
评估经腹肾次全切除术(STNx)后大鼠肾功能和心功能的变化,为慢性肾脏病(CKD)和心肾综合征(CRS)研究提供一个理想动物模型。
将20只SD大鼠(雄性,5~6周龄)随机分为假手术(Sham)组及STNx组,每组10只。STNx组大鼠经腹一次性完成右肾切除+左肾2/3动脉结扎;Sham组大鼠仅完成手术操作,但不结扎右肾动静脉及输尿管,不切除右肾,不结扎左肾动脉分支。术后12周,行心脏超声观察心功能的变化,检测大鼠血清肌酐及肾脏病理变化,同时观察心肌细胞大小及纤维化情况。
术后12周,STNx组大鼠一般状况较差,体型消瘦,梗死区肾组织吸收,表面凹凸不平,残余肾组织代偿性肥大。STNx组大鼠血清肌酐高于Sham组[(52.80±3.34)μmol/L比(22.10±1.64)μmol/L,P<0.001],差异有统计学意义。心脏超声检查结果显示,与Sham组比较,STNx组左室室壁增厚,心室容积减少,舒张功能下降,同时合并收缩功能下降(均P<0.05)。HE染色显示,Sham组肾小球、肾小管及肾间质形态正常,STNx组肾小球硬化。Masson染色显示,Sham组肾脏中纤维组织分布正常,STNx组见肾小球、肾小管及肾间质严重纤维化;心肌组织麦胚凝集素(WGA)染色显示,STNx组心肌细胞相对大小为1.293±0.060,Sham组为1.000±0.059,两组比较差异有统计学意义(P<0.001);HE染色显示STNx组部分心肌组织坏死、纤维化;Masson染色见STNx组局部心肌组织严重纤维化。
经腹肾次全切除术建立大鼠CKD模型观察到类似人CKD中的病理生理变化,这种模型的心脏效应,可能使其成为研究心肾综合征的理想选择。
版权归中华医学会所有。
未经授权,不得转载、摘编本刊文章,不得使用本刊的版式设计。
除非特别声明,本刊刊出的所有文章不代表中华医学会和本刊编委会的观点。
慢性肾脏病(chronic kidney disease,CKD)发病率在全球呈逐年大幅升高趋势,已成为21世纪最大的公共卫生问题之一。中国成人CKD患病人数近1.2亿,CKD同样也是我国的一个重要公共卫生问题[1]。CKD患者常发生心血管疾病,特别是需要透析治疗的终末期肾病患者。来自美国肾脏数据系统(the United States Renal Data System,USRDS)的数据显示[2],66岁及以上的CKD患者患心血管疾病的情况比较普遍,这可能与CKD患者多数是高龄有关。这些心血管疾病包括冠心病、急性心肌梗死、心力衰竭、瓣膜性心脏病、卒中等,CKD患者心血管疾病的患病率约是无CKD患者的两倍[2]。2005年,Bongartz等[3]首次提出了"严重心肾综合征(severe cardiorenal syndrome,SCRS)"的概念,简称心肾综合征(cardiorenal syndrome,CRS)。到目前为止,肾次全切除术(subtotal nephrectomy,STNx)仍然是模拟人CKD和CRS最好的模型。本研究改进了传统5/6肾切除术的方法,经腹一次性完成大鼠肾脏次全切除术,并评价术后肾功能和心功能的变化,为CRS研究提供一个理想的模型。
健康SD大鼠20只,雄性,体重180~200 g,SPF级,购自常州卡文斯实验动物有限公司。采用随机数字表法,将其随机分为假手术(Sham)组及STNx组,每组10只,在SPF级动物房内,给予正常饮食及饮水,适应性饲养1~2周后构建模型。
以1%戊巴比妥钠溶液按6 ml/kg进行腹腔注射,麻醉生效后,将大鼠以仰卧位固定在手术板上,备皮用75%乙醇对腹部皮肤进行消毒。
