
探讨全模型实时迭代重建(ASIR-V)对肝硬化患者腹部增强CT低剂量扫描中的应用价值。
前瞻性收集2017年6月至2018年5月郑州大学第一附属医院行上腹部CT增强扫描的肝硬化患者112例为试验组,依照肝功能Child-Pugh分级分为A、B和C级3组。对照组为非腹部病变而行腹部增强扫描且肝功能正常检查者30例。对照组各期均采用0前置ASIR-V,试验组平扫、动脉和门脉期分别采用30%、40%、50%前置ASIR-V,对照组和试验组均联合60%后置ASIR-V重建。图像质量的客观指标[腹主动脉、肝脏、胰腺、脾脏、门静脉对比噪声比(CNR)]和辐射剂量的比较采用单因素方差分析,主观评分比较采用Kruskal-Wallis H检验。
同一期相试验组较对照组容积CT剂量指数、剂量长度乘积和有效剂量均减低(F=13.354~28.192,P<0.01),其中有效剂量下降分别1.12(23.9%)、1.54(33.5%)、2.14 mSv(46.7%)。门脉期肝脏、门静脉CNR值,Child C级组较Child A级组和对照组减低分别为0.34~0.42、0.43~0.49(q=2.851~4.658,P<0.05);平扫、动脉期各组间图像主观评分差异无统计学意义。门脉期Child C级组评分均值<3分,影响诊断,且与Child A和对照组差异有统计学意义(Z=26.734~29.218,P<0.05)。
肝硬化患者依据肝功能分级联合前置ASIR-V,可在保证图像质量前提下降低辐射剂量。肝功能为Child-Pugh A或B级时,推荐使用前置50%ASIR-V;肝功能为Child-Pugh C级时,推荐使用前置40% ASIR-V。
版权归中华医学会所有。
未经授权,不得转载、摘编本刊文章,不得使用本刊的版式设计。
除非特别声明,本刊刊出的所有文章不代表中华医学会和本刊编委会的观点。
自适应统计迭代重建技术(adaptive statistical iterative reconstruction,ASIR)可降低图像噪声,但需要人为预先设置较低的扫描参数[1]。全模型实时迭代重建(adaptive statistical iterative reconstruction Veo,ASIR-V)[2]基于系统噪声模型、被扫描物体模型和物理模型之上的一种新型迭代重建技术,前置ASIR-V可根据噪声指数(noise index,NI)调整mAs从而降低辐射剂量,后置ASIR-V可降低图像噪声而提高图像质量,选择最佳的前后置ASIR-V配比可以在保证图像质量的前提下降低辐射剂量。目前文献报道的ASIR-V在腹部扫描应用主要是体模[3]和无明显腹部病变[4]的研究,本研究基于肝硬化患者肝功能Child-Pugh分级情况,探讨针对不同肝功能患者选择合适的前置ASIR-V比值,从而在保持图像质量的前提下最大程度的降低辐射剂量。
前瞻性收集2017年6月至2018年5月郑州大学第一附属医院经临床、实验室或其他影像检查诊断为肝硬化而行上腹部增强扫描的检查者。排除标准:(1)对比剂过敏或相关病史;(2)合并肝脏占位性病变,病灶直径≥3 cm;(3)合并门脉栓子、动-门脉瘘;(4)肝脏、脾脏、胰腺术后。将满足条件的112例肝硬化患者纳入试验组,肝功能依照Child-Pugh分级,A级42例、B级39例、C级31组。其中原发性小肝癌7例,肝血管瘤6例,肝囊肿21例,肝再生结节9例,转移瘤1例,以上病灶直径1.2~2.6 cm;单纯肝硬化68例。对照组和试验组患者一般资料见表1,本研究经本院伦理委员会批准,所有检查者均签署知情同意书。

试验组和对照组一般情况比较(
±s)
试验组和对照组一般情况比较(
±s)
| 组别 | 例数 | 性别 | 年龄(岁) | 身高(cm) | 体质量(kg) | BMI(kg/m2) | |||||
|---|---|---|---|---|---|---|---|---|---|---|---|
| 男 | 女 | 范围 | ± s | 范围 | ± s | 范围 | ± s | 范围 | ± s | ||
| 对照组 | 30 | 13 | 17 | 23~59 | 41±12 | 153~185 | 168±9 | 43~78 | 71±10 | 18.1~28.7 | 25.8±3.8 |
