
本文报道一例59岁女性患者,因间断性左上腹部疼痛1周入院。查体发现:脾脏异常增大;腹部CT提示:脾脏明显增大,内见类圆形肿块影,大小约12.2 cm×9.4 cm,病灶密度不均,其内见斑片状更低密度影。手术切除,后经病理诊断为脾上皮样血管内皮细胞瘤,伴出血和坏死。
版权归中华医学会所有。
未经授权,不得转载、摘编本刊文章,不得使用本刊的版式设计。
除非特别声明,本刊刊出的所有文章不代表中华医学会和本刊编委会的观点。
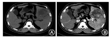
患者女,59岁,因间断性左上腹部疼痛1周入院。既往体健。查体:脾脏异常增大,左上腹部压痛,余未见异常。实验室检查:白细胞4.46×109/L,红细胞4.03×1012/L,血红蛋白107 g/L,血小板102×109/L;肿瘤标志物正常。腹彩提示:脾内实质性略强回声光团,回声欠均。腹部CT提示:脾脏明显增大,内见类圆形肿块影,大小约12.2 cm×9.4 cm,病灶密度不均,其内见斑片状更低密度影,动脉期不均匀强化,静脉期、延迟期逐渐充填,其内低密度始终未见强化(图1A、图1B)。术前诊断:脾占位性病变。患者全麻下行脾切除术。术中探查见脾肿大,质地柔软,颜色正常,周围未见异常粘连,脾门未见淋巴结肿大。病理报告:脾脏标本14 cm×13 cm×8.6 cm,切面见灶状、放射状、灰白色、实性、质韧区,余切面红褐色、实性、质软;镜下见肿瘤细胞呈上皮样生长,其间可见小的分支血管形成,细胞内血管腔形成水泡细胞(图2A, 图2B, 图2C);免疫组化结果:CD31(+),CD34(+),Ki-67(约+10%)(图2D, 图2E, 图2F)。病理诊断:脾上皮样血管内皮细胞瘤,伴出血和坏死。




上皮样血管内皮细胞瘤(EHE),又名组织细胞样血管内皮细胞瘤,是一种具有转移潜能的交界性或中间型血管源性肿瘤,大约占血管源性肿瘤的1%,好发于四肢浅表和深部的软组织,亦可见于前纵隔、肝、肾等脏器[1,2],可见于任何年龄,女性较多见[3]。1982年Weiss首次提出EHE[4],其中脾EHE极为罕见[5]。
脾EHE无特异性症状,部分患者出现左上腹疼痛,亦可见恶心、呕吐、腹胀、便秘等症状,中央坏死者则常合并贫血、低热、消瘦等症状[6]。CT是主要术前诊断依据,平扫提示脾脏内低密度肿块,可见出血及钙化灶,增强提示内部不均匀强化,可见分隔,边缘环形强化,延迟期呈低密度。超声提示占位呈实性改变、回声不均匀。组织病理学是脾EHE诊断金标准,常见特征如下:(1)可见嗜酸性上皮样细胞,其内可见空泡及红细胞,这种单细胞原始性管腔结构是EHE的特点;(2)肿瘤细胞呈巢状或条索状排列,具有内皮细胞分化的特点,可见黏液基质浸润其间;(3)微观结构可见内皮基板、吞饮小泡及Weibel-Palade小体(W-P小体,W-P小体是内皮细胞特有的细胞器);(4)免疫组化可见内皮细胞相关标志物,如CD31/CD34/FⅧ因子等阳性,对诊断起关键性作用[7]。另有文献报道称,EHE的发生与基因异常表达相关,现已检测到如下染色体异常:染色体12q12-13与12q14-21扩增;11q21缺失;另外1号及3号染色体易位t(1;3)(p36;q25),形成WWTR1-CAMTA1和YAP1-TTF3融合基因,FISH及RT-PCR技术可检测,可作为病理形态及免疫组化不确定时的进一步诊断依据。有学者研究发现,EHE高表达CAMTA1蛋白,对于疾病诊断具有很高的敏感性与特异性,血管瘤、血管肉瘤及其他肿瘤未见表达。
脾EHE常需与如下疾病鉴别:(1)脾上皮样血管肉瘤:该瘤内皮细胞异型性明显,核分裂象多见,内含不规则血窦样腔隙。(2)脾上皮样肉瘤:瘤结节呈地图状,好发于远端肢体,中心坏死,周围见嗜伊红肿瘤细胞。(3)脾转移性腺癌:由于脾EHE细胞内含空泡,类似于腺癌或黏液腺癌。(4)脾梭形细胞血管内皮瘤:其为一种非肿瘤性的良性血管瘤,多见薄壁海绵状的血管网及梭形细胞构成的实体细胞区。
脾EHE为低度恶性肿瘤,侵袭力弱,故很少转移,预后一般较好[8]。该病治疗当以手术为主,首选全脾切除,高危患者需联合脾门淋巴结清扫,儿童尚需权衡切脾后对免疫功能的影响。该疾病放化疗效果未明确,目前认为脾EHE对于好放化疗效果微弱。此外,有研究表明,非甾体抗炎药塞来昔布有抑制血管生成的作用,对脾EHE有治疗作用。最近国外文献报道EHE为完全恶性肿瘤,复发率高,可能发生血液和淋巴结转移[3,9],因此,发生于脾脏的EHE需警惕远处转移,术后密切随访。
所有作者均声明不存在利益冲突





















