
探讨重度先天性颈椎后凸畸形的手术治疗策略。
回顾性分析2004年3月至2018年3月在北京大学第三医院接受手术治疗的8例重度先天性颈椎后凸畸形(Cobb角>40°)患者的病例资料。其中男4例,女4例;年龄5~45岁。包括先天性椎体发育不良4例,椎体分节不全2例,椎体附件先天融合1例,椎间盘突出并C2棘突过长1例。8例患者中5例进行了预牵引。根据患者的不同情况进行了前路,后路或前后路联合手术治疗。在矢状位X线片上分别测量后凸节段术前中立位、仰伸位及术后Cobb角、计算颈椎后凸矫形率;应用日本骨科协会(JOA)评分评价脊髓功能并进行手术前后比较。手术前后数据比较采用t检验。
末次随访时影像学检查均显示获得骨性融合。8例后凸角由治疗前67°±18°矫正至最终随访的8°±8°(t=8.471,P<0.05),最终矫正率为87%±13%。JOA评分由术前(11.1±2.7)分改善至术后的(14.0±1.5)分,手术前后差异有统计学意义(t=-2.656,P<0.05)。
对于椎体发育不良不伴有椎体分节不全或椎体附件融合的重度先天性颈椎后凸畸形患者采用术前颈椎预牵引矫形,结合前路、后路或者前后联合入路矫形固定融合手术;对于椎体分节不全和椎体附件先天融合者可采用一期前路、后路或前后联合入路矫形固定融合手术。
版权归中华医学会所有。
未经授权,不得转载、摘编本刊文章,不得使用本刊的版式设计。
除非特别声明,本刊刊出的所有文章不代表中华医学会和本刊编委会的观点。
颈椎后凸畸形是脊柱外科治疗的难点,而重度先天性颈椎后凸畸形(Cobb角>40°)的处理更为复杂多变,个体化[1,2]。先天性颈椎后凸畸形出生后不久即可发现异常,并在就医过程中发现颈椎后凸畸形,常伴有颈椎椎体分节不全,椎体及附件的融合或软骨发育不良等。随着个体发育生长,颈椎后凸畸形会逐渐加重形成重度颈椎后凸畸形,严重者会压迫神经组织产生严重的神经症状,使患者遭受巨大的身心痛苦并面临截瘫的风险。对这一类颈椎后凸畸形的治疗仍然是困难复杂并充满风险及挑战的。本文回顾分析了北京大学第三医院骨科2004至2018年接受手术治疗的重度先天性颈椎后凸畸形患者的手术治疗,对于手术治疗策略进行了分析总结。
回顾性分析2004年3月至2018年3月在北京大学第三医院接受手术治疗的重度先天性颈椎后凸畸形患者8例,男4例,女4例;年龄5~45岁,平均(18±13)岁。包括先天性椎体发育不良4例,椎体分节不全2例,椎体附件先天融合1例,椎间盘突出并C2棘突过长1例。全部患者均有外观畸形并感颈痛。全部患者均有下肢行走不稳。四肢麻木等不同程度神经损害的症状。根据日本骨科协会(JOA)评分,对患者四肢感觉运动功能及膀胱功能进行综合评估,术前JOA评分为(11.1±2.7)分。
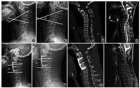
所有患者均拍摄颈椎正侧位及过伸过屈侧位X线片。收集患者治疗前中立位、仰伸位、牵引状态下、手术后出院前及随访时拍摄的颈椎侧位X线片,测量参与后凸节段的颈椎后凸角:后凸上、下端椎椎体下缘前后缘连线的夹角;计算后凸矫正率:(治疗前后凸角-治疗后后凸角)/治疗前后凸角×100%。
根据入院影像学评估结果采用不同的个体化治疗方案。包括早期经颅骨牵引预矫形及改良后平衡悬吊牵引预矫形加手术治疗,以及不经预牵引一期手术治疗。手术治疗包括单纯前路、单纯后路和前后路联合手术。术中均采用运动诱发电位(MEP)监测脊髓功能。
颈椎牵引预矫形:5例接受牵引的患者中2例为颅骨牵引,3例为平衡悬吊牵引。颅骨牵引的患者因早期无平衡悬吊牵引而采用常规轴向持续颅骨牵引。牵引过程中,随时观察患者四肢感觉运动情况,嘱患者及家属如出现四肢麻木无力等情况,立即报告医生,调整牵引重量。
