
总结肺放线菌病的临床特点,剖析其诊断方法。
回顾性分析浙江大学医学院附属第一医院10年间(2007年1月—2017年11月)收治的30例肺放线菌患者的临床症状、基础疾病、影像特征、初步诊断、确诊方法、治疗及预后等特点。
30例肺放线菌患者,年龄(59.5±7.8)岁(范围:47~81岁),病程5 d~48个月,中位病程1.5个月;18例(60.0%)合并基础疾病,10例(33.3%)有吸烟史,10例(33.3%)有嗜酒史;临床表现主要为咳嗽29例(96.7%),其次是咳痰22例(73.3%)、咯血20例(66.7%)、发热12例(40.0%)、胸痛5例(16.7%)和胸闷气短3例(10.0%)。影像学可表现为团块、结节、实变、不张,病灶中可有低密度坏死灶,空洞或空泡形成。25例(83.3%)行支气管镜检查,14例镜下表现异常者中5例表现为管腔内息肉样新生物,9例表现为管腔黏膜炎性改变,其中2例存在支气管异物,1例支气管内结石。所有患者均通过病理明确诊断。经支气管镜活检明确9例(30.0%);2例(6.7%)经CT引导下经皮肺穿刺活检、18例(60.0%)经外科手术切除病灶、1例(3.3%)经胸壁肿块穿刺明确。足量足疗程青霉素治疗有效。外科手术切除病灶辅以2~4周抗生素治疗有效。
肺放线菌病临床表现缺乏特异性,取得阳性病理标本是诊断本病的关键,首选支气管镜及经皮肺穿刺活检。
版权归中华医学会所有。
未经授权,不得转载、摘编本刊文章,不得使用本刊的版式设计。
除非特别声明,本刊刊出的所有文章不代表中华医学会和本刊编委会的观点。
肺放线菌病是一种由放线菌属导致的肺及气管的慢性化脓性肉芽肿性疾病,通常由以色列放线菌感染引起,是一种少见的呼吸系统疾病,其临床和影像学表现常缺乏特异性,极易被误诊及漏诊[1]。本研究回顾性分析肺放线菌患者的临床特点,并对其诊断方法进行剖析。
浙江大学医学院附属第一医院2007年1月至2017年11月间收治的30例肺放线菌病患者的临床资料。
满足以下条件之一:(1)病理组织鉴定找到放线菌,标本来源于肺切除术、经皮肺穿刺和支气管镜;(2)无菌组织(肺组织或者胸水)培养分离出放线菌;(3)痰液或肺泡灌洗液培养中分离出放线菌[2]。放线菌培养困难,本组30例患者均通过病理组织鉴定确诊。
统一制定调查表,内容包括患者临床特征及确诊方法、治疗方法及预后。患者临床特征:性别,年龄,病程,基础疾病(包括糖尿病、恶性肿瘤、慢性肾病、肺部基础疾病、心血管疾病、梅毒),不良生活习惯(吸烟史、饮酒史),实验室检验结果(包括血常规、C-反应蛋白、红细胞沉降率、痰培养、痰涂片、肿瘤指标),影像学检查结果(胸部CT平扫为主,部分患者同时行胸部CT增强或PET-CT检查),支气管镜检查,初步诊断,确诊方法(经支气管镜活检、经皮肺穿刺活检、外科手术病理),抗菌药物的选择及疗程,预后。
患者均进行了胸部CT平扫检查,部分患者同时行胸部CT增强检查。由2名放射科副主任医师进行结果判读、特点总结(包括病灶部位,性质,大小,数目,是否存在空洞、结节内钙化,病灶边缘特点,淋巴结肿大、胸腔积液等)。
采用SPSS 22.0统计软件进行分析。符合正态分布的计量资料用
±s表示,偏态分布计量资料用中位数表示。计数资料用例数及构成比表示。
