
探讨Vogt-小柳原田综合征(VKH)患者接受全身免疫抑制治疗后患眼黄斑区视网膜频域光学相干断层成像(OCT)的特征变化。
对2015年12月至2019年12月间在北京同仁医院眼科门诊诊治的17例VKH患者(34只眼)的临床资料进行回顾性分析。17例患者均为急性或亚急性起病,在我院眼科门诊接受糖皮质激素和(或)联合免疫抑制剂治疗,随访时间≥6个月。末次复诊时,患眼炎症控制稳定,停用糖皮质激素(醋酸泼尼松)或≤10 mg/d。分别对入选VKH患眼治疗前和治疗后1周、1个月、3个月及末次随访时的黄斑区频域OCT特征进行观察。
本研究共纳入17例(34只眼)VKH患者,男6例,女11例,年龄(42.2±10.6)岁,随访时间(9.4±3.3)个月。治疗后1周,发生黄斑区视网膜神经上皮广泛或多发、局灶脱离,视网膜层间囊腔,视网膜层间渗出膜,视网膜色素上皮波浪状改变的患眼比例减少(5.9%比100%、2.9%比47.1%、5.9%比70.6%、11.8%比58.8%,均P<0.001);抗炎治疗前、治疗后3个月及末次随访时,患眼黄斑区椭圆体带和外界膜结构发生损害的比例差异有统计学意义(100%比35.3%、64.7%比52.9%、41.2%比26.5%,均P<0.001);末次随访时,黄斑区椭圆体带完整组(20眼)和受损组(14眼)、黄斑区外界膜完整组(25眼)和受损组(9眼)最佳矫正视力(BCVA)差异均有统计学意义[0(0,0.05)比0.10(0.03,0.33)(log MAR),P=0.004;0(0,0.07)比0.22(0.05,0.40)(log MAR),P=0.005]。
VKH患者全身免疫抑制治疗后1周,脉络膜视网膜水肿明显消退;抗炎治疗前、治疗后3个月和末次随访时,黄斑区椭圆体带和外界膜的受损程度和恢复能力存在差异;至随访结束时,部分患者黄斑区视网膜外层结构未能完全恢复,且与视力相关。
版权归中华医学会所有。
未经授权,不得转载、摘编本刊文章,不得使用本刊的版式设计。
除非特别声明,本刊刊出的所有文章不代表中华医学会和本刊编委会的观点。
Vogt-小柳原田综合征(VKH)是一种可累及全身色素组织的自身免疫性疾病,临床上通常表现为伴有中枢神经系统和听觉症状的双眼肉芽肿性全葡萄膜炎[1]。VKH对糖皮质激素治疗反应良好,早期、正确接受全身糖皮质激素治疗,大部分患者视功能可得到一定程度恢复,但个别患者可由于早期诊断治疗延误、糖皮质激素减量过程中出现炎症反复等因素而发生视功能严重受损[2,3]。
频域光学相干断层成像(OCT)具有无创成像、高分辨率、非接触实时检查等优点,使其在包括黄斑疾病在内的多种眼底疾病的诊疗中得到广泛应用[4,5]。急性期VKH患眼可出现视网膜下膜样结构、视网膜层间囊腔、视网膜色素上皮(RPE)波浪状改变和脉络膜厚度增加,稳定期可出现包括RPE萎缩、椭圆体带和外界膜缺失、脉络膜变薄等OCT特征改变[6,7]。VKH患者接受全身免疫抑制治疗后视网膜结构的动态变化特征鲜有研究报道。本研究拟对急性或亚急性起病、全身免疫抑制治疗反应良好的VKH患眼视网膜结构的动态变化特征进行观察,报道如下。
回顾性研究。对2015年12月至2019年12月间在首都医科大学附属北京同仁医院眼科门诊就诊并接受抗炎治疗的17例VKH患者(34只眼)的临床资料进行分析。VKH诊断参照国际命名委员会制定的修订诊断标准[1]。纳入标准:(1)急性或亚急性起病[8];(2)在我院确诊前未在外院接受全身糖皮质激素和(或)其他免疫抑制药物的治疗;(3)随访时间≥6个月,末次就诊时,眼内炎症控制稳定;(4)既往无眼部外伤手术史及眼底疾病史;(5)糖尿病、高血压等全身合并症患者全身免疫抑制治疗前各项指标控制良好,无相关眼部并发症;(6)屈光间质无混浊,频域OCT成像清晰。
