
分析肺癌转移相关性急性胰腺炎(MIAP)患者的临床特征及预后,为临床早期诊断提供线索。
回顾性分析2002年1月至2019年9月北京协和医院收治的8例肺癌MIAP患者病例特点及转归,并与非肿瘤所致急性胰腺炎(AP)进行比较。
7例(7/8)为轻症AP,1例(1/8)为重症AP。4例(4/8)以AP为首发表现,自AP起病至肺癌确诊平均时间为(112±36)d。临床表现以腹痛(8/8)为主,其次为消瘦(4/8)、恶心呕吐(2/8)、梗阻性黄疸(1/8)等。肺癌分期均为Ⅳ期,7例(7/8)为小细胞肺癌,1例(1/8)为低分化腺癌。中位生存期11个月。与非肿瘤所致AP对比,肺癌MIAP患者年龄更大[(62±9)岁比(48±15)岁,P=0.018)],主胰管扩张(37.5%比3.1%,P=0.004)和腹腔淋巴结肿大(37.5%比6.3%,P=0.017)发生率更高;血红蛋白[(105.3±15.6)g/L比(147.9±24.8)g/L,P<0.001)]和红细胞压积(31.4±5.3比42.5±6.1,P<0.001)更低。
肺癌MIAP预后较差,症状不特异。老年、贫血、主胰管扩张和腹腔淋巴结肿大是其诊断线索,诊疗中应予以重视。
版权归中华医学会所有。
未经授权,不得转载、摘编本刊文章,不得使用本刊的版式设计。
除非特别声明,本刊刊出的所有文章不代表中华医学会和本刊编委会的观点。
急性胰腺炎(acute pancreatitis,AP)是消化科常见病,发病率约13~45/10万,且有持续增高的趋势,是消化疾病住院患者的首位病因[1,2]。约75%的AP由胆石症、高脂血症、酗酒导致,其他少见病因还包括手术、外伤、药物等,约10%的AP为特发性[3,4]。
恶性肿瘤转移相关性急性胰腺炎(metastasis-induced acute pancreatitis,MIAP)相对罕见,可能为肿瘤首发临床表现,易漏诊且预后较差。肺癌是全世界死亡率最高的癌症,多数患者确诊时已发生远处转移,胰腺转移发生率低,肺癌MIAP更鲜有报道[5,6]。另据尸检报道24%~40%小细胞肺癌可转移至胰腺,但多数症状不典型或无症状。约0.12%~7.50%的肺癌患者可出现MIAP,部分甚至以MIAP为首发表现。肺癌MIAP多为轻症,常规治疗病情易好转,若临床缺乏警惕,可能会延误肺癌的诊断,而早期发现肺癌MIAP则有利于改善肺癌预后[7,8,9]。但目前肺癌MIAP仍以个案报道为主,临床缺乏对该病的系统认识[10,11,12]。本文通过回顾性分析北京协和医院肺癌MIAP病例特点、诊断线索及预后,并与非肿瘤所致AP进行比较,以提高临床对该病的认识水平,最终改善患者预后。
收集2002年1月至2019年9月北京协和医院收治的8例肺癌MIAP患者的资料。急性胰腺炎诊断需满足下述3条标准中的2条:(1)急性、突发、持续、剧烈的上腹部疼痛,可向背部放射;(2)血清淀粉酶和(或)脂肪酶≥3倍正常值上限;(3)CT或磁共振成像显示胰腺炎特征性表现[13]。并依据2012年修订的亚特兰大标准将急性胰腺炎分为轻度(MAP)、中度(MSAP)和重度(SAP)[14]。肺癌诊断,通过CT引导下肺肿物穿刺活检、气管镜检查或手术获取组织或细胞学标本,病理学证实为原发性肺癌。肺癌MIAP诊断标准:(1)病理学证实的原发性肺癌;(2)临床符合AP诊断;(3)肺癌合并胰腺转移或胰周转移,诊断依据:影像学提示胰腺占位或胰腺周围占位;或活检证实病理为肺癌转移[依据HE染色及免疫组化甲状腺转录因子-1(TTF-1)、细胞角蛋白(AE1/AE3)呈阳性等判断];或肺癌的诊治随访中胰腺或胰周病灶新发或增大,经抗肿瘤治疗后病灶缩小;(4)除外其他非肿瘤因素所致AP[10,15]。排除标准:(1)资料不完整或无法分析者;(2)慢性胰腺炎急性发作;(3)非肿瘤原因所致急性胰腺炎(如胆石症、高脂血症、饮酒、高钙血症、化疗药物等)。对照组为非肿瘤所致AP患者,应用SPSS 25.0软件随机个案样本模块按照1∶4比例随机从北京协和医院2002年1月至2017年12月AP数据库[4,16,17]中抽取。
