
肝门静脉积气是急性腹痛的少见原因。文献报道维持性血液透析患者发生肝门静脉积气的比例较健康人群升高,但临床中关于该病的典型影像学特征、治疗选择及患者预后仍不完全清楚。本文报道一例发生急性肝门静脉积气的维持性血液透析患者的诊疗过程及典型腹部CT改变。
版权归中华医学会所有。
未经授权,不得转载、摘编本刊文章,不得使用本刊的版式设计。
除非特别声明,本刊刊出的所有文章不代表中华医学会和本刊编委会的观点。
患者男,66岁,因"腹痛、腹胀伴停止排气排便1 d"于2019年12月5日入住北京博爱医院。患者1 d前未严格坚持低盐、低钾、低磷等肾脏病饮食要求,一次进食11只螃蟹,之后出现进行性腹痛及腹胀,伴有排气排便停止,否认恶心及呕吐。此次发病在上次血液透析22 h后。既往病史:高血压14年,口服硝苯地平控释片及替米沙坦,血压维持在130~160/70~90 mmHg(1 mmHg=0.133 kPa);慢性肾脏病(chronic kidney disease,CKD)5期8年,目前维持性血液透析(maintenance hemodialysis,MHD)治疗8年,4 h/次,3次/周。
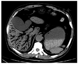
入院查体:体温36.5℃,血压131/70 mmHg,脉搏105次/min,呼吸25次/min。腹部膨隆,叩诊鼓音区扩大,听诊1 min未闻及肠鸣音,全腹轻度压痛。疼痛以右上腹为著,疼痛强度为8/10[视觉模拟评分(VAS)]。实验室检查:白细胞9.49×109/L,中性粒细胞74.3%,血红蛋白138 g/L;C反应蛋白22.3 mg/L;丙氨酸转氨酶9.1 U/L,天冬氨酸转氨酶6.4 U/L,总胆红素8.4 μmol/L,直接胆红素4.2 μmol/L,尿素氮35.18 mmol/L,空腹血糖6.53 mmol/L,血肌酐1 251.9 μmol/L,血钾5.09 mmol/L,血淀粉酶194 U/L;大便潜血阳性。腹部平片显示小肠和结肠弥漫性扩张;腹部CT显示肠腔扩张和广泛的肝门静脉积气(hepatic portal venous gas,HPVG)(图1)。


注:肝门静脉及其各分支(延伸至肝包膜下2 cm)中存在大量气体影
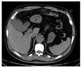
经多科会诊讨论并与患者家属商议后,给予患者胃肠减压、液体复苏、血液透析、皮下注射低分子量肝素钙(4 100 U/12 h)、静脉滴注泮托拉唑钠(80 mg/12 h)、美罗培南(500 mg/8 h)及莫西沙星(400 mg/次,1次/d)等保守治疗。经过5 d治疗,患者病情逐渐好转,腹痛消失。复查C反应蛋白正常,大便潜血阴性;复查腹部CT提示门静脉及分支内气体完全消失(图2)。患者治疗好转后出院,目前仍于本院透析室规律血液透析治疗。


注:肝门静脉及其分支内所有气体完全消失
HPVG是指多种原因导致的气体沿肠系膜静脉回流,进而导致肝门静脉及其分支广泛积气的疾病。该病临床罕见,最早于1955年报道,至今文献中仅记载数百例[1]。其发病机制主要包括:肠梗阻及肠坏死等导致的胃肠道黏膜损伤或压力增加,气体通过胃肠腔内损伤部位或黏膜通透性增加,进入肠系膜门静脉系统,产气细菌侵入黏膜下产生气体或直接入血感染等[2]。
HPVG患者的临床表现缺乏特异性,可表现为右上腹痛、腹胀、恶心及呕吐等[1]。HPVG患者的整体预后较差,病因不同的患者预后不尽相同,其中合并肠缺血坏死的HPVG患者病死率高达75%[2,3]。腹部CT是HPVG的主要诊断依据,门静脉及其分支异常气体积聚(肝包膜下2 cm范围内存在通透性气体影)是其典型影像学表现;该诊断须与胆道积气相鉴别[4]。
研究显示,心输出量下降、循环血容量减少、低血压等原因可引起肠系膜动脉持续痉挛,进而导致肠缺血或坏死[5],容易诱发HPVG。MHD患者由于血管钙化或血液透析过程中脱水及透析后的低血压,发生HPVG的风险较一般人群升高[6,7]。另外,MHD患者的胃肠蠕动较健康人群下降[8],增加了发生麻痹性肠梗阻的机会,进而诱发HPVG。本例患者肠黏膜长期处于相对缺血状态,加之此次过度进食高蛋白食物(螃蟹),可能是麻痹性肠梗阻的直接诱因,从而导致患者发生HPVG。
HPVG的治疗主要应针对原发病,包括急诊开腹手术治疗及保守治疗两种。手术治疗适用于大部分患者,特别是发生肠坏死或肠系膜缺血者[2]。然而,文献报道急诊手术患者的病死率较高,约为38%[9],因此,对于生命体征稳定的患者建议采用保守治疗方案[1,3]。Torigoe等[5]和赵彬等[10]报道了两例透析过程中发生急性HPVG的MHD患者,均经保守治疗好转。腹痛程度较轻、无腹膜刺激征、低热、胃肠减压后症状快速缓解的MHD患者发生HPVG时,可考虑保守治疗。考虑到本例患者年龄较大、慢性肾脏病5期和手术耐受能力较差等情况,最终采取了保守治疗方法。
综上所述,HPVG患者作为MHD患者急性腹痛的一个可能原因,临床医师需要高度关注。早期且正确的诊断是HPVG治疗成功的关键。腹部平扫CT是诊断HPVG灵敏且特异的工具。急诊开腹手术和保守治疗是HPVG患者的主要治疗方式,其选择取决于导致HPVG的原因和对患者临床状况的综合评估。
所有作者均声明不存在利益冲突





















