
探讨双通道超声造影(DCUS)在肝门部胆管癌分型及低位梗阻性黄疸病因诊断中的临床应用价值。
回顾性收集2018年10月至2020年2月兰州大学第二医院超声科检查的114例梗阻性黄疸患者资料,男60例,女54例,年龄37~84(63±10)岁。所有患者术前行经静脉超声造影(CEUS),术中经穿刺针及术后经外置引流管行超声引导下的经皮肝穿胆管造影(UG-PTC)和三维超声胆道造影(3D-USC),即DCUS。根据DCUS图像特征判断肝门部胆管癌的分型、胆道低位梗阻的性质。所有接受过DCUS的患者均接受磁共振胰胆管造影(MRCP)及X线胆管造影检查。肝门部胆管癌分型以X线胆管造影为金标准,分析常规超声(US)、CEUS、DCUS的准确度。低位梗阻性黄疸定性以手术病理为金标准,分析US、CEUS、DCUS的诊断效能,同时用受试者工作特征(ROC)曲线比较MRI+MRCP与DCUS对胆道低位梗阻性质的判断效能。
US、CEUS、DCUS对肝门部胆管癌分型诊断与X线胆管造影的符合率分别为:75.6%(34/45)、82.2%(37/45)、93.3%(42/45),US、CEUS、DCUS对低位胆道梗阻性质的判断与手术病理的符合率分别为:56.5%(39/69)、82.6%(57/69)、85.5%(59/69)。与US相比,CEUS对肝门部胆管癌分型诊断差异无统计学意义(P=0.438),DCUS对肝门部胆管癌分型诊断差异有统计学意义(P=0.039)。ROC曲线分析提示MRI+MRCP分级和DCUS分级诊断低位胆道梗阻的良恶性的临界值均为2.5级,曲线下面积(AUC)分别为0.897和0.906(均P<0.01),灵敏度和特异度分别为77.5%、93.1%和87.5%、82.8%。
DCUS对肝门部胆管癌分型诊断和低位胆系梗阻的定性诊断性能与X线胆管造影、MRCP相当,在肝门部胆管癌分型及低位梗阻性黄疸病因诊断中有重要临床应用价值。
经皮肝穿胆管置管引流术(PTCD)不仅可运用于术前胆管引流及辅助放化疗,还可以对不能手术的患者行姑息性减黄治疗,是目前的一线治疗方案[1]。大多患者行PTCD后,临床医生都将X线胆管造影或者磁共振胰胆管造影(MRCP)作为评估置管引流效果及术前胆道树成像的首选检查方式。然而近年来随着超声造影技术的飞速发展,新一代超声造影剂相对于CT和磁共振成像(MRI)具有低过敏性、非肾毒性和极大的多功能性,几乎可以在任何环境中进行,不涉及辐射,应用广泛。2011年欧洲超声医学和生物学联合会(EFSUMB)已肯定经静脉超声造影(CEUS)在诊断胆道疾病中的作用[2]。基于梗阻性黄疸患者PTCD置管导航和精准肝胆外科手术的需求,本研究分别以X线胆管造影和手术病理为金标准比较了双通道超声造影(DCUS),在肝门部胆管癌分型及低位梗阻性黄疸病因诊断中的价值。
本文为诊断性试验,回顾性收集2018年10月至2020年2月于兰州大学第二医院超声医学中心行PTCD的96例梗阻性黄疸患者及18例在兰州大学第二医院消化内科接受鼻胆管引流的胆系梗阻患者资料,含肝门部胆管癌患者45例、低位胆管恶性梗阻40例、低位胆管炎性梗阻12例、低位胆管结石17例。男60例,女54例,年龄37~84(63±10)岁。