收集入组患者的基本人口学资料、入住ICU情况、临床症状、实验室及影像学结果、肺癌病理类型、分期和治疗情况。同时评估AP严重程度、局部和全身并发症、急性生理与慢性健康(APACHE)Ⅱ评分、Ranson评分。并通过电子病历和电话随访患者预后,随访终点为死亡。
采用SPSS 25.0统计学软件进行数据分析。计量资料采用
±s或平均数(范围)表示,应用独立样本t检验或Wilcoxon秩和检验进行分析;计数资料采用例(%)或例数表示,以χ2检验或Fisher精确检验进行分析。采用Kaplan-Meier法计算中位生存时间。以P<0.05为差异有统计学意义。
8例患者中,男6例、女2例,年龄(62±9)岁。MAP 7例(7/8),SAP 1例(1/8)(表1)。

8例肺癌MIAP患者的一般特点
8例肺癌MIAP患者的一般特点
| 项目 | 数据 | |
|---|---|---|
年龄(岁, ±s) | 62±9 | |
| 男[例(%)] | 6(75.0) | |
| 吸烟史[例(%)] | 3(37.5) | |
| 饮酒史[例(%)] | 2(25.0) | |
| 临床分型[例(%)] | ||
| MAP | 7(87.5) | |
| MSAP | 0 | |
| SAP | 1(12.5) | |
| 急性胰周液体积聚[例(%)] | 1(12.5) | |
| 脓毒症[例(%)] | 1(12.5) | |
| 器官衰竭[例(%)] | 1(12.5) | |
APACHEⅡ评分( ±s) | 6.3±2.9 | |
Ranson评分( ±s) | 1.6±1.2 | |
| 入ICU[例(%)] | 1(12.5) | |
| AP相关死亡[例(%)] | 0 | |
| 肿瘤相关死亡[例(%)] | 7(87.5) | |
注:MIAP:转移相关性急性胰腺炎;MAP:轻度急性胰腺炎;MSAP:中度急性胰腺炎;SAP:重度急性胰腺炎
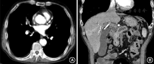
肺癌MIAP临床表现以腹痛(8/8)为主,其次为消瘦(4/8)、恶心呕吐(2/8)、梗阻性黄疸(1/8),背部放射痛(1/8)、皮肤紫癜(1/8)。腹部CT见AP改变(8/8)、胰腺占位(5/8)、腹腔多发肿大淋巴结(4/8)、主胰管扩张(3/8)等。胸部CT示肺部肿块(8/8)、纵膈或肺门淋巴结肿大(7/8)。5例完成腹部超声检查,2例(2/5)未发现明显异常,3例(3/5)发现胰腺低回声病灶。8例患者有5例(5/8)AP原因为胰腺占位,3例(3/8)患者为腹腔淋巴结肿大机械性压迫。图1示某例肺癌MIAP患者CT表现。


注:A示右肺中叶内侧段不规则密度增高影;B示胰腺钩突类圆形低密度影,胆总管胰内段管腔中断,病变以远胰管弥漫扩张,胰腺及胰周渗出性改变
8例患者中4例(4/8)以AP为首发表现,均为MAP,对症支持治疗1周左右腹痛缓解,自AP起病至肺癌确诊平均时间为(112±36)d。2例放弃肺癌治疗,2例接受药物化疗后未再发作AP。4例在肺癌治疗过程中出现,3例为MAP,1例予舒尼替尼化疗联合胰腺局部放疗后好转,2例对症治疗1周腹痛缓解后继续肺癌化疗或(和)放疗;另1例为SAP,对症治疗后放弃继续肺癌治疗。以AP为首发表现的中位生存期为6个月(95%CI:1~12),低于非首发表现者[17个月(95%CI:1~33)],但两者差异无统计学意义(P=0.246)。