中上腹部正中切口,将大鼠腹腔肠管向左翻出,用生理盐水浸湿纱布包裹,充分暴露右肾门,分离右肾肾蒂处的右肾动、静脉及输尿管并分别予以结扎,远端切断,分离右肾包膜,切除右肾。随后将大鼠肠管向右翻出,用盐水纱布包裹,在手术显微镜下,暴露并分离肾门处左肾动脉的分支,结扎左肾动脉部分分支,保留约1/3左肾血供,实现5/6肾切除术的效果,左肾梗死先缺血呈苍白色后充血呈暗红色(图1)。仔细检查并确认腹腔内无活动性出血后逐层关腹。Sham组大鼠按上述方法操作,但不结扎右肾动静脉及输尿管,不切除右肾,不结扎左肾动脉分支。


注:A.暴露右侧肾门(a.右肾动脉,b.右肾静脉,c.右输尿管);B.结扎右肾动、静脉和右输尿管;C.切除右肾;D.分离暴露左肾动脉分支(a.左肾后段动脉,b.左肾上段动脉,c.左肾前段动脉,d.左肾下段动脉。左肾动脉分支常有变异);E.结扎左肾动脉部分分支,保留约1/3左肾血供,实现5/6肾切除术的效果;F.左肾动脉分支结扎前左肾(箭头所示);G.左肾动脉分支结扎后左肾(箭头示左肾两极梗死后充血呈暗红色);H.腹部切口(箭头所示)
手术后腹腔注射头孢呋辛钠50 mg/kg一次,将大鼠放入温箱内待其苏醒。苏醒后按组分笼饲养,饲养方式同手术前。饲养时注意给食、给水清洁,并注意勤换垫料,防止手术切口感染。
术后注意观察大鼠一般状况,以及体重、毛发情况、口唇皮肤黏膜等。
术后第12周,大鼠麻醉后将其固定在检测台上,采用小动物心脏超声观察室壁厚度及室壁运动情况,记录左室射血分数(left ventricular eject fraction,LVEF)、左室缩短率(left ventricular fractional shortening,LVFS)、舒张早期二尖瓣血流峰速度/舒张早期二尖瓣环速度(E/e′)、左室前壁(left ventricular anterior wall,LVAW)厚度、左室后壁(left ventricular posterior wall,LVPW)厚度、左室舒张期末容积(left ventricular end-diastolic volume,LVEDV)等。
沿原切口开腹,将肠管向右翻出,暴露大鼠腹主动脉,经腹主动脉取血,4 ℃下3 000 r/min离心10 min,取上清在Vitros750生化检验仪内检测肌酐浓度。
暴露并取出右肾,用生理盐水洗净后观察并拍照,随后将部分肾脏放入4%多聚甲醛内固定24 h后观察并拍照。
肾脏标本经固定、包埋后,制成3 μm厚的石蜡切片,并进行苏木精-伊红(HE)染色、Masson染色,光镜下观察病理变化。
心脏标本经固定、包埋后,制成3 μm厚的石蜡切片,并进行麦胚凝集素(WGA)、HE、Masson染色,光镜下观察病理变化。
所有数据用SPSS 22.0软件进行分析,符合正态分布的计量资料以
±s表示,两组间比较采用独立样本t检验。均为双侧检验,P<0.05为差异有统计学意义。
术后Sham组大鼠活动情况如手术前,较为活泼好动,毛发浓密有光泽,毛色相对较白,耳、舌部皮肤黏膜色泽红润;STNx组大鼠活动量明显减少,常呆在鼠笼角落内,12周时该组大鼠毛发明显稀疏暗淡,毛色发黄,耳、舌部皮肤黏膜较为苍白。
Sham组大鼠肾脏呈暗红色蚕豆状,表面光滑,无肿大、凹陷,大小正常;STNx组大鼠肾脏形态发生改变,表面稍显苍白,其坏死部分的肾脏组织被脂肪组织替代,同时残余肾脏组织代偿性增大,肾脏表面凹凸不平(图2)。


注:A. Sham组肾脏大小正常,表面光滑;B. STNx组梗死区肾组织吸收,表面凹凸不平,残余肾组织代偿肥大