颈椎平衡悬吊牵引采用自行设计的方法。患者仰卧于普通的骨科牵引床上,头部后仰,用宽约10 cm的牵引兜带从颈部后方绕过,通过牵引滑轮对颈项部产生竖直向上的牵引力,抬升颈后部。头部和躯干的自身重量则产生两个向下的对抗力。这三个力组成头尾对称的一对力矩,产生将后凸的颈椎扳直的复合力偶。根据患者体重不同牵引重量6~12 kg,使牵引重量与体重达到平衡,即背部、枕部均刚好离开床面,其原理与升降梯相同。牵引起始重量为6 kg,开始时仅给予颈后部2~4 cm的抬升,此时头尾两侧的向下力距即已产生对后凸的矫正力偶。抬升距离越高,矫正力偶越大,效果越明显。牵引持续时间开始为几分钟,逐渐延长。颈后部的抬升高度和牵引持续时间遵循循序渐进的原则。最终高度为枕部和躯干均抬离床面即可,每日牵引时间≥8 h。牵引后次日床旁摄颈椎侧位X线片。以后隔日摄床边颈椎侧位X线片,观察颈椎后凸的预矫形效果,以决定手术矫形的时机和方式。一旦牵引状态下床边拍片示颈椎后凸达到50%以上的预矫正率或不再获得进一步矫正,即达到"平衡"状态,可考虑手术矫形[3]。
1例患者C3-6椎体发育不良,平衡悬吊牵引1周后预矫正率超过50%,单纯颈椎后路C2-7组织松解,关节突关节截骨后行C2-7椎弓根钉固定,植骨融合术。患者全身麻醉后俯卧位,头部用Mayfield头架固定。清除瘢痕和纤维化的棘间韧带及关节囊组织,行关节突截骨。置入椎弓根螺钉,安放预弯的连接棒。台下的助手抬起Mayfield头架使颈部适度后仰,安放固定螺钉,借助连接棒的弧度达到矫形效果。
1例患者椎体发育不良,仰伸位X线片示复位超过50%,未予牵引一期行颈椎后路C1-7侧块钉棒固定,后凸矫形植骨融合术。
1例患者C3-5椎体发育不良,平衡悬吊牵引1周后预矫正率超过50%,颈椎前路C2-5椎间盘切除,C2/3 Cage植入,C4椎体次全切除,3D打印人工椎体植入,钛板内固定术。术中行标准的椎间盘切除,注意双侧颈长肌的松解,移除瘢痕挛缩组织,逐级撑开,植入带有自体骨的Cage及3D打印假体,预弯钛板固定,后凸矫形融合。
1例患者C2-4椎间盘突出,C2棘突过长影响后伸。颅骨牵引1周后预矫正率未超过50%,后路C2-4软组织松解,切除过长C2棘突,一期前路C2-4椎间盘切除,Cage植骨融合,钛板内固定术。
1例患者C3-6椎体发育不良,颅骨牵引1周后预矫正率超过50%,行颈椎前路C2-7椎间盘切除,C3-6椎体切除,颈长肌切断松解。3周后颈椎后路C2-7小关节松解侧块固定融合术,颈前路C2-7钛网植入,钛板内固定术。先行后路手术的病例后路截骨完成后在助手的帮助下改变患者体位,轴向翻身,取仰卧重新消毒铺巾,摆体位时注意不必过分后伸,注意脊髓监测的MEP变化。
1例患者C2/3分割不全,C3半椎体畸形,仰伸位复位未达到50%,行平衡悬吊牵引未继续复位,行前路C3椎体次全切除,钛网植骨融合,钛板内固定术。
1例患者C2-4先天融合,C2-4后凸畸形。仰伸位无明显复位,一期C3/4椎板切除,C2及C5椎弓根钉固定,后凸矫形,植骨融合术。
1例患者C2-5先天分割不全,C2-5后凸畸形。仰伸位无明显复位,颈后路C2椎板切除,C2-5关节突松解,颈前路C3/4椎体次全切除,C2-5钛板固定,再次翻身行C2-4侧块固定植骨融合。手术需要变动两次体位,注意MEP脊髓监测变化。
1例颈椎骨软骨发育不良合并颈椎后凸的患者,采用颈后路矫形C1-7椎弓根螺钉内固定,术后使用Halo-vest外固定3个月,其余患者手术后均佩戴费城围领3个月。