纳入标准:临床确诊为肝门部胆管癌和胆道低位梗阻性黄疸患者(以左右肝管汇合处、胆囊管汇入肝总管处、壶腹部为分界点将胆系梗阻分为肝内高位梗阻、肝门部梗阻、胆道低位梗阻三种类型)行PTCD或鼻胆管引流的同时行常规超声(US)、CEUS、DCUS,并且有X线胆管造影或MRCP完整检查资料的患者。排除标准:(1)严重过敏史及凝血功能不佳患者;(2)梗阻病灶仅X线胆管造影、MRCP能显示者;(3)同时行多种胆道引流方式的梗阻性黄疸患者。最后共有114例梗阻性黄疸患者,共置引流管136根纳入本研究。本研究已通过兰州大学第二医院伦理委员会批准(2020A-161),患者知情同意豁免。
应用EPIQ 7彩色多普勒超声诊断仪(荷兰皇家飞利浦公司),配备的探头为C5-1、X6-1,探头频率为 1~5 MHZ,DCUS采用特异度低机械指数造影技术机械指数<0.2。超声造影剂为SonoVue(六氟化硫微泡,意大利Bracco公司),依据说明书每瓶药加入5 ml生理盐水,用力振摇后形成混悬液。CEUS于肘前静脉注入1.6~1.8 ml混悬液,可根据患者体重酌情调整。胆道造影按照1∶200的比例,即0.1 ml SonoVue混悬液加入20 ml的温生理盐水进行稀释,每次用量20~100 ml,经引流管匀速缓慢注入。
1. 临床变量采集:所有患者进行US全腹探查,了解胆道树解剖走行、梗阻部位、胆管迂曲及扩张的范围和程度。依据Bismuth-Corlette分型对肝门部胆管癌患者分型[3],了解低位梗阻患者胆道树解剖走行,根据梗阻病灶的直接、间接特征判定梗阻性质。
2. CEUS的检查方式和诊断标准:US检查后患者行CEUS,注入造影剂后的10~30 s视为动脉相,30~120 s为静脉相[4],重点观察病灶的强化方式及病灶与胆管壁关系。肝门部胆管癌患者均在静脉期观察,诊断标准:观察胆管树形态及管腔内增强肿物,根据Bismush-Corlette对其分型。低位梗阻性黄疸患者诊断标准:动脉期非均匀高增强及等增强,静脉期明显消退,病灶形态不规则、与周围管壁分界不清、梗阻部位胆管壁不连续、管腔凹凸不平为恶性征象。动脉期均匀等增强,静脉期与周围组织同步或稍快于周围组织消退或两期均不增强及病灶形态规则、与周围管壁分界清、梗阻部位胆管壁平整、连续性好为良性征象。良性征象赋分-1分,恶性征象赋分1分,根据观察到的征象计算得分。
3. DCUS检查方式和诊断标准:患者在US和CEUS后行超声引导下PTCD,根据梗阻部位汇入胆管的扩张走行情况及其与胆总管的关系决定置管方式。PTCD或ERCP操作后的患者先在US监视下通过引流管缓慢抽取适量胆汁给胆道减压(常规抽取20~100 ml)并计量,再抽取相同剂量的稀释造影剂嘱患者屏气在经皮肝穿胆管造影(UG-PTC)与三维超声胆道造影(3D-USC)造影模式下沿引流管缓慢注入,通常选择剑突下偏右或右侧肋间,探头朝向肝门部行胆道造影。3D-USC操作完成后利用仪器自带三维图像处理软件进行滤波、亮度调节、旋转、剪切等后期人为处理。利用所获实时三维图像结合二维胆管造影图像以如下方法进行评分:胆管树呈枯树枝样、梗阻端向心性狭窄、规则充盈缺损(“半月征”“杯口征”)、断端平直整齐和肝内胆管轻中度扩张(根据Guibaud等[5]的分类法对胆道梗阻引起的肝内外胆管扩张分型)为良性征象;胆管树呈软藤样、梗阻端偏心性狭窄、不规则充盈缺损(“鸟嘴征”等)、断端参差不齐、肝内胆管重度扩张为恶性征象。