
磷脂酶A2受体(PLA2R)是特发性膜性肾病(IMN)的主要致病抗原,血清PLA2R抗体、肾组织PLA2R及IgG4阳性被认为对IMN诊断具有特异性。本病例临床表现、实验室检查及肾脏病理诊断为膜性狼疮肾炎(MLN),而肾小球PLA2R阳性,并以IgG4亚型沉积为主,与MLN常见PLA2R阴性和以IgG3亚型沉积为主的特点不同。
版权归中华医学会所有。
未经授权,不得转载、摘编本刊文章,不得使用本刊的版式设计。
除非特别声明,本刊刊出的所有文章不代表中华医学会和本刊编委会的观点。
患者男,28岁,因"双下肢水肿1周"于2019年11月29日入住武警特色医学中心。2019年11月中旬患者出现咽痛、流涕等上呼吸道感染症状,无其他不适。2019年11月23日,运动后发现双下肢中度水肿,无明显乏力,尿中泡沫增多,尿量正常,未见肉眼血尿。患者自发病以来无其他不适。否认光过敏史,无皮疹、红斑,无骨关节疼痛。
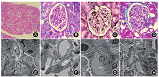
体格检查:体温37 ℃,心率115次/min,呼吸20次/min,血压136/95 mmHg(1 mmHg=0.133 kPa)。体重92 kg,身高180 cm,体质指数(BMI)28.4 kg/m2。眼睑无水肿,睑结膜无苍白,皮肤黏膜无出血点,浅表淋巴结未触及肿大,头颈及心、肺未见异常。肝脾肋下未触及,腹软,无压痛及反跳痛,双下肢中度水肿。尿常规:尿蛋白(+++),尿潜血(++),24 h尿蛋白定量17 g。血常规:血红蛋白156 g/L,白细胞7.96×109/L,血小板585×109/L。血生化:丙氨酸转氨酶(ALT)29 U/L,天冬氨酸转氨酶(AST)20 U/L,白蛋白32.7 g/L,球蛋白22.7 g/L,尿素氮5.5 mmol/L,血肌酐62 μmol/L,血尿酸550 μmol/L,总胆固醇8.22 mmol/L,三酰甘油(TG)5.88 mmol/L。免疫指标:抗核抗体(ANA)阳性,核颗粒型1∶80,胞质型1∶80(参考值:<1∶80,下同);抗Smith抗体阳性;抗nRNP/Sm阳性;抗干燥综合征A抗体(SSA)阳性;抗Ro-52抗体阳性。免疫球蛋白:IgA 2.06 g/L,IgG 3.55 g/L,IgM 2.71 g/L,补体C3 1.37 g/L(0.9~1.8 g/L),C4 0.20 g/L(0.1~0.4 g/L)。抗中性粒细胞胞质抗体(ANCA)阴性,抗肾小球基底膜抗体阴性,抗链O<49.4。淋巴细胞亚群:总T淋巴细胞CD3+73.74%,CD3+CD4+辅助性T细胞40.70%,CD3+CD8+抑制性T细胞31.13%,CD4/CD8比值1.31。C反应蛋白(CRP)、降钙素原(PCT)均正常。乙肝、丙肝、梅毒螺旋体及HIV抗体均阴性。甲状腺功能正常。特异性抗体:间接免疫荧光法测抗磷脂酶A2受体(PLA2R)抗体阴性(滴度<1∶20)。双肾超声:双肾大小、形态、包膜、实质、集合系统均正常。肾活检病理结果:(1)免疫荧光(图1):肾小球9个,冰冻切片荧光染色IgG(+++)、IgA(++)、IgM(+)、C3(+/-)、C1q(+),白蛋白(肾小管上皮可见重吸收小滴),IgG1(+++),IgG2(+/-),IgG3(+/-),IgG4(+++),PLA2R(+),沉积部位及方式:弥漫、球性、沿毛细血管襻及系膜区呈融合性颗粒状,肾小管上皮可见重吸收小滴。(2)光镜(图2):21个肾小球,未见肾小球硬化及节段硬化,肾小球系膜细胞和基质轻度增生,毛细血管襻开放,外观显僵硬,基底膜增厚,可见少量钉突样结构,上皮下可见嗜复红蛋白沉积,未见纤维素样坏死,未见"白金耳"样结构,壁层上皮细胞无增生,未见新月体形成。肾小管上皮细胞空泡及颗粒变性,少数肾小管管腔扩张,节段性刷毛缘脱落,肾间质散在淋巴、单核细胞浸润,小动脉管壁增厚,管腔狭窄。(3)电镜(图2):肾小球基底膜不规则增厚,足突弥漫融合,上皮下、基底膜内大量电子致密物沉积。诊断:Ⅴ型狼疮肾炎(LN)即膜性狼疮肾炎(MLN)。治疗:泼尼松50 mg/d、吗替麦考酚酯胶囊1 500 mg/d、羟氯喹等药物口服,目前仍在随访中。




PLA2R是位于肾小球足细胞的跨膜蛋白,70%~80%的特发性膜性肾病(IMN)抗PLA2R抗体阳性[1]。血清抗PLA2R抗体及肾小球PLA2R、IgG4亚型沉积阳性可作为IMN诊断指标[2]。有研究显示血清抗PLA2R抗体和肾小球IgG4共阳性时,诊断IMN特异度可达100%[3,4]。由于肾组织中PLA2R是IMN致病抗原,肾组织PLA2R阳性率要高于血液检测阳性率,意义更显著[5]。本例肾小球PLA2R及IgG4共阳性的MLN临床非常少见。MLN属于继发性膜性肾病,继发于系统性红斑狼疮(SLE),是由自身抗原、抗体相结合形成免疫复合物在肾脏沉积,导致肾脏损伤,MLN在LN中较为少见,占10%~20%[6]。本例患者入院时虽无明显血液、神经系统及皮肤系统的损害,但实验室检查发现ANA阳性、Smith抗体阳性、nRNP/Sm阳性、抗SSA阳性,结合肾活检免疫荧光显示"满堂亮",C1q(+),符合上述SLE诊断标准[7],肾脏病理支持MLN诊断,但免疫荧光肾小球IgG亚型染色显示:IgG4(+++)、IgG3(+/-)、肾小球PLA2R(+),与典型的MLN不同。MLN属于继发性膜性肾病,肾组织多以IgG3沉积为主,而IMN以肾小球IgG4沉积为主,且IgG4强度显著高于IgG1和IgG3[8]。本例青年男性MLN患者存在罕见肾组织PLA2R(+)、IgG4(+++),提示意义如下:(1)抗PLA2R抗体阳性、肾组织PLA2R阳性、IgG4阳性并不能完全除外MLN等继发性膜性肾病;(2)是否存在MLN和IMN两种发病机制并不相同的肾小球疾病共同发生在同一患者的可能;(3)PLA2R与IgG4联合应用在IMN与继发性膜性肾病诊断与鉴别诊断方面的意义还有待于进一步研究。
所有作者均声明不存在利益冲突





















