
本文报道一例阴蒂增大、阴毛增长的女性婴儿,睾酮和17α-羟孕酮水平高于正常参考值上限,曾考虑21羟化酶缺陷症。就诊初始氢化可的松治疗睾酮部分下降,但中剂量地塞米松抑制试验示睾酮未被抑制,21羟化酶缺陷症基因检测阴性,肾上腺B超及CT显示右侧肾上腺占位。后行手术切除肾上腺占位,睾酮降至正常。术后病理诊断为肾上腺雄激素分泌腺瘤。此后规律随诊8年,睾酮一直稳定在正常参考范围内。希望通过本例加强临床医师对肾上腺雄激素分泌腺瘤的认识。
患儿女,出生于2011年1月,出生时身长51 cm,皮肤颜色不黑,正常幼女外阴,喂养正常,无吐奶现象。患儿8月龄时,家属发现患儿阴蒂增大伴阴毛生长,身高增长快,无阴道出血及乳腺发育。10月龄时,患儿身长77.5 cm[>同年龄同性别健康儿童身高第97百分位数(P97)],体重12.5 kg。实验室检查:染色体:46 XX,血钾4.7 mmol/L、钠137 mmol/L、氯105 mmol/L;卵泡刺激素0.25 U/L,黄体生成素 0.22 U/L,雌二醇 63.3 ng/L[参考值范围(下同)<5 ng/L],睾酮24.36 nmol/L(<1.35 nmol/L),孕酮3.80 μg/L(<0.15 μg/L),人绒毛膜促性腺激素 0.15 U/L(<2.6 U/L),17α-羟孕酮(17α-OHP)11.70 nmol/L(<3.18 nmol/L),清晨血皮质醇96.9 μg/L(60.2~183.8 μg/L),清晨促肾上腺皮质激素 19.0 ng/L(0~46 ng/L);骨龄为3岁。初步考虑诊断21羟化酶缺陷症可能性大,开始口服氢化可的松(13.95 mg·m-2·d-1),每日两次,早2.5 mg、晚5 mg。服药1个月后复查睾酮9.58 nmol/L,血皮质醇174.8 μg/L,促肾上腺皮质激素14.10 ng/L。2011年11月至2012年7月,监测睾酮水平逐渐下降至5.03 nmol/L,但一直高于正常水平。2012年8月(20月龄)体格检查:身长93 cm(>同年龄同性别健康儿童身高P97),体重19 kg,肤色黑,嗓音粗,体格强壮,阴毛3期,阴蒂明显增大,长度约2 cm。
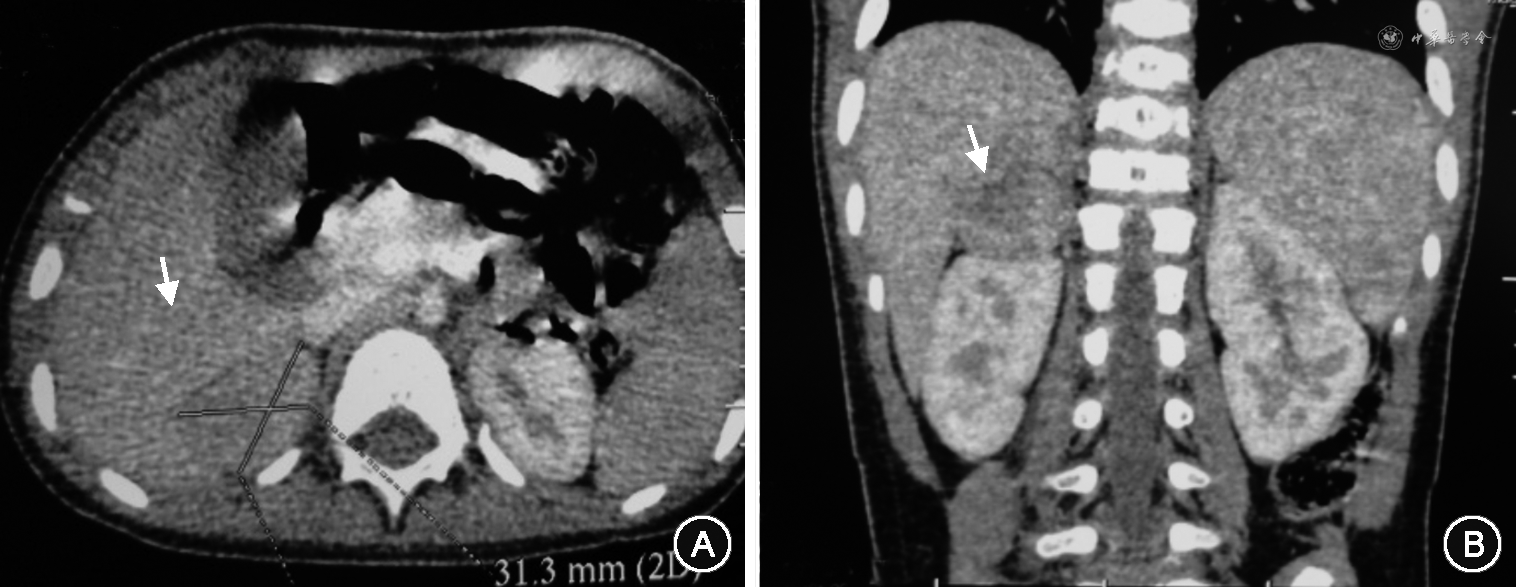
为进一步判断雄激素来源,行中剂量地塞米松抑制试验:对照为睾酮2.19 nmol/L,17α-OHP 0.87 μg/L;服药后睾酮2.01 nmol/L,17α-OHP 0.69 μg/L,提示高雄激素未被抑制,且17α-OHP不高。进一步CYP21A2基因检测结果回报阴性,肾上腺B超及CT见右侧肾上腺实性占位,大小4.7 cm×3.1 cm×3.1 cm,边界清,分叶状,其内丰富血流信号,考虑右侧肾上腺皮质肿瘤(图1)。盆腔B超符合幼稚子宫,右附件区囊肿。2012年8月在北京儿童医院行肾上腺肿物切除术,术后肿块病理检查:大小4 cm×3 cm×2 cm,重20 g,切面实性,结节状。免疫组化:Syn+,CgA-,MelanA-,Vim+,钙网膜蛋白+,抑制素+,S100-,EMA-,Ki67 8%。考虑右肾上腺皮质腺瘤,且生长活跃。术后复查:睾酮0 nmol/L,孕酮0 μg/L,血皮质醇176.3 μg/L。查体:嗓音较前变细,阴毛3期,阴蒂增大较前好转,长度约1 cm。其后患儿规律随诊至2020年8月(9岁7个月),睾酮水平一直稳定在正常范围,但骨龄始终超过实际年龄。