| Child-Pugh A级组 | 42 | 19 | 23 | 35~68 | 46±10 | 156~179 | 166±10 | 54~76 | 63±13 | 20.8~28.4 | 26.0±2.6 |
| Child-Pugh B级组 | 39 | 22 | 17 | 32~70 | 43±11 | 154~177 | 167±8 | 52~84 | 66±14 | 19.2~29.1 | 26.7±4.1 |
| Child-Pugh C级组 | 31 | 18 | 13 | 21~67 | 49±14 | 155~182 | 165±11 | 56~87 | 69±12 | 18.7~29.6 | 27.3±3.7 |
| F值 | 0.583a | 0.512 | 1.367 | 1.230 | 0.816 | ||||||
| P值 | 0.716 | 0.932 | 0.286 | 0.392 | 0.563 | ||||||
注:BMI:体质指数;a为χ2值
前瞻性收集同期在郑州大学第一附属医院经临床、实验室及其他影像检查证实无腹部病变,肝功能正常而行上腹部增强扫描的检查者,排除有碘对比剂过敏或相关病史。将满足条件的30例检查者作为对照组。
所有检查者均采用美国GE Healthcare Revolution CT扫描仪器,行上腹部平扫和双期增强扫描,扫描范围为膈顶至双肾下缘。管电压120 kVp,管电流180~600 mAs,X线转速为0.5 s/r,螺距1.375∶1,探测器宽度80 mm,准直器宽度为0.625 mm×64,层厚、层间距均为5 mm。噪声指数(noise index,NI)为10 HU。对比剂使用碘海醇350 mgI/ml(欧乃派克,上海通用电气药业),对比剂用量1.2 ml/kg,总注射时间为30 s,根据体质量计算流率(流率=体质量×1.2 ml/30 s)。先行平扫,对比剂注射后30、60 s行动脉期和门脉期扫描。
试验组CT平扫、动脉期、门脉期前置ASIR-V分别为30%、40%、50%,对照组CT各期前置ASIR-V均为0,即采用滤波反投影法重建。试验组和对照组各期均联合后置60%ASIR-V重建。
(1)客观评价:所有检查者图像均传输至美国GE Healthcare ADW4.6工作站上进行分析和测量。在平扫及双期增强图像上将感兴趣区(region of interest,ROI)分别置于肝脏、胰腺、脾脏、背部肌肉、腹壁脂肪,腹腔干起始层面腹主动脉(动脉期)和门静脉分叉层面门静脉(门脉期)内,测量CT值,取腹壁脂肪像素平均值的标准差(standard deviation,SD)为背景噪声,ROI面积为40~80 mm2。肝脏在第一肝门层面肝右叶内,胰腺分别在胰头、胰体及胰尾处,脾脏在脾门层面分别选择3个ROI,均需避开血管结构,并取其平均值为最终测量值。皮下脂肪或肌肉ROI置于皮下脂肪及肌肉最厚层面,并在连续的3个层面测量3次。计算腹主动脉、门静脉、肝脏、胰腺、脾脏对比噪声比(contrast to noise ratio,CNR),CNRROI=(CTROI-CT肌肉)/SD,其中CTROI为ROI的CT值,CT肌肉为背部肌肉的CT值,SD为图像噪声[5]。(2)主观评价:由2名具有5年以上工作经验的放射科医师在不知晓分组情况的前提下对各组图像质量进行评分。总体图像质量评分采用5分制法[6]:(1)5分(优异):实质脏器颗粒小、细腻,血管远端分支清晰、边缘锐利,肾上腺显示清晰,无明显噪声,诊断性佳;(2)4分(良好):实质脏器颗粒小、较细腻,血管远端分支较清晰、边缘较锐利,肾上腺显示较清晰,噪声稍增加,诊断性好;(3)3分(中等):实质脏器颗粒较粗,血管远端分支欠清晰、边缘欠锐利,肾上腺显示欠清,噪声明显但可接受,能满足诊断;(4)2分(较差):实质脏器颗粒粗糙,血管远端分支不清、边缘模糊,肾上腺显示不清,噪声明显,不能诊断;(5)1分(极差):实质脏器颗粒粗大,血管远端分支不能辨识、边缘模糊,肾上腺不能显示,噪声极明显,不能诊断。
记录每位受检者CT扫描的容积剂量指数(CT dose index of volume,CTDIvol)及剂量长度乘积(dose length product,DLP),并计算有效剂量(effective dose,ED),ED(mSv)=DLP×k,其中k为组织权重因子,k=0.015 mSv/mGy。
采用SPSS 20.0统计软件进行分析,计量资料均值用
