
弥漫大B细胞淋巴瘤(DLBCL)是一种可累及全身多个器官,临床表现丰富多样的疾病。本文报道了1例以乳酸酸中毒、肝脾大、黄疸、全血细胞减少为主要表现的患者。通过对乳酸酸中毒、全血细胞减少、高胆红素血症三个主要临床表现的鉴别诊断为出发点,最后依靠骨髓穿刺活检,确诊为DLBCL。经针对淋巴瘤的方案治疗后病情得到明显缓解。希望通过本例加强对乳酸酸中毒的鉴别诊断及对DLBCL临床表现多样性的认识。
版权归中华医学会所有。
未经授权,不得转载、摘编本刊文章,不得使用本刊的版式设计。
除非特别声明,本刊刊出的所有文章不代表中华医学会和本刊编委会的观点。
患者女,43岁,因"乏力、气短半个月"于2018年8月20日入院。患者2018年8月初出现乏力、气短,伴发热(最高37.6℃)、大汗、腹胀,中药治疗效果不佳,症状逐渐加重。2018年8月15日急救车送入当地医院重症监护病房(ICU),急查血气提示代谢性酸中毒:pH值7.28[(7.35~7.45)括号内为参考值范围,下同],氧分压(PO2)111.4 mmHg(83.0~108.0 mmHg, 1 mmHg=0.133 kPa),二氧化碳分压(PCO2)14.9 mmHg(35~45 mmHg),碱剩余(BE)-17.6 mmol/L(±3.0 mmol/L),血浆乳酸浓度(cLac)16.5 mmol/L(0.5~1.6 mmol/L);血常规提示全血细胞减少:白细胞计数(WBC)2.7×109/L(3.5~9.5×109/L),血红蛋白(Hb)97 g/L(120~160 g/L),血小板计数(PLT)51×109/L(100~350×109/L);血涂片:未见明显异常;肝肾功能:丙氨酸转氨酶(ALT)35 U/L(7~40 U/L),天冬氨酸转氨酶(AST)133 U/L(13~35 U/L),乳酸脱氢酶(LDH)1 887 U/L(0~250 U/L),总胆红素(TBil)37.8 μmol/L(5.1~22.2 μmol/L),直接胆红素(DBil) 17.3 μmol/L(0~6.8 μmol/L),肌酐(Cr)、尿素(Urea)正常。腹部超声示肝脾大。予补液、纠酸、连续肾脏替代(CRRT)治疗,病情无好转,后于2018年8月20日转至本院ICU。患者自发病来,精神、饮食、睡眠差,小便正常,腹泻(每日大便1~2次),体重无明显变化。个人史、月经婚育史、既往史、家族史无殊。入院查体:体温36.9℃,心率88次/min,呼吸深大(18次/min),血压103/75 mmHg,指氧饱和度98%(自然状态)。神清语利,平车入室,全身皮肤明显黄染,四肢皮肤可见散在片状瘀斑,全身浅表淋巴结未触及肿大。巩膜黄染,眼睑无水肿。胸廓正常,双肺呼吸运动对称,双侧语颤对称,无胸膜摩擦感,双肺呼吸音粗,未闻及明显干湿啰音及胸膜摩擦音。心界正常,心律齐,各瓣膜听诊区未闻及病理性杂音。腹部膨隆,肠鸣音3次/min,腹软,无压痛、反跳痛,叩诊鼓音。肝大质韧,肋下1横指,脾大,肋下及边,质韧。Murphy′s征(-),肝区叩痛(-),肾区无叩痛。双下肢可见中度指凹性水肿,双足背动脉搏动正常。膝反射、腱反射对称存在,病理征、脑膜刺激征(-)。
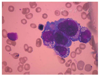
诊疗经过:入院后予输血、补液、纠酸、CRRT等对症支持治疗,但病情仍进行性加重,表现为乳酸(cLac 15升至17 mmol/L)、胆红素水平进行性升高(TBil 43.7升至92.3 μmol/L, DBil 33.6升至71.2 μmol/L),血细胞减少程度加重(WBC 1.87×109/L,Hb 73 g/L,PLT 26×109/L)。同时完善腹部超声:肝大(肝剑下4.5 cm,肋下2.0 cm,右肝斜颈16.8 cm)、脾大(脾厚5.7 cm,肋下1.5 cm,长径18.6 cm),未见胆管扩张。胸腹盆CT:右肺下叶索条影;双侧少量胸腔积液,双下肺膨胀不全;肝脾大;腹膜增厚,腹膜后多发小淋巴结;盆腔积液。