全部患者接受全身糖皮质激素或免疫抑制剂治疗前均常规接受病史询问、最佳矫正视力、裂隙灯显微镜下前后节炎症细胞检查、彩色眼底照相、频域OCT、荧光素眼底血管造影(FFA)和(或)吲哚青绿眼底血管造影(ICGA)检查。
患者首次就诊时均接受口服醋酸泼尼松片1 mg/kg,1次/d,日口服最大剂量不超过80 mg。口服醋酸泼尼松片剂量在40 mg/d以上时,每隔7~10 d减少10 mg;剂量在20~40 mg/d时,每隔7~10 d减少5 mg。剂量在20 mg/d以下时患者口服糖皮质激素减量更为缓慢。合并糖尿病、高血压等慎重使用全身糖皮质激素的患者首次就诊时,同时联合甲氨蝶呤15 mg/周口服治疗,并根据眼内炎症程度适度缩短全身糖皮质激素使用时间。除上述患者外,其余患者全身糖皮质激素时间均需超过6个月。前节有活动炎症者,同时联合1%醋酸泼尼松龙滴眼液和复方托吡卡胺滴眼液点眼。
(1)前房、玻璃体内无炎症细胞,彩色眼底照相、频域OCT、FFA和(或)ICGA检查无活动性视网膜/脉络膜病变的相关征象;(2)口服醋酸泼尼松片剂量≤10 mg/d及1%醋酸泼尼松龙滴眼液≤2滴/d。
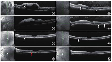
采用德国Heidelberg公司Spectralis HRA+OCT或美国Optovue公司Optovue RTVue OCT进行频域OCT检查,分别提取通过黄斑中心凹的水平和垂直扫描线进行分析,扫描线长度6 mm。根据扫描范围内视网膜神经上皮脱离的程度,将其分为黄斑区广泛(>50%扫描范围)或多发、局灶脱离(图1),黄斑区神经上皮局限脱离(<50%扫描范围)(图2)和无神经上皮脱离3种类型(图3,图4)。根据扫描范围内椭圆体带或外界膜结构的频域OCT特征,将其分为椭圆体带或外界膜结构受损(结构缺失或反射光带不规则)和结构完整(光带反射规则连续)两种类型(图1,图2,图3,图4)。


注:VKH为Vogt-小柳原田综合征;OCT为光学相干断层成像;图1~4为同一患者频域OCT像
分别对本组患者频域OCT扫描图像中发生黄斑区视网膜神经上皮脱离、视网膜层间囊腔、视网膜层间渗出膜、RPE波浪状改变、椭圆体带和外界膜结构受损程度等临床特征进行分析。频域OCT图像分析由两名或以上眼底病专科医师共同完成。
采用SPSS 17.0统计软件包进行统计学分析。将最佳矫正视力(BCVA)转化为最小视角对数(log MAR)。计量资料符合正态分布采用
±s表示,不符合正态分布采用中位数(四分位数)[M(Q1,Q3)]表示;全身免疫抑制治疗前和治疗后1周BCVA(log MAR)之间的比较采用Wilcoxon符号秩检验;末次随访时,黄斑区视网膜外层结构完整组与受损组BCVA(log MAR)之间的比较采用Mann-WhitneyU检验。计数资料采用例数和百分比表示,组间比较采用Fisher确切概率法。均为双侧检验,P<0.05为差异有统计学意义。
共纳入17例VKH患者(34只眼),患者年龄(42.2±10.6)岁,其中男6例,女11例。自出现眼部症状到开始全身免疫抑制治疗时间为8(6,20)d。首次就诊BCVA为0.70(0.40,1.00)(log MAR),治疗后1周BCVA为0.52(0.30,0.70)(log MAR)。随访时间(9.4±3.3)个月,末次就诊时BCVA为0.05(0,0.10)(log MAR)。本组患者中,1例因合并糖尿病,1例因心脏瓣膜置换术后、高血压,除醋酸泼尼松外联合使用甲氨蝶呤治疗,其余均单独使用口服醋酸泼尼松实现眼内炎症控制稳定,治疗随访期间眼内炎症无反复。末次就诊时,全身每日口服醋酸泼尼松剂量≤10 mg或已停药。