±s表示,2名医生一致性采用Kappa检验,Kappa系数κ值≥0.75为一致性良好,κ值0.40~0.75为一致性一般,κ值<0.40为一致性差。患者的年龄、身高、体质量及BMI值、各指标的CNR值、辐射剂量的比较均采用独立样本的单因素方差分析(ANOVA),组间两两比较采用SNK法,性别构成比采用χ2检验。图像主观评分差异比较采用Kruskal-Wallis H检验,两两比较采用Mann-Whitney U检验。P<0.05为差异有统计学意义。
试验组和对照组性别、年龄、体质量、BMI差异均无统计学意义,各组间具有可比性(表1)。同一期相试验组较对照组CTDIvol、DLP和ED值均减低((F=13.354~28.192,P<0.01),其中ED值下降分别为1.12(23.9%)、1.54 (33.5%)、2.14 mSv(46.7%)(表2);各试验组间两两比较差异均无统计意义(均P>0.05)。同一肝功能分级,ED值门脉期较动脉期、平扫下降分别为0.61(18.6%)、1.04 mSv(30.1%),即随着前置ASIR-V比值的升高,辐射剂量逐渐降低。

试验组和对照组各期相辐射剂量比较(
±s])
试验组和对照组各期相辐射剂量比较(
±s])
| 组别 | 例数 | CTDIvol(mGy) | DLP(mGy·cm) | ED(mSv) | ||||||
|---|---|---|---|---|---|---|---|---|---|---|
| 平扫 | 动脉期 | 门脉期 | 平扫 | 动脉期 | 门脉期 | 平扫 | 动脉期 | 门脉期 | ||
| 对照组 | 30 | 11.2±1.0 | 10.9±1.3 | 10.9±1.3 | 318±131 | 306±102 | 306±102 | 4.7±1.5 | 4.6±1.2 | 4.6±1.2 |
| Child-Pugh A级组 | 42 | 8.2±1.4a | 6.9±1.8a | 5.3±1.4a | 229±108a | 190±98a | 153±108a | 3.4±0.9a | 3.0±1.0a | 2.4±0.9a |
| Child-Pugh B级组 | 39 | 8.4±1.6a | 7.0±1.4a | 5.5±1.6a | 231±124a | 202±118a | 155±124a | 3.5±1.2a | 3.0±1.4a | 2.5±1.2a |
| Child-Pugh C级组 | 31 | 8.4±2.4a | 7.1±2.1a | 5.6±2.4a | 243±146a | 206±136a | 163±146a | 3.6±1.4a | 3.1±1.5a | 2.5±1.4a |
| F值 | 28.192 | 25.062 | 21.376 | 24.372 | 26.083 | 23.423 | 15.791 | 13.354 | 18.742 | |
| P值 | <0.01 | <0.01 | <0.01 | <0.01 | <0.01 | <0.01 | <0.01 | <0.01 | <0.01 | |
注:CTDIvol:CT容积剂量指数;DLP:剂量长度乘积;ED:有效剂量;与对照组比较,aP<0.05
平扫和动脉期,肝脏、胰腺、脾脏、腹主动脉和门静脉的CNR值,Child-Pugh C级组较其余3组略减低,但组间差异均无统计学意义(均P>0.05)(表3,表4,表5)。门脉期肝脏、门静脉CNR值试验组和对照组间差异有统计学意义(F=4.314、3.584,P<0.05),组间两两比较,Child-Pugh C级组较Child-Pugh A级组和对照组减低分别为0.34~0.42、0.43~0.49,差异有统计学意义(q=2.851~4.658,P<0.05)。同一期相4组间图像噪声差异无统计学意义(P>0.05)。

试验组和对照组平扫图像CNR值和噪声比较(
±s)
试验组和对照组平扫图像CNR值和噪声比较(
±s)
| 组别 | 前置ASIR-V值 | 例数 | 肝脏CNR | 脾脏CNR | 胰腺CNR | 噪声(HU) |
|---|---|---|---|---|---|---|
| 对照组 | 0%ASIR-V | 30 | 1.09±0.84 | 0.95±0.77 | 1.02±0.87 | 9.88±1.23 |