30例患者中,男23例,女7例,男女比为3.3∶1;年龄(59.5±7.8)岁(范围:47~81岁);病程5 d~48个月,中位病程1.5个月。18例(60.0%)合并1种或多种基础疾病,10例(33.3%)有嗜烟史,10例(33.3%)有嗜酒史(白酒及黄酒为主)(表1)。所有患者HIV阴性,且未合并其他免疫缺陷的疾病。

30例肺放线菌病患者的临床特征
30例肺放线菌病患者的临床特征
| 项目 | 结果 | 项目 | 结果 | ||
|---|---|---|---|---|---|
| 性别(例,男/女) | 23/7 | 症状[例(%)] | |||
年龄(岁, ±s) | 59.5±7.8 | 发热 | 12(40.0) | ||
| 中位病程(月) | 1.5 | 胸痛 | 5(16.7) | ||
| 吸烟者[例(%)] | 10(33.3) | 胸闷气短 | 3(10.0) | ||
| 饮酒者[例(%)] | 10(33.3) | 病灶部位[例(%)] | |||
| 肺部基础疾病[例(%)] | 左主支气管 | 1(3.3) | |||
| 慢性阻塞性肺疾病 | 3(10.0) | 两肺病灶 | 1(3.3) | ||
| 支气管扩张 | 3(10.0) | 左上叶 | 7(23.3) | ||
| 肺癌 | 2(6.7) | 左下叶 | 7(23.3) | ||
| 支气管异物 | 2(6.7) | 右上叶 | 5(16.7) | ||
| 支气管结石 | 1(3.3) | 右中叶 | 2(6.7) | ||
| 其他系统疾病[例(%)] | 右下叶 | 6(20.0) | |||
| 高血压 | 6(20.0) | 右中下叶 | 1(3.3) | ||
| 梅毒 | 4(13.3) | 病灶特点[例(%)] | |||
| 糖尿病 | 4(13.3) | 结节灶 | 4(13.3) | ||
| 冠心病 | 2(6.7) | 肿块影 | 19(63.3) | ||
| 肾癌 | 1(3.3) | 肺实变 | 8(26.7) | ||
| 慢性肾功能衰竭 | 1(3.3) | 肺不张 | 7(23.3) | ||
| 症状[例(%)] | 支气管扩张 | 4(13.3) | |||
| 咳嗽 | 29(96.7) | 中心低密度灶 | 12(40.0) | ||
| 咳痰 | 22(73.3) | 空洞或空泡征 | 6(20.0) | ||
| 咯血 | 20(66.7) | 淋巴结肿大 | 13(43.3) | ||
咳嗽是最常见的症状,其中29例(96.7%)有咳嗽,其次是咳痰22例(73.3%),为黄黏痰或者白痰,其中1例咳黄色胶冻样痰;咯血20例(66.7%),表现为痰中带血或咯鲜红色血,无大咯血患者;12例(40.0%)有发热,体温37.5~39℃,合并乏力、纳差;胸痛5例(16.7%)及胸闷气短3例(10.0%)(表1)。
本研究30例患者在确诊肺放线菌前初步诊断为肺癌者19例(63.3%),其中1例为已确诊肺癌基础上合并放线菌感染,另1例最终手术病理提示肺腺癌伴肉瘤样癌合并放线菌感染;诊断为支气管扩张伴感染者4例(13.3%),其中1例合并支气管异物;诊断为肺炎者4例(13.3%),其中1例合并支气管结石,1例合并支气管异物;诊断为肺脓肿者2例(6.7%)、肺结核者1例(3.3%)。
