
本文报道一例罕见的确诊弥漫皮肤型系统性硬化症和高血压3年的女性患者,近2个月出现血尿、蛋白尿及血肌酐进行性升高,经肾活检病理确诊为合并显微镜下多血管炎引起的急进性肾小球肾炎,予糖皮质激素冲击及免疫抑制剂治疗后病情好转,未出现硬皮病肾危象。
版权归中华医学会所有。
未经授权,不得转载、摘编本刊文章,不得使用本刊的版式设计。
除非特别声明,本刊刊出的所有文章不代表中华医学会和本刊编委会的观点。
患者女,56岁,因“颜面部及双手皮肤肿胀变硬3年,肉眼血尿2个月”于2019年5月20日入院。患者3年前无明显诱因出现颜面部、双手手指皮肤肿胀、硬化,并自远端渐向近端发展至双侧上臂下1/3,无伴雷诺现象,在当地医院诊断为“系统性硬化症”(SSc),予“口服甲氨蝶呤每周7.5~10 mg,秋水仙碱 0.5 mg每日2次”等治疗后症状稍缓解,期间一直无干咳、胸闷、气促、心悸、吞咽障碍等不适。本次入院2个月前无明显诱因出现肉眼血尿,无伴尿频、尿急、尿痛及腰痛,无午后潮热、盗汗、消瘦,无咳嗽、胸痛;2周前当地查尿常规示尿红细胞(RBC)836个/高倍视野,尿蛋白(PRO)1 g/L,血肌酐(Cr)168.5 μmol/L,门诊拟血尿查因收入我科。患者SSc就诊时发现高血压,血压最高180/100 mmHg(1 mmHg=0.133 kPa),1年前开始规律口服硝苯地平缓释片30 mg每日1次,自述血压控制良好。一胞妹有系统性红斑狼疮(SLE)病史。入院查体:体温36.5 ℃,呼吸20 次/min,脉搏78次/min,血压166/93 mmHg。面具面容,表情僵硬,鼻唇沟变浅,颈部及胸前皮肤无硬化,双侧上臂下1/3至双手手指末端皮肤肿胀、硬化,无皮下结节。心肺腹查体未见异常。双下肢无浮肿。
诊治经过:入院后实验室检查:血常规白细胞(WBC)6.43×109/L,血红蛋白(Hb)86 g/L,血小板(PLT)150×109/L。尿常规RBC 400个/μl,PRO(2+)。尿RBC位相:异型RBC比例0.72。24 h PRO定量1.134~2.047 g。血生化:丙氨酸转氨酶(ALT)105 U/L,天冬氨酸转氨酶(AST)84 U/L,白蛋白(ALB)32 g/L,Cr 193 μmol/L,尿素(Urea)10.7 mmol/L。红细胞沉降率(ESR)91 mm/1h,C反应蛋白(CRP)4.18 mg/L,IgG 14.8 g/L,C3 1 080 mg/L,C4 272 mg/L。ANA核仁型1∶1 280和颗粒型1∶640(+),ANA抗体谱示抗Scl-70(++),抗dsDNA(-)。抗肾小球基膜GBM抗体(-),核周型抗中性粒细胞胞质抗体(p-ANCA)(+),抗髓过氧化物酶抗体(MPO-ANCA)>300 U/ml。自身免疫性肝炎抗体(-)。乙肝两对半:HBsAg(-)。丙肝抗体IgG(-)。结核T-SPOT检查:抗原A(EAST-6)孔斑点数8个,抗原B(CFP-10)孔斑点数23个,阴性对照孔斑点数0,实验结果为阳性。泌尿系彩超示双肾弥漫性损害改变。肺CT示双肺胸膜下见网格状、斑片影,边界不清,右肺下叶背段、左肺上叶尖后段分别见一直径约5 mm结节影,肉芽肿或增殖灶可能。
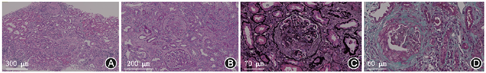
