
本文报道一例应用唑来膦酸钠后导致肾小管损伤的病例。患者女,64岁,因“乏力1个月余,发现重度低磷血症”入院。入院后检查提示为以慢性肾脏病合并肾性失磷、失钾、丢失尿酸、正常阴离子间隙代谢性酸中毒及小分子蛋白尿为表现的肾小管功能损伤。回顾病史发现,在治疗肺腺癌过程中,患者长期输注唑来膦酸钠,经调整唑来膦酸钠剂量,肾损伤有部分改善。
版权归中华医学会所有。
未经授权,不得转载、摘编本刊文章,不得使用本刊的版式设计。
除非特别声明,本刊刊出的所有文章不代表中华医学会和本刊编委会的观点。
患者女,64岁,主因“乏力1个月,发现重度低磷血症”拟诊为肾小管间质病,为行肾活检于2019年2月11日收入本院。患者1个月前受凉之后出现咳嗽、流涕及明显乏力,伴恶心、纳差。就诊于外院,血生化检查显示血肌酐109 μmol/L(正常参考值:40~103 μmol/L,下同),血钾3.1 mmol/L(3.5~5.3 mmol/L),随机血糖21.5 mmol/L,血磷不详;尿常规示尿蛋白+,尿糖++,酮体++;动脉血气分析提示,pH 7.363,碱剩余-6.5 mmol/L,HCO3-19.7 mmol/L。考虑为酮症酸中毒,给予补液、降糖灭酮、补钾治疗后好转。后为进一步明确蛋白尿、肾功能异常原因就诊于本院,血生化检查显示血肌酐 110 μmol/L(44~133 μmol/L),尿素氮4.77 mmol/L(1.8~7.1 mmol/L),血尿酸54 μmol/L(90~360 μmol/L),白蛋白46.4 g/L(40~55 g/L),钠139 mmol/L(137~147 mmol/L),钾 3.25 mmol/L,镁1.03 mmol/L(0.75~1.02 mmol/L),钙2.26 mmol/L(2.11~2.52 mmol/L),磷 0.29 mmol/L(0.85~1.51 mmol/L),氯108.1 mmol/L(99~110 mmol/L),二氧化碳(CO2)21.8 mmol/L(22~30 mmol/L),阴离子间隙(AG)12.7 mmol/L;全段甲状旁腺素(iPTH)86.99 ng/L(15~65 ng/L),25-羟维生素D 19.92 nmol/L(<25 nmol/L为缺乏);骨钙素 4.67 μg/L(15~46 μg/L);β胶原降解产物 0.11 μg/L (≤1.008 μg/L);Ⅰ型胶原氨基前肽 11.9 μg/L(20.25~76.31 μg/L)。24 h肌酐清除率50.66 ml/min;尿常规:比重1.005,pH 7.0,尿蛋白+,红细胞1~3/HP,白细胞0~1/HP;尿微量白蛋白/肌酐比值(ACR)454.05 mg/g(<30 mg/g)。既往2型糖尿病病史20余年,应用胰岛素控制血糖,空腹血糖 7 mmol/L,餐后血糖约10 mmol/L;5年前诊断为肺腺癌,行右肺上叶切除术,并于术后(2015年6月)开始口服盐酸埃克替尼(125 mg/次,3次/d);静脉滴注唑来膦酸钠(4 mg/次,1次/月),共约40余次,末次使用时间为2019年1月31日(入院前11 d)。否认家族遗传病史及类似疾病史。