良性征象赋分-1分,恶性征象赋分1分, 根据观察到的征象计算得分。US、CEUS、UG-PTC、3D-USC所得图像分别由3名高年资医师观察分析。DCUS采用如下分级系统对低位胆道梗阻进行分级:Ⅰ级为3D-USC评分≤0分且CEUS≤0分;Ⅱ级为3D-USC评分>0分且CEUS≤0分;Ⅲ级为3D-USC评分≤0分且CEUS>0分;Ⅳ级为3D-USC评分>0分且CEUS>0分。同时所有低位胆道梗阻患者均需MRI+MRCP检查。MRCP检查观察内容及评分、分类方法与3D-USC相同。MRI上延迟性强化、不均匀强化作为恶性征象,均匀强化、不强化作为良性征象;评分规则和CEUS相似。MRI+MRCP计分方式同DCUS。
采用SPSS 19.0统计软件进行数据分析。US、CEUS、DCUS对肝门部胆管癌分型与X线胆管造影分型符合率,及其对胆道低位梗阻定性诊断与手术病理符合率的比较采用χ²检验。以病理为金标准,DCUS和MRI+MRCP对胆道低位梗阻的分级定性情况绘制受试者工作特征(ROC)曲线,以曲线下面积(AUC)、灵敏度、特异度评价各方法诊断胆道低位梗阻良恶性的效能。双侧检验,检验水准α=0.05。
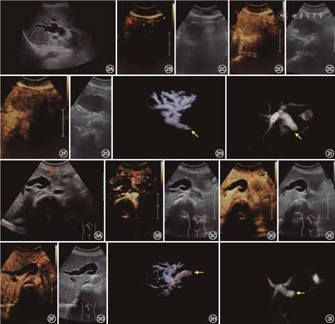
45例肝门部胆管癌患者:US诊断准确34例,误诊11例,包括1例Ⅰ型、2例Ⅲa型因肝右叶胆管扩张不明显未能准确评估受侵胆管误诊为Ⅱ型(图1),3例Ⅱ型因为肝右叶胆管伴胆泥沉积误诊为Ⅲa型,2例Ⅲb型亦因为伴胆泥沉积误诊为Ⅳ型,3例Ⅳ型由于观察不仔细误诊为Ⅲb型;CEUS诊断准确的37例,误诊8例,其中2例Ⅱ型和1例Ⅲb型都因为患者肠气影响部分肝内胆管未能清晰显示被误诊为Ⅲa型,2例Ⅱ型、2例Ⅲa型及1例Ⅳ型因为胆泥沉积、胆管扩张走行不连续被误诊为Ⅲb型;UG-PTC+3D-USC确诊42例,误诊3例,包括1例Ⅲa和1例Ⅲb因为患者脂肪较厚、肋间较窄很难准确追踪到外周胆管中断位置误诊为Ⅱ型,1例Ⅲb由于伴外周胆管胆泥沉积造成不全梗阻误诊为Ⅳ型。以X线胆管造影为诊断金标准,US、CEUS、DCUS对肝门部胆管癌分型诊断符合率分别为:75.6%(34/45)、82.2%(37/45)和93.3%(42/45)。与US相比,CEUS对肝门部胆管癌分型诊断差异无统计学意义(χ²=0.600,P=0.438),DCUS对肝门部胆管癌分型诊断差异有统计学意义(χ²=5.414,P=0.039)。


除结石表现为无增强外,良性病灶多表现为动脉期均匀等增强,静脉期未见明显消退,呈持续等增强,恶性病灶则表现为动脉期不均匀高或等增强,静脉期明显消退为等或低增强,良、恶性病灶的增强特征差异有统计学意义(χ²=21.355、30.142、7.171,P<0.05)(表1)。29例良性低位胆系梗阻的患者中,表现为形状规则、与胆管壁关系清、梗阻胆管壁连续的有18例;40例恶性低位梗阻患者中,表现为形状不规则、与胆管壁关系欠清、管壁凹凸不连续者有25例,良、恶性病灶增强后的形态特征差异有统计学意义(χ²=5.280、48.611、33.998,P<0.05)(表2)。

69例不同性质的胆道低位梗阻病灶的超声造影增强特征比较(例)
69例不同性质的胆道低位梗阻病灶的超声造影增强特征比较(例)
| 病灶性质 | 增强均匀性 | 动脉期增强模式 | 静脉期增强模式 | |||||