入院后考虑患者有肾小球源性血尿伴蛋白尿、进行性血Cr升高,提示急进性肾小球肾炎(RPGN)倾向,遂于2019年5月23日行肾穿刺活检,病理检查示光镜下见28个肾小球,5个肾小球球性硬化,1个细胞性、3个细胞纤维性、1个小细胞性、2个小细胞纤维性新月体形成,个别毛细血管襻有纤维素样坏死,肾小球系膜细胞和基质轻度增生,无明显嗜复红蛋白沉积。肾间质水肿,多灶性炎性细胞浸润伴轻度纤维化,小动脉管壁增厚,管腔狭窄,未见小动脉纤维素样坏死;免疫荧光未见免疫复合物;结论:符合ANCA相关性血管炎肾损伤(图1)。诊断为弥漫皮肤型SSc合并显微镜下多血管炎(MPA)。


入院初因患者有血压升高、弥漫皮肤型SSc等硬皮病肾危象(SRC)的危险因素,在密切监测血压和血Cr的情况下,糖皮质激素从小剂量开始,予甲泼尼龙每日20 mg,并将降压方案改为卡托普利25 mg每日4次以预防SRC。2019年5月23日甲泼尼龙增加至每日80 mg,并予环磷酰胺0.2 g隔日1次静脉注射。2019年5月29日肾穿病理结果回复后予甲泼尼龙0.5 g 冲击治疗3 d后改为每日80 mg,并将降压药改回硝苯地平缓释片每日30 mg。2019年5月31日血Cr 129 μmol/L。2019年6月24日血Cr 109 μmol/L,复查肺CT病灶较前缩小,予以出院,目前仍在随访中。
合并高血压的SSc患者近期出现肾功能不全,容易受“一元论”的惯性思维误诊为SRC。
SSc患者合并RPGN时,如何制定激素治疗及降压方案以降低SRC风险?
SRC以突发高血压及急性肾功能不全为主要临床特点,蛋白尿和血尿较轻;RPGN以血尿、蛋白尿及短时间内肾功能进行性恶化为主要表现,这是本例肾损害鉴别诊断的要点。
有RPGN倾向的患者尽早完成肾脏病理检查,有助于诊断、预后判断及制定治疗方案。
ACEI是治疗SRC的有效药物,但并无证据提示在SRC发生前应用ACEI可预防SRC发生发展。
本例患者起病时有掌指关节近端以远皮肤增厚,并且弥漫至肘关节以上,符合弥漫皮肤型SSc的诊断。SSc的肾脏表现包括SRC、慢性肾疾病和炎症性肾损害[1]。SRC的典型表现为突然出现的高血压及急性肾损伤,还可出现高血压脑病和癫痫、微血管病性溶血性贫血等,尿检通常为非肾病范围的蛋白尿和血尿及颗粒管型,肾活检可见典型“洋葱皮样改变”。但该患者以血尿、蛋白尿为主要临床表现,伴血Cr进行性升高,符合RPGN的临床表现。患者既往血压控制稳定,近期血压升高考虑为RPGN所致肾性高血压,入院时即可基本排除SRC。
RPGN是一组以肾小球源性血尿、蛋白尿等尿液特征以及在较短的时间内肾功能进行性下降为主要表现的临床综合征,血压可正常或轻度升高,新月体性肾炎是其最常见病理学特点,临床上分为抗GBM抗体型RPGN、免疫复合物型RPGN及寡免疫型RPGN。该患者抗GBM(-),不支持抗GBM抗体型RPGN;患者ANA(+),有SLE家族史,需考虑SLE引起的免疫复合物型RPGN;同时患者p-ANCA和抗MPO-ANCA(+),需考虑ANCA相关性血管炎(AAV)引起的寡免疫型RPGN。此时,肾穿刺活检是RPGN的病因诊断和鉴别诊断、病情评估及预后判断的关键。该患者肾穿刺病理为寡免疫复合物沉积的新月体性肾小球肾炎,结合p-ANCA及MPO-ANCA阳性,诊断为MPA[2]。
