
回顾性分析Discover颈椎人工间盘置换术后异位骨化(HO)发生情况,并探讨HO对患者术后影像学及临床疗效的影响。
收集2010年1月至2015年1月在上海长征医院因颈椎病行单节段Discover颈椎人工间盘置换术的45例患者,其中脊髓型颈椎病29例,神经根型颈椎病11例,混合型颈椎病5例。末次随访时HO采用Mehren分级法,其中0~Ⅱ级为HO低分级组,共26例患者(男16例,女10例);Ⅲ~Ⅳ级为HO高分级组,共19例(男12例,女7例)。采用C2-7 Cobb角、颈椎总体活动度(ROM)及手术节段ROM评估两组患者的影像学疗效,采用日本骨科学协会(JOA)评分、颈椎功能障碍评分(NDI)和疼痛视觉模拟评分(VAS)评估两组患者的临床疗效,采用手术相邻节段ROM和椎间隙高度评估HO对相邻节段的影响。
所有患者均定期随访,时间为(98±18)个月。两组患者末次随访时C2-7 Cobb角和颈椎总体ROM差异均无统计学意义(均P>0.05),而末次随访时HO低分级组手术节段ROM明显高于HO高分级组(7.8°±6.2°比2.6°±1.2°,t=3.60,P<0.05)。两组患者末次随访时JOA评分及恢复率和NDI评分差异均无统计学意义(均P>0.05)。两组患者术前及末次随访时相邻节段椎间隙高度差异均无统计学意义(均P>0.05)。两组患者术前上位和下位相邻节段ROM差异均无统计学意义(均P>0.05),而末次随访时,HO低分级组均明显低于HO高分级组(分别为9.5°±1.1°比10.6°±1.8°和9.4°±1.4°比10.5°±1.7°,t=2.54、2.31,均P<0.05)。
Discover颈椎人工间盘置换术后HO分级高低不影响患者的临床疗效、颈椎曲度和总体ROM。然而,HO分级越高,患者术后手术节段ROM越小,手术相邻节段ROM越大。
版权归中华医学会所有。
未经授权,不得转载、摘编本刊文章,不得使用本刊的版式设计。
除非特别声明,本刊刊出的所有文章不代表中华医学会和本刊编委会的观点。
颈椎人工间盘置换术(artificial cervical disc replacement,ACDR)旨在保留手术节段的活动度(ROM),进而减缓相邻节段退变的进程[1,2]。2009年Greiner-Perth等[3]首先报道了Discover颈椎人工椎间盘的临床应用。本团队2013年发现,Discover ACDR后2年能获得良好的临床及影像学疗效[4]。然而,随着术后时间的延长,手术节段发生异位骨化(HO)的概率逐渐增加,并且不同的人工椎间盘HO的发生率也不同[5]。本研究的主要目的是回顾性分析Discover ACDR术后HO的发生与患者影像学及临床疗效的中长期随访结果,现报告如下。
本研究为回顾性队列研究,已获得上海长征医院伦理委员会批准(批号:SHCZ2015136)。收集2010年1月至2015年1月在上海长征医院骨科因颈椎病行单节段Discover ACDR的45例患者,其中脊髓型颈椎病29例,神经根型颈椎病11例,混合型颈椎病5例。纳入标准:(1)诊断为颈椎病;(2)存在颈脊髓、神经根压迫相关症状及体征;(3)影像学检查结果与症状体征符合;(4)行ACDR手术;(5)随访时间>60个月、随访资料完整;(6)年龄>18岁,已获得患者知情同意。排除标准:(1)病变节段存在明显椎间隙狭窄的患者;(2)病变节段存在明显不稳定的患者;(3)严重骨质疏松的患者;(4)颈椎后纵韧带骨化症的患者;(5)既往有颈椎手术病史的患者。
患者术后常规行颈椎正侧位及过伸过屈位X线片检查,有必要时再行颈椎MRI检查。在患者的颈椎X线片上测量患者C2-7 Cobb角、颈椎总ROM及手术节段ROM[4]。手术节段HO分级采用Mehren等[6]改良的McAfee[7]分级方法,具体如下:0级:无HO发生;Ⅰ级:椎体前方发生HO,但椎间盘水平无HO;Ⅱ级:HO长入椎间隙,可能影响假体功能;Ⅲ级:骨桥形成,但假体仍有部分活动;Ⅳ级:手术节段完全融合,在过伸过屈时假体均不活动。0~Ⅱ级定义为HO低分级,而Ⅲ~Ⅳ级定义为HO高分级。根据HO分级将患者分为HO低分级组(n=26)和HO高分级组(n=19)。
采用日本骨科学协会(JOA)评分、颈椎功能障碍评分(NDI)及疼痛视觉模拟评分(VAS)来评估患者的临床疗效,并计算JOA评分恢复率,其具体公式如下:JOA评分恢复率(%)=(术后JOA评分-术前JOA评分)/(17-术前JOA评分)×100%。