30例患者中白细胞总数升高仅2例(6.7%),中性粒细胞比值升高共有16例(53.3%);超敏C-反应蛋白升高共有12例(40.0%),7例(23.3%)正常,11例(36.7%)无记录;红细胞沉降率升高共12例(40.0%),4例(13.3%)正常,14例(46.7%)无记录。肿瘤指标中癌胚抗原升高4例(13.3%),其中1例肺癌患者升高明显,其余3例为轻度升高(5.2~8.9 μg/L);鳞状细胞癌抗原轻度升高者3例(10.0%);神经元特异性烯醇化酶升高者无。痰培养及痰涂片均无异常。
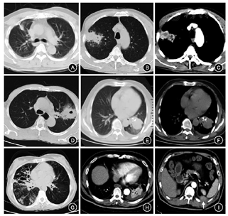
1例(3.3%)肺癌患者表现为气管隆突下、左主支气管内新生物阻塞影致左肺不张,余病灶分布见表1;影像学表现为不规则结节灶4例(13.3%)、肿块19例(63.3%),边界均不清,其中6例伴有毛刺征,9例病灶周围伴有磨玻璃样或斑片状渗出;存在肺实变表现8例(26.7%),其中1例伴有左侧第11/12后肋间隙肿块伴明显强化影;肺不张7例(23.3%);蜂窝状、囊柱状支气管扩张伴渗出病灶4例(13.3%);病灶中存在低密度灶共12例(40.0%),空洞或空泡样病变6例(20.0%),钙化灶4例(13.3%)(其中2例为异物、1例为支气管结石);合并胸腔积液6例(20.0%),胸膜牵拉8例(26.7%),胸膜增厚2例(6.7%),相应肺门或纵隔淋巴结肿大13例(43.3%)(图1)。3例(10.0%)患者行PET-CT检查,均显示病灶氟代脱氧葡萄糖代谢异常增高,提示肿瘤可能。


注:A.肺窗见右上叶前段结节状密度增高影,周围少许渗出病灶,胸膜牵拉;B.肺窗见右上肺片块状实变影,边界不清,周围散在渗出;C.增强窗见病灶内中心低密度灶,边缘强化明显,空泡征;D.肺窗见团片状肿块影,内见空洞影,边缘渗出病灶;E.肺窗见左肺下叶团片状实变影伴有肺不张;F.纵隔窗可见病灶内钙化灶,胸腔积液,气管镜证实钙化灶为支气管结石;G.肺窗见右肺囊状支气管扩张,树芽征;H.增强窗见左下肺实变影,胸腔积液;I.接H往腹部延伸见左侧第11/12后肋间隙肿块伴明显强化(箭头所示)
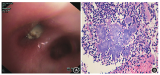
共25例(83.3%)行支气管镜检查,14例支气管镜检查异常者中5例表现为管腔内息肉样新生物,表面白色坏死物质(2例合并肺癌);9例表现为管腔黏膜炎性改变,黏膜肿胀、脓性分泌物或者血性分泌物,其中2例存在支气管异物(图2A),1例支气管内结石。25例行支气管镜检查者中,2例行经超声支气管镜肺活检。


注:A.支气管异物伴放线菌感染患者支气管镜检查下见右中叶开口异物阻塞,为骨性异物,黏膜充血肿胀;B.肺放线菌病患者肺组织炎性渗出物中大量中性粒细胞浸润,并见放线菌菌团(HE ×200)
所有病例均通过病理明确诊断。经支气管镜活检病理明确共9例(30.0%),其中2例经超声支气管镜肺活检病理明确,1例支气管镜下活检提示放线菌,但外科手术切除病理提示肺腺癌合并肉瘤样癌;2例(6.7%)经CT引导下经皮肺穿刺活检明确;1例(3.3%)经胸壁肿块穿刺病理明确;18例(60.0%)经外科手术切除病灶病理明确。病理学表现为:支气管黏膜及肺组织的慢性化脓性炎症,可见大量炎性细胞的浸润,伴有纤维组织增生和肉芽肿形成,局部脓性坏死物中可见真菌菌丝或菌团,形态上符合放线菌,显微镜下表现为菌落常呈菊花团状,中央紫蓝色,周围可见放射状排列的嗜伊红杵状体,末端呈棒状膨大(图2B)。本研究中12例(40.0%)行特殊染色,其中11例过碘酸雪夫(PAS)染色阳性,1例阴性;9例六胺银染色阳性,3例阴性;7例行抗酸染色阴性,5例未行抗酸染色。