|---|---|---|---|---|---|---|---|---|
| 均匀 | 不均匀 | 高 | 等 | 低 | 高 | 等 | 低 | |
| 良性(n=29) | 11 | 1 | 0 | 11 | 1 | 0 | 10 | 2 |
| 恶性(n=40) | 8 | 32 | 28 | 10 | 2 | 1 | 14 | 25 |
| χ²值 | 21.355 | 30.142 | 7.171 | |||||
| P值 | <0.001 | <0.001 | 0.028 | |||||
注:动脉期增强模式分为高、中、低三个模式,等代表超声造影中病灶在某个时相和周围组织相似增强模式,而在别的时相则表现出与周围组织差异较大的高或低增强

69例不同性质的胆道低位梗阻病灶的超声造影形态特征比较(例)
69例不同性质的胆道低位梗阻病灶的超声造影形态特征比较(例)
| 病灶性质 | 病灶形状 | 与胆管壁关系 | 梗阻胆管壁连续性 | |||
|---|---|---|---|---|---|---|
| 规则 | 不规则 | 清 | 不清 | 不连续 | 连续 | |
| 良性(n=29) | 19 | 10 | 25 | 4 | 5 | 24 |
| 恶性(n=40) | 15 | 25 | 3 | 37 | 34 | 6 |
| χ²值 | 5.280 | 48.611 | 33.998 | |||
| P值 | 0.022 | <0.001 | <0.001 | |||
69例低位梗阻的患者中有胆管癌20例,胰腺癌14例,多发性骨髓瘤胰腺侵犯1例,壶腹癌5例,胆管炎5例,胰腺炎1例,十二指肠乳头炎6例,胆管结石17例。通过US确诊39例,误诊30例,误诊率43.5%(30/69),其中4例胆管泥沙样结石呈不伴声影的规则低及等回声团块误诊为炎症,2例胆管泥沙样结石呈与管壁不清的不规则肿块误诊为肿瘤,5例炎症(胆管炎3例,十二指肠乳头炎2例)误认为肿瘤,1例炎症误诊为泥沙样结石,15例肿瘤(胆管乳头状癌1例,胆管壁浸润癌4例,胆管结节状癌4例,胰腺癌4例,壶腹癌2例)呈形态尚规则,胆管扩张不明显误认为炎症,3例肿瘤(胆管乳头状癌2例,胆管结节状癌1例)呈类圆形管腔内略高回声团块误认为泥沙样结石。通过CEUS确诊57例,误诊12例,误诊率17.4%(12/69),其中4例炎症(胆管炎2例,十二指肠乳头炎2例)因为胆管积气和肠道气体干扰且增强模式与恶性病变相近误诊为肿瘤,8例肿瘤[胆管壁浸润癌2例,胆管结节状癌2例,胰腺癌2例,多发性骨髓瘤侵犯胰腺1例(图2),壶腹癌1例]因为病灶强化模式或梗阻胆管壁连续性与良性占位相似误诊为炎症。通过DCUS确诊59例,误诊10例,误诊率14.5%(10/69),其中5例胆管炎性改变(胆管炎2例,十二指肠乳头炎3例)因胆管扩张明显、断端不齐、管壁毛糙误诊为胆管肿瘤,5例肿瘤(胆管壁浸润癌2例,胆管结节状癌1例,胰腺癌1例,壶腹癌1例)未表现出典型恶性胆道梗阻(图3)增强模式、管壁连续性与良性病变相似且断端形态平整、“枯树枝”样走行误诊为炎性病变(表3)。



US、CEUS、DCUS对69例胆道低位梗阻性质诊断性能比较(例)
US、CEUS、DCUS对69例胆道低位梗阻性质诊断性能比较(例)
