
脑膜癌病是晚期癌症患者严重的神经系统并发症。为提高脑膜癌病的诊断水平,中华医学会神经病学分会感染性疾病与脑脊液细胞学学组组织编写相关共识。建议将脑脊液细胞学作为诊断脑膜癌病的金标准,并联合应用免疫细胞化学与脑脊液循环肿瘤DNA(ctDNA)技术,以提高脑脊液学诊断的准确性。共识提出脑膜癌病的参考诊断标准:确诊需要基于临床表现、肿瘤病史、辅助检查与确诊实验,并合理地排除其他疾病。
脑膜癌病(meningeal carcinomatosis,MC),又称癌性脑膜炎(neoplastic meningitis,NM),泛指各种恶性肿瘤转移至软脑脊膜与蛛网膜下而引起的疾病;狭义的脑膜癌病是指恶性上皮源肿瘤(癌症)的软脑膜转移。相关研究提示:1%~5%的实体肿瘤患者与5%~15%的白血病/淋巴瘤患者发生软脑膜转移,其中肺癌是引起脑膜癌病最主要的恶性肿瘤,3%~5%的非小细胞肺癌患者会发生脑膜癌病[1, 2, 3, 4, 5, 6]。肿瘤发病率的增高、患者总体生存期延长以及某些抗肿瘤药物很难进入中枢神经系统(central nervous system,CNS)等因素,可能导致脑膜癌病发病率逐年升高[7]。脑膜癌病的CNS症状及体征缺乏特异性,临床上与感染性脑膜炎的鉴别诊断比较困难,脑脊液细胞学是确诊脑膜癌病的主要方法[8, 9, 10]。1984年以来在中华医学会神经病学分会感染性疾病与脑脊液细胞学学组(原脑脊液细胞学学组,以下简称学组)的推动下,脑脊液细胞学得到广泛应用,在脑膜癌病的诊断方面学组成员发表了一系列研究成果,积累了丰富的诊断经验。以此为基础,为进一步规范基于脑脊液学方法的脑膜癌病诊断流程,学组组织撰写了《脑膜癌病诊断专家共识》,经专家组多次讨论、修定,现予以发布。
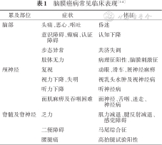
脑膜癌病的临床表现多样,多呈亚急性或者急性起病。以头痛、恶心、呕吐等颅高压和脑膜刺激征为主要表现,可以合并脑实质、颅神经和脊髓神经根受累,并出现相应的临床表现(表1)[1, 2, 3, 4]。
1. 脑脊液一般性检查:颅压升高最常见(>200 mmH2O,1 mmH2O=0.009 8 kPa),多数患者脑脊液白细胞轻度升高或者正常,蛋白含量升高,葡萄糖含量降低[1, 2, 3, 4]。
2. 脑脊液细胞学检查:脑脊液细胞学是诊断脑膜癌病的金标准,其特异度为100%,灵敏度为45%~90%[2, 3,11]。脑脊液细胞学检测对于脑膜转移诊断的灵敏度及特异度高于神经影像学及神经系统症状的提示[12]。及时脑脊液细胞学检测有助于脑膜转移的早期诊断[13]。推荐将脑脊液细胞学作为诊断脑膜癌病首选方法。脑脊液细胞学主要采用细胞玻片离心沉淀法或者自然沉淀法收集细胞,经迈-格-姬(May-Grüwald-Giemsa,MGG)方法染色[14]。细胞形态学特征是判断恶性肿瘤细胞的主要依据,肿瘤细胞的特点包括(图1):(1)肿瘤细胞大小不一,形态多变或不规则;(2)肿瘤细胞核大,胞质少;(3)核形态多变,有分叶,芽痕畸形怪状等恶性征象;(4)染色质增多,颗粒粗糙、嗜碱性,着色呈蓝色或深蓝色;(5)核分裂活跃,有异常有丝分裂,不对称,有的呈丝状分裂;(6)胞质有色素颗粒,大的特殊空泡形成;(7)核仁明显,呈多形性,占染色质大部分;(8)核膜增厚,边缘有据齿状压痕和磨损,有近似裸核细胞;(9)细胞与细胞间关系,排列不整,呈簇出现,细胞和细胞核大小不一。因肿瘤细胞的来源不同,每种肿瘤细胞还具备其各自的特征,例如肺癌、乳腺癌、胃癌、黑色素瘤、腮腺癌、卵巢癌、胰腺癌、鼻咽癌等。脑脊液细胞学技术简便易行,成本低,有利于基层医院的开展。


