
观察肝豆状核变性(WD)携带者的临床症状、铜代谢特点、影像学特点,探讨WD携带者的治疗策略。
收集2007年7月至2018年5月中山大学附属第一医院WD携带者40例,WD患者40例,健康对照20名。入选者进行以下检查:用改良Young量表进行神经症状评分、Child肝功能分级、精神症状量表评分、磁共振平扫、磁敏感呈像(SWI)、金属代谢检查。在SWI上测量ROI相位值(CP)。将WD携带者分为有症状组、无症状组。有症状的WD携带者予以青霉胺2周、葡萄糖酸锌3个月治疗。复查神经症状、肝功能等级、金属代谢指标。
6例WD携带者出现临床症状,其中5例有神经症状,4例有肝功能异常。有症状的WD携带者HAMA量表得分高于健康对照(P=0.021)。85%携带者铜蓝蛋白低于0.26 g/L。80%携带者的血清铜水平介于健康对照和WD患者水平之间。WD携带者游离铜低于WD患者(P=0.012,0.019)。有症状携带者尿铜较健康对照增高(P=0.047)。有症状的WD携带者丘脑、苍白球、壳核相位值较健康对照降低。有症状WD携带者青霉胺治疗后,尿铜较治疗前增高(P=0.036)。经过治疗,有症状WD携带者肝酶恢复正常,改良Young量表评分较治疗前降低(P=0.031)。
WD携带者有轻度铜代谢异常。少数携带者会出现肢体震颤等神经症状,或肝酶异常等肝脏症状。出现症状的WD携带者,铜代谢异常较无症状的WD携带者更加严重。有症状的WD携带者,可以采用葡萄糖酸锌治疗。
版权归中华医学会所有。
未经授权,不得转载、摘编本刊文章,不得使用本刊的版式设计。
除非特别声明,本刊刊出的所有文章不代表中华医学会和本刊编委会的观点。
肝豆状核变性(Wilson disease,WD),特征是铜蓝蛋白合成不足以及胆道排铜障碍,以肝硬化、脑部尤其是基底节变性、角膜K-F环等为主要表现。WD是一种常染色体隐性遗传的铜代谢障碍疾病。需要2个等位基因异常方能致病。肝豆状核变性携带者,只有1个等位基因异常。能早期检出WD携带者,避免携带者之间的婚配可减少患者的出生,是预防肝豆状核变性的关键。但由于基因检查不能普及,携带者的诊断仍有难度。能否找到生化指标辅助WD携带者的诊断,WD携带者是否会出现临床症状,是否需要治疗,尚无明确认识。本研究对于WD携带者的临床表现、铜代谢特点、治疗情况进行了探讨。
收集2007年7月至2018年5月中山大学附属第一医院基因确诊的WD携带者40例[男21例,女19例,年龄(32±9)岁];WD患者40例[男22例,女18例,年龄(20±6)岁]。WD诊断标准为:铜蓝蛋白<0.2 g/L,24 h尿铜>100 μg,角膜K-F环阳性,有阳性家族史[1]。选取与患者年龄相匹配的健康志愿者20名。所有对象均签署知情同意书,经医院伦理委员会批准。
对入选者进行血清铜蓝蛋白、血清铁、血清铜、尿铜、肝功能、B超的检测。金属指标通过原子吸收分光光度计火焰法测定。测定仪器为日立Z-5000原子吸收分光光度计。铜元素空心阴极灯波长为:324.9 nm,电流为:10 mA。根据血清游离铜(mg/L)=血清铜(mg/L)-铜蓝蛋白(g/L)×3.15[2],计算血清游离铜含量。使用改良的Young量表[3]进行神经症状评分。对携带者及患者进行Child肝功能分级,进行精神症状自评量表(SCL-90量表)、简易智能量表(MMSE)、Hamilton焦虑量表(HAMA-14)、Hamilton抑郁量表(HAMD-24)评估。
将WD携带者分为有症状组(有神经症状或肝功能异常者,6例)和无症状组(34例)。
对WD携带者及患者进行MRI平扫及SWI检查。采用1.5T Philips Achieva Nova Dual Plus超导MR扫描仪和8通道SENSE Head线圈。扫描序列是3D-FFE序列,TR/TE:60 ms/40 ms,NSA:1,FOV:240 mm×240 mm,FA:18,分辨率:1 mm×1 mm×0.5 mm。使用SPIN软件对原始相位图像进行高通滤波,使用64×64的低通滤波器,用原始图像除以滤波后的K空间数据得到校正相位图。选取苍白球、尾状核头、壳核、丘脑、黑质5个感兴趣区(region of interest,ROI)。ROI的设置由两位经验丰富的神经影像学医师进行。各个感兴趣区在显示最清楚的层面固定位置进行选取,每个ROI为20 mm2。SWI采集时分别获得强度和相位的信息,得到强度图和相位图。分别测量各感兴趣区SWI相位值(correctedphase,CP)。