| 项目 | 结石 (n=17) | 炎症 (n=12) | 肿瘤 (n=40) | 确诊率 | χ²值 | P值 |
|---|---|---|---|---|---|---|
| US | 11 | 6 | 22 | 0.565 | - | - |
| CEUS | 16 | 8 | 33 | 0.826 | 11.089 | 0.001 |
| DCUS | 17 | 7 | 35 | 0.855 | 14.082 | 0.000 |
注:US为常规超声;CEUS为超声造影;DCUS为双通道超声造影;“-”为空白组
对69例胆道低位梗阻患者的MRI+MRCP的分级特征比较分析发现Ⅰ级、Ⅱ级良性者27例,恶性者9例,Ⅲ、Ⅳ级良性者仅2例,恶性者31例,该方法在低位胆道梗阻的MRI+MRCP分级比较中的差异具有统计学意义(χ²=30.815,P<0.001)(表4);CEUS+3D-USC分级特征比较分析发现Ⅰ级、Ⅱ级为良性者25例,恶性者9例,Ⅲ级、Ⅳ级为良性者4例,恶性者31例,此方法在低位胆系良恶性疾病的MRI+MRCP分级比较中的差异也具有统计学意义(χ²=31.238,P<0.001)(表5)。

69例良恶性胆道低位梗阻的MRI+MRCP分级比较(例)
69例良恶性胆道低位梗阻的MRI+MRCP分级比较(例)
| 梗阻性质 | Ⅰ级 | Ⅱ级 | Ⅲ级 | Ⅳ级 |
|---|---|---|---|---|
| 良性(n=29) | 16 | 11 | 2 | 0 |
| 恶性(n=40) | 3 | 6 | 12 | 19 |
| χ²值 | 30.815 | |||
| P值 | <0.001 | |||

69例良恶性胆道低位梗阻的DCUS分级比较(例)
69例良恶性胆道低位梗阻的DCUS分级比较(例)
| 梗阻性质 | Ⅰ级 | Ⅱ级 | Ⅲ级 | Ⅳ级 |
|---|---|---|---|---|
| 良性(n=29) | 18 | 6 | 4 | 1 |
| 恶性(n=40) | 2 | 3 | 11 | 24 |
| χ²值 | 31.238 | |||
| P值 | <0.001 | |||
ROC曲线提示MRI+MRCP分级和DCUS分级诊断低位胆道梗阻的良恶性的临界值均为2.5级,该点灵敏度和特异度分别为77.5%、93.1%和87.5%、82.8%,AUC分别为0.897和0.906(均P<0.01)(图4)。


注:DCUS为双通道超声造影;MRI+MRCP:磁共振成像+胰胆管造影
本研究发现CEUS和DCUS对肝门部胆管癌的分型诊断准确率均高于US。肝门部胆管癌中的管壁浸润型及结节型往往由于病灶沿管壁走行,存留胆管腔面积较大,梗阻上段胆管扩张不明显,往往易低估分型,而乳头型和硬化型由于梗阻程度较完全,常伴胆泥沉积,易高估分型。这与许尓蛟等[6]的研究结果US、CEUS、UG-PTC、CEUS+UG-PTC对肝门部胆管癌分型诊断准确率依次为73.3%、90.0%、86.7%、96.7%一致,可能因为增加了扩张胆管与周围感组织和其他脉管结构的声阻抗差异,易于显示梗阻端形态与其下属的各级胆管(图1)。DCUS对胆管癌分型准确率(93.3%)比CEUS(82.2%)略高,原因是DCUS弥补了CEUS间接成像缺陷、UG-PTC的二维空间缺陷、3D-USC对肝内4级以下胆管的显示不佳缺陷,可以实现图像实时三维旋转、胆管腔内及腔外改变,从而更准确地评估梗阻部位、梗阻程度及其侵犯的分支胆管、胆管树的解剖,有助于部分肝门部胆管癌患者术前提供个体化引流及精准外科手术治疗,特别是肝脏切除术前甚至在术中准确的划定手术风险、切除范围等,一定程度上降低肝门部胆管癌复发率、胆漏的发生率。而Urade等[7]提出术中超声胆道造影能准确提供可视化胆道树解剖,实时胆道导航。
