
分析嗜酸性肉芽肿性多血管炎(EGPA)的临床特征。
回顾性分析2005年8月至2017年4月中日友好医院诊治的30例EGPA患者的临床资料,包括临床表现、实验室检查、影像学检查、病理学表现等。
30例患者中男9例,女21例,年龄(44.5±13.9)岁。26例(86.7%)患有支气管哮喘(简称哮喘),病程45.0(20.0,78.7)个月,以哮喘为首发表现者15例(50.0%)。患有鼻炎/鼻窦炎者27例(90.0%),累及皮肤13例(43.3%)、神经系统10例(33.3%)、心脏8例(26.7%)、肾脏3例(10.0%)、消化系统3例(10.0%)。外周血嗜酸性粒细胞>10%者23例(76.7%);抗中性粒细胞抗体阳性者3例(10.0%),以核周型抗中性粒细胞胞质抗体(p-ANCA)为主。胸部影像多表现为一过性肺浸润影,形态主要表现为磨玻璃影者21例(70.0%)。病理表现为血管外嗜酸性粒细胞浸润、血管炎及血管外肉芽肿,后两者较少见。
EGPA女性多见,临床表现复杂多样,缺乏特异性。
版权归中华医学会所有。
未经授权,不得转载、摘编本刊文章,不得使用本刊的版式设计。
除非特别声明,本刊刊出的所有文章不代表中华医学会和本刊编委会的观点。
嗜酸性肉芽肿性多血管炎(EGPA)是一种主要累及中、小动脉和静脉的系统性坏死性血管炎,病理特征为受累组织有大量嗜酸性粒细胞浸润和血管外肉芽肿形成及坏死性血管炎,属于抗中性粒细胞胞质抗体(ANCA)相关性系统性血管炎。该病具有支气管哮喘(简称哮喘)、嗜酸性粒细胞增高、血管外肉芽肿、坏死性血管炎的特征[1,2]。我国哮喘患者群体大且近年哮喘患病率有增长趋势[3],相当大群体有发展成EGPA的风险,单纯性哮喘与EGPA的早期症状很难鉴别,临床医师需要有系统性疾病诊断的敏感性。本研究对中日友好医院近年诊治的EGPA患者的临床资料总结分析如下。
2005年8月至2017年4月在中日友好医院住院诊治的30例EGPA患者的临床资料。
均符合1990年美国风湿病协会(ACR)的EGPA诊断标准[2]:(1)哮喘;(2)外周血嗜酸性粒细胞增多>10%;(3)单神经病变,多发单神经病变或多神经病变;(4)X线表现为非固定性肺部浸润;(5)鼻窦炎;(6)活检提示血管外嗜酸粒细胞浸润。符合≥4条可确诊。
设计调查表,填写诊断及治疗中的医疗记录,系统地收集数据,包括流行病学特征、临床表现、实验室检查资料、影像学资料、治疗及随访情况。
利用伯明翰血管炎活性评分(BVAS-2003)[4]进行活动性评估,评估患者过去4周内由于血管炎病情活动而引起的脏器损害(如新近出现蛋白尿、血尿、肾功能不全)或原有脏器损害近期加重进行评分,各系统评分有各自高限,总分为63分,≥15分提示疾病活动。将评分在数据库中进行记录。
采用五因子评分(FFS)系统[5]评价预后,即:(1)蛋白尿>1 g/d;(2)血肌酐升高>140 μmol/L;(3)消化道受累,如肠缺血,肠穿孔等;(4)心脏受累,如扩张性心肌病、心力衰竭等;(5)中枢神经系统受累。每1项计1分,计分时除外非疾病活动导致的表现,计分越高,预后越差。通过电话及患者门诊或住院病历随诊随访。
采用SPSS 19.0统计软件进行统计数据处理。正态分布的计量资料用
±s表示,组间比较采用t检验;偏态分布的数据用M(Q1,Q3)表示,组间比较采用U检验;计数资料以例数(百分比)表示。P<0.05为差异有统计学意义。