入院查体:体温36.5℃,脉搏80次/min,呼吸20次/min,血压120/80 mmHg(1 mmHg=0.133 kPa),BMI 19.5 kg/m2。正力体型,心肺腹查体未见明显异常。辅助检查:24 h尿尿酸2 675 μmol,24 h尿钾44.1 mmol,24 h尿磷16.6 mmol;尿pH 6.8,尿HCO3- 14 mmol/L,尿可滴定酸5.0 mmol/L,尿铵离子62.2 mmol/L,磷酸排泄分数42.8%,尿酸排泄分数65.9%;动脉血气分析提示,pH 7.297,二氧化碳分压(PCO2)28.9 mmHg(35~45 mmHg), 氧分压(PO2)95.4 mmHg(80~100 mmHg),氧饱和度97.8%,碱剩余-11.5 mmol/L(-3~3 mmol/L), HCO3- 15.8 mmol/L;红细胞沉降率44 mm/1 h;糖化血红蛋白6.7%;甲状腺功能无明显异常;血渗透压288 mOsm/kg·H2O(275~305 mOsm/kg·H2O,1 mOsm/kg·H2O=2.57 kPa),尿渗透压452 mOsm/kg·H2O(600~1 000 mOsm/kg·H2O)。血、尿免疫固定电泳:未见单克隆免疫球蛋白区带;自身抗体谱、抗中性粒细胞胞质抗体(ANCA)均阴性。24 h尿检(尿量2 200 ml):尿蛋白1.8 g,尿糖86.5 mmol;尿蛋白电泳:小分子蛋白47.5%,白蛋白39.5%,大分子蛋白13%;B超显示双肾大小形态正常,双肾多发结石。骨扫描:双侧锁骨、颈椎、腰椎、左侧骶髂关节、右股骨小转子及右股骨下段均考虑为骨转移灶。
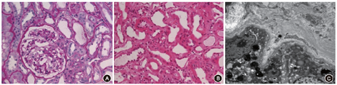
肾活检病理结果:免疫荧光均阴性,光镜所见:41个肾小球,9个缺血性硬化,其余肾小球无明显病变,肾小管上皮细胞空泡及颗粒变性,多灶状刷毛缘脱落,灶状细胞崩解及再生,节段裸基底膜形成;肾间质灶状淋巴细胞及单核细胞浸润。结合电镜所见未见糖尿病肾病及轻链相关肾小管病等表现,最终病理诊断为急性重度肾小管损伤(图1)。结合患者应用唑来膦酸钠病史及药物具有潜在肾毒性的特点,考虑为致病药物。回顾患者既往化验检查可见,在应用唑来膦酸钠前(2015年5月),血肌酐58 μmol/L,血尿酸316 μmol/L,血磷1.3 mmol/L,均在正常范围;应用唑来膦酸钠后(2017年12月),血肌酐98 μmol/L,血尿酸114 μmol/L,血磷0.93 mmol/L,均已有变化。经与肿瘤专科医师协商后,将唑来膦酸钠注射周期改为每8周1次,同时给予口服补磷(磷酸盐合剂)、补充1, 25-二羟维生素D3、补钾(枸橼酸钾联合氯化钾)、纠正酸中毒(口服碳酸氢钠)等对症支持治疗,患者乏力、恶心、纳差等症状显著好转,血磷、血钾、血尿酸恢复正常,血肌酐稳定在108 μmol/L左右,估算肾小球滤过率 46 ml·min·(1.73 m2)-1,ACR 223 mg/g。


分析与讨论
本例患者合并症多,用药复杂,除了唑来膦酸钠造成肾小管毒性损伤进而导致低磷血症之外,继发甲状旁腺功能亢进、合并维生素D缺乏也参与低磷血症的发生。
输注唑来膦酸钠过程中血肌酐变化幅度轻微,使得早期肾损伤未能被及时识别。
对于应用唑来膦酸钠治疗的患者,应注意监测治疗前后的肾功能、电解质及尿液指标的变化,以帮助识别早期的肾功能损伤。
治疗前后,注意筛查是否合并维生素D缺乏。
