
对比使用Advance®内轴型(AMP)膝关节置换假体保留后交叉韧带(PCL)与否的临床疗效分析。
回顾性分析青岛大学附属医院自2011年1月至2016年9月收治的使用AMP假体进行全膝关节置换(TKA)的病例,收集术前术后患者的西安大略和麦克马斯特大学骨关节炎指数评分(WOMAC)、膝关节协会评分(KSS)临床评分、KSS功能评分、膝关节活动度(ROM)及术后人工关节被遗忘指数(FJS),通过1∶1倾向得分匹配(PSM)获得匹配组后进行相关对比分析。
后交叉韧带保留(CR)组47膝、后交叉韧带代替(CS)组1 059膝获得完整评分数据,PSM匹配前两组除术前KSS临床评分差异无统计学意义外(分别为25±4和24±7,t=0.82,P=0.41),年龄、性别、体质指数(BMI)、术前WOMAC评分、术前KSS功能评分、术前ROM差异均有统计学意义(均P<0.05)。匹配获得CR组37膝与CS组37膝,匹配后两组在各术前指标方面差异均无统计学意义(均P>0.05)。各匹配组内术后在WOMAC评分、KSS临床评分、KSS功能评分、ROM均较术前优异(均P<0.05);两匹配组间术后WOMAC评分、KSS临床评分、KSS功能评分、ROM及FJS评分差异均无统计学意义(均P>0.05)。CR匹配组1膝术后PCL损伤。CR匹配组并发症发生率(8.1%)高于CS匹配组(2.7%),但差异无统计学意义(χ2=1.04,P=0.31)。
使用AMP假体时,CR型和CS型假体均可获得良好的临床疗效,CR型术后存在潜在PCL损伤等相关风险,术者需审慎选择合适类型假体。
版权归中华医学会所有。
未经授权,不得转载、摘编本刊文章,不得使用本刊的版式设计。
除非特别声明,本刊刊出的所有文章不代表中华医学会和本刊编委会的观点。
全膝关节置换手术(TKA)是治疗各种晚期严重膝关节疾病的最佳手术方式,能够极大地缓解疼痛,改善膝关节活动度[1]。从20世纪40年代开展以来,TKA假体的设计已逐步成熟,Advance®内轴型(Advance® medial pivot,AMP)膝关节假体自1998年上市以来,其内侧球窝设计重建了正常膝关节解剖结构,模仿膝关节的自然运动,越来越多地被应用到临床中[2]。AMP垫片的类型分为保留后交叉韧带(PCL)型(cruciate retaining,CR)垫片和不保留PCL型(cruciate substitute,CS)垫片,而TKA术中是否需要保留PCL仍有争议[3,4]。本研究回顾使用AMP两种不同垫片置换术前与术后的资料,使用倾向得分匹配(PSM)的方法,对AMP假体置换保留PCL与否的临床效果进行对比分析。
纳入标准:(1)青岛大学附属医院自2011年1月至2016年9月收治的经保守治疗无效而行AMP人工全膝关节假体进行膝关节置换的各种严重膝关节病患者,包括经保守治疗无效或效果不佳的原发性膝骨性关节炎、类风湿性膝关节炎、创伤性膝关节炎等;(2)术前病例资料完整者。排除标准:(1)非初次置换手术,如单髁假体置换后更换为AMP全膝、其他全膝假体置换后使用AMP假体翻修等;(2)术后合并严重影响术后随访配合的疾病,如脑梗后遗症、严重外伤、其他重大手术等。
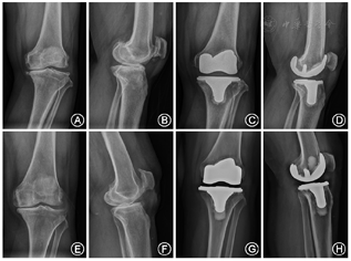
手术在神经阻滞麻醉或全身麻醉下进行,全程使用止血带。所有病例均为前正中切口的内侧髌旁入路显露,切断前交叉韧带,部分松解挛缩组织,股骨侧采用髓内定位,截除股骨远端骨质9 mm,髁间截骨仅去除薄片骨质。CR组保留PCL,CS组则切除PCL。胫骨侧采用髓外定位,内翻膝定位外侧平台截骨,外翻膝则定位内侧平台截骨。两组均不置换髌骨,仅做髌周去神经化处理并修整髌骨关节面,试模测试关节稳定性及活动度后,骨水泥固定股骨和胫骨假体,植入相应垫片(图1)。两组术后处理方法一致,术后当天麻醉恢复良好后即开始进行股四头肌舒缩运动和踝泵运动,术后患膝每天2次冰敷,常规预防性抗生素48 h和预防性抗凝治疗,24~48 h拔除引流管后即开始主被动屈伸膝功能及股四头肌力量康复锻炼,并借助助行器开始下地负重行走练习。出院后通过定期门诊复查或电话继续指导患者康复锻炼,嘱定期复查X线片(图2)。




回顾性分析患者术前西安大略和麦克马斯特大学骨关节炎指数评分(WOMAC)、膝关节协会评分(KSS)、膝关节活动度(ROM),采用门诊复查及电话随访的方式获得术后末次KSS评分、WOMAC评分、膝关节ROM,人工关节被遗忘指数(FJS)。
采用SPSS 22.0软件进行数据统计分析,计量资料采用
±s表示,采用独立样本t检验;计数资料采用率值表示,组间比较采用χ2检验。以P<0.05为差异有统计学意义。
