
Riedel甲状腺炎(RT)又称慢性侵袭性纤维性甲状腺炎,木样甲状腺炎。是一种少见的甲状腺慢性纤维增生性炎症,可穿破甲状腺被膜侵犯邻近组织和器官,产生压迫症状。本文报道一例RT合并急性化脓性甲状腺炎的男性患者,分析其临床表现,辅助检查及诊疗经过。
版权归中华医学会所有。
未经授权,不得转载、摘编本刊文章,不得使用本刊的版式设计。
除非特别声明,本刊刊出的所有文章不代表中华医学会和本刊编委会的观点。
患者男,54岁,因"颈前疼痛伴发热半个月"于2017年4月21日入住中国医科大学附属第四医院。患者半个月前无诱因出现左侧颈前疼痛,吞咽时明显,疼痛无放散,无吞咽困难、呼吸困难、声音嘶哑及喉鸣,伴发热,体温波动在37.6~38.2 ℃,无寒战,未诊治。2 d前自觉颈前压迫感,遂就诊我院。既往2型糖尿病史6年,无颈部及甲状腺相关疾病史。其父40多岁时行甲状腺大部切除术(病因不详),术后未服用任何药物。
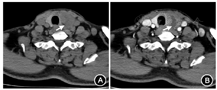
体格检查:体温37.8 ℃,脉搏74次/min,呼吸18次/min,血压153/96 mmHg(1 mmHg=0.133 kPa),体质指数(BMI)24 kg/m2,全身浅表淋巴结未触及肿大,颈部对称,气管居中,无局部红肿,左侧甲状腺Ⅱ°肿大,质地硬,表面不光滑,轻压痛,颈软,吞咽时活动度差,无突眼及双手震颤。入院后查血常规:白细胞9.1×109/L,中性粒细胞76.2%;空腹血糖9.2 mmol/L,餐后2 h血糖15.4 mmol/L,糖化血红蛋白9.0%;超敏C反应蛋白(hs-CRP)20.5 mg/L,红细胞沉降率(ESR)33 mm/h;促甲状腺激素(TSH)0.062 mU/L(参考值:0.55~4.78 mU/L),游离三碘甲状腺原氨酸(FT3)4.9 pmol/L(参考值:3.5~6.5 pmol/L),游离甲状腺素(FT4)18.71 pmol/L(参考值:11.5~22.7 pmol/L),抗甲状腺过氧化物酶抗体(TPOAb)<28.0 mU/L(参考值:0~60 mU/L),抗甲状腺球蛋白抗体(TGAb)20.4 mU/L(参考值:0~60 mU/L),甲状腺受体抗体(TRAb)<0.300 U/L(参考值:0~1.22 U/L);尿常规、大便常规、肝肾功能未见异常。甲状腺超声:甲状腺左叶4.2 cm×3.5 cm×2.5 cm肿物,边界模糊,形态不规整,不均质低回声,肿物与周围组织分界欠清晰;甲状腺单光子发射计算机断层扫描(ECT):甲状腺双叶位置处仅见少量显像剂分布,左叶形态轮廓界限不清,右叶仅见少量显像剂分布,甲状腺整体显像剂摄取明显低于颌下腺(图1);甲状腺增强CT:甲状腺左叶增大,其内团片状低密度影,边界欠清,范围约3.8 cm×3.0 cm,增强后不均匀强化,其内无强化的液化坏死区,双侧颈部多发略增大淋巴结影,增强扫描有强化,考虑甲状腺左叶占位性病变,恶性不除外(图2)。


注:A.甲状腺双叶处仅见少量显像剂分布(↑);B.甲状腺左叶形态轮廓界限不清,右叶仅见少量显像剂分布(↑)


注:A.甲状腺平扫见甲状腺左叶增大,其内可见稍低密度影(↑);B.甲状腺左叶较右叶增大,边缘不规则,与周围组织分界不清,增强后甲状腺肿物未见明显强化(↑)
