
探究面神经监测在听神经鞘瘤切除术的神经保护作用及其对预后的影响。
对苏州大学附属第一医院神经外科近2年来入院的80例听神经鞘瘤患者进行了前瞻性观察。将入院患者数字随机分为监测组和非监测组,测量患者肿瘤大小,对患者一般情况进行统计,评估患者术前听力下降情况,是否存在面部麻木,听神经鞘瘤后组相关症状,面神经功能等级等表现。监测组在实施听神经鞘瘤切除术时进行面神经监测,非监测组在手术过程中不进行监测,两组患者均根据术中实际情况决定行全切或次全切术。术后3 d再次评估其听力情况,面部麻木,后组相关症状及面神经功能等级,同时于术后1个月评估其预后格拉斯哥结局评分(GOS)。
两组患者一般情况及术前评估均未见显著差异,手术方式差异无统计学意义。术后监测组面部麻木发生率为42.9%(15/35),明显低于未检测组86.7%(39/45)(P<0.001);面神经功能分级监测组Ⅰ级(17例)、Ⅱ级(9例),Ⅲ级(8例),Ⅳ级(1例);较未检测组[Ⅰ级(1例)、Ⅱ级(18例),Ⅲ级(17例),Ⅳ级(9例)]显著降低(P<0.001);预后GOS(4.60±0.55)较未检测组(3.78±0.67)显著提高,差异均有统计学意义(P<0.001)。
面神经监测在听神经鞘瘤切除手术中能够提供较好的神经保护作用,避免面听神经损伤,显著提高患者预后生活质量。
版权归中华医学会所有。
未经授权,不得转载、摘编本刊文章,不得使用本刊的版式设计。
除非特别声明,本刊刊出的所有文章不代表中华医学会和本刊编委会的观点。
听神经鞘瘤是桥小脑脚区最为常见的良性肿瘤,其发生率约为80%[1,2]。听神经鞘瘤最常见的症状为眩晕,听力受损及面抽、面瘫,严重者因肿瘤压迫则会造成头痛、恶心、呕吐等颅内压增高症状[3]。对于听神经鞘瘤,最好的治疗方法为手术全切。但如何在切除肿瘤过程中最大限度保留神经功能,减少术后并发症是目前最受关注的问题[4]。面神经监测利用神经电生理传导及其对自由肌电的描记作用能够敏感反映神经冲动,时时监测术中面听神经的神经冲动及传导情况,避免神经损伤[5,6,7],但其临床应用效果却仍有待探究。本研究对面神经监测在听神经鞘瘤手术中的神经保护作用进行了系统性观察。选择2017年1月至2018年7月入组的80例患者进行资料整理及统计分析,现将结果报道如下。
按照数字随机对照原则将2017年1月至2018年7月入住苏州大学第一医院神经外科患者分为面神经监测组(以下简称监测组)和非面神经监测组(以下简称非监测组)。对入选患者,在取得家属同意的前提下签署相关知情同意书并进行术前评估及数据采集。2年内共计80例听神经鞘瘤患者纳入本次研究。其中监测组35例(男9例,女26例,平均年龄54.6岁,肿瘤最大直径平均3.41 cm),非监测组45例(男19例,女26例,平均年龄55.5岁,肿瘤最大直径平均3.33 cm)。既往史:高血压,糖尿病,其他手术史或疾病史。肿瘤相关症状:94%患者有听力下降(监测组34例,非监测组41例),49%患者出现面部麻木症状(监测组18例,非监测组21例),采用House-Brackmann(面神经瘫痪分级)分级标准评判,20%患者存在轻中度面瘫(监测组8例,非监测组8例)。
所有患者均采取经乙状窦后入路法显微镜下切除肿瘤。(1)监测组:患者麻醉后取侧卧位,安装手术头架,描记耳后直形切口,确保骨窗上至横窦下缘,外达乙状窦。由电生理监测医师于皮肤相应部位逐点消毒,刺入电极针(监测范围包括:咬肌、眼轮匝肌、口轮匝肌、颏肌、环甲肌),电生理监测仪(尼高力)可通过体表肌电感应测诱发肌电图、双侧脑干听觉诱发电位、面神经运动、感觉诱发电位及运动诱发电位。待设备连接及确保运行良好后,常规消毒铺巾后,逐步开颅。在电生理监测下确保肿瘤瘤壁无神经分布后,切开瘤壁充分减压,在遇到不确定的条索样结构时实施主动神经电刺激,根据结果决定是否切断。(2)非监测组行常规乙状窦后入路法显微镜下听神经鞘瘤次/全切除术,无术中电生理监测,余手术步骤同监测组相同,在切除听神经鞘瘤时通过显微镜下辨析肿瘤同周围组织的毗邻关系决定行全切或次全切,术后治疗与监测组无异。
术后3 d(考虑3 d后炎症水肿期已消退,对听神经瘤相关症状干扰较小)评估患者听力较术前是否有改善,是否有面部麻木症状,听神经鞘瘤相关症状是否仍存在以及House-Brackmann面神经瘫痪分级。
针对监测组和非监测组术后发生并发症的人数,出现的并发症类型(脑脊液漏,颅内感染等)进行统计分析,比较两组手术操作技术效果差异有无统计学意义,以求对面神经监测作用达到更加客观的评估。