| Child-Pugh A级组 | 30%ASIR-V | 42 | 1.12±0.98 | 0.90±0.91 | 1.07±1.03 | 9.91±1.37 |
| Child-Pugh B级组 | 30%ASIR-V | 39 | 1.04±1.07 | 0.97±1.01 | 0.96±0.89 | 10.08±1.45 |
| Child-Pugh C级组 | 30%ASIR-V | 31 | 0.96±1.02 | 0.89±1.22 | 0.92±1.12 | 10.16±1.53 |
| F值 | 0.416 | 0.519 | 0.537 | 1.418 | ||
| P值 | 0.735 | 0.687 | 0.562 | 0.186 |
注:CNR:对比噪声比

试验组和对照组动脉期图像CNR值和噪声比较(
±s)
试验组和对照组动脉期图像CNR值和噪声比较(
±s)
| 组别 | 前置ASIR-V值 | 例数 | 肝脏CNR | 脾脏CNR | 胰腺CNR | 腹主动脉CNR | 噪声(HU) |
|---|---|---|---|---|---|---|---|
| 对照组 | 0%ASIR-V | 30 | 1.21±0.96 | 3.01±0.97 | 2.96±1.19 | 21.73±3.25 | 10.19±2.21 |
| Child-Pugh A级组 | 40%ASIR-V | 42 | 1.30±0.87 | 3.26±0.73 | 3.11±1.36 | 22.43±4.18 | 9.96±1.35 |
| Child-Pugh B级组 | 40%ASIR-V | 39 | 1.26±1.14 | 3.15±1.19 | 3.02±1.42 | 21.58±2.85 | 10.07±2.98 |
| Child-Pugh C级组 | 40%ASIR-V | 31 | 1.19±1.28 | 2.97±1.36 | 2.89±1.28 | 20.79±5.05 | 10.23±3.03 |
| F值 | 0.516 | 0.612 | 0.683 | 1.737 | 1.339 | ||
| P值 | 0.610 | 0.581 | 0.458 | 0.217 | 0.251 |
注:CNR:对比噪声比

试验组和对照组门脉期图像CNR值和噪声比较(
±s)
试验组和对照组门脉期图像CNR值和噪声比较(
±s)
| 组别 | 前置ASIR-V值 | 例数 | 肝脏CNR | 脾脏CNR | 胰腺CNR | 门静脉CNR | 噪声(HU) |
|---|---|---|---|---|---|---|---|
| 对照组 | 0%ASIR-V | 30 | 4.43±1.22 | 3.95±0.95 | 3.37±0.62 | 7.72±2.26 | 10.31±2.31 |
| Child-Pugh A级组 | 50%ASIR-V | 42 | 4.35±1.18 | 4.02±0.82 | 3.24±0.75 | 7.66±3.75 | 10.04±1.97 |
| Child-Pugh B级组 | 50%ASIR-V | 39 | 4.22±1.31 | 3.94±1.21 | 3.11±0.86 | 7.49±2.17 | 9.96±2.34 |
| Child-Pugh C级组 | 50%ASIR-V | 31 | 4.01±1.06ab | 3.83±1.38 | 3.03±1.03 | 7.23±2.41ab | 10.82±3.12 |
| F值 | 4.314 | 0.268 | 0.614 | 3.584 | 1.373 | ||
| P值 | 0.019 | 0.732 | 0.497 | 0.031 | 0.205 |
注:与对照组比较,aP<0.05;与Child A组比,bP<0.05;CNR:对比噪声比
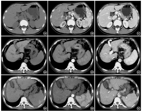
两名医师主观评分一致性较高(kappa=0.79~0.86)。平扫和动脉期,试验组和对照组图像的主观评分无明显变化(P>0.05)(表6)(图1,图2)。门脉期Child-Pugh C级组较其余3组评分减低,均值<3分,影响诊断,且与其余3组差异均有统计学意义(Z=26.734~29.218,均P< 0.05)(图3)。



试验组和对照组各期相主观评分比较(
±s)
