
本文报道一例罕见的乙型肝炎病毒(HBV)感染继发冷球蛋白血管炎造成多系统受累,同时合并惰性淋巴瘤的患者。临床表现为急性肾损伤、心功能不全及贫血,早期积极采用美罗华联合环磷酰胺及泼尼松的治疗后,逆转了重要脏器损伤,症状逐渐改善,冷球蛋白水平下降。患者治疗过程中出现了头痛及MRI异常,通过完善脑脊液检查及影像学均未见明显异常,提示我们警惕可逆性后部脑病综合征这一罕见并发症,并作出正确的鉴别诊断。
版权归中华医学会所有。
未经授权,不得转载、摘编本刊文章,不得使用本刊的版式设计。
除非特别声明,本刊刊出的所有文章不代表中华医学会和本刊编委会的观点。
患者女,42岁,因"眼睑、双下肢水肿2年,双下肢皮疹6个月,胸闷3个月"于2018年9月就诊于北京协和医院。患者2016年7月起逐渐出现眼睑及双下肢可凹性水肿,眼睑水肿晨重暮轻,伴尿中泡沫增多,否认腰痛、尿频尿急尿痛及发热,否认尿量及尿色变化,外院予补充白蛋白及利尿治疗后水肿可好转,反复发作。患者2016年12月就诊我院,血常规:血红蛋白(Hb)78 g/L,平均红细胞体积(MCV)87.9 fl,网织红细胞(RET)绝对值31.1×109/L,白细胞(WBC)和血小板(PLT)正常;24小时尿蛋白(24 hUP)0.66 g;尿蛋白电泳:肾小球来源98%;肝肾功能:肌酐75μmol/L,白蛋白(Alb)38 g/L,乳酸脱氢酶(LDH)143 U/L。补体:C4测不出,C3 0.939 g/L,类风湿因子(RF)18.8 U/L,免疫球蛋白:IgM 23.65 g/L,IgG 5.89 g/L,IgA 1.97 g/L;抗核抗体、抗双链DNA、抗可溶性核抗原抗体均阴性;血清蛋白电泳(SPEP):M蛋白17.7 g/L;血清免疫固定电泳:IgM κ型(+);尿免疫固定电泳:κ(+);冷球蛋白:阳性,定量5.0%;乙肝5项:乙型肝炎表面抗原(+)>0.25U/L,乙型肝炎e抗体(+),乙型肝炎核心抗体(+)。乙型肝炎病毒(HBV)-DNA<1拷贝/L。骨髓涂片示增生活跃,粒系与红系比值4.36∶1,淋巴细胞比例增高,部分较正常淋巴细胞体积大,核偏位,核染色质聚集成块,胞浆量较多,呈灰蓝色不透明,边缘不整齐,呈"伪足"或"撕扯"状突出。骨髓活检可见结节状分布的小淋巴细胞及散在浆细胞,CD20(++),Cyclin D1(-),Ki-67指数5%,TdT(-),CD23(小灶+),Bcl-2(+),CD10(-),符合惰性B细胞淋巴瘤累及骨髓。骨髓免疫分型:存在部分异常表型B细胞,占7.5%,主要表达cKappa轻链限制性异常,HLA-DR,CD19,CD22,CD20,CD11c,CD38弱,不表达CD5,CD10,CD23,CD138,FMC7,CD25,CD103,sIgM。骨髓MYD88L265P、CXCR4S338X基因突变均为阴性。PET/CT:双侧扁桃体、颌下腺及舌下腺代谢增高(标准摄取值3.9~9.2);双侧颈部多发代谢增高小淋巴结(标准摄取值2.0~2.9);脾大,代谢增高(最大标准摄取值11.2)。考虑小B细胞淋巴瘤(边缘带淋巴瘤可能性大)、继发性冷球蛋白血症诊断明确,但蛋白尿是否与冷球蛋白血症相关尚不明确。患者及家属当时拒绝行肾穿明确肾小球病变病因及接受治疗。此后患者间断出现双下肢水肿,规律查血常规贫血情况基本同前,肝肾功能正常,未监测尿常规。2018年5月患者无明显诱因出现双下肢散在紫癜样皮疹,否认瘙痒、局部破溃,否认腹痛黑便,未予诊治,期间皮疹反复发作。