手术相邻节段采用ROM及椎间隙高度(IDH)来评估。IDH的测量方法为在颈椎侧位X线片上,椎间隙上下终板中点之间的距离。
患者分别于术后2个月、4个月、6个月、1年及之后每天来我院门诊随访,常规拍摄颈椎X线正侧位及过伸过屈位片,必要时拍摄颈椎CT及MRI。
所有数据均采用SPSS 18.0软件分析。首先对计量资料进行正态性检验,符合正态分布的采用
±s表示,组间比较采用t检验。计数资料采用例(%)表示,组间比较采用χ2检验或Fisher精确概率检验。检验水准α值取双侧0.05。
末次随访时,HO 0级患者13例,Ⅰ级5例,Ⅱ级8例,Ⅲ级11例,Ⅳ级8例,HO的发生率为71.1%(32/45)。HO低分级组中,16例脊髓型颈椎病,6例神经根型颈椎病,4例混合型颈椎病患者,术前病程为(15.3±8.9)个月,手术节段为C3/4、C4/5、C5/6及C6/7的分别有3、5、12和6例,随访时间为(98±18)个月。HO高分级组中,13例脊髓型颈椎病,5例神经根型颈椎病,1例混合型颈椎病患者,术前病程为(15.8±7.2)个月,手术节段为C3/4、C4/5、C5/6及C6/7的分别有2、3、9和5例,随访时间为(98±16)个月。两组患者一般资料各指标差异均无统计学意义,具有可比性(均P>0.05)(表1)。

两组颈椎病患者一般资料比较
两组颈椎病患者一般资料比较
| 项目 | HO低分级组(n=26) | HO高分级组(n=19) | t/χ2值 | P值 | |
|---|---|---|---|---|---|
| 性别(男/女) | 16/10 | 12/7 | 0.01 | 0.91 | |
年龄( ±s,岁) | 40.3±5.8 | 41.1±6.5 | 0.43 | 0.67 | |
术前病程( ±s,月) | 15.3±8.9 | 15.8±7.2 | 0.20 | 0.84 | |
| 术前诊断(例) | 0.61a | ||||
| 脊髓型颈椎病 | 16 | 13 | |||
| 神经根型颈椎病 | 6 | 5 | |||
| 混合型颈椎病 | 4 | 1 | |||
| 手术节段(例) | 1.00a | ||||
| C3/4 | 3 | 2 | |||
| C4/5 | 5 | 3 | |||
| C5/6 | 12 | 9 | |||
| C6/7 | 6 | 5 | |||
随访时间( ±s,月) | 98±18 | 98±16 | 0.13 | 0.90 | |
注:HO为手术节段异位骨化;aFisher精确概率检验
两组患者术前C2-7 Cobb角、总ROM及手术节段ROM差异均无统计学意义(均P>0.05)。末次随访时,两组患者的C2-7 Cobb角及总ROM差异均无统计学意义(均P>0.05);而HO低分级组手术节段ROM为7.8°±6.2°,明显高于HO高分级组的2.6°±1.2°(t=3.60,P<0.05)。两组患者末次随访时的C2-7 Cobb角及总ROM与术前差异无统计学意义(均P>0.05);HO低分级组末次随访时手术节段ROM与术前差异无统计学意义(P>0.05),而HO高分级组末次随访时手术节段ROM明显低于术前(t=5.67,P<0.05)(表2)。

两组颈椎病患者手术前后影像学资料比较(
±s,°)
两组颈椎病患者手术前后影像学资料比较(
±s,°)
| 项目 | HO低分级组(n=26) | HO高分级组(n=19) | t值 | P值 | |
|---|---|---|---|---|---|
| C2-7 Cobb角 | |||||
| 术前 | 12.3±7.5 | 11.8±6.9 | 0.23 | 0.82 | |
| 末次随访 | 14.3±8.1 | 13.2±8.3 | 0.45 | 0.66 | |
| t值 | 0.92 | 0.57 | |||
| P值 | 0.36 | 0.58 | |||
| 总ROM | |||||
| 术前 | 38.8±15.6 | 36.5±14.3 | 0.51 | 0.62 | |
| 末次随访 | 36.3±13.2 | 30.1±12.8 | 1.58 | 0.12 | |
| t值 | 0.62 | 1.45 | |||
| P值 | 0.54 | 0.15 | |||
| 手术节段ROM | |||||
| 术前 | 10.6±5.5 | 10.3±5.8 | 0.18 | 0.86 | |