US对肝内胆管低位梗阻诊断准确率仅56.5%,与Blackbourne及周静等[8, 9]报道相似,主要原因是胆管内泥沙样结石误诊为肿瘤和炎症,同时良恶性病变也只能通过二维切面上病灶的形态及与周围组织器官关系等生物学行为初步判断。病灶回声和周围组织相差不大、胆道扩张不明显、受患者消化道气体影响等因素均不利于US对胆道低位梗阻的定性评估。CEUS对胆道低位梗阻诊断准确率为82.6%,与之前文献[5]报道相比准确率较低,主要是因为一些胆管炎致管壁增厚性狭窄和较小的胆管不全梗阻,同时病灶易受周围胃肠道气体干扰,显示欠佳,增强模式很难观察。低位胆道梗阻的CEUS增强模式和增强形态在胆道低位梗阻诊断中差异有统计学意义(P<0.05),但一些恶性肿瘤或者良性占位增强模式存在交叉,可能由于部分肿瘤滋养血供来源复杂或乏血供,增强模式不典型,本研究中管壁浸润型和结节型胆管下段来源肿瘤由于其很少伴胆管明显扩张及很少突入官腔内团块型生长,很难与局限性管壁增厚性炎症鉴别。某些良性病灶由于血供丰富常常动脉期表现为高或等增强,静脉期仍未见明显消退,可能和病灶内部大量新生毛细血管有关(图2)。邓小红等[10]利用超声双重造影发现其对直肠癌术前T分期与病理的总符合率为73.6%(53/72)。本研究发现DCUS结合了病灶内部本身活性和外部侵袭特征的生物学特点做出综合判断,大大提高了诊断准确率。原因可能是恶性肿瘤沿着胆管壁蟹足样生长,往往对胆管本身造成一定破坏,与胆管壁分界不清,常常形成重度不规则狭窄,扩张胆管往往呈“软藤”样(图3);而良性病变由于术后炎性水肿致胆管壁环形均匀增厚,管腔为轻度向心性狭窄,胆管结石则由于机械性滑动,形成与管腔相似的铸型,梗阻胆管断端光滑多呈半圆形充盈缺损,同时良性狭窄由于其生物惰性往往梗阻程度较轻,造成轻、中度渐进性胆管扩张,病灶侵袭胆管长度也比较局限。DCUS分级系统在胆管低位梗阻各级间的差异充分说明其对低位胆道梗阻定性诊断的意义,级别越高意味着恶性风险程度越高。MRI+MRCP和DCUS的ROC曲线显示二者诊断胆道低位梗阻的AUC分别为0.897和0.906,差异无统计学意义(P=0.522),说明DCUS和MRI+MRCP对胆道低位胆道梗阻均具有定性诊断价值,当等级为2.5级时,DCUS的灵敏度、特异度为77.5%、93.1%,MRI+MRCP的灵敏度、特异度为87.5%、82.8%,二者较为相近。MRCP属于间接胆道成像,对胆管狭窄的灵敏度和特异度较低(67%)[11]。
本研究的局限性:(1)患者数量偏少,且自身条件状况差异较大;(2)由于是体外经腹成像,三维容积探头厚重,故肋间隙较窄的患者有骨伪像干扰;(3)三维图像经过了工作站后处理,可能会产生失真。
综上所述,DCUS在肝门部胆管癌分型和低位胆道梗阻定性诊断中均有重要价值,期待以后的深入研究能逐步在临床中广泛应用。
所有作者均声明不存在利益冲突





