免疫细胞化学染色可为脑膜癌病的细胞学诊断提供了关键证据。通过免疫细胞化学显示肿瘤细胞表达的各种肿瘤标记物,有助于进一步确认恶性肿瘤细胞,并为判断肿瘤细胞的来源提供信息。目前联合应用脑脊液细胞学与免疫细胞化学染色诊断脑膜癌病的技术已被临床普遍认可[15]。常用肿瘤标记物如下表所示(表2,图2)。

免疫细胞化学染色的肿瘤标记物
免疫细胞化学染色的肿瘤标记物
| 肿瘤类型 | 常用免疫细胞化学染色标记物 |
|---|---|
| 胃癌 | CK20、CDX2、CEA |
| 肺癌 | TTF-1、Napsin A、CK7 |
| 淋巴瘤 | CD3、CD20、CD79a、LCA、CD34 |
| 黑色素瘤 | HMB45、Melan-A、S-100 |
| 乳腺癌 | BCA225、ER、PgR、CerB-2、HER-2 |
注:CK为细胞角蛋白;CDX2为肠特异性的核转录因子;CEA为癌胚抗原;TTF-1为甲状腺转录因子1;LCA为白细胞共同抗原;ER为雌激素受体;PgR为孕激素受体;HER-2为人表皮生长因子受体-2


适用于对癌瘤细胞的辨认及其胞质活力状态的判断。阳性细胞细胞核发亮绿色荧光,核仁和胞质RNA发橘黄-橘红色荧光[14]。
液体活检因其快速、精准,正在成为分子水平诊断脑膜癌病的方法之一。循环肿瘤DNA(circulating tumor DNA,ctDNA)是指肿瘤细胞DNA经脱落或者当细胞凋亡后释放进入循环系统,其携带了肿瘤突变基因,鉴于非肿瘤性疾病及良性肿瘤不会产生ctDNA,脑脊液ctDNA远高于外周血ctDNA,脑脊液ctDNA检测结果更能代表脑膜癌病的脑脊液肿瘤负荷状态。对脑脊液ctDNA进行二代测序,可检测到肿瘤细胞特征性的基因序列。脑脊液ctDNA检测作为液体活检的重要手段之一,有助于脑脊液细胞学与影像学阴性的脑膜癌病患者的诊断[16, 17, 18, 19]。
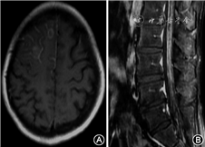
增强核磁共振是影像学诊断脑膜癌病的主要方法之一,主要表现包括:(1)软脑(脊)膜弥漫性或者多发性增厚伴强化;(2)软脑(脊)膜局部结节状强化;(3)多发颅神经根和(或)多发脊神经根增粗伴强化;(4)脑积水;(5)也可以表现为脑白质脱髓鞘和脑梗死等的影像学改变(图3)。脑膜癌病很少与脑实质转移同时出现,可能与两种转移形式的途径与机制不同有关。但应注意的是,颅内感染性疾病(结核、真菌或细菌感染)、结节病、自发性低颅压、头颅外伤、颅脑手术等疾病的患者行头颅磁共振增强检查时,也可能出现脑膜的线型强化。


脑膜癌病的诊断需要根据临床表现、肿瘤病史、辅助检查、确诊实验,并合理地排除其他疾病[20, 21, 22]。脑膜癌病的诊断条件包括以下5条:
1. 临床表现:具有以下一个或者多个临床症状或体征:(1)脑部症状:头痛、恶心、呕吐;癫痫发作,意识水平下降;视乳头水肿。(2)颅神经受累:复视;听力下降;视力下降;面神经麻痹等。(3)脊髓症状:截瘫,二便障碍,神经根痛等。
2. 恶性肿瘤病史(5年以内);或者在神经系统症状出现后发现系统性肿瘤。
3. 辅助检查: 具有以下一个或者多个辅助检查发现:(1)颅内压增高,脑脊液蛋白增高,糖减低。(2)影像学:脑膜增厚或软脑膜线形或条索样强化。(3)脑脊液中存在ctDNA。