| 末次随访 | 7.8±6.2 | 2.6±1.2 | 3.60 | <0.01 | |
| t值 | 1.72 | 5.67 | |||
| P值 | 0.09 | <0.01 | |||
注:HO为手术节段异位骨化;ROM为活动度
两组患者术前JOA、NDI及VAS评分差异均无统计学意义(均P>0.05),末次随访时两组JOA评分及其恢复率、NDI及VAS差异亦均无统计学意义(均P>0.05)。两组患者末次随访时的JOA、NDI及VAS评分均比术前明显改善(均P<0.05)(表3)。

两组颈椎病患者术后临床疗效的比较(
±s)
两组颈椎病患者术后临床疗效的比较(
±s)
| 项目 | HO低分级组(n=26) | HO高分级组(n=19) | t值 | P值 | |
|---|---|---|---|---|---|
| JOA评分 | |||||
| 术前 | 11.2±1.7 | 11.5±2.3 | 0.50 | 0.62 | |
| 末次随访 | 15.6±1.2 | 15.4±1.4 | 0.51 | 0.61 | |
| t值 | 10.78 | 5.83 | |||
| P值 | <0.01 | <0.01 | |||
| 恢复率(%) | 76±19 | 74±17 | 0.24 | 0.81 | |
| NDI评分 | |||||
| 术前 | 37.5±11.3 | 38.1±12.5 | 0.17 | 0.87 | |
| 末次随访 | 14.1±8.7 | 13.8±7.9 | 0.12 | 0.91 | |
| t值 | 8.37 | 7.16 | |||
| P值 | <0.01 | <0.01 | |||
| VAS评分 | |||||
| 术前 | 7.3±2.4 | 7.1±2.5 | 0.27 | 0.79 | |
| 末次随访 | 2.1±1.2 | 2.4±1.1 | 0.86 | 0.40 | |
| t值 | 9.88 | 7.50 | |||
| P值 | <0.01 | <0.01 | |||
注:HO为异位骨化;JOA为日本骨科协会评分;NDI为颈椎功能障碍评分;VAS为疼痛视觉模拟评分
两组患者术前及末次随访时上位和下位相邻节段IDH差异均无统计学意义(均P>0.05)。两组患者术前上位和下位相邻节段ROM比较,其差异均无统计学意义(均P>0.05),而末次随访时,HO低分级组上位和下位相邻节段ROM均显著低于HO高分级组(t=2.54、2.31,均P<0.05)。两组患者末次随访时的上位和下位相邻节段IDH与术前差异无统计学意义(均P>0.05);HO低分级组末次随访时上位和下位相邻节段ROM与术前差异无统计学意义(P>0.05),而HO高分级组末次随访时上位和下位相邻节段ROM明显高于术前(均P<0.05)(表4)。

两组间手术相邻节段参数的比较(
±s)
两组间手术相邻节段参数的比较(
±s)
| 项目 | HO低分级组(n=26) | HO高分级组(n=19) | t值 | P值 | |
|---|---|---|---|---|---|
| 上位相邻节段IDH(mm) | |||||
| 术前 | 5.1±0.7 | 5.0±0.8 | 0.45 | 0.66 | |
| 末次随访 | 4.9±0.6 | 4.8±0.7 | 0.51 | 0.61 | |
| t值 | 1.11 | 0.82 | |||
| P值 | 0.27 | 0.42 | |||
| 下位相邻节段IDH(mm) | |||||
| 术前 | 5.2±0.6 | 5.1±0.7 | 0.51 | 0.61 | |
| 末次随访 | 5.0±0.5 | 4.9±0.7 | 0.56 | 0.58 | |
| t值 | 1.31 | 0.88 | |||
| P值 | 0.20 | 0.38 | |||
| 上位相邻节段ROM(°) | |||||
| 术前 | 9.3±1.3 | 9.4±1.6 | 0.23 | 0.82 | |
| 末次随访 | 9.5±1.1 | 10.6±1.8 | 2.54 | 0.01 | |
| t值 | 0.60 | 2.17 | |||
| P值 | 0.55 | 0.04 | |||
| 下位相邻节段ROM(°) | |||||
| 术前 | 9.2±1.2 | 9.1±1.3 | 0.27 | 0.79 | |
| 末次随访 | 9.4±1.4 | 10.5±1.7 | 2.31 | 0.02 | |
