
探讨磁共振引导聚焦超声术(MRgFUS)非侵入性消融子宫肌瘤及腺肌症的效果和安全性,并分析其差异。
前瞻性分析2017年2月至2018年7月于佛山市中医院拟行MRgFUS治疗的子宫肌瘤或腺肌症患者共61例(肌瘤36例,腺肌症25例),均为女性,年龄27~48(39±5)岁。记录治疗情况、治疗效果和术后不良反应,并比较肌瘤和腺肌症患者的差异。
肌瘤组和腺肌症组完成治疗者分别为32例(88.9%)和21例(84.0%)(P>0.05)。腺肌症组靶点能量为1 039~5 698(2 852±991)J,高于肌瘤组的600~6 466(2 485±1 137)J,差异有统计学意义(P<0.01);两组的靶点温度、消融时间差异均无统计学意义(均P>0.05)。肌瘤组和腺肌组非灌注体积比(NPVR)分别为54%~99%(84%±15%)和60%~98%(82%±12%),差异无统计学意义(P>0.05);腺肌症组消融效率为0.8~4.3(2.1±0.9)cm3/min,低于肌瘤组的1.3~7.8(3.6±1.5)cm3/min(P<0.01)。腺肌组术后不良反应发生率为47.6%(10/21),高于肌瘤组18.8%(6/32)(P<0.05)。
MRgFUS安全、非侵入性治疗子宫肌瘤和子宫腺肌症是可行的,均能获得较好的消融效果。相对于子宫肌瘤而言,子宫腺肌症MRgFUS治疗存在所需能量较高、消融效率较低、不良反应较多等不足之处,需要进一步进行技术优化。
版权归中华医学会所有。
未经授权,不得转载、摘编本刊文章,不得使用本刊的版式设计。
除非特别声明,本刊刊出的所有文章不代表中华医学会和本刊编委会的观点。
子宫肌瘤和子宫腺肌症是常见的子宫良性病变,可导致较明显的临床症状,影响育龄期妇女的生活质量[1,2],需要进行积极干预。磁共振引导聚焦超声术(magnetic resonance guided focused ultrasound surgery,MRgFUS)是一种新兴的热消融手术[3,4,5,6],相对于传统手术具有非侵入性、术后恢复时间短等优势,相对于超声引导聚焦超声(HIFU)又有精确监测和实时测温的技术优点,保证了治疗的安全性和效果,具有良好的应用前景。目前,该技术在国内应用时间较短,虽然在子宫肌瘤治疗方面已有初步的研究[4],并积累了一些临床经验,但子宫腺肌症的治疗在国内鲜有报道,国外的报道也尚少,其技术特点、不良反应等方面的经验还很欠缺。广州中医药大学附属佛山市中医院自2017年2月至2018年7月,采用MRgFUS完成了一组子宫肌瘤和腺肌症患者的治疗,初步分析其消融治疗的可行性和安全性,并通过二者比较探讨腺肌症MRgFUS消融的技术特点和不足,报道如下。
本研究为前瞻性分析。受试者为2017年2月至2018年7月在佛山市中医院就诊的子宫肌瘤或子宫腺肌症女性患者61例,年龄27~48岁,平均(39±5)岁。根据病灶分为子宫肌瘤组和子宫腺肌症组,其中3例为肌瘤合并腺肌症患者中,1例仅治疗肌瘤,归为子宫肌瘤组,2例仅治疗腺肌症,归为子宫腺肌症组。
育龄期症状性子宫肌瘤和(或)子宫腺肌症患者,并经MRI证实;患者可以清晰地表达治疗中的感受并与医师交流;单个病灶最大直径2.5~10.0 cm,并且数量<10个(对于多发肌瘤患者,仅纳入肌瘤最大直径≥2.5 cm的病灶)。
妊娠;确诊或怀疑生殖系统恶性肿瘤或癌前病变;活动期盆腔感染;BMI>30 kg/m2;位于宫颈的肌瘤或腺肌症;子宫前方声通路上有肠管阻挡预计不能通过技术处理推开;声通路上广泛腹壁瘢痕;前腹壁皮下脂肪厚度>4.0 cm;MRI检查禁忌证。
本研究获得佛山市中医院医学伦理委员会批准,所有患者术前签署知情同意书。