应用SPSS 19.0软件进行统计学分析,计量资料用
±s表示,手术前后数据比较采用t检验,以P<0.05为差异有统计学意义。
患者术后进行3个月、6个月、1年及2年随访,最长随访时间7年,8例患者随访6~84个月,平均36个月。随访时行X线及CT、MRI检查,末次随访时显示均获得骨性融合。8例患者术前后凸区域中立位Cobb角为45°~92°,平均为67°±18°。4例诊断为椎体发育不良患者中有3例术前均行牵引预矫形,预矫形率超过50%,另外1例仰伸位X线示后凸矫形率超过50%。未进行牵引预矫形,一期后路手术。1例诊断为C3-6椎间盘突出,C2棘突过长,颈椎后凸畸形患者,仰伸位X线矫形率未达到50%,牵引后由于C2棘突过长影响后伸无进一步复位遂行颈后路软组织松解C2过长棘突切除,然后前路手术。另外3例诊断为颈椎分割不全,半椎体畸形及椎体先天融合患者,仰伸位X线无明显复位,均一期前路,后路或前后路联合手术。术后出院前中立位Cobb角为0°~23°,平均为8°±8°,较术前显著改善(t=8.471,P<0.05)。末次随访中立位Cobb角为0°~26°,平均为12°±6°,术后矫形率为66%~100%,平均为87%±13%。JOA评分由术前(11.1±2.7)分改善至术后(14.0±1.5)分(t=-2.656,P<0.05)(表1)。

本组患者一般资料
本组患者一般资料
| 项目 | 例数 | 脊髓损害 | 后凸角(°) | 后凸矫正率(%) | JOA评分 | ||||
|---|---|---|---|---|---|---|---|---|---|
| 中立位 | 仰伸位 | 预牵引后 | 术后 | 术前 | 末次随访 | ||||
| 椎体发育不良 | 4 | 4 | 77±19 | 60±31 | 37±11 | 5±4 | 94±4 | - | - |
| 椎体分节不全 | 2 | 2 | 64±5 | 50±14 | - | 12±16 | 83±24 | - | - |
| 椎间盘突出并C2棘突过长 | 1 | 1 | 45 | 26 | - | 8 | 82.2 | - | - |
| 椎体附件融合 | 1 | 1 | 55 | 50 | 26 | 15 | 72.7 | - | - |
| 合计 | 8 | 8 | 67±18 | 52±24 | - | 8±8a | 87±13 | 11.1±2.7 | 14±1.5b |
注:JOA:日本骨科协会;与术前中立位比较,aP<0.05;与术前比较,bP<0.05




重度颈椎后凸畸形的病因多样,本文以重度先天性颈椎后凸畸形为研究重点,分析其特点及不同的治疗策略。机制上由于胚胎早期中胚层发育障碍会导致颈椎畸形。尽管先天性颈椎后凸的原因尚不完全清楚,但发生于胚胎第4~5周的损害有可能改变颈椎和邻近器官的发育,因而在临床上可见到颈椎后凸畸形常伴或不伴有其他先天性畸形[4]。临床上几类先天性颈椎后凸畸形包括:Larsen综合征型[5,6]、骨畸形性发育不良(DD)型[7,8]、进行性骨化性纤维发育不良(FOP)型[9]、Klippel-Feil综合征(KFS)型[10,11]、黏多糖病(MPS)型[12,13]及其他非典型性颈椎发育障碍导致的颈椎后凸畸形。