全身使用糖皮质激素治疗后1周,患者视力改善(P<0.001),频域OCT检查显示发生黄斑区视网膜神经上皮广泛或多发、局灶脱离,视网膜层间囊腔,视网膜层间渗出膜,RPE波浪状改变的患眼比例减少(均P<0.001,表1)。抗炎治疗前、治疗后3个月及末次随访时,患眼黄斑区椭圆体带和外界膜结构发生损害的比例差异有统计学意义(均P<0.001,表2)。末次随访时,20眼(58.8%)椭圆体带完整,BCVA为0(0,0.05)(log MAR),14眼(41.2%)椭圆体带受损,BCVA为0.10(0.03,0.33)(log MAR),两组间比较差异有统计学意义(P=0.004);25眼(73.5%)黄斑区外界膜完整,BCVA为0(0,0.07)(log MAR),9眼(26.5%)黄斑区外界膜受损,BCVA为0.22(0.05,0.40)(log MAR),两组间比较差异有统计学意义(P=0.005)。

VKH全身免疫抑制治疗后1周视网膜、脉络膜SD-OCT结构特征[眼数(%)]
VKH全身免疫抑制治疗后1周视网膜、脉络膜SD-OCT结构特征[眼数(%)]
| 项目 | 治疗前(34眼) | 治疗后1周(34眼) | P值 | |
|---|---|---|---|---|
| 视网膜神经上皮脱离 | <0.001 | |||
| DRD | 34(100.0) | 2(5.9) | ||
| MRD | 0(0) | 26(76.5) | ||
| NRD | 0(0) | 6(17.6) | ||
| 视网膜层间囊腔 | 18(47.1) | 1(2.9) | <0.001 | |
| 视网膜层间渗出膜 | 24(70.6) | 2(5.9) | <0.001 | |
| RPE波浪状改变 | 20(58.8) | 4(11.8) | <0.001 | |
注:VKH为Vogt-小柳原田综合征;SD-OCT为频域光学相干断层成像;DRD为黄斑区视网膜神经上皮广泛脱离或多发、局灶脱离;MRD为黄斑区视网膜神经上皮局限脱离;NRD为无视网膜神经上皮脱离;RPE为视网膜色素上皮

VKH全身免疫抑制治疗前、后椭圆体带和外界膜特征[眼数(%)]
VKH全身免疫抑制治疗前、后椭圆体带和外界膜特征[眼数(%)]
| 项目 | 椭圆体带损害(34眼) | 外界膜损害(34眼) | P值 |
|---|---|---|---|
| 治疗前 | 34(100.0) | 12(35.3) | <0.001 |
| 抗炎治疗后3个月 | 22(64.7) | 18(52.9) | <0.001 |
| 末次就诊 | 14(41.2) | 9(26.5) | <0.001 |
注:VKH为Vogt-小柳原田综合征
本组VKH患者接受全身糖皮质激素和(或)免疫抑制剂治疗后1周,频域OCT检查显示发生黄斑区视网膜神经上皮脱离、视网膜层间囊腔、视网膜层间渗出膜、RPE波浪状改变的患眼比例明显减少。抗炎治疗前、治疗后3个月和末次随访时,黄斑区椭圆体带和外界膜结构发生损害的患眼比例差异有统计学意义。至随访结束时,部分患者仍有黄斑区椭圆体带和外界膜结构损坏,黄斑区椭圆体带、外界膜完整组患者的视力明显优于受损组。
VKH典型组织病理学特征主要表现为淋巴细胞、上皮样细胞、组织细胞和多核巨细胞在脉络膜中、外层组织中广泛炎症浸润[1]。急性期,RPE细胞定向分泌炎症因子使脉络膜炎症迅速扩散至视网膜组织[7]。抗炎治疗前,本组患者34眼(100%)发生黄斑区视网膜神经上皮广泛或多发、局灶脱离,18眼(52.9%)发生视网膜层间囊腔,24眼(70.6%)视网膜层间有渗出膜样结构,20眼(58.8%)有RPE波浪状改变。全身使用糖皮质激素和(或)免疫抑制剂抗炎治疗后1周,频域OCT检查显示32眼(94.1%)视网膜脱离程度明显减轻;其中,6眼(17.6%)视网膜脱离已完全恢复,26眼(76.5%)表现为黄斑区神经上皮浅脱离。除1眼(2.9%)有视网膜层间囊腔外,其余患眼未能发现视网膜层间囊腔。2眼(5.9%)视网膜层间可见渗出膜样结构。4眼(11.8%)有RPE波浪状改变。治疗后与治疗前相比以上眼部特征差异均有统计学意义,提示全身使用足量免疫抑制药物治疗后1周,脉络膜组织中炎症因子水平明显下降,脉络膜、视网膜血管的渗漏程度明显减轻。
