
探讨腹腔镜胃癌根治性切除术后穿刺孔种植转移瘤的外科治疗效果。
回顾性总结分析2014年1月至2018年1月浙江省人民医院收治的5例腹腔镜胃癌根治性切除术后穿刺孔种植转移患者资料和随访资料。
3例腹壁穿刺孔种植转移瘤出现在术后6个月(含6个月),1例出现在术后10个月,1例出现在术后30个月。排除腹腔及远处转移,5例穿刺孔种植转移瘤患者均行手术切除,术后恢复良好,无切口感染和切口疝发生。随访截止时,2例已死亡,分别生存13和24个月;3例仍健在,随访最短7个月,最长19个月。
穿刺孔种植转移瘤位置表浅,手术切除肿瘤并不困难,对于无腹腔内和远处复发转移的患者,行手术治疗能提高患者的预后。
版权归中华医学会所有。
未经授权,不得转载、摘编本刊文章,不得使用本刊的版式设计。
除非特别声明,本刊刊出的所有文章不代表中华医学会和本刊编委会的观点。
自1985年Stockdale等[1]首次报道腹腔镜手术后穿刺孔种植转移瘤以来,腹腔镜手术后穿刺孔种植转移瘤的报道逐渐增多,但是,腹腔镜手术后穿刺孔种植转移瘤的发生率非常低,缺乏相关的治疗经验。现回顾性总结分析浙江省人民医院收治的5例腹腔镜胃癌根治性切除术后穿刺孔种植转移患者资料,现将总结及诊治体会报道如下。
2014年1月至2018年1月我院收治的腹腔镜胃癌根治性切除术后穿刺孔种植转移患者5例(其中有3例在外院行原发肿瘤切除术)纳入本研究(表1)。纳入标准:(1)术前经腹部增强CT和MR证实无远处转移、病灶局部可以切除;(2)术后病理证实为转移性或浸润性腺癌;(3)不合并严重心肺疾病;(4)排除围手术期死亡患者。男3例,女2例,年龄51~66岁,平均57.6岁。

腹腔镜胃癌根治性切除术后穿刺孔种植转移瘤患者临床资料
腹腔镜胃癌根治性切除术后穿刺孔种植转移瘤患者临床资料
| 例号 | 性别 | 年龄 | 手术方式 | 分化类型 | TNM分期 | 腹壁穿刺孔种植转移瘤 | ||||
|---|---|---|---|---|---|---|---|---|---|---|
| 术后时间(月) | 部位 | 大小(cm) | 手术方式 | 随访时间(月) | ||||||
| 1 | 女 | 59 | 腹腔镜根治性全胃切除 | 低分化腺癌 | T3N0M0 | 3 | 脐部皮下 | 2 | 腹壁肿瘤切除 | 7 |
| 2 | 男 | 66 | 腹腔镜远端胃癌根治术 | 印戒细胞癌 | T4N1M0 | 10 | 左侧腹壁肌层 | 3 | 腹壁肿瘤切除+腹壁缺损修补术 | 10 |
| 3 | 女 | 51 | 腹腔镜远端胃癌根治术 | 低分化腺癌 | T3N1M0 | 4 | 右下腹壁皮下 | 2 | 腹壁肿瘤切除术 | 19 |
| 4 | 男 | 50 | 腹腔镜远端胃癌根治术 | 低分化腺癌 | T4N1M0 | 30 | 脐部全层 | 3 | 腹壁肿瘤切除术+横结肠部分切除术 | 13 |
| 5 | 男 | 62 | 腹腔镜远端胃癌根治术 | 中分化腺癌 | T3N1M0 | 6 | 脐部全层 | 3 | 腹壁肿瘤切除术 | 24 |
4例行腹腔镜远端胃癌根治术,1例行腹腔镜根治性全胃切除。如肿瘤位于皮下组织、未侵及肌肉腱膜者,超过肿瘤边缘正常组织2~3 cm,进行皮肤及皮下组织切除或切除部分肌肉腱膜。肿瘤切除术后形成腹壁缺损为Ⅰ型,直接的皮肤与皮下组织拉拢缝合往往就可达到修复目的[2]。如果肿瘤位于腹壁肌肉或侵及腹壁肌肉者,超过肿瘤边缘正常组织2~3 cm,进行皮肤、皮下组织切除、肌肉及腱膜和腹膜切除(表1)。肿瘤切除后形成腹壁缺损为Ⅲ型,通过组织分离技术以及植入材料修复[2]。
术后患者切口愈合情况,是否存在切口感染、切口疼痛,术后切口疝发生情况。