先天性颈椎后凸畸形大多出生后不久即可发现异常,并在就医过程中发现颈椎后凸畸形,常伴有颈椎椎体分节不全,椎体及附件的融合或软骨发育不良等。文献报道,部分轻度先天性颈椎后凸畸形可采用非手术治疗并保持规律随访[8,12],但重度先天性颈椎后凸畸形其颈椎的骨结构和软组织均发生明显变化。表现为前柱短缩、后柱延长。骨结构的变化累及椎间盘、椎体、钩椎关节等结构,很早出现变形甚至先天融合。而椎板、小关节等相应发生变形、甚至脱位。软组织的变化包括椎前筋膜、气管、食管、神经血管束等椎前组织,发生短缩、甚至挛缩。而后方的黄韧带、项韧带、关节囊、肌肉组织等,则被拉伸、延长、失去弹性,表现为僵硬、甚至纤维化。因此先天性颈椎后凸畸形常呈进展性,达到重度颈椎后凸时常会造成严重脊髓压迫症状,甚至威及生命。导致重度先天性颈椎后凸畸形绝大多数均需手术治疗。重度先天性颈椎后凸畸形发病率较低且病例大多为散发。畸形更为复杂,因此个体化及多样化的治疗策略更合适。
本研究共收集8例先天性颈椎后凸畸形病例,对此8例患者采用了不同的手术策略,但术前我们采用了不同的治疗策略,通过伸屈位X线片测量后凸Cobb角,发现4例颈椎椎体发育不良的先天性颈椎后凸患者仰伸位可部分复位,1例复位可达50%,再通过预矫形骨牵引或平衡悬吊牵引,术前预矫形率均达到或超过50%,此4例患者继续通过手术治疗均取得了满意的神经减压及矫形效果。3例椎节分割不全或椎体附件融合病例仰伸位后凸Cobb角基本无变化,属于僵硬性重度颈椎后凸,其中2例患者未进行牵引复位预矫形,行一期前后路联合或一期后路矫形手术治疗,另外1例仰伸位X线后凸复位不足40%,牵引预矫形后仰伸位后凸角无变化,遂行颈前路手术治疗。手术治疗均取得了满意的神经减压及矫形效果。最后1例因先天性C2棘突过长限制颈部后伸形成局部严重后凸畸形,在牵引无效的情况下,进行了后路松解。过长棘突切除,前路椎间盘切除,椎骨融合内固定术,手术取得满意疗效。通过以上病例经验提示诊断为椎体发育不良不伴有先天分割不全或椎体附件融合的先天性颈椎后凸患者可通过仰伸位后凸复位率判断后凸畸形的柔韧及僵硬程度,再通过牵引尤其是平衡悬吊牵引增大预矫形率,为进一步减少手术困难及风险创造条件。颈椎平衡悬吊牵引具有无创、间断、自由度高等优点。患者可根据自身耐受和适应程度决定牵引间隔和持续时间,可白天间断牵引,正常进食、淋浴、如厕,夜间停止牵引,正常睡眠,患者接受程度高[14,15]。
若患者出现两个以上椎体发育不良,且仍处于生长发育期,那么后路手术多节段椎弓根钉固定矫形植骨融合是较好的选择,因后方结构的固定融合可阻止后方结构的继续生长,前柱结构尽量少的破坏可在生长发育期继续生长,有可能会进一步纠正后凸畸形或使后凸停止进展从而达到矫形目的。对于两个及以下的椎体发育不良可通过后方矫形辅以前方短节段的椎体次全切除固定融合达到更好的后凸矫形疗效,且可减少对前方结构发育生长的影响。对于已过生长发育期的患者由于后凸时间长脊髓压迫重可通过分期前路松解和(或)一期后路矫形加前路发育不良椎体次全切除,固定融合达到良好的减压矫形效果。对于已过生长发育期的椎体发育不良患者,椎体形态部分保持较好,椎间隙塌陷少的患者也可考虑经牵引预矫形行单纯前路椎间隙减压植骨融合结合椎体次全切除植骨融合内固定矫形手术。
对于先天性颈椎分割不全伴椎体及附件的融合,通过仰伸位后凸复位率判断为僵硬性后凸可一期行前路、后路或前后路联合手术达到手术纠正畸形的目的。因此重度先天性颈椎后凸病例采用术前评估伸屈位X线后凸复位及术前预矫形治疗评估可有效缩短治疗进程,降低手术风险,并通过个体化手术方案最终使治疗得到满意疗效。
本研究总结了重度先天性颈椎后凸畸形的部分治疗经验,但仍存在以下不足:本研究是回顾性研究,证据等级偏低:本研究病例数较少,可能导致统计结果偏差较大。在今后的研究中,应扩大样本量,对不同术式治疗重度先天性颈椎后凸畸形的经验继续进行总结研究。
所有作者均声明不存在利益冲突





















