
回顾性分析2012年1月至2017年1月北京大学第一医院18例经肾病理确诊为IgG4相关性肾病(IgG4-RKD)患者的特点和预后。患者血IgG4升高和低补体C3血症常见,其中9例符合急性肾病诊断,IgG4相关肾小管间质炎伴新月体肾炎3例,伴膜性肾病共2例。红细胞沉降率>60 mm/1 h的患者,肾小管间质急性损伤评分较高;免疫抑制治疗可使患者肾功能改善,其中3例复发。可见IgG4-RKD合并肾小球病不少见,应及时行肾病理评估。
IgG4相关疾病(IgG4-RD)是近20余年来新认识的一类疾病,以累及多系统器官为特征。肾是泌尿系统受累最常见的器官,据文献报道,IgG4-RD的肾受累发生率在6.9%~24.6%[1],临床可以表现为肾弥漫肿大、占位性病变、肾功能受损或肾病综合征。IgG4-RD虽是一类有共同特定特征的疾病,但临床表现极具多样性,不仅易与其他类型自身免疫疾病相混淆,重叠存在的报道不在少数。本文总结北京大学第一医院经临床结合肾病理确诊的IgG4相关性肾病(IgG4-RKD)患者的特点和预后,以期获得对疾病特征的深入理解。
1. 对象:临床病例分析。回顾性分析2012年1月至2017年1月北京大学第一医院所有经肾活检病理确诊为IgG4-RKD、并规律随访的18例患者的资料。纳入标准为符合2011年IgG4-RKD综合诊断标准及IgG4相关肾小管间质炎(IgG4-TIN)的诊断标准[2, 3],并经肾活检病理确诊者。本研究符合《赫尔辛基宣言》原则及相关伦理要求。
2. 分期:记录IgG4-RKD患者的临床病理资料,并进行分析和总结。按照2019年美国风湿病协会/欧洲风湿病联盟的标准进行分类[4]。按照KDIGO关于急性肾脏病(AKD)、急性肾损伤(AKI)的诊断标准判定,参照KDOQI指南对慢性肾脏病(CKD)进行分期[5, 6]。
3. 资料收集:收集患者的年龄、性别、合并的基础性疾病、受累器官、临床表现、实验室检查、影像学检查特征等,以红细胞沉降率(ESR)、C反应蛋白(CRP)、IgG4-RD反应指数[7]评估系统性炎症。
4. 病理组织观察:肾活检标本进行常规染色,IgG1、IgG2、IgG3、IgG4、CD3、CD20、CD138免疫组化染色,以及荧光、光镜和电子显微镜的观察,记录有无肾小管基底膜(TBM)电子致密物、异位淋巴组织、席纹样纤维化等,并按照改良的Banff诊断标准[8],进行肾小管间质急性(AI)、慢性(CI)病变的评分。
5. 随访:记录免疫抑制治疗方案,治疗后血肌酐(SCr)水平、估算肾小球滤过率(eGFR)的变化。肾脏病变的复发定义为:SCr升高(或者eGFR下降)幅度在4周内超过治疗后最低(或最高)值的30%。治疗转归定义为显著、部分好转及无好转,分别以随访观察期eGFR较发病时缓解的最大增幅>40%、20%~40%、<20%或维持透析状态划分。
6. 数据处理:应用SPSS 20.0软件对数据进行分析。符合正态分布的计量资料以±s表示,采用独立样本t检验进行两组间比较;偏态分布的计量资料以M(Q1,Q3)表示。双侧检验,检验水准α=0.05。