有症状的WD携带者及WD患者接受青霉胺治疗,治疗剂量为750 mg/d。连续14 d。疗程结束时进行神经系统症状评分、复查肝功能、铜代谢指标。青霉胺治疗结束后,有症状的WD携带者予以葡萄糖酸锌(5粒/次,3次/d)维持治疗3个月。疗程结束后复查肝功能、神经症状评分。
检查结果用
±s表示。WD携带者、患者、健康对照指标比较用t检验和方差分析法。用SPSS 13.0软件进行统计学分析。
WD携带者的基因型如下:2333G>T:5例;2755C>G:3例;2975C>T:6例;2604delC:3例;51+2 T>G:1例;2621C>T:2例;1531C>T:1例;3008C>T:4例;3818C>A:3例;3426G>C:4例;1708-1G>C:1例;1168A>G:1例;3443T>C:5例;3140A>T:1例。
WD携带者中,有临床症状者为6例,其中5例有神经症状,4例有肝功能异常。3例携带者同时有神经症状和肝功能异常(表1)。

WD携带者、WD患者及健康对照的基本情况对比表
WD携带者、WD患者及健康对照的基本情况对比表
| 补充栏头 | 有症状的携带者 | 无症状的携带者 | WD患者 | 健康对照 | |
|---|---|---|---|---|---|
| 例数 | 6 | 34 | 40 | 20 | |
| 性别(男/女,例) | 4/2 | 17/17 | 22/18 | 10/10 | |
年龄(年, ± s) | 32±9 | 32±9 | 20±6 | 22±3 | |
病程(月, ± s) | 20±6 | - | 18±3 | - | |
改良Young量表(分, ± s) | 3.1±1.4a | 0a | 21.1±5.5 | - | |
| Child分级 | A级(例) | 4 | 0 | 28 | - |
| B级(例) | 0 | 0 | 11 | - | |
| C级(例) | 0 | 0 | 1 | - | |
SCL-90(分, ± s) | 110±5a | 108±3a | 144±13 | 106±9 | |
HAMA(分, ± s) | 13.1±4.3ab | 8.3±2.2a | 25.1±3.2 | 7.6±2.7 | |
HAMD(分, ± s) | 8.2±3.0a | 7.8±1.2a | 20.3±4.5 | 6.4±2.8 | |
注:与WD患者比较,aP≤0.05;与健康对照比较,bP≤0.05;-:健康对照无神经症状,肝功能正常
角膜K-F环:所有携带者未发现角膜K-F环。
神经系统症状:WD携带者中4例出现轻微肢体震颤(该4例携带者已排除甲亢;震颤症状对趋铜药物反应良好,不支持特发性震颤诊断),1例出现轻微言语不清。
精神症状:经过t检验,有症状的WD携带者HAMA量表得分高于健康对照(P=0.021)。WD携带者SCL-90、HAMA、HAMD量表得分低于WD患者。
肝功能:4例WD携带者出现肝功能异常:天冬氨酸转氨酶(AST):(39±5)U/L,丙氨酸转氨酶(ALT):(55±3)U/L,谷氨酰转肽酶(GGT):(30±4)U/L。WD携带者腹部B超未发现异常。
85%(34例)携带者铜蓝蛋白低于0.26 g/L,6例无症状的携带者铜蓝蛋白水平在正常值范围。WD携带者铜蓝蛋白高于WD患者(P=0.033),低于健康对照(P=0.026)。有症状的WD携带者铜蓝蛋白水平低于无症状携带组,但差异无统计学意义。
80%(32例)携带者的血清铜水平介于健康对照和WD患者水平之间,8例携带者的血清铜水平在正常范围。WD携带者血清铜水平高于WD患者(P=0.015),但血清游离铜水平低于WD患者(P=0.019)。有症状WD携带者血清游离铜水平略高于无症状携带者。
WD携带者尿铜水平较WD患者低(P=0.039),无症状携带者与健康对照对比,差异无统计学意义,有症状携带者尿铜水平高于健康对照(P=0.047)(表2)。

WD携带者、WD患者及健康对照铜、铁代谢结果(
±s)
WD携带者、WD患者及健康对照铜、铁代谢结果(
±s)
| 组别 | 例数 | 铜蓝蛋白(g/L) | 血清铜(mg/L) | 游离铜(mg/L) | 尿铜(μg/24 h) | 血清铁(μmol/L) | |
|---|---|---|---|---|---|---|---|
