
结节病是一种原因不明的多系统性疾病,临床罕见。本例患者女性,67岁,合并眼、关节、皮肤、肺、甲状腺、肾等多系统损害的临床表现,皮下结节病理为非干酪样肉芽肿,除外结核、真菌感染、恶性肿瘤、血管炎及免疫缺陷等,结节病诊断明确,经糖皮质激素治疗后症状改善,出院后随访1年,目前无复发。
版权归中华医学会所有。
未经授权,不得转载、摘编本刊文章,不得使用本刊的版式设计。
除非特别声明,本刊刊出的所有文章不代表中华医学会和本刊编委会的观点。
患者女,67岁,因"视物模糊7年,关节疼痛1年,加重7 d"于2017年9月26日入住天津医科大学总医院老年病科。患者于入院前7年无明显诱因出现视物模糊,就诊于当地某医院,诊断为"双眼葡萄膜炎",给予甲泼尼龙40 mg/d口服治疗,视物模糊逐渐好转,后逐渐减量,甲泼尼龙8 mg/d口服维持治疗。1年前出现双侧髋关节和肩关节疼痛,外院就诊后考虑为"激素治疗"所致,嘱逐渐将"甲泼尼龙"减量至停药,髋关节和肩关节疼痛较前减轻,但出现双侧膝关节和近端指(趾)关节疼痛,并发现四肢皮下多发硬结,不伴红、肿、热、痛,无皮肤破溃、瘙痒,以双上肢为著,并伴干咳、乏力。间断外院治疗,症状无明显好转。7 d前因视物模糊加重,伴双眼疼痛、畏光来我院急诊就医,经检查发现血肌酐升高(195 μmol/L),为进一步诊治就诊我院。既往"甲状腺功能减退"病史1年,现口服"左甲状腺素片75 μg/d"。否认结核及性病病史,无毒物、药物、重金属及寄生虫接触史。
体格检查:体温36.6 ℃,双眼睫状充血,视力0.3。四肢皮下多发硬结,直径0.5~1.5 cm,活动可,边界清楚,无压痛,浅表淋巴结未触及异常肿大。心音可,律齐,各瓣膜听诊区未闻及病理性杂音,双肺呼吸音粗,未闻及干湿性啰音,腹软,无压痛。入院诊断:肾功能不全;双眼葡萄膜炎;甲状腺功能减退。
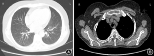
实验室检查:血红蛋白106 g/L(正常参考值:115~150 g/L),血肌酐170 μmol/L(正常参考值:44~115 μmol/L),血钙3.15 mmol/L(正常参考值:2.15~2.55 mmol/L),血管紧张素转化酶(ACE)173 U/L(正常参考值:0~52 U/L),红细胞沉降率37 mm/h(正常参考值:0~20 mm/h)、游离三碘甲状腺原氨酸2.29 pmol/L(正常参考值:2.63~5.70 pmol/L)。肝功能、腺苷脱氨酶、自身抗体谱未见异常,抗中性粒细胞胞质抗体(ANCA)、胞质型(c-ANCA)与核周型(p-ANCA)阴性,免疫球蛋白正常,免疫固定电泳未见单克隆条带。结核菌素(PPD)试验、结核分枝杆菌/利福平耐药检测(Xpert MTB/RIF)、1,3-β-D葡聚糖检测(G实验)、半乳糖甘露醇聚糖抗原检测(GM实验)、甲状旁腺素、甲状腺抗体、肿瘤全项、肺肿瘤标志物未见异常,人类免疫缺陷病毒、乙肝五项、丙肝抗体、梅毒阴性。尿潜血+-,尿蛋白+-,尿pH 6.00。尿N-乙酰-β-D-氨基葡萄糖苷酶62.8 U/g·Cr(正常参考值:1.1~12.0 U/g·Cr)、半乳糖苷酶32.5 U/g·Cr(正常参考值:2.0~14.0 U/g·Cr)。肾小管酸化功能:重碳酸盐31.90 mmol/L(正常参考值:0~12.44 mmol/L),可滴定酸4.10 mmol/L(正常参考值:9.57~150 mmol/L),铵离子14.40 mmol/L(正常参考值:25.84~200 mmol/L)。超声示双肾弥漫性病变。心电图、心脏超声未见明显异常。胸部CT示:双肺多发点片影,右肺中下叶及左肺下叶条索影,双肺间质纹理增多;少量心包积液(图1)。全身骨显像未见典型骨转移性病变图像。裂隙灯检查:双眼角膜后沉着物阳性,房水闪辉++,房水细胞++,玻璃体细胞++~+++,晶状体混浊。荧光造影:双眼视网膜血管炎、视盘荧光渗漏,黄斑区拱环斑驳状荧光。光学相干断层成像:双眼黄斑水肿。经眼科会诊后诊断为双眼全葡萄膜炎。左上肢皮下结节病理活检示:皮下脂肪上皮细胞肉芽肿,胶原纤维包绕,形成裸结节(图2)。结节病诊断成立。确诊后给予口服甲泼尼龙40 mg/d,泼尼松龙滴眼液0.1 ml/次,3次/d治疗2周,患者出院。出院后1年来门诊随访,口服甲泼尼龙逐渐减量至4 mg/d维持治疗,患者视物模糊较前好转,皮下结节较前缩小且部分消失,化验指标基本正常。