1. 临床特征:18例患者中,男16例、女2例,平均年龄57.4岁。除肾脏受累之外,受累器官依次为淋巴结(10例)、胰腺(5例)、唾液腺(3例)、肺(3例)、肝胆管(3例)和腹主动脉(1例)。1例患者仅有肾脏受累,以肾病综合征起病,数月后发生AKI,检出高滴度的抗磷脂酶A2受体抗体(PLA2R-Ab)、膜性肾病(MN)合并新月体肾炎。IgG4-RD反应指数平均为9.7,ESR增快至平均86.6 mm/1 h,CRP升高(>16 mg/L)者仅5例。
18例患者都有不同程度的肾功能受损,临床诊断符合AKD、CKD基础上AKD、CKD者分别为4例、5例和9例,发病时Scr峰值为95.0~417.9 μmol/L,3例危重患者接受血液透析治疗。5例患者合并肾病综合征,其中2例为先于IgG4-RKD发病的MN。依据诊断标准[9, 10]共有2例患者同时符合抗中性粒细胞抗体(ANCA)阳性小血管炎(AAV),考虑为与IgG4-RD的重叠综合征。并发疾病还包括高血压5例、糖尿病3例,胸腺瘤、银屑病、氟骨病、尘肺、病毒性肝炎乙型各1例。
2. 实验室检查及影像学特点:除肾病综合征患者外,尿微量白蛋白/肌酐为144.5(54.0,327.2)mg/g,尿α1微球蛋白 70.2(41.5,119.0)mg/L,4例有镜下血尿;无肾性糖尿,仅1例不完全性肾小管酸中毒;患者有轻中度贫血,8例血嗜酸性粒细胞(EOS)增多,绝对计数为0.35(0.12,0.66)×109/μl。
除1例严重肾病综合征之外的其他患者均有高IgG血症,亚型分析显示以IgG1(10例)、IgG4(14例)升高为主,IgG2(4例)、IgG3(5例)升高较少;IgM升高少见(1例);部分患者血补体C3(10例)、C4(6例)下降。血液、尿液当中未检出单克隆免疫球蛋白。ANA阳性者3例,滴度1∶100~1∶3 200。PLA2R-Ab阳性1例(为IgG3、IgG4型),髓过氧化物酶(MPO)-ANCA阳性2例(1例为IgG1、IgG4 亚型,另1例为IgG3、IgG4亚型)。
B超观察肾长径平均12.9 cm,最大者达到17.8 cm;2例有瘢痕化表现。CT扫描见两例患者肾脏内特征性多发低密度病灶,PET-CT检查见两例患者肾脏有高摄取病灶(最大标准摄取值 4.6~7.4)。
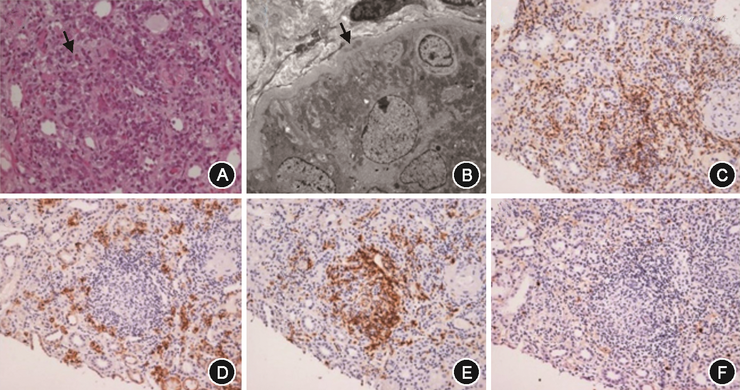
3. 肾脏病理特征:18例患者均具有IgG4-TIN的特征,15例患者肾间质EOS呈中重度浸润(图1A),其中约半数(7例)患者血EOS在正常范围。重复肾活检(2例,肾活检间隔4~5周)对比可见,伴随泼尼松治疗肾功能好转,肾间质大片浸润的EOS基本消失。4例患者有TBM沉积物(图1B),8例席纹样纤维化,2例出现肾间质异位淋巴组织(图1C~F)。患者肾小管间质AI评分为(4.5±1.1)分,CI评分为(5.9±2.1)分。ESR>60 mm/1h者,AI评分较高[(4.8±1.1)比(3.6±0.9)分,t=-2.232,P=0.041],CI评分较低[(4.5±1.9)比(7.4±1.8)分,t=2.724,P=0.016]。8例患者合并肾小球病变,包括5例有肾小球新月体形成,其中2例重叠AAV伴新月体肾炎,1例为新月体肾炎伴MN(与高滴度PLA2-R IgG3、IgG4抗体相关)。另有膜性肾病、糖尿病肾小球病、局灶节段性肾小球硬化症和IgA肾病各1例。