SSc合并AAV较为罕见。Kant等[3]对3 570例SSc患者进行回顾性研究,其中7例经活检证实为新月体性肾小球肾炎的患者均抗MPO阳性,表现为血尿、蛋白尿,血Cr升高或不升高;随访观察提示与SSc重叠的AAV临床表现与特发性AAV相似,可通过标准诱导治疗实现疾病缓解,并建议以免疫抑制剂维持缓解。根据欧洲抗风湿病联盟(EULAR)联合欧洲肾脏学会-欧洲透析和移植学会(ERA-EDTA)对AAV的治疗建议,本例患者有新出现的重要内脏受累(肾、肺)并可能危及生命,应选择大剂量糖皮质激素联合环磷酰胺或利妥昔单抗来诱导缓解[4]。一项纳入151例完成肾活检的寡免疫复合物沉积的肾血管炎的研究提示,新月体<75%的患者的1年和5年存活率高于新月体≥75%的患者,毛细血管外增殖和肾小球硬化是预后不良的重要因素[5],这对于不同组织学特点的AAV的预后判断及治疗方案制定有一定的指导意义。张清等[6]对46例AAV的回顾性分析提示进行性肾功能恶化是MPA的典型临床表现,严重的肾损害是AAV患者死亡的危险因素。当临床上考虑为RPGN且肾脏病变有恶化趋势但无法及时获取肾脏活检结果时,通常会尽早开始经验性的免疫抑制治疗(尤其是糖皮质激素冲击治疗)以减少不可逆肾损伤。本例患者肾穿病理新月体占25%,并且有肾小球硬化,遂予甲泼尼龙冲击及序贯足量糖皮质激素、联合环磷酰胺免疫抑制治疗后,病情好转,血Cr短时间内恢复至正常,且随访过程中一直正常。
本例患者在确诊弥漫皮肤型SSc的基础上合并MPA引起的RPGN,大剂量激素治疗对于挽救MPA引起的肾损害非常必要,但同时也有可能诱发SRC。SRC的高危因素包括高龄、非裔美国人、高血压、糖皮质激素使用、弥漫皮肤型SSc、抗RNA聚合酶Ⅲ抗体、心包积液和肌肉骨骼炎症并发症[7]。有研究表明,使用中到高剂量的糖皮质激素(泼尼松≥15 mg/d)是SRC的危险因素[8],故EULAR建议接受类固醇治疗的SSc患者应监测患者的血压来预警SRC的发生发展[9]。弥漫皮肤型SSc的SRC发生率高于局限皮肤型SSc。在一项SSc随访研究中发现,发生SRC的患者中,78%为弥漫皮肤型SSc[10]。本例患者存在高血压、糖皮质激素应用及弥漫皮肤型SSc这三个SRC高危因素,如何平衡大剂量激素治疗的效益与诱发SRC的风险是本例患者治疗的难点。SRC发生时抑制肾素-血管紧张素系统(RAS)过度激活,血管紧张素转换酶抑制剂(ACEI)通过抑制RAS,减少缓激肽的降解,从而促进肾血管的舒张作用来治疗SRC。ACEI药物治疗能明显地改善SRC患者的生存率[11]。然而,有研究提示在发生SRC前为治疗雷诺现象而应用ACEI的患者并无肾功能保护作用,甚至有需要长期透析的趋势[10]。在发生SRC之前使用ACEI会增加发生SRC的风险,甚至增加死亡风险。因此对于SSc合并高血压病的患者,使用不增加SRC发病风险的钙离子拮抗剂作为降压药更合适。根据文献并无证据提示在SRC发生前应用ACEI可预防SRC发生发展,加上本例患者由于RPGN所致的肾性高血压也不适合用ACEI,因此我们及时地将降压方案改为钙离子拮抗剂,一方面稳定血压以减少SRC危险因素,另一方面避免在非SRC情况下应用ACEI而增加SRC及死亡风险。
所有作者均声明不存在利益冲突





