患者出院后采用电话或门诊随访,了解患者的一般情况、肿瘤复发转移及生存情况。随访起始时间为腹壁切口种植转移瘤手术日,截至时间2018年12月1日。生存时间自手术时间到死亡时间或随访末次时间。随访时间7~24个月,平均14.6个月。
腹壁切口种植转移瘤出现在腹腔镜胃癌根治性切除术后3~30个月,其中3例出现在术后6个月(含6个月),1例出现在术后6~12个月,1例出现术后30个月。
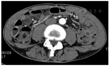
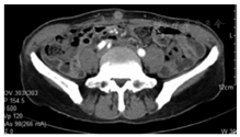
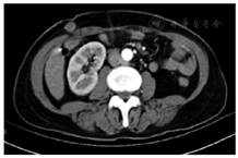
5例均在术前行腹部增强CT和MR排除腹腔及远处转移后行手术切除,术后恢复良好,无切口感染和切口疝发生。腹腔镜胃癌根治术大多采用"五孔法",各个穿刺孔都有可能发生种植转移。肿瘤位于皮下组织2例、肌层1例、脐部穿刺孔处2例(图1,图2,图3)。






腹壁肿瘤手术切除,原则上切除范围应超过肿瘤边缘正常组织2~3 cm,切除后形成腹壁缺损,需修复重建。根据2018年版腹壁切口疝诊断和治疗指南[3],2例肿瘤切除术后形成Ⅰ型腹壁缺,直接皮肤与皮下组织拉拢缝合。3例肿瘤切除术后形成Ⅲ型腹壁缺损,1例行腹壁肿瘤切除+腹壁缺损修补术腹膜腔内放置防粘连(IPOM),1例行腹壁肿瘤切除后经组织分离技术重建腹壁缺损,1例因肿瘤侵及横结肠、腹壁转移瘤切除+横结肠部分切除术后经组织分离技术重建腹壁缺损。
所有患者行腹壁切口种植转移瘤切除术后均进行电话和门诊随访,至随访截止时,2例已死亡(生存13和24个月),3例仍建在(随访最短7个月,最长19个月)。
不同消化道肿瘤腹腔镜手术后穿刺孔种植转移的发生率差异很大。3个大样本、多中心、随即对照结直肠癌研究COST、COLOR和UK MRC CLASICC分别报道了各自的结果,穿刺孔种植转移发生率分别为0.9%、1.3%和2.4%,T4期穿刺孔种植转移的发生率分别为3%、6%和14%[4,5,6]。Lee等[7]在2007年首次报道腹腔镜辅助胃切除术穿刺孔种植转移,Emoto等[8]在2012年报道伴有腹膜转移胃癌患者行腹腔化疗后腹腔穿刺孔种植转移率为1.5%。研究发现2000—2014年胆囊癌术后穿刺孔种植转移的发生率比1991—1999年显著下降[9]。自2014年1月至2018年1月在我院共收治腹腔镜胃癌根治性切除术后穿刺孔种植转移患者5例,其中3例在外院行原发肿瘤切除术。同期我院共开展腹腔镜胃癌根治性切除术750例,有2例发生穿刺孔种植转移,发生率约0.27%。由于患者失访率比较高,腹腔镜胃癌根治性切除术后穿刺孔种植转移的发生率可能会更高。手术器械污染、肿瘤细胞气雾化、烟囱效应、手术技术、过度碰触肿瘤、血源性播散和二氧化碳气腹均可导致切口的种植转移[10]。本组5例患者肿瘤侵及浆膜或浆膜外,手术中碰触肿瘤,导致肿瘤细胞脱落,可增加穿刺孔种植转移的概率。
研究表明腹壁肿瘤的扩大切除能明显改善患者预后[11,12]。本组有4例肿瘤局限于腹壁、无其他部位复发,1例脐部穿刺孔种植转移侵及横结肠、无其他部位复发,腹壁穿刺孔种植转移瘤切除术后生存时间可超过24个月。有关腹腔镜手术后穿刺孔种植转移瘤治疗的报道非常少,Kim等[13]报道了1例胃癌患者腹腔镜胃癌切除术后穿刺孔种植转移,转移瘤切除术后随访50个月无复发。Kihara等[14]报道了1例肝癌患者腹腔镜肝切除术后穿刺孔种植转移,转移瘤切除术后随访8个月无复发。
穿刺孔种植转移瘤位置表浅,手术切除肿瘤并不困难,对于无腹腔内和远处复发转移的患者,行手术治疗可能提高患者的预后。腹壁转移瘤切除术后行成腹壁缺损,需根据缺损的类型采用合理的腹壁重建方法。关于穿刺孔种植转移瘤治疗的报道以个案为主,仍需大样本的回顾性或前瞻性研究进一步证实外科治疗的疗效。
所有作者均声明不存在利益冲突





















