
探讨肛提肌裂孔面积在子宫脱垂中的诊断价值。
选取2017年9月至2018年12月中南大学湘雅医院妇科门诊及住院部诊断为子宫脱垂患者80例为病例组,选取同期无子宫脱垂健康女性80例为对照组。两组接受经会阴三维超声检查,分别测量在静息、最大Valsalva状态下肛提肌裂孔的前后径、左右径及面积,比较两组不同状态肛提肌裂孔形态变化。绘制受试者工作特性曲线(ROC),确定肛提肌裂孔面积诊断子宫脱垂的最佳截断值,评估其准确性。
静息、最大Valsalva状态下病例组肛提肌裂孔前后径、左右径及面积均大于对照组,差异均有统计学意义(均P<0.05)。最大Valsalva动作时,两组测值均大于同组静息状态测值,差异均无统计学意义(均P>0.05)。最大Valsalva动作时,肛提肌裂孔面积最佳截断值为22.09 cm2,曲线下面积为0.893,诊断子宫脱垂的敏感度、特异度及准确度分别为90.0%、95.0%及92.5%。
经会阴三维超声能评估子宫脱垂患者肛提肌裂孔的形态变化,肛提肌裂孔面积对子宫脱垂具较高诊断价值。
版权归中华医学会所有。
未经授权,不得转载、摘编本刊文章,不得使用本刊的版式设计。
除非特别声明,本刊刊出的所有文章不代表中华医学会和本刊编委会的观点。
子宫脱垂发病与支撑子宫的韧带松弛、骨盆底托力减弱有关,常见于急产多产、体力劳动与先天性盆腔组织的发育不良的妇女。据中国各地普查统计,发病率达1%~4%,严重威胁女性身心健康[1]。子宫脱垂的影像学检查包括二维及三维超声、CT及MRI。三维超声因安全无创、操作简便、费用低廉及图像分辨率高等优势,成为首选方法[2,3]。目前,国内对子宫脱垂的超声分度尚无统一标准,且关于三维超声的诊断标准报道甚少。本研究拟通过三维超声定量分析不同状态下肛提肌裂孔的形态变化,为临床诊断子宫脱垂提供更客观可靠的超声数据。
选取2017年9月至2018年12月中南大学湘雅医院妇科门诊及住院部诊断为子宫脱垂患者80例为病例组,年龄38~74(42±3)岁。根据临床分度标准将80例患者分度。Ⅰ度:宫颈外口达处女膜痕边缘,且从阴道口能看见宫颈。Ⅱ度:宫颈脱出其阴道口,但宫体依然存在于阴道内。Ⅲ度:宫颈及宫体均脱出阴道口。病例组中Ⅰ度脱垂30例,Ⅱ度脱垂35例,Ⅲ度脱垂15例。选取同期无子宫脱垂健康女性80例为对照组,年龄31~73(40±6)岁。两组纳入要求:(1)近期未服用雌激素类药物;(2)排除其他盆腔脏器脱垂、尿失禁、神经系统疾病、盆腔占位及泌尿生殖道炎症等病史;(3)无盆腔手术史;(4)能有效完成Valsalva动作。所有受检者均签署知情同意书。
(1)仪器:采用Philips IU Elite彩色多普勒超声诊断仪,配备经腔内三维容积探头3D9-3v,频率3~9 MHz,探头二维发射角度130°,实时三维扫查角度85°。(2)方法:嘱受检者排空直肠,适当排空膀胱(残余尿量<50 ml),取膀胱截石位。在腔内三维容积探头上套一次性无菌探头套,再涂一层耦合剂。紧贴受检者会阴部,控制力度在静息状态时耻骨联合下缘距体表<1 cm,清晰显示盆底的标准正中矢状切面(包括耻骨联合、尿道、膀胱颈、阴道、直肠、肛管及肛直肠角),因为二维图像的清晰度决定三维图像的质量。将耻骨联合后下缘水平线设为参考线,观察静息及最大Valsalva状态时,宫颈最低点与参考线的距离变化。启用三维渲染模式,获取肛提肌裂孔标准切面(使耻骨联合后下缘、尿道、肛管始终在同一平面显示),分别在静息及最大Valsalva状态时,沿肛提肌内侧缘测量裂孔前后径、左右径、面积。所有参数均测量3次,取最大值为研究所用。(3)子宫脱垂的超声量化指标:目前无统一定论。通常在最大Valsalva动作时,以宫颈外口最低点为标记,测量宫颈外口最低点与参考线的垂直距离。分为三度,轻度:宫颈最低点位于参考线上<1 cm;中度:宫颈最低点位于参考线下方及下缘<2 cm;重度:宫颈最低点位于参考线下>2 cm[4]。(4)有效的Valsalva动作:嘱受检者深吸气后紧闭声门,用力往下作排气排便动作,时间持续>5 s,同时避免肛提肌共激活作用。此时,能动态观察到盆腔脏器向背尾侧移动,肛提肌裂孔逐渐增大。
采用SPSS 22.0统计学软件处理数据,计量资料以
±s表示,采用独立样本t检验。构建受试者工作特征曲线(ROC),确定肛提肌裂孔面积诊断子宫脱垂的最佳截断值,计算曲线下面积,以P<0.05为差异有统计学意义。
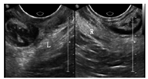
对照组静息状态时,肛提肌裂孔呈菱形,结构紧凑完整,肛提肌裂孔内尿道、阴道、直肠从前至后呈直线依次排列,两侧耻骨直肠肌对称且回声连续;最大Valsalva动作时,肛提肌裂孔提肌纤维被动牵拉并扩张,肛提肌裂孔增大(图1)。病例组静息状态时,结构较对照组疏松,内回声减低;最大Valsalva动作时,肛提肌裂孔明显增大(图2)。本研究中5例患者还可观察到单侧或双侧耻骨直肠肌回声不连续(图3)。




