
本文报道了1例尿中发现大量“肾小球来源”蛋白尿的多发性骨髓瘤患者,结合尿常规中尿蛋白阴性结果及尿免疫固定电泳强阳性结果,最终考虑为聚合轻链所致假性“肾小球性”蛋白尿。
版权归中华医学会所有。
未经授权,不得转载、摘编本刊文章,不得使用本刊的版式设计。
除非特别声明,本刊刊出的所有文章不代表中华医学会和本刊编委会的观点。
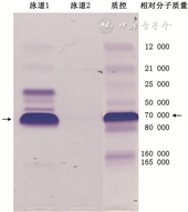
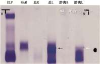
患者男,52岁,因“乏力、消瘦半年”于2019年10月就诊北京协和医院血液科。入院检查,血常规:白细胞(WBC)8.14×109/L(正常值 3.5~9.5×109/L),血红蛋白(HGB)89 g/L(正常值 120~160 g/L),血小板(PLT)40×109/L(正常值 100~350×109/L);尿常规:蛋白阴性,潜血阴性;血生化检查提示总蛋白(TP)107 g/L,白蛋白(Alb)26 g/L,血钙(Ca)3.08 mmol/L,血肌酐(SCr) 266 μmol/L;免疫球蛋白:IgA>47.5 g/L,IgG 1.72 g/L,IgM 0.01 g/L;血清蛋白电泳提示M蛋白65.6 g/L;血免疫固定电泳:IgA λ强阳性合并λ阳性。血涂片见6%骨髓瘤细胞。骨髓涂片示骨髓瘤细胞占70%。入院诊断多发性骨髓瘤。患者无晕厥、低血压、皮肤瘀斑、周围神经病变、舌体肥大、腹泻等,心电图及心肌酶检查正常。入院后检查十二烷基硫酸钠(SDS)琼脂糖凝胶尿蛋白电泳:尿蛋白总量5 220 mg/L,肾小球性蛋白83.4%,肾小管性蛋白16.6%(图1)。鉴于患者尿常规中尿蛋白阴性,尿免疫固定电泳λ强阳性(图2),极高的24 h尿轻链结果(λ 29 280 mg),故与检验科沟通后对尿蛋白电泳凝胶进行光密度扫描,在扫描图谱上仔细辨认,证实“肾小球性蛋白”其实为聚合轻链。尿蛋白电泳凝胶光密度扫描图谱(图3),结合图谱中峰的位置,估计具体蛋白成分为:β2微球蛋白 1.6%,视黄醇结合蛋白 1.1%,异常轻链 14.6%,α1微球蛋白 3.3%,游离轻链二聚体 3.7%,聚合轻链 75.7%。




注:ELP为蛋白电泳;GAM为重链抗体;L为Lambda(λ);K为kappa(κ)


讨论 尿蛋白分为四种基本类型:肾小球性、肾小管性、溢出性、肾后性。肾小球性蛋白尿是肾小球毛细血管壁对大分子物质(如白蛋白)滤过增加所致;肾小管性蛋白尿是由于肾小管重吸收功能障碍,致小分子蛋白(如β2-微球蛋白、免疫球蛋白轻链等)经尿排泄增加所致;溢出性蛋白尿是由于特殊蛋白产生增多(如骨髓瘤导致的免疫球蛋白轻链,又称本-周蛋白),超过肾小管重吸收能力所致经尿排泄增多;肾后性蛋白尿多见于尿道炎症。尿蛋白电泳通过了解尿蛋白的分子量大小,大致推测尿蛋白的类型和来源,如尿白蛋白增多多提示肾小球疾患。本患者尿蛋白电泳(图1中泳道1)可见白蛋白峰位置有浓聚,故首次检验报告提示为“肾小球性”蛋白尿,但尿常规中蛋白为阴性(尿常规中的蛋白检测采用干化学法,对白蛋白非常敏感),两者不符。进一步对尿液行免疫固定电泳检测及24 h尿轻链检测,发现存在大量λ轻链,该表现也与骨髓瘤的诊断吻合(骨髓瘤最常见的尿蛋白成分即为尿轻链[1, 2])。再进一步完善尿蛋白电泳凝胶光密度扫描图谱(图3),根据其电泳迁移率和分子量标记的电泳迁移率仔细比对,最终确定尿中主要蛋白成分为聚合轻链。该结果既与基础疾病吻合,又能够解释尿常规中尿蛋白检测结果与尿蛋白电泳结果矛盾的现象。尿中轻链可形成二聚体和多聚体,因分子量不同,能在尿蛋白电泳的不同位置形成浓聚区域[3]。本患者尿中的多聚体轻链分子量恰好接近白蛋白,故在白蛋白所在区域表现为浓聚区,从而在首次尿蛋白电泳检查时被错误判定为“肾小球性蛋白”。
正确区分骨髓瘤患者尿蛋白电泳中的聚合轻链和白蛋白具有较大临床意义。虽然骨髓瘤患者尿蛋白最常见为溢出性蛋白(轻链产生过多,超过肾小管重吸收上限)和肾小管性蛋白(轻链对肾小管有毒性作用,导致肾小管重吸收功能障碍),但少数骨髓瘤继发肾脏轻链型淀粉样变性患者,会有肾小球性蛋白(淀粉样物质沉积于肾小球,导致肾小球损伤,对白蛋白的滤过增加)。因此若骨髓瘤患者尿常规及尿蛋白电泳提示较大量白蛋白,需警惕继发淀粉样变性的可能。是否继发淀粉样变,对骨髓瘤患者的诊断、治疗及预后均有较为重要的价值[4]。
综上所述,若骨髓瘤患者尿常规中尿蛋白检测结果与尿蛋白电泳结果不吻合,需警惕聚合轻链的存在。正确区分聚合轻链与白蛋白,能够协助判断患者肾脏病变的性质。
所有作者均声明不存在利益冲突





