既往研究证实椭圆体带、外界膜完整性与视网膜光感受器的功能状态密切相关。椭圆体带光带完整提示视网膜光感受器细胞结构正常,外界膜光带连续性正常提示视网膜光感受器细胞体和Muller细胞结构完整[11]。有关湿性年龄相关性黄斑变性、糖尿病黄斑水肿和特发性脉络膜新生血管患者接受玻璃体注射抗新生血管药物的研究中发现,如患眼外界膜缺失,多同时伴有椭圆体带破坏,而外界膜完整,椭圆体带可受损或缺失。上述研究提示视网膜组织受到病理损害时,外界膜比椭圆体带的抵抗力更强;当眼部组织修复时,外界膜比椭圆体带修复更快。外界膜和椭圆体带同时受损时,如没有外界膜的修复,椭圆体带较难得到修复[12]。
本研究纳入的VKH患者首次就诊时全部患眼(100%)均出现黄斑区椭圆体带破坏,35.3%患眼发生黄斑区外界膜破坏,差异有统计学意义(P<0.001)。治疗后3个月和末次就诊时,发生椭圆体带和外界膜受损的比例差异均有统计学意义(均P<0.001)。本研究结果提示VKH相关炎症因素对椭圆体带和外界膜的影响以及炎症控制后二者的修复特征与既往研究中脉络膜新生血管、糖尿病黄斑水肿导致视网膜外层结构的损伤和修复机制类似。
Zhou等[13]对29例(58眼)发病时间超过12个月陈旧VKH患者的OCT检查进行回顾性分析,结果显示51眼(87.93%)锥细胞外界末端(COST)受损,28眼(48.28%)光感受器内外节连接带(IS/OS)受损,28眼(48.28%)RPE连续性破坏,且患眼视功能与视网膜外层结构受损程度密切相关。研究还发现自出现眼部症状到开始全身抗炎治疗的时间间隔越短,视网膜外层结构受损程度越小,视功能恢复越好。本研究纳入的17例(34眼)患者中,末次就诊时,14眼(41.2%)发生黄斑区椭圆体带损害,9眼(26.5%)发生黄斑区外界膜损害,且BCVA恢复程度与椭圆体、外界膜结构是否受损密切相关。分析椭圆体带受损比例偏低的原因可能与本组患者为急性或亚急性起病,发病早期即接受足量全身糖皮质激素和(或)免疫抑制剂治疗有关。
本研究为回顾性研究,纳入患者数目有限,且仅收集在我院眼科就诊、临床资料完整的VKH患者资料,研究对象选择上存在一定的偏倚。本组患者随访时间相对较短,平均9.4个月,部分患者在随访结束时仍维持每天口服≤10 mg的醋酸泼尼松。尽管临床上认为维持上述剂量的全身糖皮质激素眼内炎症控制稳定属于VKH免疫抑制治疗有效[10],但小剂量的全身糖皮质激素仍可能会对患者黄斑区椭圆体带和外界膜结构恢复产生影响。以上均为本研究的不足之处,相关研究结论尚待更大样本、更长时间随访和前瞻性设计的临床研究加以证实。另外,本研究OCT检查未采用增强型OCT(EDI-OCT)检查技术,VKH患者抗炎治疗前后脉络膜厚度指标未能纳入分析也是本研究的不足之处。
总之,本研究显示VKH患者抗炎治疗后1周脉络膜视网膜水肿消退明显,黄斑区外界膜对炎症损伤的抵抗能力和修复能力均强于椭圆体带,至随访结束时部分患者黄斑区椭圆体带和外界膜结构仍未能完全修复,且与BCVA恢复程度密切相关。VKH患者接受全身免疫抑制治疗期间监测频域OCT动态特征将有助于临床上对该病的鉴别诊断、随访观察和预后判断。
所有作者均声明不存在利益冲突





