4. 治疗转归及预后分析:患者接受泼尼松每日0.5~1.0 mg/kg的起始治疗;给予3例新月体肾炎患者甲泼尼龙冲击、联合血浆置换及利妥昔单抗治疗效果显著,eGFR维持在50.1~70.1 ml/min。8例联合传统免疫抑制剂诱导缓解,分别为环磷酰胺(7例)和霉酚酸酯(1例)。维持阶段泼尼松每日5~10 mg,3例联合霉酚酸酯。所有患者随访时间27(20,56)个月,肾功能获得显著好转(8例)、部分好转(7例),或无好转(3例),至随访终点时2例仍维持透析,其他患者eGFR为(49.6±19.6)ml/min。随访期间IgG4-RKD复发3例,新发恶性肿瘤2例,分别为肺癌和食道癌,发生在IgG4-RKD诊疗后2年和12年。
IgG4-RD是近年来备受关注的一类系统性、慢性免疫炎症性疾病,以器官肿大、IgG4阳性淋巴浆细胞在受累组织器官重度浸润、易于发生组织纤维化为特征[1]。肾脏是IgG4-RD泌尿系统改变最常累及的器官。由本研究可见,IgG4-RKD的临床表现可以为AKD、CKD或CKD基础上AKD,伴随IgG、IgG4血浓度升高,EOS增多等系统性炎症表现,低补体血症是重要的提示线索[11],其中肾小管间质炎是IgG4-RKD典型的表现形式。临床表现CKD患者的肾间质急性炎症仍然严重,并且超过一半的患者在免疫抑制治疗之后肾功能获得显著可逆改善。这一发现也提示基于血肌酐的肾小球功能评估方法在探测肾间质炎症早期肾损伤方面的敏感性不足,尚缺乏有特异性且敏感可靠的无创检测指标。
肾组织Eos浸润是IgG4-RKD的常见病理表现,据报道可见于高达30.8%的患者。本研究观察到相比于仅有少数患者血EOS增多患者,肾间质Eos中重度浸润更为普遍,且伴随肾功能好转,在重复肾活检中观察到EOS明显消散,支持IgG4-RD时Eos增多是机体免疫反应增强的观点,提示急性、可逆性炎症。
近些年陆续报道的IgG4-RD合并MPO-ANCA相关的新月体肾炎、血管炎、干燥综合征等重叠综合征、合并膜性肾病等的病例报告和队列研究[12, 13, 14, 15],提示基于IgG4-RD不同发病机制的肾损伤表现、预后也有所不同。一项临床研究报道65例泌尿系统受累的IgG4-RD患者,其中IgG4-TIN占32.3%、肾小球疾病者为膜性肾病占7.7%[2]。相比之下,本文报道了更多类型的肾小球病,尤其是3例IgG4亚型自身抗体介导的新月体肾炎,值得关注,且因此大大增加了IgG4-RKD的诊断难度。
从免疫抑制治疗转归来看,IgG4-RKD患者大部分可获得肾功能改善,但都转归为CKD状态,仍有疾病复发的风险。本研究观察到2例患者有肾间质异位淋巴组织结构形成,这可能是IgG4-RKD复发和耐药的潜在标志物,与不良的肾脏预后有关[16, 17]。本研究观察到非IgG4亚型球蛋白血浓度升高,推测非IgG4免疫球蛋白可能参与对补体的激活,加重组织损伤[18]。
总之,IgG4-RKD临床病理表现多样,合并肾小球病不少见,免疫抑制治疗有助于系统性炎症、肾功能的改善和维持。在缺乏敏感特异预测指标的情况下,肾活检病理检查仍然是IgG4-RKD诊断、病情评估和治疗方案制定时的最可靠依据。
所有作者均声明不存在利益冲突





