2018年10月(8岁9个月)查雌二醇 28.02 ng/L,睾酮1.11 nmol/L,骨龄相提示11岁,为减少对患儿终身高的影响,开始口服来曲唑 2.5 mg/次,隔日1次。2020年4月因乳房发育停用来曲唑。2020年8月患儿于本院随诊,查体:身高152.5 cm(>同年龄同性别健康儿童身高P97),体重41 kg,肤色稍黑。乳房2期,阴毛2~3期。肾上腺CT提示右侧肾上腺区术后改变,复查睾酮0.867 nmol/L。


女性患儿婴儿期起病,睾酮存在波动,应用氢化可的松后睾酮有所下降,易误诊为21羟化酶缺陷症。
对于高雄激素血症女性患者,除先天性肾上腺皮质增生以外,还需考虑肾上腺雄激素分泌肿瘤和卵巢雄激素分泌肿瘤。
对于表现高雄激素血症的女性患儿,为鉴别21羟化酶缺陷症与其他疾病,关注17α-OHP水平升高的幅度是否与睾酮匹配,可行中剂量地塞米松抑制实验判断雄激素来源。
生长活跃的肾上腺分泌雄激素肿瘤尽早行手术治疗,对改善患儿后续的终身高有益,但仍需对患儿进行长期随访。
患儿幼年女性,慢性起病。主要表现为婴儿期起病的阴蒂增大,阴毛生长,生长加速,血睾酮水平明显升高,但孕酮和17α-OHP水平轻度升高,促性腺激素水平低,考虑为女性高雄激素血症状态,初始诊断考虑21羟化酶缺陷症,给予氢化可的松治疗后睾酮水平有明显下降,但未降至正常水平。进一步中剂量地塞米松抑制试验提示高雄激素不被地塞米松抑制,CYP21A2基因检测阴性,不支持21羟化酶缺陷症的诊断。而进一步影像学检查可见右侧肾上腺肿物,手术切除后病理支持肾上腺腺瘤,术后复查睾酮降低至接近0,因此,分泌雄激素的肾上腺皮质肿瘤诊断成立。生理情况下女性雄激素有两大来源:(1)肾上腺来源:肾上腺雄激素前体包括脱氢表雄酮(DHEA)、硫酸脱氢表雄酮(DHEAS)和雄烯二酮。DHEA和DHEAS的雄激素活性约为睾酮的1/20[1],因此,多毛症和男性化实际上是由活性更强的雄激素(雄烯二酮和睾酮)引起的。睾酮可由肾上腺类固醇激素合成途径产生,其浓度取决于促肾上腺皮质激素,可被地塞米松抑制。(2)卵巢来源:卵巢产生的雄激素为睾酮和雄烯二酮,不被地塞米松抑制。
在除外外源性摄入睾酮制剂后,女性高雄激素血症的常见病因包括:多囊卵巢综合征、卵泡膜细胞增生症、卵巢雄激素分泌肿瘤,先天性肾上腺皮质增生症以及肾上腺雄激素分泌肿瘤[2]。多囊卵巢综合征患者通常在青春期出现排卵功能障碍和雄激素过多症。因本例患儿为婴儿期起病,且睾酮明显升高,不符合多囊卵巢综合征的诊断。卵泡膜细胞增生症多发生在绝经期女性,表现为严重多毛和胰岛素抵抗,本例患儿也不符合。故首先应考虑经典型先天性肾上腺增生症(CAH),尤其是占CAH病因95%的21羟化酶缺陷症,而21羟化酶缺陷症除了高雄激素血症以外,17α-OHP和孕酮水平也明显上升,糖皮质激素治疗有效。本例患儿起病初实验室检查显示睾酮显著升高,达到24.36 nmol/L,但17α-OHP及孕酮仅轻微上升,在应用足量氢化可的松的情况下睾酮水平有所下降,在诊断上具有一定的迷惑性,易误诊为CAH。但需注意该患儿17α-OHP与睾酮水平上升程度不匹配,睾酮升高程度相当于正常值的18倍,而17α-OHP上升仅高于正常值4倍,与CAH的临床特点不符。