30例患者中男9例,女21例,男女比例1∶2.3;确诊时年龄(44.5±13.9)岁(范围:17~68岁),其中女性年龄低于男性[(41.7±13.0)比(51.0±14.0)岁](P=0.101);总体分布较多的年龄段为31~50岁,有14例(46.7%);以哮喘首发表现者15例(50.0%),以鼻窦炎-鼻炎首发者11例(36.7%),皮疹表现首发者4例(13.3%)(表1)。

30例嗜酸性肉芽肿性多血管炎患者系统性表现及临床特征分布情况
30例嗜酸性肉芽肿性多血管炎患者系统性表现及临床特征分布情况
| 受累系统和器官 | 临床特征 | 分布[例(%)] | |
|---|---|---|---|
| 全身症状 | 发热,体温≥38.5 ℃;关节肌肉酸痛;体重下降 | 7(23.3) | |
| 呼吸系统 | |||
| 哮喘 | 从发作至确诊时间跨度大(4~180个月) | 26(86.7) | |
| 鼻炎/鼻窦炎 | 多组鼻窦受累,其中上颌窦均受累,其次为蝶窦 | 27(90.0) | |
| 肺累及 | CT证实一过性肺浸润影,主要表现为磨玻璃影 | 27(90.0) | |
| 神经系统 | 10(33.3) | ||
| 外周神经 | 主要表现为肢体麻木 | 9(30.0) | |
| 中枢神经 | 颈髓脱髓鞘,胸椎脊髓空洞症 | 1(3.3) | |
| 耳 | 听力下降,中耳炎 | 7(23.3) | |
| 眼 | 过敏性结膜炎、突发视物模糊 | 3(10.0) | |
| 心脏 | 心律失常(预激综合征、传导阻滞)、心功能不全和心包积液 | 8(26.7) | |
| 肾脏 | 镜下血尿及蛋白尿、血肌酐升高,或病理证实肾组织存在血管外嗜酸性粒细胞浸润、血管炎、肉芽肿 | 3(10.0) | |
| 消化系统 | 无明确诱因出现的消化道出血、腹胀、腹痛、腹泻、腹水 | 3(10.0) | |
| 皮肤 | 表现为红斑、丘疹、紫癜、皮下结节,皮肤坏死 | 13(43.3) | |
30例患者均有咳嗽咳痰,17例(56.7%)有喘息,4例(13.3%)表现为咯血,1例(3.3%)感胸痛;26例(86.7%)之前诊断为哮喘,哮喘病程时间45.0(20.0,78.7)个月(范围:4~180个月)。在确诊EGPA前女性哮喘病程短于男性[24.0(19.0,88.5)比58.0(20.0,96.0)个月](P=0.627)。
(1)血液学检查:患者外周血嗜酸性粒细胞百分比为(21.6±15.2)%,其中23例(76.7%)>10%,7例之前曾使用过糖皮质激素(简称激素)。外周血嗜酸性粒细胞绝对值中位数为1.45×109/L,最高达6.40×109/L。30例患者均进行ANCA检测,其中3例(10.0%)阳性,均为p-ANCA阳性;有2例表现为髓过氧化物酶(MPO)抗体阳性,这2例中1例为肾脏累及,1例为肺部累及;另1例MPO及PR3(蛋白酶3)抗体均阴性,出现多发神经病变。其他化验结果见表2。(2)肺功能检查:18例行肺功能检查,8例阻塞性通气功能障碍,3例混合性障碍,7例弥散功能障碍,5例小气道功能障碍;另外支气管舒张试验阳性2例,支气管激发试验阳性3例。(3)诱导痰检查:16例行诱导痰检查,诱导痰中嗜酸粒细胞(47.1±25.0)%(范围:10.0%~90.5%)。(4)呼出气一氧化氮(FeNO)检测:13例行FeNO检查(只有1例处于正常范围),结果为52(41,125)ppb(范围23~242 ppb)(1 ppb=1×10-9)。(5)支气管肺泡灌洗液:共有13例支气管肺泡灌洗液检查,其中12例嗜酸粒细胞高于正常值,13例嗜酸粒细胞百分比(44.9±28.1)%(范围:0.5%~95.0%)。