8例患者确诊时均伴有胰腺之外的远处转移,包括腹腔淋巴结(7/8)、肝脏(4/8)、脑(2/8)、骨骼(2/8)、肾上腺(2/8)、骨髓(1/8)和胸膜(1/8)。肺癌分期均为Ⅳ期,7例组织学为小细胞肺癌,1例为低分化腺癌。除1例患者仍在随访中,7例(87.5%)死亡,中位生存期为11个月(95%CI:1~21),均因肺癌进展而死亡,无AP相关性死亡(图2)。


肺癌MIAP患者的年龄、主胰管扩张和腹腔淋巴结肿大的比例明显高于非肿瘤所致AP组,两组差异均有统计学意义(P<0.05)。肺癌MIAP患者的脂肪酶(LIP)、血红蛋白(HGB)、红细胞压积(HCT)、肌酐(Cr)水平低于非肿瘤所致AP组,差异均有统计学意义(P<0.05)(表2)。

肺癌MIAP与非肿瘤性AP的临床特点、实验室指标比较分析
肺癌MIAP与非肿瘤性AP的临床特点、实验室指标比较分析
| 项目 | 肺癌MIAP(8例) | 非肿瘤所致AP(32例) | P值 | |
|---|---|---|---|---|
年龄(岁, ±s) | 62±9 | 48±15 | 0.018 | |
| 男[例(%)] | 6(75.0%) | 19 (59.4%) | 0.414 | |
| 临床分型[例(%)] | 0.122 | |||
| MAP | 7(87.5%) | 16(50.0%) | ||
| MSAP | 0(0) | 10(31.1%) | ||
| SAP | 1(12.5%) | 6(18.8%) | ||
| 主胰管扩张[例(%)] | 3(37.5%) | 1(3.1%) | 0.004 | |
| 腹腔淋巴结肿大[例(%)] | 3(37.5%) | 2(6.3%) | 0.017 | |
AMY(U/L, ±s) | 399±307 | 884±785 | 0.097 | |
LIP(U/L, ±s) | 1 249±998 | 4 753±4 122 | 0.033 | |
Hb(g/L, ±s) | 105±16 | 148±25 | <0.001 | |
HCT(%, ±s) | 31.4±5.3 | 42.5±6.1 | <0.001 | |
ALT(U/L, ±s) | 46±58 | 63±91 | 0.683 | |
TBIL(μmol/L, ±s) | 35±57 | 30±26 | 0.745 | |
Cr(μmol/L, ±s) | 57±25 | 90±36 | 0.017 | |
Urea(mmol/L, ±s) | 5.0±2.4 | 5.7±3.1 | 0.572 | |
Ca(mmol/L, ±s) | 2.1±0.2 | 2.1±0.4 | 0.921 | |
注:MIAP:转移相关性急性胰腺炎;MAP:轻度急性胰腺炎;MSAP:中度急性胰腺炎;SAP:重度急性胰腺炎;AMY:淀粉酶;LIP:脂肪酶;Hb:血红蛋白;HCT:红细胞压积;ALT:谷丙转氨酶;TBIL:直接胆红素;Cr:肌酐;Urea:尿素氮;Ca:血钙
本研究发现肺癌胰腺转移起病隐匿,部分以MIAP为首发表现,整体预后较差。肺癌MIAP与非肿瘤所致AP相比,患者年龄更大,更易出现贫血、主胰管扩张和腹腔淋巴结肿大。