| t值 | 0.55 | 2.85 | |||
| P值 | 0.58 | <0.01 | |||
注:HO为异位骨化;IDH为椎间隙高度;ROM为活动度
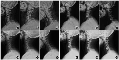
ACDR手术节段HO低分级组典型病例见图1,患者女,40岁,因颈椎病接受C5/6节段ACDR手术。ACDR手术节段HO高分级组典型病例见图2,患者女,43岁,因颈椎病接受C5/6节段ACDR手术。


保留手术节段的ROM是ACDR最重要的初衷,然而HO的发生则限制了手术节段的ROM,甚至增加了相邻节段退变的风险[5,8]。使用不同假体时,ACDR术后HO发生率差异较大,文献报道HO发生率为2%~79%[9,10,11,12]。Zeng等[13]发现ProDisc-C和Discover假体HO的发生率要高于Bryan和Prestige LP假体。赵衍斌等[2]发现Bryan假体HO在术后10年随访时高达71.6%,而本研究中发现Discover假体中长期随访时HO的发生率71.1%,相对较高,和文献报道一致。
尽管HO的发生机制尚不明确,但国内外学者对HO发生的危险因素进行了详细探讨。目前研究认为,假体的选择和手术技术是术后HO发生的重要因素[14]。假体设计的差异使其在置入椎间隙后产生的生物力学不同,这可能与不同假体HO发生率不同有关[9]。Wang等[15]发现术中处理软骨终板产生的碎屑残留在椎间隙可能是HO发生的重要原因。另外,假体与终板的匹配程度是HO的又一重要因素。周非非等[16]发现术前病变节段椎间高度丢失>20%的患者不适合行ACDR。曹鹏等[17]发现术前患者存在小关节退变与ACDR术后HO的发生相关。此外,Leung等[10]发现男性和老年患者术后HO的发生率更高,而术中避免颈长肌的过度牵拉、彻底止血、术后非甾体抗炎药的应用等被认为可以降低术后HO的发生风险[18]。
ACDR术后HO的发生可能会降低手术节段的ROM,这与其设计初衷是相反的。本研究的中长期随访结果显示,术后HO分级高低与术后颈椎曲度和总体ROM无明显影响,这可能与颈椎其他正常节段的活动代偿有关,而术后HO分级越高,手术节段ROM越小。Gornet等[19]同样发现在2节段ACDR术后,HO分级越高能极大程度限制手术节段的活动,这与本研究结果是一致的。
ACDR术后HO对临床疗效的影响还尚未完全阐明。很多研究报道称HO不会影响患者的术后临床疗效[4,12,20,21]。Lee等[20]开展一项28例行Mobi-C假体的ACDR患者的2年回顾性研究发现,术后早期就会出现HO。HO Ⅲ级及Ⅳ级的患者手术节段的ROM明显降低,并导致手术节段融合。但是HO并不影响患者的临床疗效。我们的中长期随访研究发现,行Discover假体的ACDR患者术后HO分级越高,手术节段ROM越小,但是HO的分级与患者术后临床疗效无明显关系。而Miao等[21]发现行Discover假体的ACDR患者术后能获得良好的临床及影像学疗效,可能是因为其随访时间相对较短(平均随访31.6个月)有关。
ACDR的设计理念是通过保留手术节段ROM,进而减缓手术相邻节段的退变。然而,术后HO会降低手术节段ROM,其对手术临近节段的影响还尚未阐明。李广州等[22]发现Prestige LP假体单节段ACDR术后HO组和无HO组患者的相邻节段IDH无明显差异,而HO组相邻节段的ROM明显高于无HO组。本研究发现,进一步将HO分级细化,并将患者分为HO低分级组和HO高分级组,发现行Discover假体的ACDR患者术后HO分级越高,手术相邻节段的ROM越大,这可能是手术HO加速临近节段退变的重要原因,和李广州等[22]的研究结果一致。
此外,本研究尚存在一定不足与局限性。首先,本研究为回顾性研究,循证医学证据等级相对稍低。其次,本研究为单中心研究,纳入的病例数相对较小。但本研究纳入患者的手术均由同一主刀医生及临床团队完成,并且设立了严格的纳入和排除标准。因此,本研究的结果及结论仍具有较高的临床价值。由于术后即刻患者心理恐惧,拍X线片时不敢过伸过屈,常导致数据偏倚,因此并未纳入术后即刻的数据。
综上,本中长期的随访研究发现,Discover ACDR术后HO的发生对患者的临床疗效、颈椎曲度及总ROM无明显影响。HO分级越高,患者手术节段ROM越小,手术相邻节段的ROM越大。
所有作者均声明不存在利益冲突

±s,岁)
±s,月)
±s,月)



















