
探究胃泡大小与咽喉反流性疾病(LPRD)患者的反流模式的相关性。
回顾性研究2016年2月至2018年11月间,在战略支援部队特色医学中心就诊,有咽喉反流(LPR)症状且同时接受Dx-pH监测和立位胸片检查的患者,纳入Dx-pH监测阳性且胸片上胃泡可判读的52例作为病例组,然后根据pH监测将病例组分为单纯立位阳性组、单纯卧位阳性组和双体位阳性组。选取pH监测阴性的13名健康志愿者作为对照组,比较组间一般状况、胃泡测量数据及pH监测数据。
共52例患者纳入研究,其中单纯立位阳性35例(67.3%)、单纯卧位阳性9例(17.3%)、双体位阳性8例(15.4%)。四组胃泡高度分别为:单纯立位阳性组(26±14)mm、单纯卧位阳性组(9±8)mm、双阳性组(20±13)mm、对照组(17±15)mm,四组间比较差异有统计学意义(均P=0.004),单纯立位阳性组、双体位阳性组和单纯卧位阳性组呈递减趋势,两两比较显示单纯立位组与单纯卧位组间差异有统计学意义(P=0.001),单纯立位组与对照组间差异有统计学意义(P=0.034)。胃泡宽度和胃泡面积比较呈现同样趋势,但差异无统计学意义(P=0.340,P=0.186)。以LPRD单纯立位和单纯卧位反流模式与胃泡高度做ROC曲线,得出胃泡高度的最佳分类界值为11 mm,依此将病例组分为高、低胃泡两组,两组间LPRD反流模式分布比较差异有统计学意义(P<0.001),其中高胃泡组单纯立位反流比例显著高于低胃泡组,低胃泡组单纯卧位反流比例显著高于高胃泡组。pH监测的反流参数比较同样显示:低胃泡组的卧位反流参数均高于高胃泡组,高胃泡组的立位反流参数均高于低胃泡组,差异均有统计学意义(均P<0.001)。
胃泡高度与LPRD患者反流模式存在显著相关性。单纯立位反流患者的胃泡显著高于单纯卧位反流患者,以11 mm为界值,高胃泡较易发生立位LPR,低胃泡较易发生卧位LPR。
版权归中华医学会所有。
未经授权,不得转载、摘编本刊文章,不得使用本刊的版式设计。
除非特别声明,本刊刊出的所有文章不代表中华医学会和本刊编委会的观点。
胃泡是正常的胃部结构,一般情况下,胃内会有一定的气体,由于重力作用,立位时常上浮于胃底,在透视检查的时候,X线容易透过这一区域,表现为透亮区,放射学中称为胃泡。既往研究认为胃内的大量气体会触发胃贲门的牵张感受器而引起食管下括约肌的一过性松弛(TLESRs)[1,2],而TLESRs正是引起胃食管反流病(GERD)和咽喉反流性疾病(LPRD)的重要机制[3,4]。鉴于上述机制,胃内气体与GERD的关系引起了一些学者的关注,研究显示胃内气体与GERD的关联不大,但与胃食管气体反流有一定相关性[5,6]。LPRD作为另一种常见的反流性疾病,其发病率高,症状多样,近年来成为研究的热点,根据LPRD中反流事件发生的体位不同可以分为三种模式的反流:立位反流、卧位反流和双体位反流模式,既往研究显示LPRD以立位反流模式为主[7,8,9],且立位反流物以气态和气液混合态为主[10]。那么胃泡大小是否与LPRD尤其与立位的咽喉反流(LPR)相关呢?既往无相关研究。
近几年在临床广泛应用的Dx-pH监测可以直接监测咽部pH变化,它使用的锑电极不但可以监测液体反流,还可以监测雾化或汽化的酸性微粒反流,目前Dx-pH监测已成为LPRD的诊断标准之一[11]。本研究通过Dx-pH监测将LPRD患者分为不同的体位反流模式,比较其胸片上胃泡的大小,并比较了不同胃泡大小LPRD患者的反流模式和反流参数,旨在探究胃内气体的多少与LPRD患者的反流模式的相关性。