综合患者表现(肝脾大、B症状、LDH水平升高、高乳酸血症、全血细胞减少)临床高度怀疑血液系统恶性肿瘤,完善骨髓涂片:增生活跃,粒红比正常,见2.5%疑似淋巴瘤细胞(图1);骨髓活检:弥漫大B细胞淋巴瘤(DLBCL);免疫组化结果:Bcl-2(80%+),Mum-1(-),P53(-),Bcl-6(30%+),CD3(散在+),CD5(部分+), CD10(散在+),CD20(+),CD30(Ki-1)(-),C-MY(-),Ki-67(index 20%),AE1/AE3(-)。因标本量少,难以区分具体亚型。骨髓液送检"双打击"FISH检测阴性。PET/CT:肝大(SUVmax 13.4)、脾肿大(SUVmax 8.4),代谢异常增高,骨髓组织代谢弥漫增高(SUVmax 3.8),纵隔内、腹膜或及右髂血管走行区多发代谢增高淋巴结;双肺放射性分布弥漫增高;以上考虑血液系统恶性病变,多系统累及可能性大。头颅核磁及腰椎穿刺未见中枢受累证据。综上,考虑患者DLBCL诊断明确[ⅣA期,经年龄调整的国际预后指数(aaIPI)3分,高中危,双打击阴性],遂暂停CRRT,转至血液科病房后予第一程R-CHOP方案化疗。因考虑瘤负荷重,溶瘤风险高,药物分两次给予:具体为利妥昔单抗300 mg d0、d2(总量600 mg),环磷酰胺0.6 g d1、d3(总量1.2 g),表阿霉素60 mg d1、d3(总量120 mg)、长春地辛2 mg d1、d3(总量4 mg)、泼尼松100 mg d1~5。(因考虑患者全血细胞减少为肿瘤浸润骨髓有关,推测有效的控制肿瘤能有助于血象恢复,故在密切监测和支持治疗的前提下予标准剂量化疗;后续化疗未再分次用药)。患者一般情况明显改善:pH值7.223升至7.505,PaCO2 19.4升至37.1 mmHg,BE-19.7升至5.8 mmol/L,cLac17降至1.5 mmol/L;LDH 1 878降至239 U/L,TBil 92.3降至10 μmol/L,DBil 71.2降至2.5 μmol/L,WBC 1.87升至2.81×109/L,Hb 73升至124 g/L,PLT 26升至177×109/L。患者≥2个结外器官受累,考虑中枢高危,自第2程起每程加用1g/m2甲氨蝶呤行中枢预防(共4次),后续化疗过程中肝脾逐渐回缩,血象恢复,4程化疗后复查PET-CT提示为完全缓解。


本例青年女性,急性起病,病初表现为乏力、大汗、气短、腹胀,查体提示呼吸深大、皮肤巩膜黄染、肝脾大、皮肤散在瘀斑。辅助检查提示乳酸酸中毒(>4 mmol/L)、全血细胞减少、高胆红素血症、LDH水平升高,腹部超声提示肝脾大。患者于当地医院ICU住院治疗期间,虽经包括CRRT在内的积极支持治疗,病情仍持续恶化。对于该疑难危重病例,尽快明确病因并进行对因治疗是救治成功的关键,而病因寻找方面,至少有三条线索:乳酸酸中毒、全血细胞减少、高胆红素血症。首先,乳酸酸中毒的病因大致分为三类:第一类是组织氧合明显受损相关的病因(A型),第二类是氧合全身性受损不存在或不明显的病因(B型),第三类是肠道细菌代谢(发酵)肠道大量葡萄糖和淀粉产生的D-乳酸(D型)。患者入院后测血压128/68 mmHg(未用升压药物),尿量50~250 ml/h,血流灌注指数(PI)3.8,肢端温热,神志清楚,精神状态可,考虑灌注不足所致乳酸升高的可能性小。此外,患者既往无短肠综合征或其他类型的吸收不良,暂不考虑D型高乳酸血症。B型乳酸酸中毒常见于糖尿病、恶性肿瘤(白血病、淋巴瘤和实体瘤)、人类免疫缺陷病毒(HIV)感染、线粒体功能障碍、药物(肾上腺素、二甲双胍、利奈唑胺)、酗酒等。患者既往无糖尿病病史,发病前没有服用任何与乳酸性酸中毒有关的药物,也没有酗酒史,在病程中并不需要血管升压药。因此,考虑该患者持续性B型乳酸酸中毒最可能的原因为恶性肿瘤。其次,全血细胞减少常见于三种情况:(1)骨髓浸润/替代:包括血液系统恶性肿瘤(如白血病、淋巴瘤、多发性骨髓瘤、骨髓增生异常综合征)、转移癌、骨髓纤维化和感染性疾病(如粟粒型结核、真菌感染)等;(2)骨髓再生不良:如营养物质缺乏(维生素B12或叶酸缺乏)、再生障碍性贫血、感染性疾病(如HIV、病毒性肝炎、细小病毒B19)、免疫破坏和药物等;(3)血细胞破坏或脾功能亢进相关:如弥散性血管内凝血(DIC)、血栓性血小板减少紫癜(TTP)、肝硬化等。