
分析少血供肾脏透明细胞癌的磁共振成像(MRI)表现。
回顾性分析2016年2月至2017年3月解放军总医院符合入选标准的少血供肾脏透明细胞癌患者的临床资料和MRI征象。患者共34例,男28例、女6例,年龄35~80岁,平均年龄49.5岁。根据病灶直径分为直径≤4 cm组和直径>4 cm组,并比较两组间的临床资料和MRI影像特征。
34例患者共34个少血供肾脏透明细胞癌病灶。肿瘤实性成分T2WI呈稍低和等信号31例,呈高信号3例;T1WI呈稍低和等信号29例,高信号5例;扩散加权成像(DWI)10例呈等低信号,24例呈高信号为主。33例肿瘤见假包膜,肿瘤出血12例,坏死9例,囊变22例,含脂质4例。直径≤4 cm组19例,直径>4 cm组15例,其中手术方式和病灶内是否出血在两组间的差异有统计学意义(P<0.05)。
少血供肾脏透明细胞癌MRI的主要表现为T2WI低信号,DWI高信号,较少出现脂质;直径>4 cm病灶手术更多选择腹腔镜肿瘤根治性切除术,肿瘤更容易出血。
版权归中华医学会所有。
未经授权,不得转载、摘编本刊文章,不得使用本刊的版式设计。
除非特别声明,本刊刊出的所有文章不代表中华医学会和本刊编委会的观点。
肾脏透明细胞癌(clear cell renal cell carcinoma, CCRCC)是肾细胞癌亚型中最常见的一类,大多数肾脏透明细胞癌的磁共振成像(MRI)表现比较典型,为富血供占位,不典型的肾脏透明细胞癌容易误诊。本研究通过对34例少血供肾脏透明细胞癌磁共振图像的分析,旨在提高其术前诊断的准确率。
回顾分析2016年2月至2017年3月间在解放军总医院进行肾脏MR平扫+动态增强扫描的患者。本组34例患者共34个少血供肾脏透明细胞癌病灶,男28例、女6例,男女比例为4.67∶1,年龄35~80岁,平均年龄49.5岁。1例患者出现肉眼血尿,5例有腰腹部疼痛,28例无任何临床症状。肿瘤均为单发,位于右肾19例,左肾15例,边界清晰。肿瘤直径1.1~8.0 cm,平均3.57 cm。入组标准:(1)经手术切除病理证实为肾脏透明细胞癌;(2)有完整的术前MRI影像资料;(3)动态增强扫描为少血供病灶(增强各期强化程度均低于正常肾皮质)。排除标准:图像质量不佳,不能用于分析。
9例患者采用美国GE 1.5 T Signal Excite HD MR扫描仪,25例患者采用GE 3.0 T Discovery 750 MR扫描仪,均采用体部表面相控阵线圈,患者取仰卧位,扫描参数:采用呼吸触发脂肪抑制FSE序列T2WI:TR 3 000~6 000 ms;TE 110~115 ms;层厚5~6 mm;层间距1 mm;视野(FOV)36 cm×36 cm~40 cm×40 cm;矩阵224×288~320;DWI:b=800 s/mm2,TR 5 400 ms,激励次数8,层厚、间距及FOV同T2WI;快速梯度回波序列化学位移成像:TR 220~260 ms,TE 4.5~5.8 ms(同相位)、2.2~2.5 ms(反相位),矩阵256×170~192,层厚、层间距及FOV同T2WI;动态增强扫描:采用三维快速扰相梯度回波腹部容积多期动态增强成像序列,首先行脂肪抑制T1WI预扫描,TR 4.6 ms,TE 2.2 ms,40~44层,其中1.5 T扫描仪每次扫描屏气16~18 s,3.0 T扫描仪每次扫描屏气9~11 s,对比剂采用Gd-DTPA,采用高压注射器以1.5 ml/s的速度注射,剂量0.1 mmol/kg,注射对比剂后18~20 s行皮质期扫描,间隔约60 s行髓质期扫描,240 s后行延迟期扫描。
由2名腹部MRI诊断医师独立阅片,不同结果时由二人协商达成一致意见,作为最终结果。观察内容包括:(1)病灶位置:左、右侧;(2)病灶最大径,两名医师分别测量取平均值;(3)T2WI信号,肿瘤实性成分与正常肾皮质信号相比;(4)假包膜:T2WI病变周边环形低信号;(5)T1WI信号,肿瘤实性成分与正常肾皮质信号相比;(6)DWI信号,与正常肾皮质信号相比,高信号的病灶根据形态学分为环形高信号(病灶外周呈高信号,中心呈低信号)、结节样高信号(病灶局部呈高信号)及均匀高信号(病灶整体呈均匀一致高信号);(7)脂质,与正相位比较,反相位图像病灶信号见减低区;(8)出血,T1WI高信号,脂肪抑制T1WI高信号仍存在;(9)坏死,位于肿块中心,T1WI呈均匀低信号,T2WI呈稍高信号或低信号且增强扫描不强化;(10)囊变,T2WI呈高信号,信号类似于脑脊液;动态增强后各期不强化。
34例中9例行腹腔镜肿瘤根治性切除术,25例行腹腔镜肿瘤部分切除术。
采用SPSS 22.0进行统计学分析。采用χ2检验的Fisher确切概率法比较直径≤4 cm和>4 cm两组间的临床资料和肿瘤的MRI特征,P<0.05为差异有统计学意义。
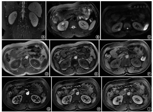
T2WI:31例肿瘤实性成分以等低信号为主(图1A,图1B),3例肿瘤实性成分呈不均匀稍高信号;33例(97.1%)肿瘤出现假包膜。T1WI:29例肿瘤以稍低或等信号为主,5例呈均匀高信号(图1D, 图1E, 图1F, 图1G, 图1H, 图1I);12例(35.3%)肿瘤可见斑片状高信号,提示出血。与正相位图像比较,反相位图像4例(11.8%)肿瘤信号局部减低,提示含脂质成分。22例(64.7%)肿瘤发生囊变;9例(26.5%)肿瘤可见不规则坏死区。DWI:10例(29.4%)肿瘤呈等低信号;24例肿瘤呈高信号为主(占70.6%),其中8例呈环形高信号,12例局部呈结节样高信号,4例肿瘤呈均匀高信号(图1C)。