回顾性分析2016年2月至2018年11月间,在战略支援部队特色医学中心耳鼻咽喉头颈外科就诊,有咽喉反流症状(包括咽干、咽痛、声音嘶哑、咳嗽、咽部异物感、清嗓、吞咽不畅及痰多等任一或多个症状)且病史1个月以上的患者的临床资料。患者均同时接受Dx-pH监测和立位胸部正位片检查,pH检查前均未服用或停用胃黏膜保护剂,质子泵抑制剂,促胃肠动力药物至少1周。
入选标准:年龄≥18岁,存在咽喉反流症状1个月以上,行Dx-pH监测且监测结果为阳性(立位Ryan指数>9.41和/或卧位Ryan指数>6.79),同时在pH监测前后1 d(含当日共3 d)内接受立位胸部正位片检查。排除标准:未成年病例、Dx-pH监测阴性病例、无限定日期内胸片结果或有胸片结果但存在间位结肠等影响胃泡大小判断的病例、可疑妊娠、严重肺部疾病或有上消化道手术史者。
对照组为无典型的LPRD症状和体征且口咽部pH监测阴性的15名健康志愿者,其入选标准为:年龄≥18岁、非妊娠期、无LPRD及GERD典型症状、反流症状评分表(RSI)和反流体征评分表(RFS)评分低于2分、可配合完成24 h口咽部Dx-pH监测和胸片采集,无严重心肺疾病及上消化道手术史。其中2例胸片上因间位结肠致胃泡无法准确测量,予以排除,对照组共纳入13名志愿者。所有纳入对象均签署知情同书,且通过本中心伦理委员会审查。
(1)监测方法:采用Restech pH探头(Respiratory Technology公司,美国)对所有研究对象进行24 h咽部pH监测。监测电极使用前均在pH4.0和pH7.0校准液内校准。经鼻插入监测导管,探头至软腭下缘1 cm处,导管另一端使用皮肤贴膜固定于一侧面部,并与夹在衣领处的无线数据发射器相连。记录24 h后拆除仪器,输出数据报告。指导受试者记录咳嗽、反酸等症状及进食、平卧、坐起等事件及时间,并进行宣教,监测过程中避免进食山楂、橙汁、酸奶等可能引起结果误差的酸性食物,按平时作息规律活动及休息。(2)结果判读:依据非进食状态下立位pH<5.5,卧位时pH<5.0这两个刻度下24 h反流事件总次数、反流时间百分比及最长反流时间等参数,由计算机软件计算出来Ryan指数。Ryan指数立位>9.41和/或卧位>6.79判断为阳性结果,其中立位>9.41且卧位>6.79为双体位阳性、立位>9.41且卧位≤6.79为单纯立位阳性、立位≤9.41且卧位>6.79为单纯卧位阳性。
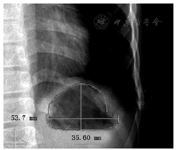
(1)检查方法:立位胸部平片检查体位采用后前位,摄片仪器为德国西门子DR机(Axiom Aristos VX),胸片拍摄条件为电压125 kV,1.26 mAs,胶片距1.8 m,自动调节曝光时间,在患者吸气后屏气时进行自动曝光。(2)结果判读:根据入选标准和排除标准将符合标准的初选病例的ID号和胸片拍摄日期分别提供给1名耳鼻喉科和1名消化科高年资主治医师,通过医院PACS系统(Synapse,FUJIFILM公司)调出胸片图像,调节窗宽、窗位,使胸片上的胃泡达到最佳的视觉效果,然后使用内置测量工具对胃泡高度、宽度以及面积进行测量(图1),测量前对两人进行判读标准的培训,且规定胸片上未见胃泡的病例以上三个测量数据均设为0(mm或mm2)。对两人认为存在间位结肠的原因导致胃泡无法准确测量的病例予以集中讨论后排除。取两者测量平均值纳入统计。