术后12周时,Sham组大鼠血清肌酐浓度为(22.10±1.64)μmol/L,STNx组为(52.80±3.34)μmol/L,STNx组大鼠血清肌酐浓度高于Sham组(t=26.09,P<0.001)。
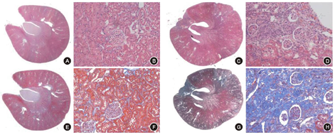
术后12周时,HE染色可见Sham组大鼠肾脏病理切片上肾小球、肾小管及肾间质形态正常,STNx组肾脏病理切片可见肾小球硬化;Masson染色可见Sham组肾脏纤维组织分布正常,STNx组肾小球、肾小管及肾间质严重纤维化(图3)。


注:A(HE ×12.5)、B(HE ×200). Sham组见肾小球、肾小管及肾间质形态正常;C(HE ×12.5)、D(HE ×200). STNx组见肾小球硬化;E(Masson ×12.5)、F(Masson ×200). Sham组见肾脏纤维组织分布正常;G(Masson ×12.5)、H(Masson ×200). STNx组见肾小球、肾小管及肾间质严重纤维化
术后12周,WGA染色显示,STNx组大鼠心肌细胞较Sham组明显增大,STNx组心肌细胞相对大小为1.293±0.060,Sham组为1.000±0.059,两组比较差异有统计学意义(t=11.01,P<0.001)(图4)。


注:A. Sham组心肌细胞核染色(DAPI ×400);B. Sham组心肌细胞膜染色(WGA ×400);C. A和B重叠图像;D. STNx组心肌细胞核染色(DAPI ×400);E. STNx组心肌细胞膜染色(WGA ×400);F. D和E重叠图像
HE染色可见Sham组心肌组织正常,STNx组部分心肌组织坏死、纤维化;STNx大鼠心肌细胞间、心外膜及心内膜下有炎症细胞浸润;Masson染色可见Sham组心肌纤维组织分布正常,STNx组局部心肌组织严重纤维化(图5)。


注:A(HE ×12.5)、B(HE ×200). Sham组见心肌组织正常;C(HE ×12.5)、D(HE ×200). STNx组部分心肌组织坏死、纤维化;E(Masson × 12.5)、F(Masson ×200). Sham组心肌纤维组织分布正常;G(Masson ×12.5)、H(Masson ×200). STNx组局部心肌组织严重纤维化
术后12周,心脏超声结果提示,与Sham组比较,STNx组左室室壁增厚,心室容积减少,舒张功能下降,同时合并收缩功能下降。STNx组LVEF为(51.55±1.30)%,Sham组为(68.25±1.80)%,STNx组低于Sham组(t=23.78,P<0.001);STNx组LVFS为(27.65±0.98)%,Sham组为(41.82±1.58)%,STNx组低于Sham组(t=24.10,P<0.001);STNx组E/e′为12.66±0.84,Sham组为4.61±0.58,STNx组高于Sham组(t=24.94,P<0.001);STNx组LVAW厚度为(2.47±0.09)mm,Sham组为(1.73±0.04)mm,STNx组高于Sham组(t=23.76,P<0.001);STNx组LVPW厚度为(2.45±0.10)mm,Sham组为(1.81±0.05)mm,STNx组高于Sham组(t=18.10,P<0.001);STNx组LVEDV为(131.83±6.43)μl,Sham组为(219.35±10.97)μl,STNx组低于Sham组(t=21.77,P<0.001)(图6)。