| 有症状的WD携带者 | 6 | ||||||
| 治疗前 | 0.17±0.02ab | 0.58±0.09ab | 0.05±0.01ab | 80±12ab | 22.1±1.1 | ||
| 治疗后 | 0.17±0.03ab | 0.59±0.07ab | 0.06±0.01ab | 179±97ab | 21.3±3.0 | ||
| 无症状的WD携带者 | 34 | 0.20±0.08ab | 0.67±0.10b | 0.04±0.01b | 36±19b | 21.1±2.0 | |
| WD患者 | 40 | ||||||
| 治疗前 | 0.07±0.02a | 0.27±0.07a | 0.17±0.04 | 199±93a | 25.3±4.0a | ||
| 治疗后 | 0.07±0.02a | 0.35±0.08a | 0.23±0.01 | 977±430a | 21.6±2.7 | ||
| 健康对照 | 20 | 0.26±0.01 | 0.81±0.10 | 0.03±0.01 | 42±29 | 21.2±2.3 | |
注:与健康对照比较,aP≤0.05;与WD患者比较,bP≤0.05
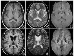
2例有神经症状的WD携带者,SWI苍白球、壳核、丘脑有稍低信号。其余WD携带者脑部MRI及SWI未发现异常(图1)。


有症状的WD携带者丘脑、苍白球、壳核SWI相位值(CP值)较健康对照降低,但差异无统计学意义。有症状WD携带者黑质、尾状核、壳核部位CP值高于WD患者(P=0.032,0.028,0.029),无症状WD携带者黑质、丘脑、尾状核、苍白球、壳核CP值高于WD患者(P=0.044,0.039,0.043,0.020,0.031)(表3)。

WD携带者及WD患者CP值(
±s)
WD携带者及WD患者CP值(
±s)
| 组别 | 例数 | 黑质 | 丘脑 | 尾状核 | 苍白球 | 壳核 | 小脑 |
|---|---|---|---|---|---|---|---|
| 有症状WD携带者 | 6 | 2 001±29b | 2 003±30 | 2 048±32b | 1 899±44 | 2 012±27b | 2 121±32 |
| 无症状WD携带者 | 34 | 2 008±43b | 2 114±27b | 2 059±71b | 2 007±60b | 2 097±35b | 2 200±76 |
| WD患者 | 40 | 1 739±67a | 1 909±19a | 1 823±47a | 1 740±45a | 1 768±43a | 2 077±35 |
| 健康对照 | 20 | 2 015±63 | 2 129±41 | 2 088±62 | 2 019±52 | 2 071±51 | 2 169±13 |
注:与健康对照比较,aP≤0.05;与WD患者比较,bP≤0.05
6例有症状WD携带者青霉胺治疗后,血清铜无明显改变,尿铜较治疗前增高(P=0.036)(表2)。
4例有肝功能异常的携带者经过青霉胺治疗,2例肝酶恢复正常水平。葡萄糖酸锌维持治疗3个月后,4例携带者的肝酶恢复正常。
5例有神经症状的携带者治疗前改良Young量表评分为(4.0±0.9)分,经过青霉胺治疗,2例肢体震颤减轻。改良Young量表评分为(2.1±0.8)分,较治疗前降低(P=0.025)。葡萄糖酸锌的维持3个月后,5例携带者改良Young量表评分为(1.8±0.5)分,较治疗前降低(P=0.031)。
WD是一种隐性遗传疾病,ATP7B基因的两个等位基因异常时,导致ATP7B蛋白合成障碍,出现铜代谢障碍,引起铜沉积的临床症状。肝豆状核变性携带者,只有1个等位基因异常[4]。WD的发病率是1∶30 000,携带者的比例为1∶90[4,5,6]。目前WD的治疗效果不佳,WD患者多出现严重残疾甚至死亡。减少携带者之间的婚配,是预防肝豆状核变性的关键。能否找到有效的生化指标,辅助WD携带者的诊断,是本研究的目的之一。另外,WD携带者有无症状,是否需要治疗,尚无统一认识。我们对WD携带者的临床表现、铜代谢指标、影像学特点、对治疗的反应,进行了研究。试图为WD携带者的诊断、预后、治疗策略提供依据。