诊治经过:患者存在颈部疼痛、包块、发热,考虑常见疾病"亚急性甲状腺炎",给予口服洛索洛芬钠片60 mg/次,3次/d ×5 d,上述症状不缓解,复查白细胞12.6×109/L,中性粒细胞80.9%,hs-CRP 133 mg/L,ESR 48 mm/h。考虑急性化脓性甲状腺炎(AST)并调整用药:头孢地嗪钠2.0 g/次,2次/d静脉滴注。触诊甲状腺质地硬,表面不光滑,同时结合患者病史及增强CT,考虑合并甲状腺恶性肿瘤,请普外科会诊,建议细针穿刺活检明确甲状腺肿物性质,因患者及家属不同意,要求切除肿物,故行甲状腺左叶切除术。术中左侧甲状腺肿物大小4.0 cm×3.0 cm,质硬,边界不清,甲状腺叶形成脓肿壁样与周围组织及血管粘连,分离粘连可见黄白色脓液。肿物切除送病理,结果回报:光镜下甲状腺结构破坏,代之大量纤维组织增生,透明性变,甲状腺滤泡萎缩,可见静脉周围炎;呈木样甲状腺炎改变,淋巴细胞、浆细胞及慢性炎症细胞浸润(图3)。脓液培养得到两种革兰阳性球菌生长,培养皿示菌落厚,有光泽、圆形凸起和灰白色、圆形、凸起的细小菌落,菌落周围出现透明溶血环,分别为金黄色葡萄球菌和化脓性链球菌。诊断Riedel甲状腺炎(RT)合并AST;2型糖尿病。术后进一步行咽喉部内镜检查梨状窝,未见瘘管存在。术后给予奥硝唑0.5 g/次,2次/d,头孢地嗪钠2.0 g,2次/d×5 d静脉滴注抗感染治疗,患者2 d后体温正常,颈部疼痛消失。术后4周复查TSH 1.787 mU/L,FT3 1.25 pmol/L,FT4 18.71 pmol/L,TPOAb 31.4 mU/L,TGAb 31.1 mU/L。


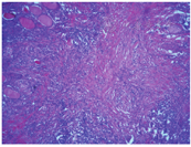
注:甲状腺内广泛纤维组织增生,与周围组织粘连,呈透明性变,并伴有淋巴细胞、浆细胞及慢性炎症细胞浸润,甲状腺组织被部分破坏
RT缺乏特异性的辅助检查,甲状腺触诊质地坚硬如石,不痛,通常甲状腺功能正常,对诊断有一定提示作用。本病诊断的金标准为病理检查,其发病率低,易与其他甲状腺炎和未分化癌混淆;高度怀疑者,应行甲状腺穿刺检查明确。
甲状腺极少发生化脓性感染,一旦发生则起病急、进展快,如治疗不及时脓肿可压迫气管引起窒息或侵犯纵隔导致化脓性纵隔炎,危及生命。
在患者出现发热、颈前疼痛及甲状腺肿大表现,其他甲状腺疾病缺乏足够证据时,需要拓展思路,还应考虑到一些特殊类型的甲状腺炎可能。
病理活检对于本病诊断至关重要,当临床上诊断困难时,应当创造条件,积极寻找病理学证据,以协助最终明确诊断。
该患者为RT合并AST,临床诊断困难,误当甲状腺恶性肿瘤,应吸取经验教训,今后应发散临床思维,争取多学科的配合。
患者中年男性,急性起病,临床表现为发热,颈部疼痛,颈部肿物,查体左侧甲状腺Ⅱ°肿大,质地硬,活动度差,检查提示亚临床甲亢期、感染指标升高、血糖控制不佳。影像学提示甲状腺内边界不清、密度不均、碘剂摄取低的肿物,临床表现为痛性甲状腺炎,病因鉴别考虑如下:(1)亚急性甲状腺炎:患者甲状腺质地可硬如桌椅,实验室检查提示"分离现象",该患者甲状腺功能为亚临床甲亢期,非甾体类抗炎药治疗效果不明显,不支持。(2)甲状腺结节伴出血:一般有甲状腺结节病史,多为急性起病,可突发甲状腺肿大,有触痛及波动感,出血量多时可致气管受压,也可有低热,体温随出血量的吸收恢复正常,彩超提示液性暗区,该患者颈部触诊无波动感,体温与时间不相关,影像学未发现甲状腺结节,不支持。(3)痛性桥本甲状腺炎:是一类非典型的桥本甲状腺疾病,临床表现为发热、颈痛、hs-CRP及ESR增高,甲状腺自身抗体呈强阳性,该患者甲状腺自身抗体阴性,可排除。(4)晚期的甲状腺癌:可引起疼痛,声音嘶哑,颈部肿块,吞咽困难或不适,可有癌性发热,结合患者影像学检查,不能除外。(5)颈外恶性肿瘤:肿瘤也可转移至颈部,引起相应的临床症状,该患者未发现颈外疾病,不支持。(6)AST:最常见的症状是疼痛(可为耳部或颈部)、发热、吞咽困难、声音嘶哑、寒战和咽喉部疼痛[1]。该例患者的临床特征是急性起病的单侧颈部疼痛及触痛,伴有发热,糖尿病病史多年,血糖控制不佳,易合并化脓性感染,高度怀疑AST。
