |
| 胫后静脉 | 49(14.8) | 48(14.7) |
| 合计 | 332(100) | 326(100) |

DSA、CT造影对420支下肢深静脉检查结果的对比[支(%)]
DSA、CT造影对420支下肢深静脉检查结果的对比[支(%)]
| DSA | 下肢深静脉CT造影 | 合计 | |
|---|---|---|---|
| 阳性 | 阴性 | ||
| 阳性 | 319 (76.0) | 13 (3.1) | 332 |
| 阴性 | 7 (1.7) | 81 (19.3) | 88 |
| 合计 | 326 | 94 | 420 |
注:kappa=0.860,P<0.05


DSA一直以来因其高灵敏度及准确度在国内外学界是公认的DVT诊断金标准,但仍存在一些局限性,比如有创、辐射剂量大、对比剂用量大、费用高昂等。超声检查具有安全、无创等优点,但亦有较大局限性。对仪器的操作不够熟悉、调节不当,位置较深、管径较细、走行不规则的下肢深静脉血栓,易误诊及漏诊。CT检查的优点是速度快、诊断结果可靠。近年来,CT技术的发展使得机器可以大容量覆盖式扫描,得到高分辨率、低噪声的图像,但同时也导致辐射剂量的大幅度增加,从而增加患者肿瘤发生的风险。国内外学者都在研究探讨如何用低剂量成像得到满足诊断要求的图像[7]。常用的下肢CTV检查法有直接法和间接法,间接法下肢静脉CTV是国内外广泛应用的常规技术,没有静脉穿刺后引发静脉炎和血栓的危险,也不受因患肢肿胀造成穿刺困难的影响,较少有直接法CTV"边流现象"造成的假阳性率提高,也不同于顺行性DSA易漏诊的盆腔静脉血栓及小的附壁血栓[8]。该研究中患者接受辐射剂量均值为(225±44) mGy·cm,Park等[6]报道的(402.10±94.29) mGy·cm,本研究中患者接受的辐射剂量要更低。降低管电压、加大螺距是降低辐射剂量的常见方法[9],迭代重建可增加图像对比度,使图像更清晰。
本研究中尚存一些不足之处:(1)没有基于体质指数计算对比剂用量及制定个性化扫描方案,降低了辐射剂量,但未能研究如何降低对比剂用量,未能进行有关"双低"的研究[10];(2)该研究降低辐射剂量是由联合调整三项参数完成,降低管电压、加大螺距、自动管电流调节,未能独立分析每个参数的改变对降低剂量的影响;(3)未能联合肺动脉CT动脉成像、完成一站式检查。在今后DVT的研究工作中,还需对血栓的性质(急性、亚急性、慢性)进行研究,为临床治疗提供支撑。





