注:A:肺窗;B:纵隔窗。双肺多发点片影,右肺中下叶及左肺下叶条索影,双肺间质纹理增多;少量心包积液,纵隔内未见肿大淋巴结


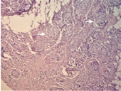
注:皮下脂肪上皮细胞肉芽肿,胶原纤维包绕,形成裸结节(箭头,HE ×40)
结节病是一种以非干酪样肉芽肿为病理特征的多系统受累性疾病,临床较为罕见,诊断主要依据组织活检[1]。该疾病均95%累及肺脏,眼部受累仅占11.8%[2],常表现为葡萄膜炎,葡萄膜炎又称色素膜炎,是虹膜、睫状体及脉络膜组织炎症的总称。按发病部位可分为前葡萄膜炎、后葡萄膜炎及中间葡萄膜炎,其中以前葡萄膜炎最常见。前葡萄膜炎的特征性表现为角膜后沉着物阳性;中葡萄膜炎的特征性临床表现包括玻璃体炎、云雾感、刺痛感、玻璃体混浊,常合并囊状黄斑水肿和视网膜血管炎;而后葡萄膜炎最常见的临床表现是播散性脉络膜视网膜炎[3]。
结节病一般好发于25~45岁女性,但在50岁后会出现第2个发病高峰[3]。本例患者为67岁女性,双眼葡萄膜炎病史7年,有典型双眼全葡萄膜炎表现。但考虑到眼部疾病病理活检的严重并发症,临床很少选择眼部病理活检[3],因此当时该患者也未行病理诊断,经激素治疗后眼部症状缓解。患者停激素后再次出现视物模糊,7 d前因发现血肌酐升高而入院,后伴高钙血症,再结合患者皮肤损伤、关节疼痛、甲状腺功能减退等病史,临床高度怀疑结节病。因为结节病中30%~50%肾脏受累,10%~20%表现为高钙血症[4],15.9%皮肤受累,15.2%淋巴结受累,极少数也可累及甲状腺表现为甲状腺功能减退症[2]。
结节病肺部受累最常见,但该患者肺部表现并不典型。进一步行皮下结节活组织检查,结果为非干酪样肉芽肿。实验室检查ACE、红细胞沉降率、血钙升高,轻度贫血,PPD试验、Xpert MTB/RIF、G实验、GM实验阴性,肿瘤标志物未见异常,自身抗体谱、ANCA阴性,免疫功能正常;临床无发热、盗汗、消瘦等结核中毒症状,无恶性肿瘤表现,不支持结核、真菌感染、恶性肿瘤、血管炎及免疫缺陷等诊断。再结合患者眼、肺、皮肤、关节、甲状腺、肾等多器官受累,结节病诊断明确。结节病中ACE水平的升高缺乏特异性,不能作为诊断依据,但可以作为结节病疾病进展的标志物[5];另外大约1/3的结节病患者活动期出现贫血,红细胞沉降率增快,血钙升高[2];且慢性结节病性关节炎可隐袭发病,病程中急性发作,表现为膝、近端指(趾)关节等常见受累关节对称性、游走性疼痛。由此可见该患者处于结节病的活动期。
结节病是一种病因不明且影响多器官的罕见病,临床症状缺乏特异性,诊断没有金标准,极易造成漏诊和误诊,诊断依据多系统受累的临床表现,非干酪样肉芽肿的病理特征,再除外结核、肿瘤、血管炎等其他肉芽肿疾病。分析本例多系统受累结节病漏诊和误诊的原因主要有:(1)眼、皮肤、关节、甲状腺、肾等肺外多系统受累的结节病临床上并不常见;(2)皮损表现与多种皮肤疾病类似,缺乏特异性;(3)本例患者以眼部受累首发,临床医师对本病缺乏足够的认识;(4)该疾病缓解和复发相交替,且本例患者激素治疗后眼部症状改善,遂未予以进一步诊治,导致诊断延误,疾病慢性进展,预后不良。
当50岁以上女性出现多器官受损时,应结合患者临床表现、影像学特征、实验室检查等各项检查综合分析,排除结核、肿瘤、血管炎等其他肉芽肿疾病,警惕结节病的可能。
所有作者均声明不存在利益冲突





