30例嗜酸性肉芽肿性多血管炎患者其他相关血液学检查结果
30例嗜酸性肉芽肿性多血管炎患者其他相关血液学检查结果
| 项目 | 参检(例) | 异常(例) | 异常率(%) |
|---|---|---|---|
| IgE | 23 | 20(↑) | 86.9 |
| ESR | 29 | 8(↑) | 27.6 |
| CRP | 27 | 11(↑) | 40.7 |
| C3/C4 | 13 | 5(↓) | 38.5 |
| RF | 8 | 2(↑) | 25.0 |
注:IgE:免疫球蛋白E;ESR:红细胞沉降率;CRP:C反应蛋白;C3/C4:补体3/补体4;RF:类风湿因子
10例行肌电图检查,8例异常,4例胫神经受累,2例腓神经受累,还有尺神经、正中神经受累;其中多发性单神经炎5例,单神经炎3例,均为上下肢外周神经受累。有1例累及中枢神经,核磁表现为颈椎脊髓脱髓鞘并胸椎脊髓空洞症。
30例均行心电图,其中8例(26.7%)异常,包括心动过速4例,临界Q波1例,预激综合征1例,传导阻滞2例。11例(36.7%)行心脏超声检查,7例表现异常,其中左室舒张功能不全2例,心包积液1例,瓣膜关闭不全4例。
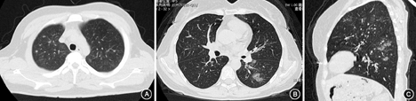
30例患者中27例(90.0%)行胸部CT检查,其中CT平扫18例,高分辨率CT(HRCT)扫描9例。主要表现为磨玻璃影、肺结节影、支气管壁增厚、支气管扩张、胸膜增厚、肺实变、肺不张。肺外影像学表现中最常见纵隔淋巴结增大,有3例出现浅表淋巴结增大,主要分布在颈部、腋窝、腹股沟区(图1,表3)。

30例嗜酸性肉芽肿性多血管炎患者胸部CT形态学表现[例(%)]
30例嗜酸性肉芽肿性多血管炎患者胸部CT形态学表现[例(%)]
| 形态学表现 | 分布结果 |
|---|---|
| 磨玻璃影 | 21(70.0) |
| 肺结节 | 7(23.3) |
| 支气管壁增厚、支气管扩张 | 6(20.0) |
| 胸膜增厚 | 3(10.0) |
| 肺不张 | 2(6.7) |
| 肺实变 | 2(6.7) |
| 纵隔淋巴结增大 | 10(33.3) |
| 肺门淋巴结增大 | 2(6.7) |
| 心包积液 | 3(10.0) |
| 胸腔积液 | 1(3.3) |


注:A:双肺小结节影和磨玻璃影(CT平扫);B:左肺下叶磨玻璃样改变(高分辨率CT);C:左肺磨玻璃样改变和支气管壁增厚、支气管扩张(高分辨率CT)
共得到28份病理结果。病理分别取自肺、皮肤、鼻腔黏膜、淋巴结、肾脏、消化道、唇腺,其中病理表现为血管外嗜酸性粒细胞浸润26例(92.9%)、肉芽肿3例(10.7%)、血管炎1例(3.6%)。有1例肾衰患者肾组织活检可见血管炎、嗜酸性粒细胞浸润与肉芽肿3种病理类型同时存在。肺组织主要病理学表现见图2。


注:A:血管壁纤维素样坏死,血管壁及血管周围大量嗜酸性粒细胞浸润(HE ×400);B:血管外可见较多嗜酸性粒细胞浸润(HE ×400)
根据BAVS,有7例(23.3%)患者评分>15分(范围:16~25分),处于活动期。
30例患者的预后评价及治疗转归情况见表4。失访4例,余26例随访时间10.0(5.0,22.8)个月(范围:2~108个月)。在治疗随访过程中,有1例缓解后,新发IgG4相关疾病并噬血细胞综合征死亡;余25例患者中,6例出现缓解后复发,复发主要指原有脏器病变加重或出现新的脏器病变,增加激素用量或联合免疫抑制剂后仍可缓解。

30例嗜酸性肉芽肿性多血管炎患者的预后评价及治疗转归