4. 确诊实验:脑脊液细胞学肿瘤细胞阳性;或者脑脊液免疫细胞化学染色显示目标细胞的肿瘤标记物阳性。
5. 合理排除其他诊断
确诊的脑膜癌病需要同时满足以上5个条件。如果确诊试验阴性,仅满足1、2、3与5,建议诊断为可能的脑膜癌病。
总之,随着脑膜癌病患者的增多,提高脑膜癌病的诊治水平势在必行。脑脊液细胞学是诊断脑膜癌病的金标准,联合应用免疫细胞化学染色可以提高该病诊断水平[23]。脑脊液ctDNA作为新的分子诊断技术,有助于脑膜癌病的诊断。希望本共识提供的参考建议能对脑膜癌病的及时、规范诊断有所帮助。对于共识中存在的不足之处,我们将进一步改进与完善。
执笔:何俊瑛(河北医科大学第二医院神经内科); 卜晖(河北医科大学第二医院神经内科);关鸿志(中国医学科学院北京协和医院神经科)
参加讨论与修订的专家组成员(按姓氏拼音排列):卜晖(河北医科大学第二医院神经内科);陈红群(贵州医科大学附属医院神经内科);陈嬿(复旦大学附属华山医院神经内科);崔俐(吉林大学第一医院神经内科);丁晶(复旦大学附属中山医院神经内科);杜芳(空军医科大学西京医院神经内科);范学文(宁夏医科大学总医院神经内科);冯国栋(复旦大学附属中山医院神经内科);关鸿志(中国医学科学院北京协和医院神经科);郭力(河北医科大学第二医院神经内科)郭守刚(山东省立医院神经内科);韩利军(长春市传染病医院神经内科);何俊瑛(河北医科大学第二医院神经内科);洪桢(四川大学华西医院神经内科);侯玉立(山西医科大学第一医院神经内科);黄丽娜(河南科技大学一附院神经内科);黄仕雄(海南省人民医院神经内科);黄文(陆军军医大学第二附属医院神经内科);孔繁元(宁夏医科大学总医院神经内科);李春岩(河北医科大学第二医院神经内科);李敬诚(陆军军医大学 陆军特色军医中心);李玮(河南省人民医院神经内科);刘明(北京医院神经内科);刘卫彬(中山大学附属第一医院神经内科);刘铮(首都医科大学宣武医院神经内科);吕英谦(河北医科大学第二医院肿瘤科);彭福华(中山大学附属第三医院神经内科);邱峰(解放军总医院第六医学中心神经内科);任海涛(北京协和医院神经科);粟秀初(空军医科大学西京医院神经内科);王丙聚(延安大学咸阳医院神经内科);王翠兰(山东大学齐鲁医院神经内科);王佳伟(首都医科大学附属北京同仁医院神经内科);王洁(山西医科大学第一医院神经内科);王俊峰(中山大学附属第五医院神经内科);王孟昭(中国医学科学院北京协和医院呼吸科);王文昭(海军军医大学长征医院健康管理科);王云甫(湖北医药学院附属太和医院神经内科);徐仿成(安徽医科大学第一附属医院神经内科);徐沙贝(华中科技大学同济医学院附属同济医院神经内科);许勇峰(浙江大学医学院附属第二医院神经内科);薛岚平(山西白求恩医院神经内科);杨丽(天津医科大学总医院神经内科);杨晓莉(青海省人民医院神经内科);杨毅宁(空军医科大学西京医院神经内科);殷旭华(内蒙古医科大学附属医院神经内科);岳伟(南开大学附属环湖医院神经内科);张家堂(解放军总医院第一医学中心神经内科);张齐龙(江西省第三人民医院神经内科);张岳峰(广州医科大学附属脑科医院);赵钢(空军医科大学西京医院神经内科);曾可斌(重庆医科大学附属第一医院神经内科);朱海青(南京医科大学附属脑科医院病理科);邹月丽(河北医科大学第二医院神经内科)
所有作者均声明不存在利益冲突





