注:A. Sham组心脏超声影像;B. STNx组心脏超声影像;C.左室射血分数(LVEF);D.左室短缩率(LVFS);E.舒张早期二尖瓣血流峰速度/舒张早期二尖瓣环速度(E/e');F.左室前壁(LVAW)厚度;G.左室后壁(LVPW)厚度;H.左室舒张末容积(LVEDV);与Sham组比较,aP<0.001
Bongartz等[3]针对心力衰竭合并慢性肾功能不全发病率逐年显著增加,两种疾病共存时预后明显恶化的临床及病理生理学特点,提出了CRS的概念。2008年9月在意大利威尼斯召开了关于CRS的高峰会议,推动形成了CRS共识,将CRS分为5种类型[4]。急性心肾综合征(1型):心脏功能的急性恶化导致肾损伤和(或)功能障碍;慢性心肾综合征(2型):慢性心功能异常导致肾损伤和(或)功能障碍;急性肾心综合征(3型):急性肾功能恶化导致心脏损伤和(或)功能障碍;慢性肾心综合征(4型):慢性肾脏疾病导致心脏损伤、疾病和(或)功能障碍,常表现为左室重塑及功能减退、左室肥厚及慢性纤维化、舒张功能减退等;继发性CRS(5型):全身性疾病导致心脏和肾脏同时损伤和(或)功能障碍。本研究通过建立CKD模型,由肾功能衰竭影响心功能,模拟4型CRS。
制备CRS的模型是通过建立肾衰动物模型和(或)建立急、慢性心衰动物模型来实现,造模方法有手术、药物、转基因等,制备过程有单一方法,也有多种方法合并使用。目前,常用的建立肾功能衰竭动物模型的方法主要有药物法[5,6]、手术法[7,8]等。而在诸多方法中,5/6肾切除术是较早并较多使用的手术方式,大鼠5/6肾切除制备CRS模型符合肾小球高度滤过致肾衰学说,其残存肾单位出现高灌注、高滤过和高压力,进而导致肾小球硬化和残余肾单位进一步破坏。Brenner[9]对大鼠进行肾大部切除,用微穿刺等方法证实该模型具有接近临床肾衰病变进展过程的特点而被诸多学者广泛使用。传统的5/6肾切除术的手术方式采取背部肋下脊柱旁入路,首先切除左肾上、下极各1/3的肾组织,1周后再行二次手术,切除右肾,最终两次切除的肾组织约占两肾的5/6。这种建模方式能较好地反映CRS时的病理生理学变化,包括血肌酐浓度上升、肾脏纤维化等。但是,其仍有一些缺点,如这种建模方式需要进行二期手术,同时,对术者操作技术要求较高,操作不慎可能引起出血、漏尿等意外。针对以上缺点,我们对传统的5/6肾切除术手术方法进行了改进,经腹一次性完成5/6肾切除术。术后12周,发现大鼠的肾功能显著下降,表现为血清肌酐值的显著升高,肾脏纤维化明显,这些表现都符合CRS的病理生理学表现。同时本研究观察了肾功能下降对心功能的影响,结果显示左室室壁增厚,心室容积减少,舒张功能下降,同时合并收缩功能下降,病理发现心肌细胞肥大、局部心肌坏死、严重纤维化,实现了4型CRS慢性原发性肾脏疾病造成心脏功能减退、左室肥厚、舒张功能减退等病理生理过程。与传统5/6肾切除术方法相比,经腹STNx在保证动物模型可靠性的基础上,还具有不需二期手术的优点;切除左肾组织时采用了结扎血管而使肾组织缺血坏死的方式,相比传统手术方法常用的直接切除肾脏组织的方式,具有出血量少、避免漏尿、减少感染等优势。
本研究改进了常规经肋脊角二次手术完成的5/6肾切除术,实现了经腹正中切口一次性完成右肾切除+2/3左肾动脉结扎术,达到了5/6肾切除术的效果,术后感染率低,无二次手术间隔时间,模型稳定,造模效率高。完成肾动脉结扎时需要使用手术显微镜,动作要轻柔,双手操作稳定性要求高,稍加训练可以完成模型制作。模型在造成肾功能损伤的同时也对心功能造成了损伤,这种模型的心脏效应,使其成为研究CRS的理想选择。
所有作者均声明不存在利益冲突





