本组30例患者中7例(23.3%)通过青霉素治疗半年或半年以上治愈,1例(3.3%)青霉素皮试阳性,使用头孢菌素半年治愈,1例(3.3%)确诊后回当地医院治疗后失访,2例(6.7%)合并肺癌而死亡,1例(3.3%)间断头孢菌素等治疗半年后病灶进展,拒绝再次气管镜检查后失访;18例(60.0%)手术切除者中12例经过术后短期(2~4周)头孢菌素抗感染治疗后未复发,2例青霉素过敏使用复方磺胺甲噁唑片治疗2周未复发,4例失访。
肺放线菌病主要由口咽部及胃肠道分泌物吸入呼吸道所致[3,4],亚急性-慢性起病,以40~50岁常见,男女比例为2∶1~4∶1,易感因素有龋齿、口腔卫生不良、酗酒、慢性消耗性疾病等[5],存在肺基础疾病,发生率更高[6]。本组中男性多见,中位病程1.5个月,有吸烟、饮酒患者,也有糖尿病、支气管扩张、肺癌等基础疾病者。有报道称支气管内感染与支气管结石、异物有关[7,8],本研究有相关病例,临床需警惕。
本组病例在未经病理证实前均诊断其他疾病,18例经历了不必要手术,临床医生面临的挑战是考虑本病的可能性,如何准确诊断、避免不必要手术,笔者总结以下几点供参考:(1)临床表现无特异性,常见症状为咳嗽、咳痰、咯血,影像与肺炎、肺结核、肺肿瘤等相似,但其影像特点并非无迹可寻。结合Cheon等[9]报道及本研究影像表现,总结特点如下:感染早期为肺外周性质不明、边界不清的结节,周围可见磨玻璃影[8];后结节发展成实变或团块影,可跨叶蔓延,甚至感染胸膜胸壁,本研究一例累及胸壁,经胸壁穿刺活检确诊。典型的实变或团块影内包含低密度灶,常伴空洞或空泡形成。空洞内无强化低密度灶中散在分布数个类圆形或条状气体影,气体影为含硫磺颗粒、放线菌的微脓肿或残存的扩张支气管,是不可流动的气体和液体,不形成气液平面而是悬浮于坏死灶中,即"空洞-悬浮气泡征",是区别其他疾病引起空洞样病变最具特征的表现[7,10]。本研究3例行PET-CT检查提示肿瘤,但肉芽肿性炎在PET-CT可表现为肿瘤样高代谢,PET-CT主要运用于怀疑恶性肿瘤需要手术时评估是否合并远处转移,而非用于鉴别两种疾病[11]。(2)放线菌培养困难[3],本研究病例均通过组织病理学确诊。获得阳性病理标本是诊断的关键。首选支气管镜甚至超声、虚拟磁导航等介入技术和(或)经皮肺穿刺活检等微创手段。本组18例经手术确诊,15例因肺部肿块影于胸外科初诊为肺癌,4例未行支气管镜检查,18例均未行经皮肺穿刺活检,临床医生需更多地分析临床和影像资料,选择恰当的诊断方法。
本病预后良好,放线菌对多种抗生素敏感,首选青霉素,疗程6~12个月[1,5]。手术治疗为辅助手段,以下情况可考虑手术[1,2,12]:不排除是否存在肿瘤;不能控制的咯血;药物治疗效果不佳;复杂的肺部放线菌病如支气管胸膜瘘等。本组18例手术患者14例术后短期(2~4周)使用抗生素治愈,国内外有类似报道[1,2],但有文献指出术后不充分抗生素治疗可能出现支气管胸膜瘘、脓胸等并发症[3,13],故术后抗感染疗程尚需进一步调查研究。
肺放线菌病是少见病,但预后良好,准确诊断是关键,临床医师遇到疑似患者,需积极获取组织标本,首选支气管镜及经皮肺穿刺活检。
所有作者均声明不存在利益冲突

±s)



