2018年8月患者无明显诱因出现胸闷,活动耐量较前下降,夜间不能平卧,伴干咳,自述尿量较前减少(具体不详)。再次就诊我院查肾功能:尿素15.78 mmol/L,肌酐357 μmol/L,为进一步诊治收入我科。既往史:慢性乙型病毒性肝炎史10余年,规律服用恩替卡韦0.5 mg/次、1次/d抗乙肝治疗,高血压史1年余,不规律间断自服硝苯地平降压治疗;月经史:月经量大,2015年11月阴道大量出血,输血诊刮后好转,具体不详;2018年3月行全子宫双输卵管切除术后绝经。个人、家族史无殊。查体:贫血貌,双下肢可见散在紫癜样皮疹,稍高于皮面,全身浅表淋巴结未触及肿大,心律齐,各瓣膜区未闻及病理性杂音,双肺呼吸音清,未闻及干湿啰音,肝脾肋下未及,双下肢轻度可凹性水肿。
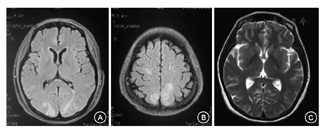
入院后完善检查:血常规:Hb 53 g/L,MCV 85.6 fl,RET绝对值19.8×109/L,WBC及PLT正常,Alb 29 g/L,LD 239 U/L,IgG 5.10 g/L,IgA 1.84 g/L,IgM 16.47 g/L,C4 0.040 g/L,C3 1.349 g/L。24hUP 2.69 g/24h,SPEP:M蛋白10.60 g/L。HBV-DNA 0.052U/L。冷球蛋白定性及定量:Ⅱ型(单克隆成分为IgMκ)、4.0%、1 112.5 mg/L;冷球蛋白检测HbsAg 0.050U/L。RF 11.4U/L,B型钠尿肽(BNP)369 ng/L。N末端B型钠尿肽原(NT-proBNP)7 424 ng/L,胸腹盆CT平扫:肝脾增大;腹膜后、盆腔及双侧腹股沟多发肿大淋巴结(大致同前);腹盆腔积液;胸腹部皮下组织水肿。骨髓涂片大致同前。考虑诊断Ⅱ型冷球蛋白血管炎(HBV相关),急性肾损伤,心脏受累不除外。于2018年9月7日、9月30日、10月20日、11月23日、12月24日、2019年1月22日、2月20日行第1~7程R-CP方案治疗,具体为:美罗华600 mg d0、环磷酰胺1.15 g d1、泼尼松100 mg d1~5。考虑患者为慢性HBV感染,且在抗病毒治疗中出现冷球蛋白血管炎加重,我们也对患者HBV耐药位点进行筛查,并未发现耐药,故将原有抗病毒治疗方案调整为恩替卡韦1 mg/次、1次/d。患者2程治疗后诉胸闷缓解、双下肢水肿消退及皮损好转,贫血及肾功能恢复至正常,复查NT-proBNP 564 ng/L,肾功能恢复后完善心肌MRI示:左房、左心室略增大;心包积液;室间隔基底段中层线样延迟强化,心肌病变不除外(图1)。治疗期间于2018年10月6日(第2疗程治疗第7日)曾出现剧烈头痛,外院头核磁共振弥散加权成像(MRI+DWI)示:双侧顶枕叶异常信号影(图2A、图2B)。行腰椎穿刺术,脑脊液常规、生化、白细胞介素(IL)-6、8、10均未见明显异常,脑脊液细胞未发现MYD88突变,脑脊液细胞学及免疫分型未见明显异常。此后无头痛再发。2018年11月14日行头部磁共振血管成像(MRA)及磁共振静脉成像(MRV)未见明显异常(图2C)。考虑为可逆性后部脑病综合征(PRES)。6程后复查血清蛋白电泳:M蛋白5.40 g/L,冷球蛋白定量:<1.0%、77.3 mg/L,C4 0.066 g/L,RF 4.883 U/L。HBV-DNA<0.02 U/L。