试验组和对照组各期相主观评分比较(
±s)
| 组别 | 例数 | 平扫 | 动脉期 | 门脉期 | |||
|---|---|---|---|---|---|---|---|
| 医师1 | 医师2 | 医师1 | 医师2 | 医师1 | 医师2 | ||
| 对照组 | 30 | 4.1±0.3 | 4.1±0.5 | 4.0±0.5 | 4.1±0.4 | 4.2±0.3 a | 4.1±0.2 a |
| Child A级组 | 42 | 4.2±0.4 | 4.0±0.3 | 4.1±0.3 | 4.0±0.2 | 4.0±0.4 a | 4.1±0.3 a |
| Child B级组 | 39 | 4.1±0.5 | 4.1±0.4 | 3.9±0.2 | 3.9±0.3 | 3.8±0.3 a | 3.7±0.4 a |
| Child C级组 | 31 | 4.0±0.3 | 3.9±0.5 | 3.9±0.4 | 3.8±0.5 | 2.9±0.5 | 2.8±0.4 |
| H值 | 1.962 | 2.637 | 2.538 | 3.326 | 27.112 | 29.758 | |
| P值 | 0.158 | 0.075 | 0.089 | 0.057 | <0.00 | <0.00 | |
注:与Child C级组比较,aP<0.05
ASIR是早期迭代重建技术的一种,基于统计原理进行数据和图像空间迭代运算,可有效地降低图像噪声,提高图像质量。基于模型的迭代重建(model-based iterative reconstruction,MBIR)降低辐射剂量、减少图像噪声的能力强,但重建时间较长,不适用与临床[7]。ASIR-V结合ASIR实时重建和MBIR多模型迭代的优点,后置ASIR-V技术降低噪声和提高组织对比度较ASIR更明显[8,9];前置ASIR-V是在扫描前基于受检者体型和预设的噪声指数(NI值),自动调节管电流大小降低辐射剂量而不影响组织CT值,但随着管电流降低,图像噪声增加。因此,前置ASIR-V需与后置ASIR-V最佳配比以优化扫描方案,提高图像质量。Goodenberger等[10]研究结果显示在腹部增强扫描中后置ASIR-V 60%重建在降低噪声的同时图像不失真,前置ASIR-V柴亚如等[4]结果显示,40%前置ASIR-V时图像质量最佳。而对肝硬化患者因肝功能的不同,肝脏的成像质量受其影响,针对不同患者制定个性化的扫描方案能在保证图像质量的前提下减少辐射剂量,对临床诊治、预后评估且需要多次复查扫描的肝硬化患者有重要的意义。
本研究将前置ASIR-V比例按不同期相自30%~50%分组,可以进行组间和组内对比。结果显示同一期相肝硬化不同肝功能分级,辐射剂量较对照组下降;同一肝功能分级门脉期较动脉期及平扫辐射剂量亦减低,前置ASIR-V50%较对照组ED下降46.7%,此结果与柴亚如等[4]的结论接近。再次验证了前置ASIR-V可降低辐射剂量,且剂量降低的程度与其比值呈正比。但前置ASIR-V比值过高,空间分辨率下降,组织及脏器边缘锐利度降低,图像失真,出现水墨画样改变。本研究显示肝功能Child-Pugh A、B级随着前置ASIR-V比值的升高各脏器及血管的CNR值无明显变化,但Child-Pugh C级前置ASIR-V50%时肝脏、门静脉的CNR值减低,且门脉期图像实质脏器颗粒增粗,空间分辨力和组织间对比度下降,部分患者主观评分<3,影响诊断。这可能因肝硬化患者当肝功能明显减低及门脉高压合并大量侧支循环开放时,门-腔分流,进入肝脏的血液减少,肝脏及门脉的CT值减低;且患者常伴有大量腹水、腹壁水肿,其BMI值较高等均影像图像质量[11,12],此时对于肝功能Child-Pugh C级的患者前置ASIR-V推荐40%。
本研究的不足之处:首先本研究肝功能Child-Pugh C级肝硬化患者样本量较少,需要扩大样本量依据BMI大小进行更细化的分组研究;其次对肝硬化合并肝脏占位性病变的诊断能力评估也需要进一步探讨。
综上所述,肝硬化患者上腹部增强低剂量优化扫描方案,肝功能Child-Pugh A和B级患者前置ASIR-V可选择50%,肝功能Child-Pugh C级患者,前置ASIR-V推荐40%,此时可在降低辐射剂量的同时保证图像质量不受影响。
所有作者均声明不存在利益冲突

± s
± s
± s
± s



