采用SPSS 24.0统计软件进行数据分析。正态分布分计量资料用
±s表示,非正态分布计量资料用[M(Q1,Q3)]表示。正态分布计量资料组间比较采用t检验或单因素方差分析;非正态分布计量数据组间比较采用Wilcoxon秩和检验;计数资料组间比较采用χ2检验;两组计量数据的相关性分析,首先做散点图,若发现有线性趋势,行双变量Pearson相关性分析,检验水准均设为0.05,P<0.05为差异有统计学意义。
根据本研究入选及排除标准,共纳入病例52例;其中男36例、女16例;年龄18~78岁,中位年龄48岁;临床诊断为声带息肉10例,声突肉芽肿3例,声带任克水肿2例,声带囊肿3例,声带小结2例,咽喉炎25例,阻塞性睡眠呼吸暂停低通气综合征6例,哮喘1例。
根据立位和卧位Ryan指数,将52例病例分为单纯立位阳性组、单纯平卧位阳性组及双体位阳性组,52例研究对象中,单纯立位阳性35例(67.3%)、单纯卧位阳性9例(17.3%)、双体位阳性8例(15.4%),各组间性别、年龄、身高、体重等基本特征具有可比性(表1)。

不同反流模式组基本特征比较
不同反流模式组基本特征比较
| 基本特征 | 单纯立位阳性组(n=35) | 单纯卧位阳性组(n=9) | 双体位阳性组(n=8) | 对照组(n=13) | P值 |
|---|---|---|---|---|---|
| 男性(例) | 23 | 8 | 5 | 8 | 0.568 |
年龄(岁, ±s) | 40±15 | 37±13 | 49±11 | 42±15 | 0.117 |
身高(cm, ±s) | 171±7 | 172±10 | 169±6 | 173±13 | 0.810 |
体重(kg, ±s) | 74±9 | 77±10 | 68±15 | 77±12 | 0.535 |
根据入选标准和排除标准初选病例56例,其中4例因间位结肠导致胃泡无法准确测量予以排除(图2A),共有52例病例的胃泡测量数据纳入统计,其中存在胃泡48例(92.3%)、4例未发现胃泡(7.7%),对照组13例中存在胃泡11例(84.6%),未见胃泡2例(15.3%)(图2B),胃泡存在率病例组与对照组间差异无统计学意义(P>0.05)。


注:A示存在间位结肠,影响胃泡判读;B示立位胸部平片中未见胃泡
对两位医生的三组测量数据分别做散点图,均可见有明显的线性相关趋势,行双变量Pearson相关性分析显示两者相关性高(高度r=0.966、P<0.001,宽度r=0.975、P<0.001,面积r=0.952、P<0.001),取两者均值行进一步统计分析。
胃泡高度比较显示四组间差异有统计学意义(P=0.004),单纯立位阳性组、双体位阳性组和单纯卧位阳性组呈递减趋势,事后两两比较显示单纯立位组与单纯卧位组间差异有统计学意义(P=0.001),单纯立位组与对照组间差异有统计学意义(P=0.034);胃泡宽度和胃泡面积比较呈现同样趋势,但差异无统计学意义(P=0.340,P=0.186)(表2,图3)。


注:aP<0.05

不同反流模式组胃泡各测量参数的比较(
±s)
不同反流模式组胃泡各测量参数的比较(
±s)
| 胃泡测量参数 | 单纯立位阳性组(n=35) | 单纯卧位阳性组(n=9) | 双体位阳性组(n=8) | 对照组(n=13) | F值 | P值 |
|---|---|---|---|---|---|---|
| 高度(mm) | 26±14 | 9±8a | 20±13 | 17±15 a | 4.99 | 0.004 |
| 宽度(mm) | 43±14 | 30±24 | 40±27 | 39±22 | 1.14 | 0.340 |
| 面积(mm2) | 716±537 | 286±324 | 648±598 | 575±542 | 1.65 | 0.186 |
注:与单纯立位阳性组相比,aP<0.05
单纯立卧位反流间胃泡高度差异有统计学意义,为找到区分两种反流模式的最佳胃泡高度界值,以LPRD单纯立位和单纯卧位反流模式与胃泡高度做ROC曲线,曲线下面积0.898(P<0.001),最佳诊断界值为11 mm(此时约登指数=0.666)(图4)。


以胃泡高度=11 mm为界值分类,以胃泡高度<11 mm为低胃泡组,胃泡高度≥11 mm为高胃泡组。52例LPRD患者43例为高胃泡,9例为低胃泡,高胃泡比例高于对照组(8例高胃泡、5例低胃泡)。病例组高胃泡43例中单纯立位阳性35例,单纯卧位阳性3例,双体位阳性5例;低胃泡9例中单纯立位阳性0例,单纯卧位阳性6例,双体位阳性3例。两组间LPRD反流模式分布差异有统计学意义(χ2=24.9,P<0.001),其中高胃泡组单纯立位反流比例显著高于低胃泡组,低胃泡组单纯卧位反流比例显著高于高胃泡组(表3)。