注:A示延迟强化扫描心肌未见明显延迟强化;B示平扫T1左室心肌平扫T1值弥漫升高(1 396 ms,MOLLI序列);C示细胞外间隙ECV大致正常(0.25),提示可能存在弥漫心肌病变


注:A和B为2018年10月6日外院头MRI检查图像;C为2018年11月14日复查头MRI T2W图像
患者诊断冷球蛋白血管炎明确,但患者同时存在小B细胞淋巴瘤和HBV感染,冷球蛋白病因的确定比较困难。通过与实验室沟通进行冷球蛋白表面HbsAg的检测,最终确定了冷球蛋白血管炎的病因。
患者治疗过程中出现头痛等中枢神经系统症状及MRI异常,冷球蛋白血管炎、小B细胞淋巴瘤均可有CNS受累,而患者脑脊液检查及查头MRV、MRA均正常。最终结合临床表现以及各项辅助检查结果考虑为PRES。
冷球蛋白血管炎临床表现多样,因此早期识别疾病相关临床表现并积极筛查、对因治疗,对避免严重的脏器功能损害至关重要。
冷球蛋白血管炎的治疗需根据患者的临床表现作出临床决策,面对合并心脏、肾脏等重要脏器受累的患者,应积极给予免疫抑制治疗。
患者中年女性,慢性病程,病程分为2个阶段,首先以眼睑及双下肢可凹性水肿起病,检查发现贫血、肾小球源性蛋白尿、IgM κ型单克隆丙种球蛋白血症、冷球蛋白阳性,骨髓中可见克隆性B细胞,PET发现多发淋巴结肿大、脾大、标准摄取值代谢增高。考虑小B细胞淋巴瘤合并冷球蛋白血症诊断明确,是否存在冷球蛋白肾损伤并不确切。而近期病情急性加重,表现为双下肢紫癜样皮疹、胸闷及急性肾损伤等多系统症状。
患者血清中检出Ⅱ型冷球蛋白,合并C4降低、RF升高,表现为典型的皮疹、肾功能不全等,考虑患者具有冷球蛋白沉积在中、小血管的终末器官损害,故冷球蛋白血管炎诊断明确。患者存在胸闷、活动耐量下降、夜间不能平卧等症状,BNP水平升高,由一元论解释,我们考虑为冷球蛋白血症心脏受累。明确患者存在冷球蛋白血管炎后,我们需要明确冷球蛋白血管炎的病因。冷球蛋白血症根据冷球蛋白种类分为3类:Ⅰ型冷球蛋白一般为单克隆的IgM或IgG,比较罕见的也可见IgA型,可继发于华氏巨球蛋白血症、多发性骨髓瘤、慢性淋巴细胞白血病等其他淋巴增殖性疾病,或意义未明的单克隆丙种球蛋白血症。Ⅱ型冷球蛋白为多克隆的IgG及抗IgG Fc段的单克隆IgM,据文献报道约90%继发于丙型肝炎病毒(HCV)感染,少部分继发于其他病毒的持续感染如HBV,或淋巴增殖性疾病、系统性结缔组织病等。Ⅲ型冷球蛋白通常为多克隆的IgG及多克隆IgM,多继发于自身免疫性疾病、病毒感染等[1,2,3]。患者既往诊断小B细胞淋巴瘤,但这是否就是冷球蛋白背后的原因呢?该患者HCV抗体阴性,但是具有乙肝病史。为了探究患者Ⅱ型冷球蛋白血管炎的病因,我们对患者的冷球蛋白进行了HbsAg的检测,结果显示冷球蛋白表面可检出HbsAg。早在1977年Levo等[4]就发现部分冷球蛋白血症患者其冷球蛋白表面可检出HbsAg。在意大利一项针对17例HBV感染相关冷球蛋白血症患者的研究,经过包括恩替卡韦、阿德福韦及拉米夫定的抗HBV治疗后患者RF水平下降,皮疹及关节痛好转,冷球蛋白定量下降,这也间接证明了HBV感染在这部分冷球蛋白血症发病中的作用,并与先前个案报道相符[5,6,7]。因此我们明确了本患者冷球蛋白血管炎的病因,即为HBV感染。