PSM法是一种对非随机对照分组进行处理的研究方法,考虑术前组间协变量分布不均衡对评价保留PCL与否之间可能存在的偏倚,以是否保留PCL为因变量,以年龄、性别、体质指数(BMI)、术前WOMAC评分、术前KSS临床评分、术前KSS功能评分、术前膝关节ROM等7个变量为自变量,构建Logistic回归模型,得出每个研究对象的倾向得分分值,采用1∶1不放回最邻近匹配法,减少CR组与CS组患者基线特征的差异,使两组之间协变量均衡分布,以探讨PCL切除与否对术后效果是否有影响。
匹配前,1 106膝获得平均(48±16)个月随访,其中CR组47膝,CS组1 059膝;两组除KSS临床评分差异无统计学意义外(分别为25±4和24±7,t=0.82,P=0.41),其余指标如年龄、性别、BMI及术前WOMAC、术前KSS功能评分、术前膝关节ROM差异均有统计学意义(均P<0.05)。通过1∶1 PSM后获得的37膝CR匹配组与37膝CS匹配组,比较两组基本资料,在年龄、性别、BMI及术前WOMAC、术前KSS临床评分、术前KSS功能评分、术前膝关节ROM等各指标差异均无统计学差异(均P>0.05),两组具有可比性(表1)。

两组基线资料比较(
±s)
两组基线资料比较(
±s)
| 项目 | PSM匹配前 | PSM匹配后 | ||||||
|---|---|---|---|---|---|---|---|---|
| CR组(47膝) | CS组(1 059膝) | t值 | P值 | CR匹配组(37膝) | CS匹配组(37膝) | t值 | P值 | |
| 年龄(岁) | 64±7 | 67±7 | -3.7 | <0.01 | 64.6±6.5 | 67.3±6.3 | -1.8 | 0.08 |
| 性别比(男/女) | 0.09±0.28 | 0.18±0.38 | -2.1 | 0.04 | 0.11±0.31 | 0.11±0.31 | 0.0 | 1.00 |
| BMI(kg/m2) | 26±4 | 28±4 | -3.1 | <0.01 | 27±4 | 26±4 | 0.8 | 0.42 |
| WOMAC评分 | 77±5 | 73±10 | 4.9 | <0.01 | 76±6 | 78±7 | -1.2 | 0.24 |
| KSS临床评分 | 25±4 | 24±7 | 0.8 | 0.41 | 25±5 | 23±6 | 1.1 | 0.28 |
| KSS功能评分 | 35±12 | 30±16 | 2.2 | 0.03 | 34±12 | 34±14 | 0.1 | 0.89 |
| 膝关节ROM | 84±13 | 77±18 | 3.3 | <0.01 | 83±14 | 80±16 | 0.8 | 0.44 |
注:PSM:倾向得分匹配;BMI:体质指数;WOMAC:西安大略和麦克马斯特大学骨关节炎指数评分;KSS:膝关节协会评分;ROM:活动度
各匹配组内术前与术后末次随访时在WOMAC评分、KSS临床评分、KSS功能评分、膝关节ROM等各评分指标差异均有统计学意义(均P<0.01)(表2)。

各匹配组术前与末次随访时评分比较(
±s)
各匹配组术前与末次随访时评分比较(
±s)
| 项目 | CR匹配组 | CS匹配组 | ||||||
|---|---|---|---|---|---|---|---|---|
| 术前 | 末次随访 | t值 | P值 | 术前 | 末次随访 | t值 | P值 | |
| WOMAC评分 | 76±6 | 27±11 | 35.2 | <0.01 | 78±7 | 26±10 | 42.9 | <0.01 |
| KSS临床评分 | 25±5 | 83±10 | -33.4 | <0.01 | 23±6 | 86±5 | -46.0 | <0.01 |
| KSS功能评分 | 34±12 | 72±13 | -10.3 | <0.01 | 34±14 | 70±14 | -9.8 | <0.01 |
| 膝关节ROM | 83±14 | 101±12 | -11.7 | <0.01 | 80±16 | 98±13 | -8.9 | <0.01 |
注:WOMAC:西安大略和麦克马斯特大学骨关节炎指数评分;KSS:膝关节协会评分;ROM:活动度
两匹配组术后末次随访时WOMAC评分、KSS临床评分、KSS功能评分、膝关节ROM、FJS评分等各评分指标差异均无统计学意义(均P>0.05)(表3)。

术后末次随访时两匹配组间各评分指标比较(
±s)
术后末次随访时两匹配组间各评分指标比较(
±s)
| 项目 | CR匹配组 | CS匹配组 | t值 | P值 |
|---|---|---|---|---|