与对照组比较病例组静息状态及最大Valsalva动作肛提肌裂孔前后径、左右径及面积显著增大,差异均有统计学意义(均P<0.05);最大Valsalva动作时,两组测值均大于同组静息状态测值,差异均无统计学意义(均P>0.05)(表1)。最大Valsalva动作时,将所有可能的肛提肌裂孔面积值为阈值,计算灵敏度与特异度,以灵敏度为纵坐标、1-特异度为横坐标绘制ROC曲线。当选取截断值22.09 cm2时曲线下面积为0.893,诊断的敏感度、特异度及准确度分别为90.0%、95.0%及92.5%(图4)。



两组对象肛提肌裂孔测量值比较(
±s)
两组对象肛提肌裂孔测量值比较(
±s)
| 组别 | 例数 | 静息状态 | 最大Valsalva动作 | ||||
|---|---|---|---|---|---|---|---|
| 前后径(cm) | 左右径(cm) | 面积(cm2) | 前后径(cm) | 左右径(cm) | 面积(cm2) | ||
| 对照组 | 80 | 4.9±0.7 | 3.22±0.24 | 13.9±2.4 | 5.6±0.8 | 4.3±0.5 | 16.6±3.0 |
| 病例组 | 80 | 5.8±0.8 | 4.21±0.39 | 17.3±3.0 | 7.4±1.0 | 5.9±0.8 | 25.3±3.0 |
在女性盆腔器官中肛提肌起重要的支持作用,肛提肌裂孔在双侧耻骨支下方由耻骨联合下缘与左右侧肛提肌内侧缘共同围成,因此,对肛提肌裂孔的形态特征和完整性评估可有效反映子宫、尿道、膀胱及盆底支撑结构的变化[5,6,7]。近年来,经会阴超声因能近距离、多切面观察盆底结构尤其是肛提肌裂孔的形态变化,应用日益广泛。与二维超声相比,三维超声图像分辨率更高,能清楚显示盆底肛提肌及肛提肌裂孔平面,立体观察子宫病变结构与位置。已有研究证实,三维超声对肛提肌裂孔形态及结构的检查结果,与传统的MRI有较高的一致性[8,9]。但目前三维超声对子宫脱垂的诊断及分期尚未建立统一的标准。
本研究应用三维重建渲染技术,分别在静息状态及最大Valsalva动作,分别测量子宫脱垂者及对照者的肛提肌裂孔前后径、左右径及面积等参数。结果显示,对照组最大Valsalva动作时测值略大于静息状态,表明正常妇女用力状态下,腹腔器官对盆底压力升高,肛提肌纤维被动牵拉并扩张,使得肛提肌裂孔增大。病例组两种状态下的肛提肌裂孔面积均较对照组增大,说明子宫脱垂患者的肛提肌裂孔结构松散,收缩功能也有所下降,不能对盆腔脏器起足够承托作用,即使静息状态,仍会出现不同程度的脱垂;当腹内压增高时,更加重盆底结构松弛状态,导致裂孔面积明显增大,甚至超出探头扫查的视野。
本研究将所有可能的诊断值为阈值,计算灵敏度与特异度,以灵敏度为纵坐标,1-特异度为横坐标,绘制ROC曲线。最大Valsalva动作时当选取肛提肌裂孔面积最佳截断值为22.09 cm2,所得曲线下面积为0.893,诊断的敏感度、特异度及准确度分别为90.0%、95.0%及92.5%。曲线下面积是ROC曲线下与坐标轴围成的面积,取值范围在0.5~1,值越大表示诊断价值越高。本研究曲线下面积接近0.9,表明肛提肌裂孔面积对子宫脱垂的诊断价值较高。另外,Dietz[10,11]经多年研究,将最大Valsalva动作时肛提肌裂孔面积>25 cm2作为盆腔脏器脱垂的参考值,这与本研究结果相差较大。分析原因是受检者人种、地域及体质量指数等因素的差异所致,提示对于不同人种应采用不同的超声标准。
本研究中病例组8例患者肛提肌裂孔面积<22.09 cm2,分析假阴性原因:部分患者年龄较大,用力不够未达到最佳Valsalva状态,导致超声测值低于临床评估。其中1例术后证实重度子宫脱垂,但肛提肌裂孔面积<22.09 cm2,可能是重度子宫脱垂患者肛提肌裂孔过于宽大,Valsalva动作时超出研究所用的腔内探头扫查视野,图像采集不够完全,影响了检测结果。对照组中4例肛提肌裂孔面积>22.09 cm2,分析假阳性原因:可能与本研究使用腔内三维探头有关。虽腔内三维探头轻巧灵活,清晰度可媲美浅表高频探头,较腹部三维探头成像清晰,但要求操作者掌握更加娴熟的技巧。由于操作原因,可能导致检测结果稍有人为偏差。因此,本研究仍存在一定局限性:(1)首先要求患者配合完成有效的Valsalva动作,这直接影响到测量结果;(2)Ⅲ度病例样本量较少,主要为Ⅰ、Ⅱ度患者。且本研究未对不同脱垂程度进行分层研究,今后将扩大样本量,作进一步细化深入研究。
综上所述,子宫脱垂与最大Valsalva动作时肛提肌裂孔形态具有相关性。经会阴三维超声能清晰显示子宫脱垂患者在静息状态、最大Valsalva动作时肛提肌裂孔的形态结构变化,为临床早期诊断子宫脱垂、评估脱垂程度及术后疗效提供准确的超声参考依据。
所有作者均声明不存在利益冲突





