本中心的前期研究检测了193例经典性21羟化酶缺陷症患者性激素及17α-OHP水平,其中经典型21羟化酶缺陷症0~10岁女性患儿的睾酮中位数为1.15 nmol/L,17α-OHP中位数为158.37 nmol/L,为对照组的155.26倍[3],本例患儿17α-OHP仅上升4倍,远低于上述增高倍数,不支持经典型21羟化酶缺陷症的诊断。此后CYP21A2基因检测阴性,中剂量地塞米松试验显示睾酮抑制率仅为8%,17α-OHP的抑制率为20%。基于本中心的另一项研究,对41例CAH患者进行中剂量地塞米松抑制试验的研究结果表明,CAH患者睾酮平均抑制率为77.9%,17α-OHP平均抑制率为95.2%,诊断CAH最佳睾酮抑制率为61.2%,最佳17OHP抑制率为87.1%[4],本例患儿睾酮及17OHP抑制率明显未达上述水平,因此该患儿的诊断可排除CAH,而需要高度警惕分泌雄激素的肿瘤,进一步影像学检查提示,该患儿确实有超过4 cm的右侧肾上腺占位,且初始影像报告曾考虑肾上腺癌,对于肾上腺癌和腺瘤的影像学区分较为困难,Hodgson等[5]总结肾上腺良性肿瘤直径多为4~6 cm,边界清晰,外形规则,脂质含量高,而恶性肿瘤直径多>6 cm,边界不清,外形不规则,脂质含量低。该患儿的占位大小超过4 cm,且同时有睾酮、孕酮、17α-OHP分泌增多的表现,不能除外肾上腺皮质腺癌,需要病理证实。此外,通常女性血清DHEAS浓度>5 000 μg/L(13.6 μmol/L)高度提示存在肾上腺肿瘤[6],尤其是肾上腺皮质癌的可能,但该患儿病初未进行DHEAs的检测。患儿进行肾上腺占位切除后,睾酮水平明显下降,结合术后病理可判断肾上腺占位为分泌雄激素的肾上腺皮质肿瘤,但生长活跃。值得注意的是,卵巢雄激素分泌肿瘤主要为性索间质瘤[7],包括纤维瘤、纤维-卵泡膜细胞瘤、颗粒细胞瘤、支持细胞或支持-间质细胞瘤,以及两性母细胞瘤,平均诊断年龄为50岁[8]。患儿19月龄时盆腔超声示右附件区囊肿,然而儿童的大多数单纯性卵巢囊肿是生理性的,由某个囊性卵泡的增大引起。患儿既存在附件区肿块,也存在肾上腺肿块,结合影像学特征,考虑雄激素来源于肾上腺占位可能性大,后续手术切除肾上腺占位后睾酮恢复正常,可排除卵巢雄激素分泌肿瘤。
综上,患儿肾上腺雄激素分泌肿瘤诊断明确。Cordera等[9]对单纯雄激素分泌性肾上腺肿瘤的特点进行了以下总结:单纯雄激素分泌性肾上腺肿瘤非常少见,患者以女性多见,发病中位年龄是23.5岁,约50%是良性的,手术切除可获得很好的疗效,并发症少且复发率低。起病症状为多毛,痤疮,阴蒂增大。成年女性会表现为月经失调或闭经。对于婴儿期发现的肾上腺皮质腺瘤,还应警惕多发内分泌腺瘤病1型[10]。其表现为同一个患者身上同时或先后出现2个或2个以上内分泌腺体肿瘤或增生,肾上腺肿瘤可为其中之一,为常染色体显性遗传,可呈家族性发病。询问患儿家族史未发现内分泌腺体肿瘤病史,长期随访过程中,患儿未并发其他内分泌腺体肿瘤,因而可基本排除该病。
治疗方面,患儿及时切除肾上腺肿瘤,高雄激素血症完全缓解,因Ki67指数明显偏高,需要警惕复发,术后规律随访,至今已经9年,目前情况稳定,肾上腺CT未见肿瘤复发,提示及时诊断和治疗取得良好效果。此外,患儿随访过程中骨龄一直超过实际年龄2~3岁,依据其父母身高(母亲163 cm,父亲183 cm),预计靶身高为166.5 cm,若不即时干预,预期终身高会损失6.5 cm。考虑到生长激素有促进肿瘤复发可能而未使用,采用来曲唑控制骨龄,尽可能改善终身高。
所有作者均声明不存在利益冲突





