不同胃泡高度组反流模式分布(例)
不同胃泡高度组反流模式分布(例)
| 组别 | 单纯立位阳性 | 单纯卧位阳性 | 双体位阳性 | 对照组 |
|---|---|---|---|---|
| 胃泡高度<11 mm | 0 | 6 | 3 | 5 |
| 胃泡高度≥11 mm | 35 | 3 | 5 | 8 |
| 总计 | 35 | 9 | 8 | 13 |
注:χ2=24.9,P<0.001
比较病例组高低胃泡两组间的pH监测的反流参数,包括立卧位反流时间百分比、反流次数和最长反流时间。比较结果显示两组间上述数据间差异均有统计学意义(均P<0.001),其中低胃泡组的卧位反流参数均显著高于高胃泡组,高胃泡组的立位反流参数均显著高于低胃泡组(表4)。

不同胃泡高度组反流参数比较(n=52)[M(Q1,Q3)]
不同胃泡高度组反流参数比较(n=52)[M(Q1,Q3)]
| 组别 | 立位反流时间百分比(%) | 立位反流次数(次) | 立位最长反流时间(s) | 卧位反流时间百分比(%) | 卧位反流次数(次) | 卧位最长反流时间(s) |
|---|---|---|---|---|---|---|
| 胃泡高度<11 mm | 0.01(0,0.06) | 0.50(0,2.00) | 0.03(0,0.24) | 2.12(0.27,4.89) | 8.00(3.00,13.00) | 12.88(2.01,27.02) |
| 胃泡高度≥11 mm | 0.42(0.15,1.22) | 4.00(3.00,11.50) | 1.73(0.46,6.21) | 0 | 0 | 0 |
注:组间各反流反流参数比较均P<0.001
消化道内气体的量和成分受胃肠生理功能的影响,反映胃肠道健康状况。正常人消化道内约200 ml气体,其主要成分包括59%氮气、21%氢气、9%二氧化碳、7%甲烷、4%氧气和少量挥发性有机物[12]。消化道气体的主要来源是吞咽、肠道化学反应、肠道细菌酵解未被消化的食物和肠道黏膜细胞代谢等,既往研究显示消化道内气体的含量和成分与肠易激综合征、功能性消化不良等多种胃肠疾病相关[13,14]。正常情况下胃内约50 ml气体,其主要来自于吞咽,研究显示每次吞咽均有少量气体被咽入胃内[15]。大部分吞咽入胃的气体通过嗳气的方式排出体外,少部分经过肠道排出或吸收[2]。研究显示胃内气体量与吞咽气体的次数和数量相关,但一段时间内胃内气体的摄入和排出形成一种相对稳态,其体积受进食影响较小[6, 16],这为本回顾性研究的科学性提供了依据。很多研究显示胃内的大量气体会触发胃贲门的牵张感受器而引起TLESRs[1,2],生理情况下这种TLESRs会使胃内的气体反流进入食道最终经口排出,这是一次嗳气或打嗝的过程,是胃内气体排出的主要方式。生理情况下嗳气是一种正常现象,是胃防止过度膨胀而产生的自我防护机制,但是TLESRs也被认为是GERD和LPRD的重要发病机制[3,4]。
鉴于上述机制,胃内气体与GERD的关系引起了一些学者的关注,Watanabe等[5]曾研究了胃泡形状与GERD症状间的相关性,显示胃型的胃泡组GERD发病率和症状严重程度高于拱形胃泡组,但是此研究只关注了胃泡的形状,并未关注胃内气体量,胃泡形状可能随胃的蠕动和胃内容物性质变异较大,并且此研究GERD诊断及评估仅依靠症状评分,并无客观检查支持。Bredenoord等[6]的研究显示胃泡大小与气体吞咽量和食管气体反流相关,但与食管酸或弱酸反流并无显著相关,这虽然显示胃内气体量与GERD关联度不高,但提示我们与气体反流密切相关的立位咽喉反流可能与胃内气体量相关。本研究显示LPRD患者以单纯立位反流最多见(单纯立位阳性35例、占67.3%,单纯卧位阳性9例、占17.3%,双体位阳性8例、占15.4%),与既往研究和我们之前的发现相符[7,8,9]。单纯立位反流组的胃泡高度要显著高于对照组和单纯卧位组,胃泡宽度和胃泡面积呈现相同趋势,但差异无统计学意义,除了样本量较小的原因,另外由于胃底形状和胃泡形状的不同,有的胃泡呈扁平状,宽度和面积虽大,但气体距离贲门其实仍比较远,因此我们认为胃泡高度更能反映胃内气体与贲门的毗邻关系,也是该指标较敏感的原因。