少血供肾脏透明细胞癌病灶在直径≤4 cm和>4 cm组间的临床资料和肿瘤的MRI特征比较结果(表1,表2)。

少血供肾脏透明细胞癌病灶两组间临床资料的比较(例)
少血供肾脏透明细胞癌病灶两组间临床资料的比较(例)
| 最大径(cm) | 病灶数 | 年龄(岁) | 部位 | 性别 | 首发症状 | 手术方术 | ||||
|---|---|---|---|---|---|---|---|---|---|---|
| 右肾 | 左肾 | 男 | 女 | 有 | 无 | 部分 | 根治 | |||
| ≤4 | 19 | 49±6 | 12 | 7 | 16 | 3 | 2 | 17 | 18 | 1 |
| >4 | 15 | 51±13 | 7 | 8 | 12 | 3 | 4 | 11 | 7 | 8 |
| P值 | 0.600 | 0.489 | 1.00 | 0.370 | 0.004 | |||||

少血供肾脏透明细胞癌病灶两组间MRI特征的比较(例)
少血供肾脏透明细胞癌病灶两组间MRI特征的比较(例)
| 最大径(cm) | 例数 | T2WI信号 | T1WI信号 | 假包膜 | 脂质 | 坏死 | 囊变 | 出血 | DWI | ||||||||||
|---|---|---|---|---|---|---|---|---|---|---|---|---|---|---|---|---|---|---|---|
| 等低 | 高 | 等低 | 高 | 有 | 无 | 有 | 无 | 有 | 无 | 有 | 无 | 有 | 无 | 等低 | 环形 | 结节 | 均匀 | ||
| ≤4 | 19 | 18 | 1 | 16 | 3 | 18 | 1 | 4 | 15 | 4 | 15 | 13 | 6 | 3 | 16 | 8 | 5 | 4 | 2 |
| >4 | 15 | 13 | 2 | 13 | 2 | 15 | 0 | 0 | 15 | 5 | 10 | 9 | 6 | 9 | 6 | 2 | 3 | 8 | 2 |
| P值 | 0.571 | 1.000 | 1.000 | 0.113 | 0.462 | 0.724 | 0.012 | 0.155 | |||||||||||
肾细胞癌是成人中最常见的恶性肾脏肿瘤,其中主要有三种亚型,透明细胞癌约占肾细胞癌的75%,乳头状细胞癌占10%~15%,嫌色细胞癌约占5%。这些不同类型的肾细胞癌显示出独特组织病理学特征、基因表达类型及临床生物学行为[1,2,3]。所以术前正确诊断肾细胞癌类型非常重要。本研究以病灶的血供为出发点,发现少血供的肾脏透明细胞癌极易误诊。少血供肾脏透明细胞癌极易误诊为肾脏非透明细胞癌(即肾脏乳头状癌和肾脏嫌色细胞癌)[4,5],主要因为肾脏非透明细胞癌大多数是少血供,尤其肾脏乳头状癌。另外T2WI呈低信号且无囊变、坏死及出血,且DWI呈均匀高信号的病灶,容易误诊为肾脏嫌色细胞癌[6,7]。少血供肾脏透明细胞癌与非透明细胞癌的假包膜出现率都很高,很难通过假包膜的征象来鉴别诊断。本组仅4例病灶含细胞内脂质成分,占11.8%,远远低于文献报道透明细胞癌细胞内脂质的比例,这是造成误诊的一方面原因[8,9]。
本组病例术前MRI诊断透明细胞癌10例,诊断正确率为29.4%,诊断的依据主要是病灶囊变比较明显,DWI呈低信号。诊断肾癌15例,占44.1%,没有把握诊断透明细胞癌或非透明细胞癌,主要因为病灶T2WI呈低信号为主,DWI高信号为主,为正确诊断带来困扰。诊断非透明细胞癌6例,占17.6%,病变主要表现为T2WI呈均匀低信号,DWI为高信号,无脂质成分[10,11]。3例诊断良性肿瘤(乏脂肪血管平滑肌脂肪瘤),占8.9%,病变无坏死囊变,且DWI为均匀高信号[12]。
本组病例在直径≤4 cm和>4 cm组间的临床资料比较结果可以看出,直径的大小对手术方式的选择至关重要,直径越大选择腹腔镜肿瘤根治性切除术的比率越高。两组肿瘤的MRI特征比较结果可以看出,病灶的直径越大病灶内出血的比率越高。
总之,少血供肾脏透明细胞癌T2WI以等低信号为主,假包膜出现率高,T1WI肿瘤以稍低或等信号为主,细胞内脂质出现概率低,囊变坏死出血常见,DWI高信号尤其病灶呈均匀高信号出现概率大。对术前诊断困难的病例,要考虑到不典型肾脏透明细胞癌的可能。
所有作者均声明不存在利益冲突





















