
胃癌和胃肠道间质瘤(GIST)是消化道常见肿瘤,其诊断及治疗较成熟,但胃癌合并GIST同时在一个消化器官发生则十分少见,占恶性肿瘤的0.25%。其诊疗目前缺乏规范性,贲门黏膜内癌合并极低危GIST在临床上更为罕见。本文报道一例影像学发现并行手术治疗的该病患者。
版权归中华医学会所有。
未经授权,不得转载、摘编本刊文章,不得使用本刊的版式设计。
除非特别声明,本刊刊出的所有文章不代表中华医学会和本刊编委会的观点。
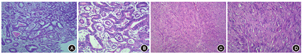
患者男,58岁,门诊行胃镜查体(图1)取活检发现贲门黏膜内癌(图2),于2019年8月7日入院。患者饮食、食欲佳,无恶心、呕吐,无腹泻,无呕血、黑便等,体重无明显变化,既往病史:高血压病3级,高危,肝囊肿,经内镜逆行性胰胆管造影(ERCP)术后。个人史:饮酒史,无吸烟史。体格检查:未见明显阳性体征。遂前往上级医院行放大内镜检查能否行内镜黏膜下剥离术(ESD)。检查结果:贲门早癌,Ⅱb+Ⅱc,分化型黏膜内癌,不除外局灶低分化,病变累及贲门口3/4周。患者遂返院要求住院行手术治疗,完善术前准备,上腹部强化CT:贲门壁略增厚(图3A),左侧膈面下方胃壁结节样增厚,考虑微小间质瘤可能(图3B);肝尾状叶囊肿。经我院胃肠道肿瘤多学科综合治疗协作组(MDT)的评估,于2019年8月11日行近端胃癌根治术及胃肠道间质瘤(GIST)切除术,术后病理大体所见:送检近端胃,距上切缘1.1 cm,下切缘4 cm,于贲门小弯侧黏膜面见一粗糙区,面积4 cm×2.2 cm,灰红色,局灶呈灰白色溃疡样,未见明显浸润;另见胃体近小弯侧浆膜面见一灰白色结节,突出于胃壁,体积0.8 cm×0.6 cm×0.2 cm,肉眼见位于浆膜与肌层内。术后病理:贲门黏膜内癌(图4A、B),中分化,面积约1 cm×0.5 cm,浸润至黏膜肌层;脉管侵犯(-),神经侵犯(-);病变周围见灶状溃疡形成,胃黏膜呈慢性重度萎缩性胃炎,部分腺体低级别上皮内瘤变,部分腺体肠上皮化生;免疫组化:Desmin(+),D2-40淋巴管(+),CD31血管(+),EGFR(弱+),HER2(1+),Ki-67∶70%(+);近端切线环、胃残端均未查见癌组织;另送54枚淋巴结,均未发现转移。在浆膜面见一结节,镜下为GIST(图4C、D),体积约:0.8 cm×0.6 cm×0.2 cm,核分裂象:2个/50高倍视野(HPF),危险度分级:极低,位于浆膜层直至黏膜下层;免疫组化:DOG1(+)(图5A),CD117(+)(图5B),CD34(+),SMA少量(+),S-100(-),Ki-67∶2%。术后3个月患者恢复好,无反流等不适,恢复正常工作生活,体重较前增加3 kg。






GIST是一种最为常见的起源于胃肠道间叶组织的肿瘤,占胃肠道肿瘤的1%~2%[1]。胃癌合并GIST是临床的罕见疾病之一,在组织病理学评估中偶然发现胃腺癌并发GIST的发生率约为0.25%[2]。贲门黏膜内癌合并极低危GIST报道更为罕见。本例中,患者胃镜查体发现黏膜内癌,完善相关检查,上腹部CT发现贲门壁略增厚(不排除2次胃镜取病理后导致局部水肿的可能),左侧膈面下方胃壁结节样增厚,考虑微小间质瘤可能。结合胃镜及CT检查考虑胃癌合并GIST的可能性,经我院胃肠道肿瘤MDT评估后,遂行手术治疗。术后病理提示贲门黏膜内癌合并极低危GIST。
随着对GIST认识的不断深入,Maiorana等[3]在2000年首次报道了5例胃癌并发GIST的病例,这说明胃上皮来源的恶性肿瘤可同时伴发间质源性的肿瘤。其确切的病因不明,从临床上看GIST合并胃癌存在很多偶然性。Maiorana等[3]认为,基因突变可能导致邻近的两种组织产生交互作用,上皮细胞和间皮细胞生长调控紊乱从而导致在同一器官上两种组织类型不同的肿瘤同时发生,这一假说也得到其他学者赞同[4]。但鉴于该种疾病发病率较低,目前未有系统地针对该种疾病基因检测的研究。本例未做基因检测,患者存在导致发病的高危因素,如饮酒、幽门螺杆菌阳性(未规律治疗)、进食速度快、喜食热食。
GIST较易漏诊,主要原因可能为:(1)早期GIST瘤体较小,多为浆膜下、黏膜下或胃壁内的结节;(2)同一器官两种疾病的发病率极低,医务工作者不予重视;(3)临床症状不典型,多被胃腺癌临床表现掩盖。本例术前完善内镜、强化CT检查,考虑胃黏膜内癌合并GIST的诊断。实际工作中多是术中探查或术后病理中发现[5]。为提高患者的诊断率,术前完善相关常规检查包括内镜、彩超及强化CT等影像学检查,对于初诊患者应进行包含胃肠外科、肿瘤科、消化内科、影像科等MDT;术中探查要全面细致。
胃癌诊疗指南对于黏膜内证在适应证内可选择ESD,对于直径<2 cm的GIST,行ESD因术中出血较少、住院时间短,也是目前推荐的治疗方法[6]。但对于恶性肿瘤合并胃肠间质瘤,需要坚持个体化的治疗原则,多学科会诊,制定治疗计划,也以手术为主的治疗方法[7]。本例病理提示黏膜内癌,但放大内镜提示病变累及贲门口3/4周,部位特殊,术前强化CT提示考虑微小间质瘤可能,基于同一器官两种疾病同时发生,遂行开腹手术切除。根据术后病理患者无需特殊处理,需定期复查随访。部分学者认为胃癌合并间质瘤患者,间质瘤多为低危或极低危[8],治疗及随访主要是针对胃癌,发现其预后较单一病变稍差[9]。
总之,胃癌同时合并胃间质瘤的诊断较困难,重视提高胃镜检查及CT影像学检查技术水平,加强胃肠外科的MDT;合并间质瘤可能会增加肿瘤转移风险,需合理安排随访复查时间;同期术中仔细探查手术区域,发现可疑病灶,行常规活检或术中冰冻检查确诊,术后详细检查标本,提高多发性肿瘤诊治的准确性。
所有作者均声明不存在利益冲突





