本研究报道的8例肺癌MIAP患者中7例(7/8)病理类型为小细胞肺癌,1例(1/8)为低分化腺癌。Tanaka等[18]回顾性总结25例肺癌MIAP患者,19例(76.0%)为小细胞肺癌,支气管肺癌2例(8.0%),未分化支气管肺癌、腺癌、大细胞肺癌和鳞状细胞肺癌各1例(2.0%)。Maeno等[19]报道,肺癌胰腺转移常见病理类型为小细胞肺癌,约50%左右,其次为腺癌34.6%,鳞状细胞癌11.5%,大细胞肺癌3.9%。上述结果与本研究一致,提示小细胞肺癌胰腺转移出现MIAP比例较高,应引起临床医师重视。
研究表明,50%~83%肺癌患者胰腺转移起病隐匿,症状不特异或无临床症状,少部分转移后出现腹痛、急性胰腺炎和梗阻性黄疸,部分患者以急性胰腺炎和(或)梗阻性黄疸为首发症状[20]。目前认为,肺癌MIAP可能有多种发病机制:(1)转移性肿瘤或胰周肿大淋巴结机械性压迫胰腺导管;(2)肿瘤侵犯血管引起缺血造成胰腺损伤;(3)肿瘤弥漫性浸润胰腺,破坏胰腺小叶。由于肺癌MIAP患者发现时已处于疾病晚期,一般情况较差,且胰腺病灶或腹腔占位手术切除或穿刺活检风险较高,患者活检意愿小,故多数患者转移病灶是临床依靠影像学检查结果诊断[10],同时需除外其他原因所致AP。
本文8例患者确诊时均已远处转移,腹腔淋巴结、胰腺、肝脏是常见转移器官。转移性肿瘤或肿大淋巴结压迫胰腺导管可能是AP发病的主要原因。同时本研究发现4例(4/8)肺癌患者以AP为首发表现,稍高于国外报道的比例(36%)[18]。以AP为首发表现的中位生存期为6个月,低于非首发表现者的17个月,但两者差异无统计学意义,不排除与本研究样本量偏少有关。肺癌MIAP临床表现无特异性,以腹痛为主,大多为MAP,常规治疗后好转快,易被临床医师忽视,从而延误了肺癌诊断。但本研究发现,肺癌MIAP与非肿瘤所致AP仍有区别,包括肺癌MIAP患者发病年龄较大,辅助检查提示贫血、胰腺占位、腹部淋巴结肿大或主胰管扩张,提示对于出现上述表现而缺乏常见病因的AP患者,应警惕MIAP。Gonlugur等[20]推荐CT作为评估小细胞肺癌胰腺转移的首先选择,尤其是多层螺旋CT联合三维重建,敏感性达99%,而腹部超声敏感性为89%。本研究发现两例患者因肠气遮挡腹部超声并未清楚显示胰腺形态。对于无明显诱因发作AP的老年患者,同时有上述影像学特征,需警惕肺癌MIAP可能,应重视系统评估和密切随访,以期早期诊断和治疗。
文献报道,对于肺癌MIAP的治疗,推荐初期予以对症支持治疗,MAP分型患者尽早开始化疗和(或)放疗,有助于AP恢复;SAP分型患者因身体状况差,可能无法耐受化疗[10,20]。本文4例肺癌患者治疗过程中3例出现MAP,1例予药物化疗联合局部放疗好转,2例对症治疗1周后予药物化疗或(和)放疗,未再发作AP;另1例为SAP,对症治疗后腹痛缓解,但患者放弃继续肺癌治疗。随访至今,7例死亡,1例仍在随访,中位生存期为11个月,结果与美国国家综合癌症网络(National Comprehensive Cancer Network,NCCN)临床实践指南报道的广泛期小细胞肺癌中位生存期一致[15]。
综上所述,肺癌MIAP大部分临床症状不特异,临床类型以MAP为主,预后较差,早期诊断可能有助于改善预后。老年患者、有消瘦或其他系统受累表现、贫血、主胰管扩张、胰腺占位及腹腔淋巴结肿大是诊断肺癌MIAP的线索,临床诊疗中应予以重视。但本文为回顾性研究,样本量少,可能存在选择偏倚,故有待大样本、多中心的研究进一步探讨肺癌MIAP的特点。
所有作者均声明不存在利益冲突

±s)
±s)
±s)
±s)
±s)
±s)
±s)
±s)
±s)
±s)
±s)
±s)
±s)



