3.0 T MRI仪(Discovery 750W,美国GE公司);MRgFUS治疗系统(ExAblate 2100,以色列InSightec公司);促性腺激素释放激素激动剂(gonadotropin -releasing hormone agonist,GnRH-a;达菲林,法国Ipsen公司;诺雷德,英国AstraZeneca公司);钆特酸葡胺(中国恒瑞医药)。
子宫腺肌症患者术前进行2~4个周期的GnRH-a预处理,预处理结束的标准为MRI T2WI图像显示病灶信号低于或类似于周围肌层、边缘较清晰。
患者俯卧位治疗。治疗过程中由麻醉医师予镇静、镇痛处理并全程监护。治疗由2位放射科医师完成。首先将患者矢状面、横轴面和冠状面T2WI图像导入操作工作站,规划需要治疗的病灶区域,由电脑自动规划治疗的靶点(spot)。治疗医师逐个靶点进行治疗,期间通过动态解剖图和温度图,实时观察声通路中主要结构和病灶的温度变化,若非治疗区域如皮肤、肠管或骶骨等出现异常的温度时停止能量发射。治疗终点为完成所有适合治疗的靶点。
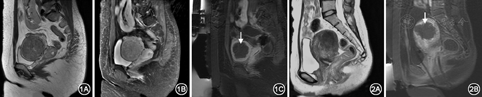
治疗结束后静脉注射钆特酸葡胺进行增强扫描,病灶中不强化的区域称为非灌注区(图1),其病理基础为凝固性坏死[7]。采用累积体积法计算子宫肌瘤或腺肌症体积和非灌注体积(nonperfused volume,NPV),NPV与子宫肌瘤或子宫腺肌症总体积的比值为非灌注体积比(nonperfused volume ratio,NPVR)。计算消融效率,计算公式为:消融效率=NPV/超声辐照时间,超声辐照时间为该患者治疗中超声持续发射时间之和。


术后开始收集患者出现的不良反应,并记录其治疗情况至症状消失。
采用SPSS 19.0软件进行统计学分析,P<0.05为差异有统计学意义。采用独立样本t检验比较子宫肌瘤组和子宫腺肌症组主要治疗参数的差异,采用χ2检验比较两组的治疗完成率和术后不良反应发生率的差异。
终止治疗者8例,包括肌瘤组4例和腺肌症组4例,原因:1例病灶前方有肠管阻挡,经肠管处理仍无安全治疗路径;6例升温不佳,试验治疗10~15个靶点中有80%以上的靶点温度未能上升至65 ℃或以上,预计消融效果较差;1例使用较低的治疗能量即出现明显下肢疼痛,为防止骶神经不可逆损伤予以终止治疗。完成MRgFUS治疗者53例,包括肌瘤组32例和腺肌症组21例,治疗完成率分别为88.9%和84.0%(χ2=0.31,P>0.05,Fisher的精确检验)。肌瘤组和腺肌症组主要治疗参数见表1。肌瘤组和腺肌症组的NPVR均>50%(图1,图2)。

肌瘤组和腺肌症组的MRgFUS治疗主要参数(
±s)
肌瘤组和腺肌症组的MRgFUS治疗主要参数(
±s)
| 组别 | 例数(n) | 病灶体积(cm3) | 消融治疗时间(min) | 治疗能量(J) | 靶点温度(℃) | 非灌注体积比(%) | 消融效率(cm3/min) |
|---|---|---|---|---|---|---|---|
| 肌瘤组 | 32 | 108±89 | 179±76 | 2 485±1 137 | 66±9 | 84±15 | 3.6±1.5 |
| 腺肌症组 | 21 | 54±38 | 168±56 | 2 852±991 | 66±9 | 82±12 | 2.1±0.9 |
| t值 | 3.04 | 0.58 | -10.06 | -0.78 | 0.56 | 4.41 | |
| P值 | 0.004 | 0.562 | <0.01 | 0.435 | 0.576 | <0.01 | |