Ⅱ型冷球蛋白血管炎可表现为:皮肤损害(表现为紫癜、雷诺现象、网状青斑,甚至溃疡),关节痛或肌痛,周围神经病变(感觉异常多见),肾脏受累(蛋白尿,镜下血尿,可伴高血压、肾功能不全),肺受累(继发机化性肺炎或肺泡出血,常表现为呼吸困难、干咳),胃肠道受累(腹痛及胃肠道出血),心脏(心肌缺血及扩张性心肌病)及中枢神经系统受累(常见为缺血性卒中)等[8]。对冷球蛋白血管炎的治疗需要根据临床表现进行临床决策,当患者出现较为严重的表现如皮肤溃疡、肾小球肾炎,或进展性神经病变等,应积极给予免疫抑制治疗,一线治疗包括利妥昔单抗、激素及环磷酰胺;若出现致命性事件如胃肠道缺血、肺出血及中枢神经系统受累等,应同时予血浆置换;若患者存在潜在病因,则同时给予原发病治疗[1,8]。HBV感染相关冷球蛋白血管炎较为罕见,故治疗经验较少,目前针对这类患者治疗的报道均为抗病毒治疗。但是本患者存在急性肾损伤、可疑心脏受累,因此迫切需要强化免疫抑制治疗。尽管有报道称美罗华可明显改善冷球蛋白血症肾脏受累患者的预后,但我们尚未检索到有关美罗华应用于HBV感染相关冷球蛋白血症患者治疗的报道[5,8,9]。核苷类似物可以有效抑制乙肝病毒复制,减轻血清中病毒载量,大量研究已经证实此类药物能有效预防接受含美罗华方案治疗的非霍奇金淋巴瘤患者的HBV再活化[10,11,12]。借鉴美罗华在合并慢性HBV感染的淋巴瘤患者中的治疗经验,我们对于本患者选择R-CP方案治疗,在予免疫抑制治疗的同时也继续加强抗乙肝病毒治疗,并持续监测患者HBV-DNA水平。经过R-CP治疗后,本患者皮疹、贫血、肾功能、心功能均逐渐好转,同时冷球蛋白定量逐渐下降,这佐证了关于冷球蛋白血管炎导致皮肤受累、急性肾损伤、心脏受累的推断。在患者肌酐恢复至正常水平后我们完善了心脏MRI,结果提示室间隔基底段中层线样延迟强化,也符合合并冷球蛋白血管炎心脏受累的推测[13]。
患者病程第二阶段是在治疗过程中出现了头痛及MRI异常,猜想可能的病因包括冷球蛋白血管炎累及中枢、小B细胞淋巴瘤中枢侵犯等。冷球蛋白血管炎累及中枢可表现为卒中、癫痫或认知障碍,通常的MRI表现为脑室旁、放射冠及半卵圆中心长TR序列对称性白质高信号[14,15]。而小B细胞淋巴瘤累及中枢神经系统最常见的为华氏巨球蛋白血症(Bing-Neel综合征)。但疑点在于头痛发作为治疗过程中,患者其他症状及实验室检查结果均好转,且此后患者再无头痛表现。因此我们对患者完善脑脊液检查,包括脑脊液免疫分型、脑脊液MYD88检测以及头MRA、MRV均未见明显异常。分析患者头痛发作时MRI主要表现为两侧对称的,顶枕叶为著的病变,且头痛及影像学改变为一过性,综合以上,考虑为PRES。PRES通常起病急,可由肾衰、血压波动、细胞毒药物的使用或子痫等情况诱发,表现为头痛、视野缺损、意识障碍或癫痫等[16,17]。结合本患者在治疗过程中发病及既往高血压病史,因此我们认为其可能的诱因包括化疗药物的使用或高血压控制不佳。
本病例为一例罕见的HBV感染继发冷球蛋白血管炎,造成多系统受累,同时合并惰性淋巴瘤。患者临床表现为急性肾损伤、心功能不全及贫血,经美罗华联合环磷酰胺及泼尼松的治疗后,冷球蛋白水平下降,血红蛋白及肌酐恢复正常。结合本例患者的经验,我们认为当冷球蛋白血症合并重要脏器功能受损时需要早期识别并积极治疗,尤其是对于罕见脏器如心脏受累,需要临床医生提高警惕性,尽早筛查。此外,本患者治疗过程中出现了罕见并发症,尽管PRES大多数是可逆的,恢复后不遗留后遗症,但需要临床医师识别并作出正确的鉴别诊断。
所有作者均声明不存在利益冲突





