患者术后1个月,依据格拉斯结局评分(GOS)对患者进行预后评分:5分:痊愈良好,恢复正常生活,尽管有些小的残疾;4分:中度残疾,但尚可独立生活,可以在保护下工作;3分:严重残疾,日常生活无法独立,需要照顾;2分:长期持续的植物生存状态,存在眼部的活动和睡眠周期;1分:死亡。
所有统计数据均采用统计软件SPSS19.0进行统计学分析处理。计量资料以
±s的形式表示,采用配对t检验(均已经正态性检验,以α>0.1为标准);计数资料采用非参数检验(对理论频数<5的四格表检验,采用Fisher确切概率法检验),且均以P<0.05表示差异有统计学意义。
两组患者性别、年龄、既往史(高血压、糖尿病)、肿瘤最大直径以及肿瘤差异无统计学意义(图1)(P>0.05),具体情况详见表1。两组患者中有其他疾病史(手术史,溃疡等病史):监测组4例,非监测组13例,经χ2检验后χ2=3.587,P=0.058,差异无统计学意义(表格中未列出数据)。同时患者术前听神经鞘瘤相关症状比较差异亦无统计学意义(P>0.05),具体情况详见表2。



监测组与非监测组患者术前基本情况比较
监测组与非监测组患者术前基本情况比较
| 组别 | 例数 | 性别(男/女,例) | 年龄(岁, ± s) | 高血压(有/无,例) | 糖尿病(有/无,例) | 肿瘤直径(cm,, ± s) | 病灶侧别(左/右,例) |
|---|---|---|---|---|---|---|---|
| 监测组 | 35 | 9/26 | 54.5±13.7 | 7/28 | 1/34 | 3.41±0.89 | 17/18 |
| 非监测组 | 45 | 19/26 | 55.5±13.0 | 14/31 | 5/40 | 3.33±0.88 | 25/20 |
| t/χ2值 | 2.358 | 0.313 | 1.255 | -0.407 | 0.385 | ||
| P值 | 0.125 | 0.755 | 0.263 | 0.223a | 0.685 | 0.535 |
注:a为四个表检验中因单元格理论频数<5,故采取Fisher精确概率法检验

监测组与非监测组术前症状比较(例)
监测组与非监测组术前症状比较(例)
| 组别 | 例数 | 听力下降有/无 | 面部麻木有/无 | 后组症状有/无 | 面瘫分级Ⅰ/>Ⅰ级 |
|---|---|---|---|---|---|
| 监测组 | 35 | 34/1 | 18/17 | 1/34 | 27/8 |
| 非监测组 | 45 | 41/4 | 21/24 | 1/44 | 37/8 |
| χ2值 | 0.179 | 0.317 | |||
| P值 | 0.379a | 0.673 | 1.000b | 0.573 |
注:a面神经功能分Ⅰ~Ⅵ级,本次收集患者中Ⅰ级以上者,非监测组:Ⅱ级5例,Ⅲ级2例,Ⅳ级1例;监测组:Ⅱ级7例,Ⅳ级1例。由于Ⅲ级、Ⅳ级人数极少,且监测组Ⅲ级人数为0,为尽量避免统计误差,遂将其分为Ⅰ级:面神经功能正常;>Ⅰ级:轻中度面瘫进行比较。b为四个表检验中因单元格理论频数<5,故采取Fisher精确概率法检验
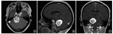
术中及术后面神经诱发电位及其传导均无明显变化(图2),术后肿瘤完全切除且面听神经走行清晰可见;术中诱发肌电图可见刺激面神经后产生动作电位(图3,图4,图5)。术后3 d两组患者的听力下降后组症状差异无统计学意义(P>0.05);但监测组术后麻木症状发生率显著低于非监测组,面神经功能分级表现也较非监测组有显著提高,差异均有统计学意义(P<0.001);同时发现监测组的面神经功能分级仍然显著优于非监测组(χ2=8.225,P=0.004);而术后1个月监测组其预后GOS评分明显高于非监测组,差异均有统计学意义(P<0.001)(表3)。





监测组与非监测组术后症状比较(例数)
监测组与非监测组术后症状比较(例数)
| 组别 | 例数 | 听力下降(有/无,例) | 面部麻木(有/无,例) | 后组症状(有/无,例) | 面瘫分级(Ⅰ/Ⅱ/Ⅲ/Ⅳ,例) | GOS评分(分, ± s) |
|---|---|---|---|---|---|---|
| 监测组 | 35 | 9/26 | 15/20 | 0/35 | 17/9/8/1 | 4.60±0.55 |
| 非监测组 | 45 | 6/39 | 39/6 | 2/43 | 1/18/17/9 | 3.78±0.67 |