结合患者病史及高乳酸血症表现,考虑血液系统恶性肿瘤可能性较大。对于全血细胞减少的患者,骨髓穿刺检查是一种微创且重要的检查,对前述的多种疾病均有很大提示意义,需要尽早完成。本例以DBil升高为主,常见原因包括胆道梗阻、肝炎、肝脏浸润(如淋巴瘤及其他实体肿瘤、白血病等)、药物/毒素/缺血、遗传性肝病、妊娠及手术相关等。本患者无相关病史及嗜肝病毒感染证据,B超未见胆管扩张,结合患者存在肝大及其他临床表现,考虑肝脏肿瘤浸润所致高胆红素血症的可能性较大。虽然休克、肝脏灌注不足也可能引起胆红素升高,但如前所述,患者乳酸酸中毒考虑为B型,休克及组织灌注不足的证据相对不充分,综合考虑仍需要高度警惕肿瘤性疾病所致胆红素升高。
患者起病时即有严重的代谢性酸中毒,病情危重,留给医生寻找病因的时间相对较少。
患者临床表现纷繁复杂,异常指标多且程度严重,需要临床医师抽丝剥茧、仔细分析,才能找到各种临床表现之间的关联。
乳酸酸中毒最常见仍为A型乳酸酸中毒,加之淋巴瘤引起的乳酸酸中毒并不常见,容易被忽略。
多系统受累的临床表现丰富的病例,应首先尝试采用单一基础疾病解释全貌。
DLBCL表现多样,乳酸酸中毒可以是其起病时的重要表现。
骨髓穿刺检查是一种可在床边进行的微创检查手段,对于临床怀疑存在血液系统恶性疾病的患者有重大意义。
DLBCL虽是一种侵袭性恶性肿瘤,但经规范治疗,仍有较高治愈率,值得努力。
前述线索均高度指向血液系统恶性肿瘤,患者有全血细胞减少,存在骨髓穿刺的指征,的确也经由骨髓穿刺最终确诊为DLBCL,完美解释了患者的病情全貌。乳酸酸中毒是患者最为突出的临床表现。虽不常见,但文献中亦有DLBCL引起乳酸酸中毒的报道[1]。在这类疾病中,尽管正常的氧气输送到组织,仍旧有大量乳酸的产生。乳酸酸中毒最常与淋巴瘤相关,提示预后不良。有报道指出,在高乳酸血症淋巴瘤中,死亡率高达75%[2]。引起乳酸酸中毒的发病机制尚不明确:一种观点基于许多淋巴瘤合并乳酸性酸中毒的病例也同时存在肝、肾受累的现象(例如本例患者即有肝脏受累),认为肝、肾的乳酸清除率降低是B型乳酸性酸中毒发生的原因[3]。但乳酸性酸中毒在没有恶性肿瘤的肝硬化或暴发性肝功能衰竭患者中并不常见。因此,虽然肝功能障碍可能有助于乳酸性酸中毒的发展,但可能并非唯一原因。其他可能的机制包括:以无氧糖酵解为主的肿瘤细胞引起的乳酸盐产生率增加以及肿瘤患者乳酸盐代谢清除受损等[4,5]。对于DLBCL合并乳酸酸中毒的患者,根据文献报道,即使基础情况差,也应尽快开始原发病治疗[6]。经过积极治疗,部分患者的乳酸水平可得到纠正。本例患者经化疗后乳酸水平迅速降低,酸中毒纠正,与文献中报道相符。此外,结合患者病情及PET提示,其肝脾肿大亦考虑为淋巴瘤浸润表现,故随着原发病的治疗,一方面肝脾回缩,另一方面随着肝功能的改善,或许也对乳酸酸中毒的纠正起到了一定帮助。
骨髓涂片可以提示淋巴瘤,但最终诊断仍依赖组织病理。骨髓活检确诊DLBCL的情况不算常见[7],但一旦经骨髓活检确诊,Ann Arbor分期即为Ⅳ期。对本例患者而言,骨髓活检十分重要,因其病情危重,预计很难耐受诸如肝活检等风险更高的有创检查,而骨髓活检确诊后给了患者治疗的机会。治疗方面,以利妥昔单抗联合化疗为基础的方案是DLBCL治疗的"金标准",本例患者分期晚、危险度高,虽治疗前无中枢神经系统受累的证据,但有较高的中枢累及风险[8],故治疗过程中使用甲氨蝶呤进行预防。DLBCL虽是一种侵袭性恶性肿瘤,但该病存在较高比例的治愈率(有文献报道6年的无事件生存率可高达74.3%[9]),即使本例这样危重的患者,规范治疗后也有治愈希望。故即使对于危重患者,尽早识别及尽快开始针对性治疗,有非常重大的意义。本患者在积极治疗后,中期评估达到完全缓解,显著改善患者的生活质量。
所有作者均声明不存在利益冲突





