本例患者表现为慢性病程,以慢性肾脏病合并肾性失磷、失钾、丢失尿酸、正常AG代谢性酸中毒及小分子蛋白尿为特征的肾小管功能受损(近端肾小管受损为主,也涉及远端肾小管功能),基本符合Fanconi综合征、Ⅰ型肾小管酸中毒,并且低血磷表现突出。肾活检病理证实存在急性肾小管坏死。获得性Fanconi综合征及Ⅰ型肾小管酸中毒的常见病因为药物和毒物、多发性骨髓瘤、轻链近端肾小管病及干燥综合征等。本例患者血磷、尿酸的逐渐下降与唑来膦酸钠和埃克替尼这两种药物的服用有明确的时间相关性,而其中唑来膦酸钠的肾脏不良反应屡有报道,可导致肾小管中毒性损伤。埃克替尼是一种表皮生长因子受体(EGFR)的小分子酪氨酸酶抑制剂,作用的靶目标EGFR主要表达在远曲肾小管和集合管,报道最多的电解质紊乱以低镁血症较为常见,和本例以近端肾小管受损为主的特征不符合。患者既往多年糖尿病病史,蛋白尿以小分子蛋白为主,与糖尿病肾病的典型白蛋白尿不符,且病理未见糖尿病肾小球硬化症的表现。患者不伴有干眼症、口干燥症,ANCA、抗SSA、抗SSB均为阴性,不支持干燥综合征。未出现单克隆免疫球蛋白血症,肾脏病理无轻链近端肾小管疾病的表现。综上考虑诊断为唑来膦酸钠导致的肾小管损伤。
唑来膦酸钠输注后快速被骨结合,未结合部分以原型经过肾小球滤过,所以输注剂量过高、过快可直接导致肾小管损伤,文献报道唑来膦酸钠的肾损伤发生率约1%[1, 2],导致肾性失磷和低磷血症。日本学者曾报道过长期应用唑来膦酸钠后临床表现为Fanconi综合征的病例,肾病理仅有轻微肾小管炎的表现[3, 4, 5],与本例患者的临床病理表现非常类似。唑来膦酸钠是杂环咪唑第三代双膦酸酯,快速输注时通过直接螯合离子钙使血钙迅速下降,可用于治疗恶性肿瘤继发的高钙血症。文献报道应用唑来膦酸钠后发生低钙血症、低磷血症及低镁血症等电解质紊乱并不少见,且低钙血症更易于发生在肾功能受损的患者[6, 7, 8]。唑来膦酸钠对骨骼中含钙的羟基磷灰石也具有亲和力,对骨钙的释放产生持久的抑制作用,使得血钙下降。血钙下降继而刺激甲状旁腺素(PTH)分泌增加,1, 25-二羟维生素D3合成增加,以促进尿液、肠道钙的吸收及骨钙动员。升高的PTH能够增加尿磷的排泄。由于这种补偿机制的存在,在大多数应用唑来膦酸钠治疗的患者中并没有发生明显的低钙血症,但可以导致低磷血症的出现,通常并不严重。维生素D也参与机体钙磷代谢的调节,促进肠道、肾脏钙和磷的吸收,在维生素D缺乏时,可以造成低血钙、低血磷、骨软化症。本例患者的特点是低磷血症伴有尿磷丢失,推测来自于唑来膦酸钠对肾小管的直接损伤,继发PTH升高以及慢性肾脏病时可能存在的成纤维细胞生长因子23(FGF23)升高的共同作用,三者均可降低近端小管中钠磷共转运蛋白的活性[9]。FGF23还能够降低1α-羟化酶的活性,减少25-羟维生素D3转化为1, 25-二羟维生素D3。此外,维生素D缺乏症减少钙磷的吸收,反馈性刺激PTH的分泌。肾小管的损伤除了减少钠-磷共转运蛋白表达之外,还可损伤钠-葡萄糖-氨基酸-碳酸氢根共转运子,即临床上出现Fanconi综合征。本例患者还有远端肾小管受损的表现,为Ⅰ型肾小管酸中毒(正常AG的代谢性酸中毒,不支持为酮症导致的酸中毒)。其合并的多发肾结石、尿结晶和肾小管损伤有关联,尿液失磷、尿酸、尿液酸化能力下降都增加了结石发生的风险。
本例患者唑来膦酸钠治疗五年来血肌酐有所变化,但程度并不显著,在目前肾功能受损的情况下注射前后的血肌酐增幅仅为8.3%,这使得药物引起的早期肾损伤不易被识别。唑来膦酸钠导致的肾小管损伤与剂量呈相关性,在减量或停药后肾损伤可以部分恢复[3,7]。由本例患者的随访结果可见肾损伤确有部分改善,但仍呈慢性肾脏病状态,提示唑来膦酸钠导致的肾损伤还在持续,需要引起关注。本例患者骨代谢指标的变化表明抗骨吸收治疗有效,因此合理调整剂量和治疗周期对延缓肾功能的进展有帮助。
所有作者均声明不存在利益冲突





