| t/χ2/Z值 | 1.981 | 17.224 | -4.244b | 5.865 | ||
| P值 | 0.159 | <0.001 | 0.502a | <0.001 | <0.001 |
注:a为四个表检验中因单元格理论频数<5,故采取Fisher精确概率法检验,b面神经功能分Ⅰ~Ⅵ级,术后两组均为Ⅰ~Ⅳ级,故采取等级资料非参数检验获取Z值及P值。
所有患者肿瘤均安全切除(图5),监测组出现并发症总人数5例(颅内感染4例:其中1例合并脑脊液漏,吞咽困难1例),非监测组出现并发症总人数10例(单纯颅内感染4例,单纯脑脊液漏2例,颅内感染合并脑脊液漏2例,手术局部渗血2例),经比较,两组术后出现并发症总例数差异无统计学意义(χ2=0.814,P=0.367),脑脊液漏发生率比较,其Fisher精确概率法P=0.691,颅内感染发生率比较,其Fisher精确概率法P=1.000。均未见显著差异。可见手术技术效果无明显差别。
对于听神经鞘瘤,治疗的方式有手术切除及局部放疗。局部放射治疗虽无手术相关风险,小剂量,局限性,短期的放射量不足以杀灭肿瘤组织,且有研究表明放射会刺激肿瘤细胞生长;大剂量,较大范围,长期的放射则容易导致其他功能损伤[8,9,10]。手术切除目前仍是良性肿瘤首选的治疗方式。但手术切除风险较大,神经损伤是目前听神经鞘瘤手术切除肿瘤较为明显的风险及缺陷[11]。此外,还可能导致术后患者症状未见明显改善甚至面瘫,听力下降等症状较前加重[12,13]。
近年来随着神经电生理监测技术及设备大大提高,面神经监测被广泛应用于临床,以保障手术的安全性及有效性[14]。既往关于面神经监测效果的报道中部分研究中无对照研究,多数为个案报道,评价意义不大。张磊等[15]报道244例乙状窦后入路听神经瘤切除患者,并进行回顾性研究。其报道中监测组与非监测组术前关于瘤体直径,手术方式等均有显著差异,通过Logistic回归分析认为面神经监测对神经保护有显著意义。但笔者认为其研究时间跨度较大,术者技术水平的差异所造成的差异仍有待考究。本次研究对入组患者随机分组,且手术均由同一个团队于2年内完成,术前统计其一般情况及相关症状均无显著差异,充分确保前提的统一性,使后期结果更有说服力。本次研究中监测组术后面神经功能Ⅰ~Ⅱ级者占74.3%,而非监测组则仅为42.2%,此外,监测组的面神经功能分级仍然显著优于非监测组(χ2=8.225,P=0.004),同时我们也对Ⅰ~Ⅳ级的人数进行了非参数检验分析,其χ2=-4.244,P<0.001,同样具有显著差异。对于术后面部麻木症状,经统计学比较发现监测组术后面部麻木发生率较非监测组显著降低,但其听力状况却未见明显改善。我们认为听神经鞘瘤附着于听神经鞘生长,对听神经的压迫或其他损伤较面神经严重,因此其听力改善应属于一个长期过程,但术后面瘫级面部麻木却是其监测效果的一个短期直观反应。且本次研究对患者进行了术后随访,随访结果表明监测组其远期预后明显优于非监测组预后GOS评分,同样说明面神经监测在手术过程中对神经功能的保护作用。
本次研究期间共出现3例术中面神经监测失败案例。实施面神经监测的所有患者均未使用肌松药物,因此排除外肌松药物影响[16]。3例患者中有2例为多年高血压及糖尿病,既往血糖控制不佳,且3例患者其术中血压稳定性较差。因此我们认为术中面神经监测成功与否同患者术中血压波动及既往糖尿病病程长短及控制情况紧密相关[17]。多数老年血糖控制不佳的糖尿病患者合并周围神经病变,影响电生理传导[18]。其次肿瘤的大小,病程的长短会导致面听神经受压及损伤的程度有很大差异[19],尤其对于术前有面神经功能障碍(轻中度面瘫)患者,其术中自由肌电描记反应在预设水平处不够敏感,从而造成监测失败。但术中面神经监测具体采用多大的电流刺激可以帮助判断真正的神经损害的相关研究较少。目前为止仅有一项国外研究显示,0.4 mA被认为是中耳手术中面神经刺激的最佳强度[20]。国内患者术中面神经监测采用多大的电流刺激最为合适,有待进一步研究。其他在研究结果评估方面未进行术后2周、术后1个月面神经功能分级的评估,仅是在术后1个月进行预后GOS评分,虽结果显示有显著差异,但未实现一个连续的随访观察。考虑到患者听神经功能恢复是一个漫长的过程,截至数据统计日,我们仅对部分患者(术后3个月以上)听力恢复情况进行了统计,由于数量较少,未进行统计分析,在后续研究中我们将继续跟进,并补充相关评价指标。
所有作者均声明不存在利益冲突

± s)
± s)
± s)



