WD携带者有无临床症状,目前认识并不统一。有研究认为,因携带者只有一个隐性致病基因,故终生不发病,没有肝脏或神经症状,无K-F环,无需治疗[7]。也有研究认为,部分携带者有转氨酶轻微升高,但B超未发现异常[4]。与既往报道不同,我们的研究发现,少数WD携带者会出现临床症状,其中最容易出现的神经症状是震颤。但是WD携带者的神经症状程度较轻。另外,4例携带者出现肝酶异常,但肝功能损伤程度较轻,B超未发现异常。70%~80%[8,9]WD患者伴有精神症状。我们发现,部分WD携带者会出现轻度精神症状,以轻微焦虑症状为主。
WD携带者出现临床症状的原因,目前尚不清楚。尚不能明确携带者是否有正常的能力处理多余的铜[5]。有研究认为,携带者处理多余铜的方式有异于常人[5]。由于ATP7B基因功能的部分下降,铜缓慢沉积[6],WD携带者更易于出现神经退行性变和认知功能减退[4,6]。携带者在基底节有缓慢的铜沉积,但是较纯合子的速度慢[6]。我们的研究中,少数WD携带者出现了临床症状,提示这些WD携带者的铜累积,已经超过了亚临床水平。有临床症状的携带者,铜蓝蛋白、血清铜水平较无症状的携带者低。这些携带者铜代谢异常明显的原因,可能与基因型有关。尚需扩大样本量进一步研究。
WD携带者的生化指标是否有异常,目前并无统一认识。有研究认为,WD携带者生化检查无异常[7]。也有研究认为,WD携带者可出现与患者相似的生化异常,6.0%~56.2%携带者出现血清铜蓝蛋白轻度降低[4,10]。本研究中,WD携带者的铜蓝蛋白异常率达85%,高于既往报道。WD携带者有较高铜蓝蛋白异常率,提示铜蓝蛋白可以作为辅助WD携带者诊断的重要依据。WD携带者的铜蓝蛋白介于正常值和WD诊断标准之间,故可将0.14~0.26 g/L作为WD杂合子的诊断标准之一。有症状的WD携带者铜蓝蛋白水平略低于无症状的WD携带者,提示铜蓝蛋白的水平,可能是提示临床症状出现与否的指标。有报道,WD携带者血清铜低于正常,但高于患者[7]。本研究同样发现,80%WD携带者血清铜下降。WD携带者的血清铜在正常和患者之间,血清铜也是WD携带者诊断的重要依据之一。现在认为,WD的发病机制是游离铜的毒性作用[11]。我们发现,WD携带者血清铜降低,而血清游离铜明显升高,但仍低于WD患者水平。该结果支持WD携带者有轻微毒性游离铜超载。同时,有症状的WD携带者血清游离铜略高于无症状者,提示毒性铜的含量越高,越容易出现临床症状。WD携带者的尿铜介于正常和患者之间,具有辅助诊断的意义。WD携带者铜的轻度积累,导致铜在肝、脑、肾等器官的沉积。有研究,WD携带者有脑部损伤[4],但是常规影像学难以发现异常信号。头部代谢影像学可发现携带者苍白球和丘脑的Glx/Cr和Lip/Cr高于正常,提示脑内神经胶质细胞增生、脂类物质释放、能量代谢异常[4]。我们发现,2例有症状的WD携带者SWI成像上出现低信号。SWI是检测脑部金属沉积的有效方法,相位值的改变,可作为测定金属浓度的非侵入性方法[12,13,14,15]。WD患者脑部核团低信号以及相位值改变,可能是铜和铁共同作用的结果。我们发现,有症状的WD携带者丘脑、苍白球、壳核相位值较健康对照降低,提示WD携带者脑部核团有金属沉积。WD携带者脑部核团金属沉积明显低于WD患者,可能是WD携带者未出现神经症状或症状较轻的原因。有症状的WD携带者CP值较无症状携带者降低(但差异无统计学意义),携带者脑部金属沉积量的差异,可能是是否出现神经症状的原因。
对于WD携带者是否需要治疗,目前无统一认识。有研究认为,WD携带者应当推荐低铜饮食[4],治疗应排除多余的铜和铁[6]。在肝酶升高的携带者中,锌剂的治疗是可以考虑的[4]。对于有临床症状的携带者,我们采用了短期青霉胺,葡萄糖酸锌维持的治疗方法。我们发现,有症状的WD携带者,经过排铜治疗后,尿铜增加,提示金属螯合剂可以排除WD携带者体内轻度沉积的铜。葡萄糖酸锌的维持治疗,可以使WD携带者的神经症状减轻,肝功能恢复正常。对于有症状的WD携带者,可以采用间断葡萄糖酸锌的治疗方式。
综上所述,WD携带者有轻度铜代谢异常,包括铜蓝蛋白、血清铜轻度下降,血清游离铜、尿铜轻度升高,可以作为携带者的辅助诊断指标。少数携带者会出现肢体震颤等神经症状,或肝酶异常等肝脏症状。出现症状的WD携带者,铜代谢异常较无症状的WD携带者更严重。有症状的WD携带者,可以采用葡萄糖酸锌治疗。
所有作者均声明不存在利益冲突

± s)
± s)
± s)
± s)
± s)
± s)



