本研究通过两种单纯体位反流模式与胃泡高度的ROC曲线得出11 mm为最佳的分类界值,将胃泡分为高胃泡(胃泡高度≥11 mm)和低胃泡(胃泡高度<11 mm)。本研究中的LPRD患者以高胃泡多见(43/52),高胃泡组发生单纯立位反流的比例显著高于低胃泡组,反之则单纯卧位反流的比例较高,且单纯立位反流患者基本完全是高胃泡(35/35)。pH监测数据的比较也显示高胃泡组的各项立位反流参数均显著高于低胃泡组,低胃泡组的各项卧位反流参数均显著高于高胃泡组。结论表明LPRD患者中以单纯立位反流者为主,单纯立位反流患者胃泡大于单纯卧位反流患者的胃泡,以胃泡高度最为明显,胃泡高度以11 mm为界值,大于等于该值的患者中较易发生立位反流,小于该值的患者较易发生卧位反流。
本研究显示关于胃泡大小与LPRD反流模式相关的原因主要有三个:(1)胃内气体的增多易诱发TLESRs,而TLESRs是LPRD的重要病因,这解释了为什么该组病例中以高胃泡者为多见。(2)立位时由于重力原因,胃内气体上浮于胃底。胃内气体的增多,尤其是胃泡高度的增高,使气体距离贲门更近,当发生下食管括约肌松弛时,气体或气液混合反流物较纯液体更易通过松弛的窄缝反流进入食道。卧位时(尤其时平卧及右侧卧位)气体离开贲门口,胃内液体或固体通过松弛的窄缝反流进入食道较困难。(3)既往研究显示反流物自胃进入食道后,由于反流物性质的不同会引发两种上食管括约肌(UES)的反射[17,18]。发生在立位TLESRs引起的主要是胃食管气体或气液混合反流,从而导致食管一过性迅速膨胀,主要刺激食管黏膜浅层感受器,继而引起UES的松弛,有利于气体排出,也被成为"嗳气反射";而平卧位的TLESR主要引起胃食管液体反流,食管表现为缓慢膨胀,主要刺激食管黏膜深层感受器,继而引起UES的收缩,也被称为"抗反流反射",也就是说反流进入食管的气体更易通过UES反流进入气道。
综上,高胃泡者立位时由于TLESRs增多、气体距离贲门近且容易逸出和嗳气反射三种原因,含气反流物容易进入食道继而通过松弛的UES进入咽喉,从而引发LPRD,而处于平卧位时气体离开胃底和贲门附近,上述三个条件均失效,只有当下食管括约肌(LES)松弛度允许液体反流物通过时才引发胃食管反流,还会触发抗反流反射,继而反流入咽喉引发LPRD的可能性明显减小,所以高胃泡组反流多发生在立位,且在LPRD患者中占多数。低胃泡者同样因为上述机制,只有当(LES)松弛足够引起液体反流,且足够克服食管的酸清除能力和UES屏障能力后方可导致LPRD,液态反流物向上反流需要克服的重力差和压力差在卧位时较小[19],所以低胃泡组反流多发生在卧位,且在LPRD患者占少数。双体位阳性者病理状态更加复杂,可能是原发,也可能继发于某一单纯体位反流,所以在本研究中胃泡变异较大,大小基本处于单纯立卧位反流阳性两组中间,但与其他两组间差异无统计学意义,其发病机制仍需进一步研究。
本研究首次关注了胃泡大小(胃内气体量)与LPRD反流模式之间的关系,发现胃泡高度在反映胃泡大小与反流模式关联时相关性最好。单纯立位反流患者的胃泡显著高于单纯卧位反流患者,以11 mm为界值,高胃泡较易发生立位LPR,低胃泡较易发生卧位LPR。本研究为回顾性研究,可能存在选择偏倚及数据变异性增大的缺陷,但仍得出了阳性结果,未来可进行前瞻性的研究进一步检验此结论。
LPRD是近年来的研究热点,其发病影响因素较多,如反流屏障的完整性、反流的频率和持续时间、反流物的酸度、食管廓清率、胃排空率、黏膜屏障的完整性、靶器官的敏感性等。我们的研究发现胃内气体量与咽喉反流模式间存在紧密的相关性,为深入认识LPRD提供了新的思路。将来进一步研究LPRD患者胃内气体量的影响因素以及其与疾病的联系机制对揭示LPRD的病理生理过程以及发展新型的治疗方案都有重大意义。
所有作者均声明不存在利益冲突

±s)
±s)
±s)



