所有患者治疗结束后均处于清醒状态,且能自行行走。肌瘤组和腺肌症组分别有6例和10例患者出现1项或1项以上的不良反应,发生率分别为18.8%(6/32)和47.6%(10/21),差异有统计学意义(χ2=5.01,P=0.025)。治疗及随诊中无膀胱损伤、肠管损伤等严重不良反应发生。两组的各种不良反应发生情况见表2,具体表现和治疗情况如下:(1)皮肤局部红斑7例,无明显水泡形成,外敷对症治疗1周内缓解;(2)皮肤硬结3例,外敷对症治疗2周后缓解;(3)术后阴道排液8例,清亮淡黄色或粉红色、无异味,均为黏膜下肌瘤患者或腺肌症患者,经观察不伴有发热或下腹痛表现,未作特殊处理,持续2周至1个月消失者4例,持续1~2个月消失者4例;(4)阴道血性分泌物2例,量少,1例肌瘤患者为月经来潮所致,1例腺肌症患者为MRgFUS治疗时毁损部分内膜所致,2周后消失;(5)术后下腹疼痛2例,程度较轻,1例考虑与术后骑行运动有关,1例考虑与治疗有关,经休息后当天缓解;(6)单侧下肢麻木5例,1例腺肌症患者症状在术后当天出现,经治疗8周后缓解,其余4例术后3~6 d出现,经治疗后在1例1~2周缓解,3例1周内缓解;(7)尿路感染1例,考虑插管所致,抗炎治疗3 d后缓解。所有患者治疗后均未出现严重后遗症。

肌瘤组和腺肌症组MRgFUS治疗的主要不良反应[例(%)]
肌瘤组和腺肌症组MRgFUS治疗的主要不良反应[例(%)]
| 组别 | 例数(n) | 皮肤红斑 | 皮肤硬结 | 阴道排液 | 血性分泌物 | 下腹疼痛 | 下肢疼痛/麻木 | 尿路感染 |
|---|---|---|---|---|---|---|---|---|
| 肌瘤组 | 32 | 2(6.2) | 1(3.1) | 4(12.5) | 1(3.1) | 1(3.1) | 1(3.1) | 0(0) |
| 腺肌症组 | 21 | 5(23.8) | 2(9.5) | 4(19.0) | 1(4.8) | 1(4.8) | 4(19.0) | 1(4.8) |
MRgFUS治疗的理想结局是消融效率高,而不良反应少。本组53例患者平均NPVR超过80%,表明MRgFUS治疗子宫肌瘤和子宫腺肌症均能获得较好的消融效果。虽然本研究主要探讨消融技术上的可行性和安全性,尚未收集中长期随访的临床症状资料,但国内外的研究已经显示,NPVR与治疗的预后是正相关的[1,6],本组消融率高,也有望获得较好的临床疗效。MRgFUS不良反应主要与能量异常累积有关[8],如阴道排液、皮肤轻度烫伤、骶神经症状等,一般无需处理或短时间对症处理可缓解。既往有报道显示MRgFUS偶尔导致皮肤Ⅱ度以上烧伤、肠管损伤和膀胱损伤等严重并发症[3,9],可能与早期的技术不完善和经验欠缺有关。本组中未有此类严重的并发症,也未出现严重的后遗症,提示随着临床经验的积累和技术的改进,MRgFUS治疗是安全可靠的。
由于子宫肌瘤和腺肌症病灶特征不同,其消融效果和不良反应也存在差异。本组子宫肌瘤的消融效率较高,可能与肌瘤周围的包膜能够限制能量扩散,使能量容易沉积有关,也可能与肌瘤组织对热能较为敏感有关。与子宫肌瘤不同的是,腺肌症病灶缺乏包膜限制,其内血供丰富的腺体组织也不利于能量沉积,因此温度上升较肌瘤困难。为了改善升温的难题,我们借鉴超声引导聚焦超声的经验,应用GnRH-a预处理抑制腺体和减少血供[10],同时增加治疗靶点的密度和能量,结果显示经过上述综合处理,MRgFUS治疗子宫腺肌症也可以获得与肌瘤相近的NPVR。然而,增加靶点密度和治疗能量是一把"双刃剑",在提高消融效果的同时,不可避免会降低治疗效率,更重要的是还可能导致更多、更严重的不良反应,特别是骶神经损伤等相对较严重的不良反应,是制定治疗方案时应当权衡并重视的问题,避免过度追求消融效果导致严重损伤。
综上所述,MRgFUS安全、非侵入性治疗子宫肌瘤和子宫腺肌症是可行的,均能获得较好的消融效果。但相对于子宫肌瘤而言,子宫腺肌症MRgFUS治疗存在所需能量较高、消融效率较低、不良反应较多等不足之处,仍是治疗的难点,需要进一步技术优化,以提高治疗效果和安全性。此外,消融后病灶的转归和临床疗效也有待后期随访进一步验证。
所有作者均声明不存在利益冲突





