30例嗜酸性肉芽肿性多血管炎患者的预后评价及治疗转归
| FFS | 例数 | 初始治疗 | 转归 |
|---|---|---|---|
| 0分 | 27 | 激素(25例) | 缓解(19例),失访(2例),复发(4例) |
| 激素+羟氯喹(1例) | 失访(1例) | ||
| 激素+来氟米特(1例) | 失访(1例) | ||
| 1分 | 2 | 激素+环孢素(1例) | 死亡(1例) |
| 激素+麦考酚酯(1例) | 复发(1例) | ||
| 2分 | 1 | 激素+环磷酰胺+血浆置换+丙种球蛋白(1例) | 复发(1例) |
注:FFS:五因子评分;激素:糖皮质激素
EGPA是一种少见病,文献报道发病年龄在4~74岁,高峰年龄38~54岁[6,7,8];无性别优势或种族倾向性[9]。Comarmond等[10]发现和男性患者相比,女性患者在发病年龄上更年轻,在诊断EGPA之前有一个更长的哮喘病程。但在本研究中,与男性患者相比,女性患者数量偏多,确诊年龄偏年轻,在确诊前哮喘病程更短;与文献报道不一致的原因考虑为样本量较少所致。
EGPA病程分3期:前驱期、嗜酸性粒细胞浸润期、血管炎期,各期之间无明显界限[11]。有专家共识提出EGPA可分为局限型及全身型,前者指仅累及肺部和呼吸道(包括耳鼻喉)[12]。大多数局限型患者易误诊为难治性嗜酸性粒细胞性哮喘,应完善胸部影像学。本研究中,患者肺部一过性磨玻璃影最常见,其他常见表现有肺结节影、支气管壁增厚、支气管扩张。肺外表现中以纵隔淋巴结增大多见。有研究总结EGPA肺内病变主要表现为:磨玻璃密度影、实变影、结节影、小叶间隔增厚、支气管壁增厚;肺外病变可见纵隔或肺门淋巴结肿大、单或双侧胸腔积液、心影增大、心包增厚、心包积液等[13]。HRCT可发现X线片不能显示的一些早期病变,且显示EGPA肺内病变的细节优于常规CT,可降低漏诊率。本组27例行胸部CT检查,其中1/3行HRCT检查。
目前EGPA的诊断标准主要应用1990年ACR提出的诊断标准[2]。EGPA的诊断需与喘息样发作性疾病、嗜酸粒细胞增多性疾病及其他类型血管炎相鉴别[12]。在与血管炎的鉴别上,有学者建议可参考"ACR/EULAR 2017肉芽肿性多血管炎分类标准(暂定)"[14];该标准使用"减分制"除外其他小血管炎的诊断,适用于已确定患有中小血管炎的患者,较1990年ACR诊断标准有突破性的进步[14]。有文献统计分析根据该分类标准,一部分EGPA患者需重新归类为肉芽肿性多血管炎[15]。本研究中未发现已诊断为EGPA的患者需归类为其他诊断者。该标准尚未被正式背书,有待进一步验证。
患者初始治疗决定于FFS。FFS=0分者推荐激素单药治疗[16];FFS≥1分者推荐激素联合免疫抑制剂治疗[17]。对于激素及免疫抑制剂治疗失败者,可考虑加用免疫球蛋白及血浆置换治疗。靶向药物、干扰素也有一定的效果,但其更广泛使用需要进一步验证[11]。
EGPA预后一般较好,5年生存率为88.9%~92.0%,10年生存率约为78.6%,ANCA阳性者生存率大于阴性者[10]。EGPA易复发,5年无复发生存率约为64.0%[18],ANCA阳性者无复发生存率大于阴性者;10年无复发生存率约为54.4%[10]。p-ANCA阳性、周围神经病变[19]、初始血清IgE水平过高[18]、外周血嗜酸粒细胞基线水平<3×109/L可能会增加疾病复发的风险;年龄≥65岁可增加死亡风险[19]。
所有作者均声明不存在利益冲突





