| WOMAC评分 | 27±11 | 26±10 | 0.3 | 0.78 |
| KSS临床评分 | 83±10 | 86±5 | -1.4 | 0.16 |
| KSS功能评分 | 72±13 | 70±14 | 0.6 | 0.52 |
| 膝关节ROM | 101±12 | 98±17 | 0.9 | 0.39 |
| FJS评分 | 58±17 | 53±21 | 1.1 | 0.27 |
注:WOMAC:西安大略和麦克马斯特大学骨关节炎指数评分;KSS:膝关节协会评分;ROM:活动度;FJS:人工关节被遗忘指数
匹配后的74膝中,CR匹配组2膝诉膝前疼痛伴关节异响,1膝术后3年外伤致膝关节前后脱位伴PCL损伤,经复位外固定治疗后仍有疼痛伴行走时关节不稳,继续观察随访中;CS匹配组1膝因感染行翻修手术;所有匹配后病例未出现深静脉血栓、假体松动、假体周围骨折等并发症。CR匹配组并发症发生率(8.1%)高于CS匹配组(2.7%),但差异无统计学意义(χ2=1.04,P=0.31)。
内轴型膝关节假体自上市至今20年来,全球已有超过50多万人使用进行TKA手术,其通过内侧枢轴设计,在内侧膝关节面形成"球-窝"型单一曲率半径的运动模式,符合正常生理的膝关节运动特点,提供了高稳定性和屈膝度,内轴型膝关节置换系统得到了大量膝关节运动学研究结果的支持[5,6]。目前有多家公司推出上市了内轴设计理念的膝关节置换系统,例如瑞士Medacta公司的GMK Spher置换系统,英国MatOrtho公司的SAIPH置换系统、日本Nakashima公司的FINE置换系统、美国Zimmer Biomet公司的MC置换系统等,其中以美国Wright公司(现隶属Microport公司)的AMP置换系统在临床中使用最为广泛。Macheras等[7]报告了325例膝骨关节炎患者接受了AMP TKA手术(347膝),平均随访15.2年,所有患者在KSS评分、WOMAC问卷、SF-12问卷和牛津膝关节评分均显著改善,大多数患者(94%)能够进行适合年龄的活动,末次随访时平均膝关节屈曲120°,17年假体累计存留率为98.8%,结果表明该膝关节设计具有优异的长期临床结果。Bordini等[8]也报道了506例使用AMP假体的10年Kaplan-Meier生存率为96.3%,明显高于其他假体的95.7%。
关于膝关节置换时是否需要保留PCL,国内外仍存争议,多数学者认为保留PCL时本体感觉可能更好[3,4,9]。在AMP膝关节假体,无论使用CS型还是CR型垫片,其股骨组件和胫骨组件允许相互通用,两种垫片的前唇均抬高设计,通过将股骨假体限制在胫骨垫片的后1/3范围内,减少向前反常前移(矛盾运动),增强前方稳定性;CR型垫片内侧后面较CS型低平,其拥有后交叉韧带引导的屈膝路径,以较低的关节对合为特征,允许在深度屈膝时PCL所引导的移动和旋转活动。多项研究表明,在使用内轴型膝关节假体时,无论使用CR型垫片还是CS型垫片,临床效果、稳定性、关节活动度的改善及主观满意度等方面均无统计学差异[10,11,12,13,14],这与本研究的结果相一致。
PSM法是解决大样本观察性研究时选择偏倚及重要预后因素在组间分布不均衡而影响研究结果的常用研究方法之一,其要求对照组有足够的数量供配对选用才会达到更好的匹配效果[15],近些年该研究方法被广泛运用在样本量差异较大的大样本、非随机的观察性研究中[16,17,18]。本研究中CR组样本量较少,而CS组样本量较多,术前除KSS临床评分无统计学差异,其余在各项基线资料的比较,差异均有统计学意义,因此我们使用了1∶1 PSM的方法,对CR组与CS组匹配后对比各项基线资料均无统计学差异,最大程度减少因术前各种因素对术后评分的影响,结果表明无论PCL保留与否,AMP膝关节假体均表现了较优异的临床效果,各项评分均无统计学差异。但由于使用CR型垫片需保留PCL,这对术者操作技术的要求更高,学习曲线陡峭,对于合并PCL挛缩需松解时则更需要一定的经验,术中一旦发现PCL断裂,将不适合继续使用CR型垫片,且术后如因各种原因引起PCL的断裂或挛缩,造成膝关节疼痛或不稳定,使用CR型垫片患者的满意度可能会差强人意[3,19,20,21],这也是本组使用CR型垫片相对较少的原因之一。
使用AMP膝关节假体时,无论是保留PCL的CR型垫片还是不保留PCL的CS型垫片,均可获得较好的临床疗效,近中期随访结果显示二者的差异并不显著,保留PCL术后存在潜在的PCL损伤等相关风险,术者可根据患者特征、临床经验审慎选择合适类型假体。本研究属于中短期结果,仍需进一步增加研究样本量和随访时间,获得更有说服力的结果。
所有作者均声明不存在利益冲突。





