本例患者发热、颈部疼痛,符合AST的临床表现。因甲状腺外有纤维囊包裹、血液循环和淋巴引流丰富,腺体内有高浓度的碘离子,不易感染。革兰阳性球菌在AST中最常见,包括金黄色葡萄球菌、化脓性链球菌、肺炎链球菌、表皮葡萄球菌及需氧革兰阴性杆菌,患病率在0.1%~0.7%,临床表现三联征:多结节甲状腺肿、单侧下咽炎、周围蜂窝织炎,当三者同时出现,应高度怀疑AST[2]。FT4水平在急性发作期可能升高,是由于发炎的甲状腺叶中甲状腺素(T4)的大量释放所致。诊断金标准是甲状腺细针抽吸细胞学检查(FNA)(超声或CT引导)或活检进行培养。样本应行有氧、厌氧、真菌和分枝杆菌培养。AST的患者95%合并梨状隐窝,是由于后鳃体的先天畸形所致,后鳃体起源于第四咽囊并引起甲状腺C细胞升高,发育不全易患AST,因后鳃体位于左侧,AST多为左侧发病[3],故确诊AST的患者均需行咽喉内窥镜或食管吞钡检查,明确有无梨状隐窝。AST经验治疗应用广谱抗生素,待药敏结果回报可选用敏感抗生素,如抗生素仍不能控制感染,可选择脓肿引流或切除。对合并梨状隐窝的患者,建议传统的手术切除或选择非手术的化学药物填塞、电切法消除瘘管,避免反复感染。
该患者病理明确诊断为RT合并AST,在RT的基础上发生了AST,考虑与血糖控制不佳有关。该患者RT表现不典型,触诊质硬的甲状腺肿物,临床认识不足,与甲状腺肿瘤相混淆。本病例为一例误诊病例,术前未能行甲状腺穿刺活检,错误地选择手术治疗,增加了患者的经济负担。RT又称慢性侵袭性纤维性甲状腺炎,木样甲状腺炎。1883年首次用Riedel命名本病,1957年,Woolner博士和他的同事们定义了RT的诊断标准,在临床上表现为坚硬、可触及的甲状腺肿物,较少引起疼痛,可压迫邻近的甲状旁腺,颈部肌肉并引起声带麻痹,表现为完全破坏甲状腺组织,压迫颈部,严重者可产生呼吸困难,是公认罕见的甲状腺疾病。发病率约0.06%,女性发病率约为男性的3倍,一般在50岁左右患病[4]。该患者符合RT的发病年龄,主流观点认为RT是独立的系统性自身免疫性疾病,典型特征为甲状腺组织的炎症增殖性纤维化改变,纤维化不局限于甲状腺,超出甲状腺包膜侵及周围组织,易被误诊为其他自身免疫性甲状腺炎或甲状腺恶性肿瘤[4]。对于难以确诊的甲状腺疾病,甲状腺穿刺(细针+粗针)能提供非常大的帮助,减少不必要的手术。RT症状无特异性,大多数为无痛性肿块,仅1/3的患者伴有TSH轻度升高,三碘甲状腺原氨酸(T3)、T4水平基本正常,4%表现为甲亢;病理学检查是金标准,RT的特征性表现是淋巴细胞和浆细胞弥漫性浸润中小静脉壁的脉管炎[5]。RT不是原发的甲状腺疾病,而是多发性多灶性纤维硬化症在甲状腺内的表现,是属于IgG4相关性疾病(IgG4-RD)的范畴。IgG4-RD仅累及甲状腺时表现为IgG4相关性桥本甲状腺炎,累及多个器官时,则表现为RT。该患者有肺部轻度纤维化,考虑为RT,RT本身为良性病变,无明显压迫症状或疾病快速进展,可随诊观察;如有压迫症状或恶性肿瘤不能除外,需要手术治疗,术后根据病情可考虑应用糖皮质激素或他莫昔芬。他莫昔芬曾被认为是RT的一线用药,也可作为糖皮质激素治疗无效的替换方案之一。
所有作者均声明不存在利益冲突

























